HUIXTLA
ESCUINTLA
AKISHINO
AKISHINO2 USG
ESPECIALIDADES
Home
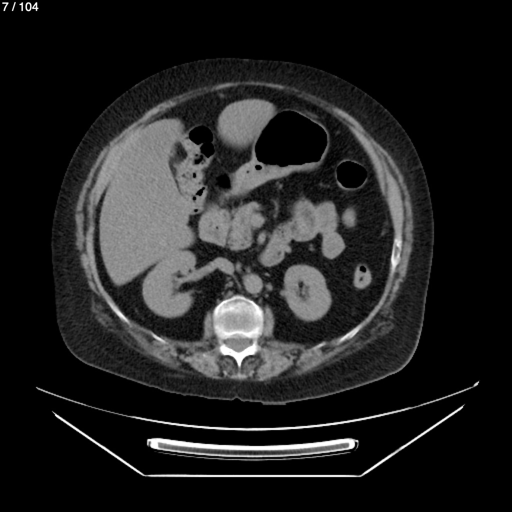
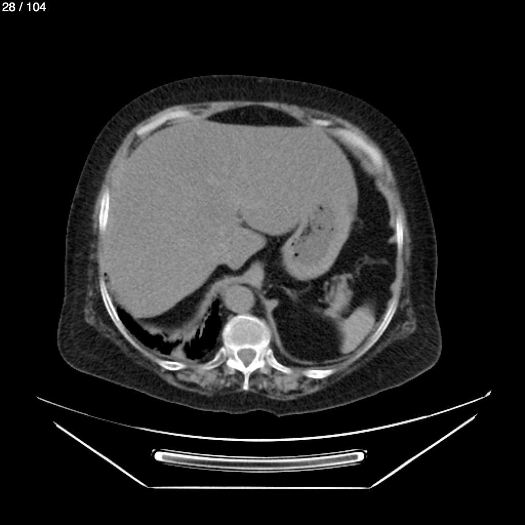
