HUIXTLA
ESCUINTLA
AKISHINO
AKISHINO2 USG
ESPECIALIDADES
Home
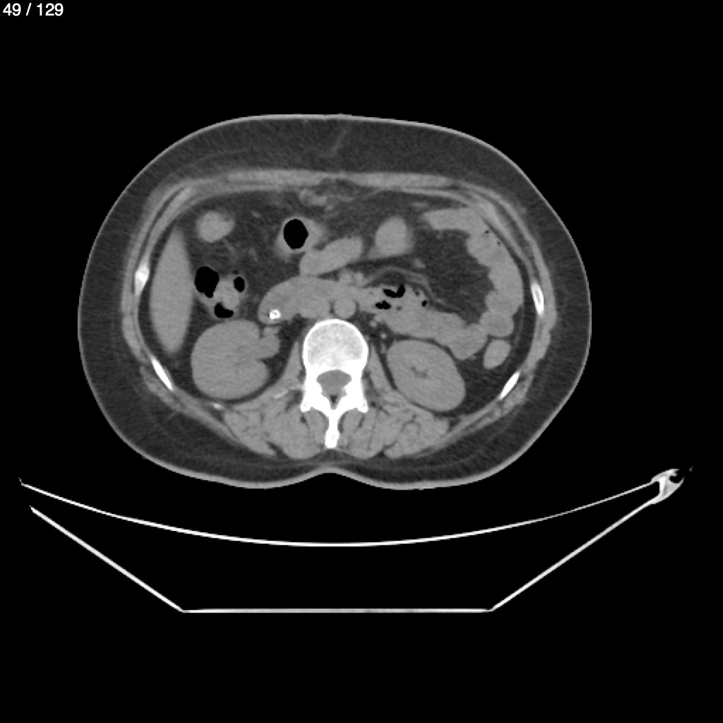
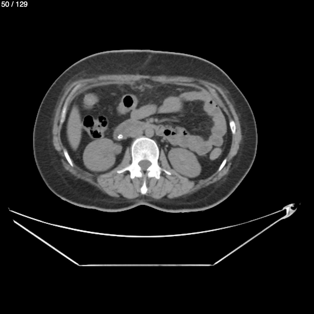
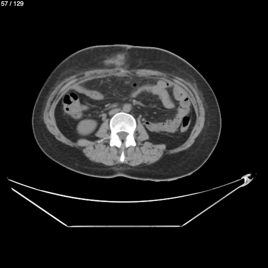
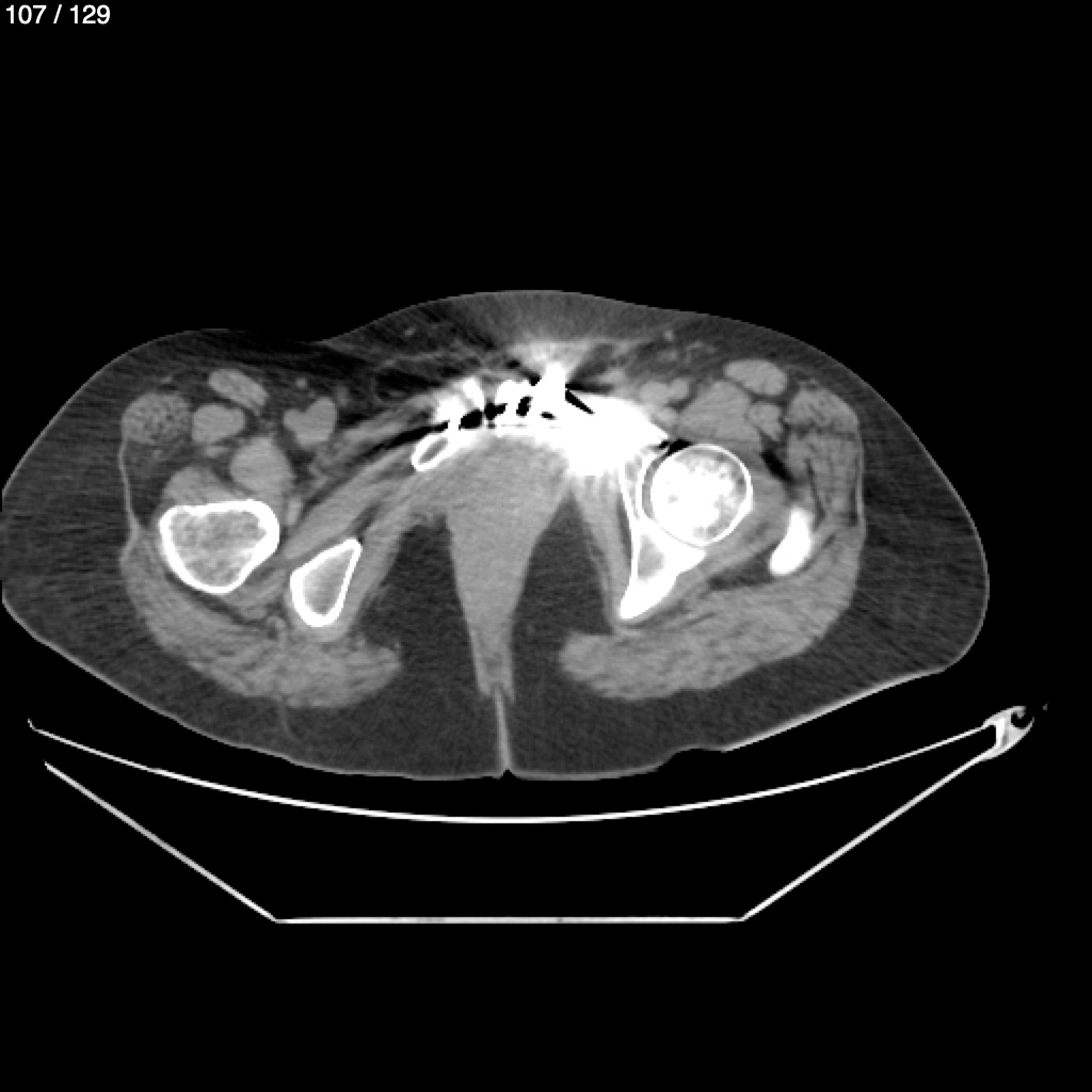
Rosalia Chavez Hernandez 38 - T.C Abdomen Syc
Next Series
Show as Sequence