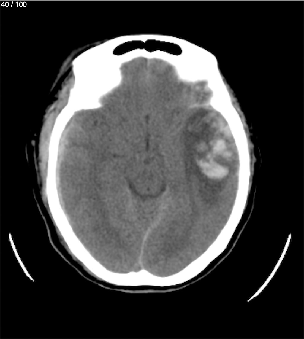
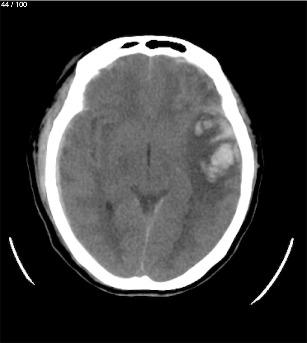
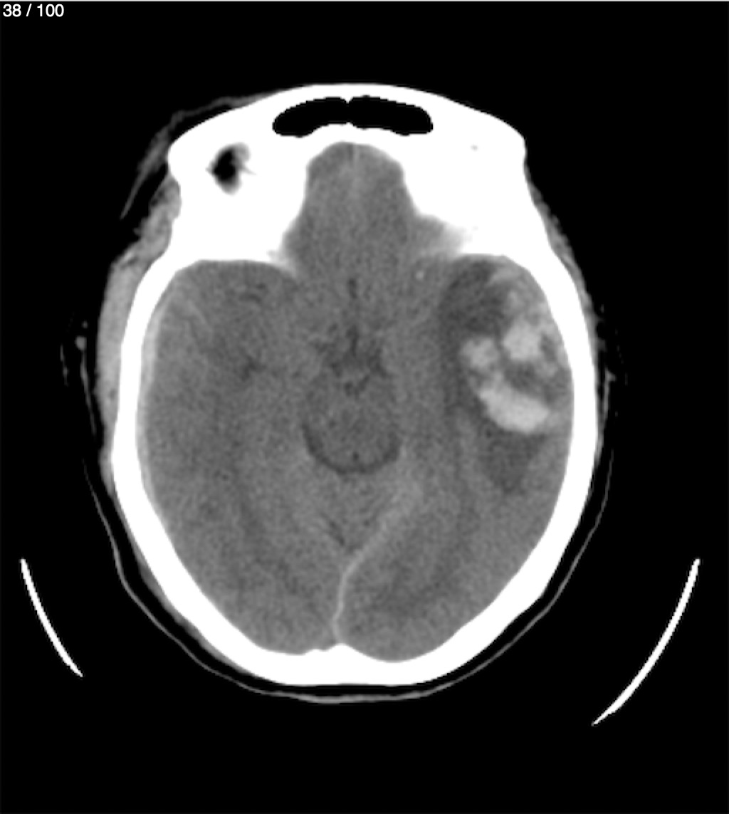