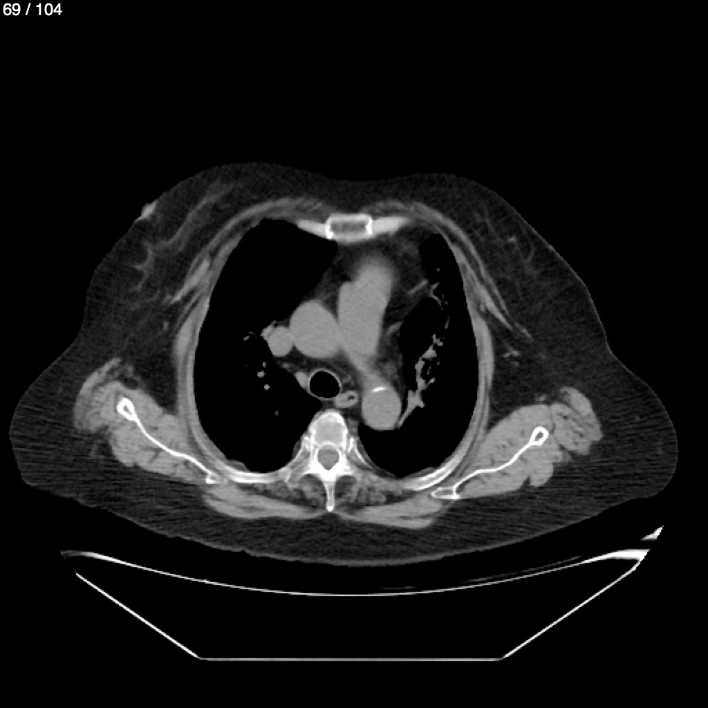
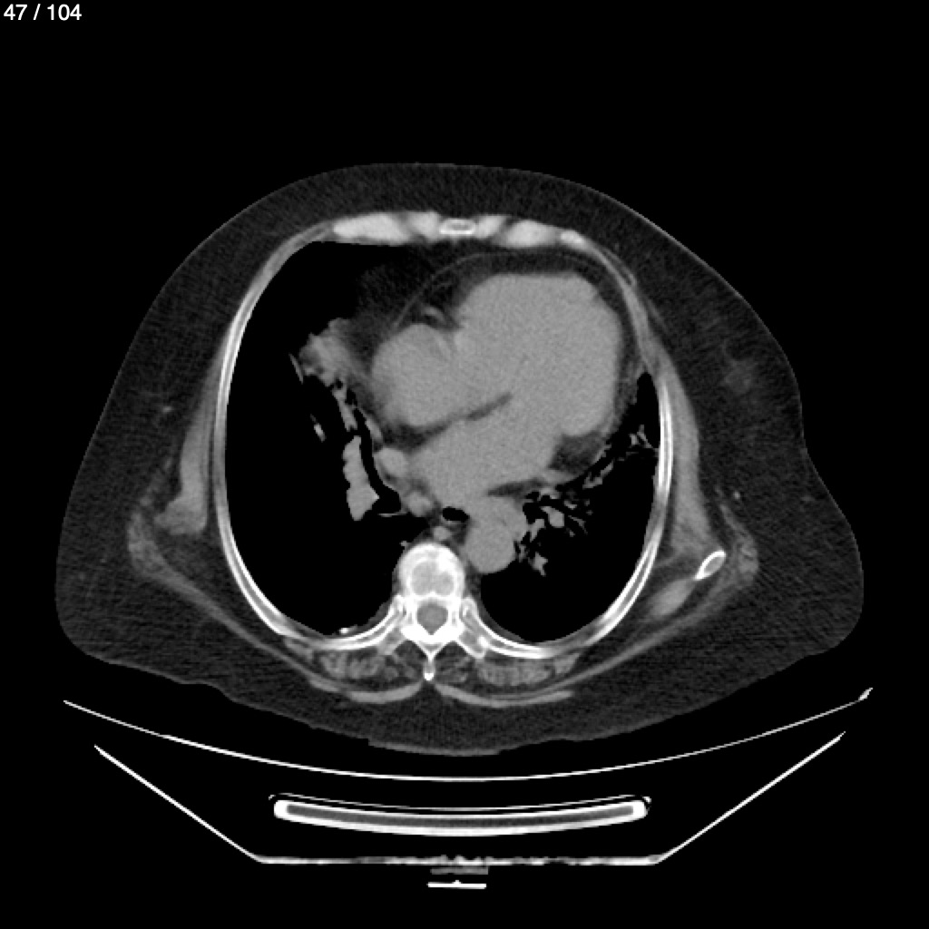
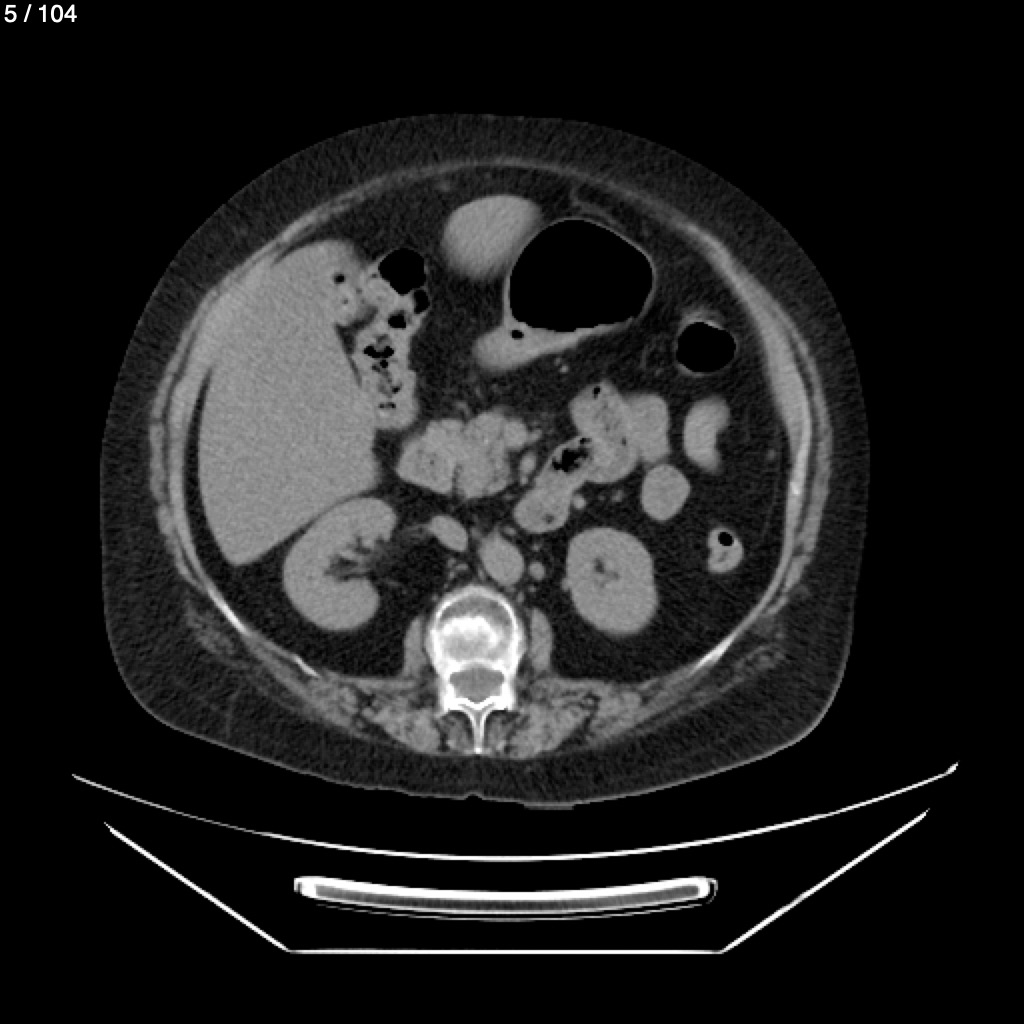
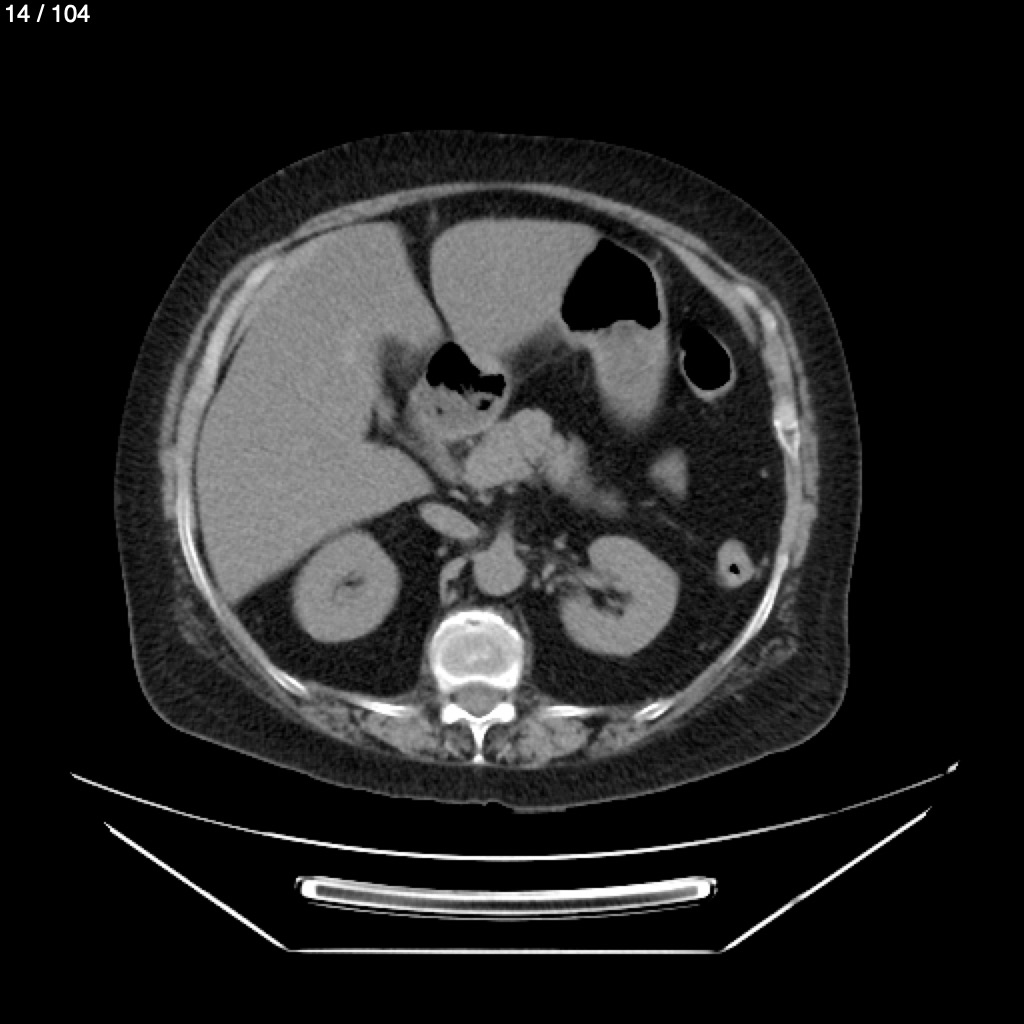
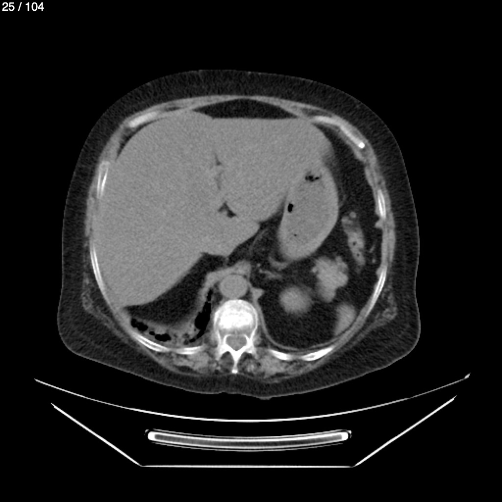
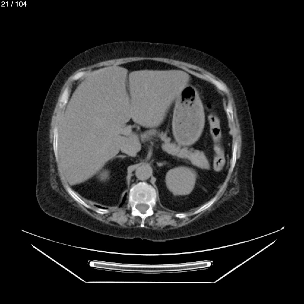
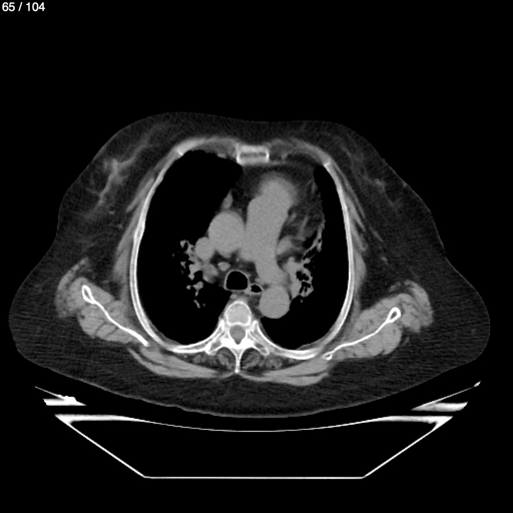
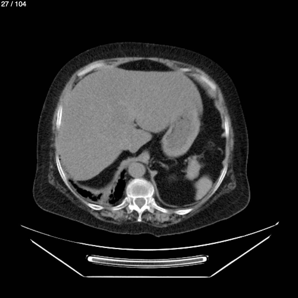
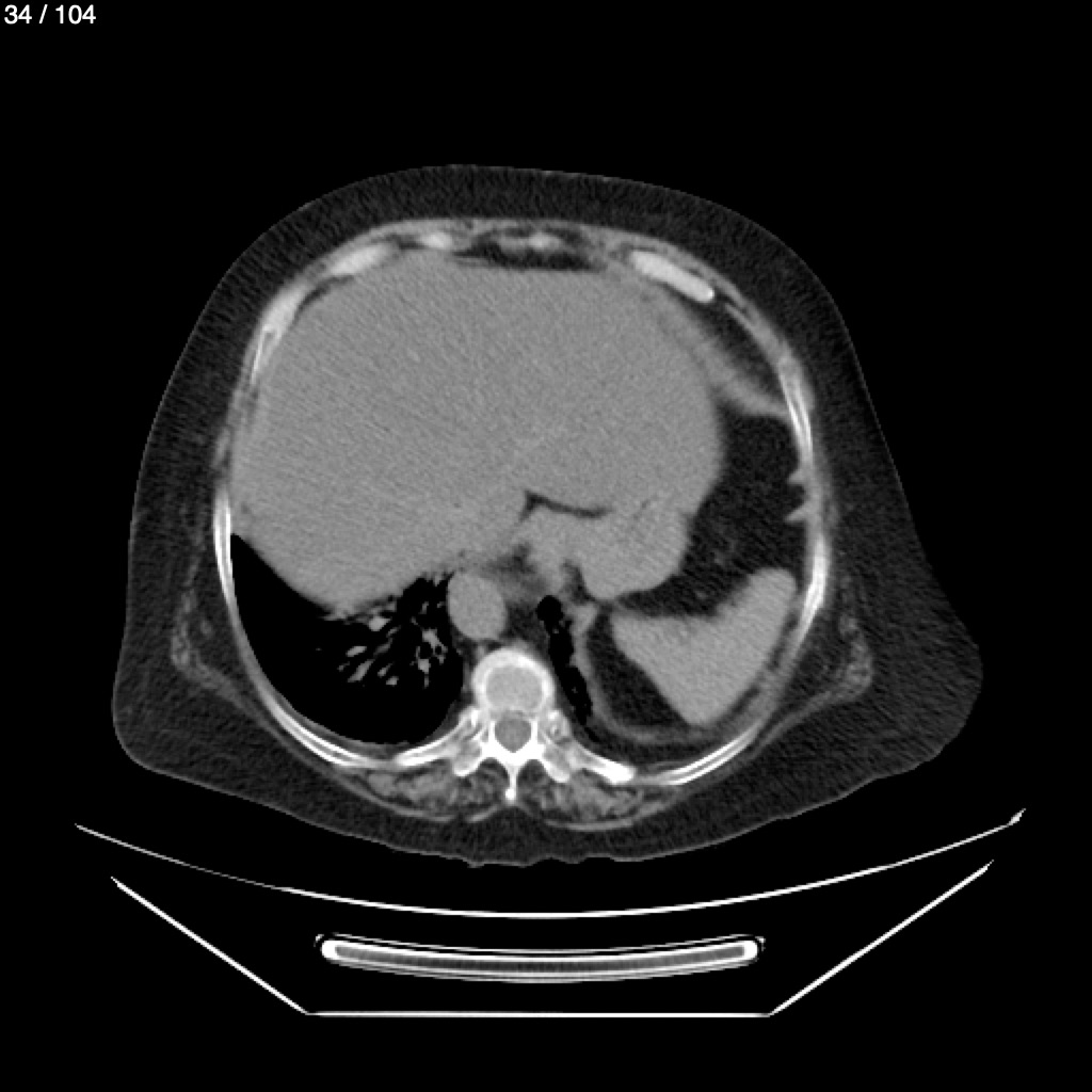
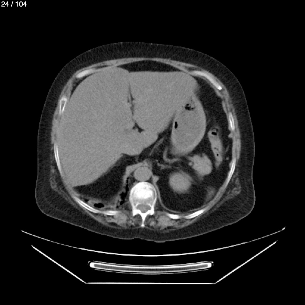
Etelvina Ramirez Hernandez 54 - T.C Torax S
Next Series
Show as Sequence