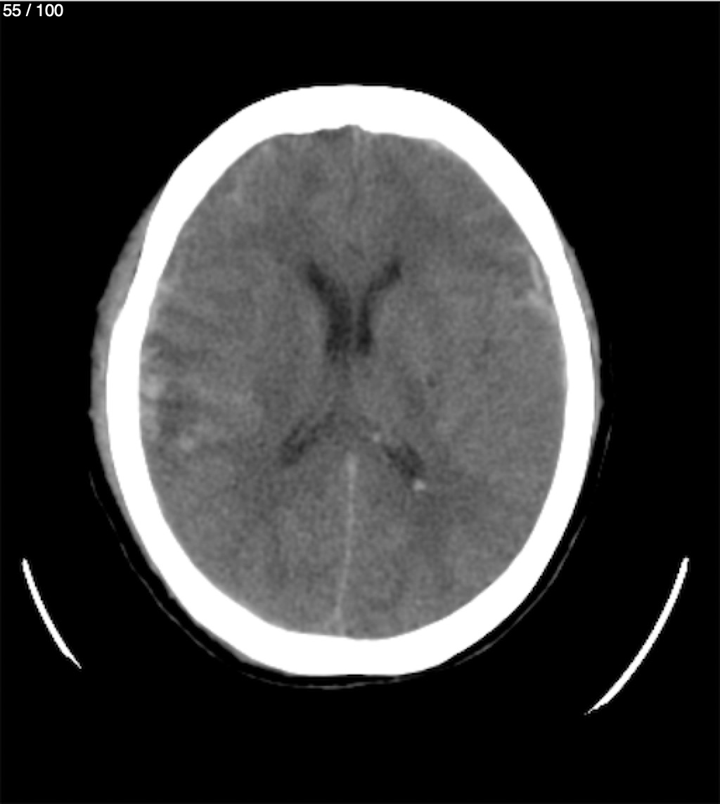
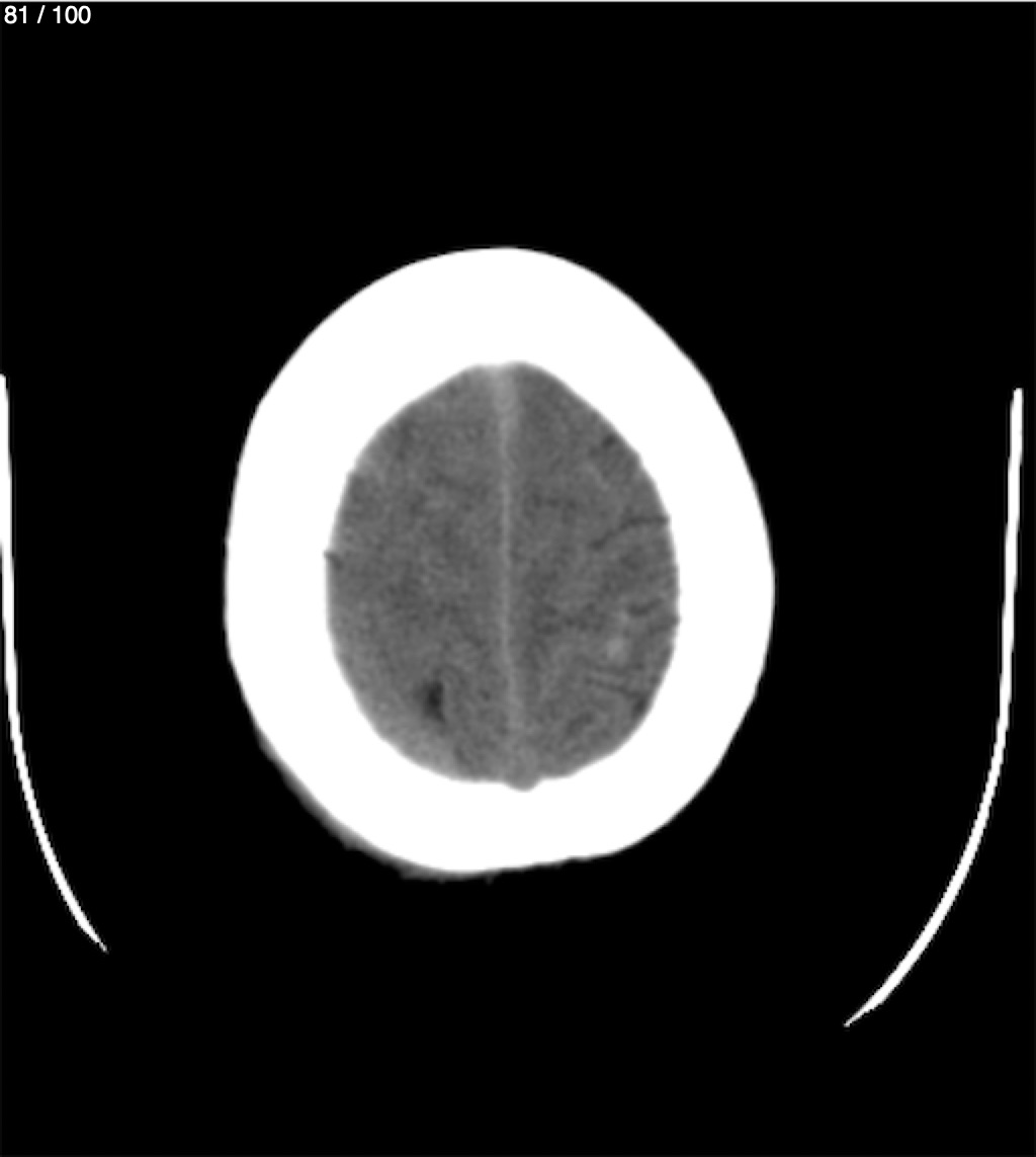
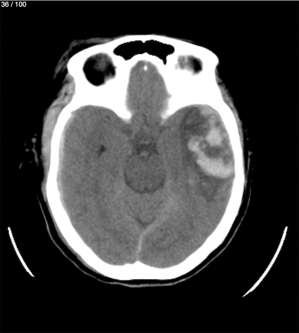
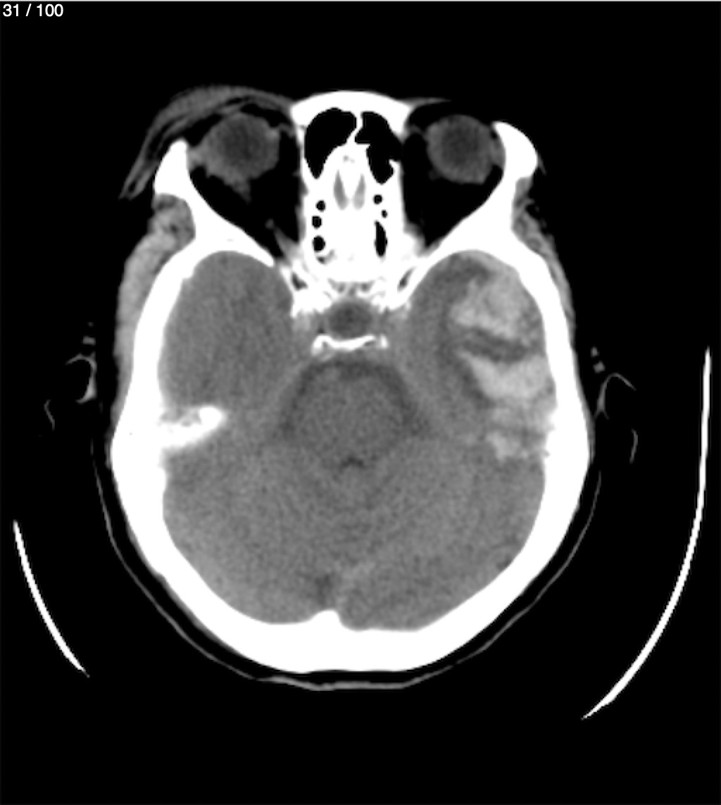
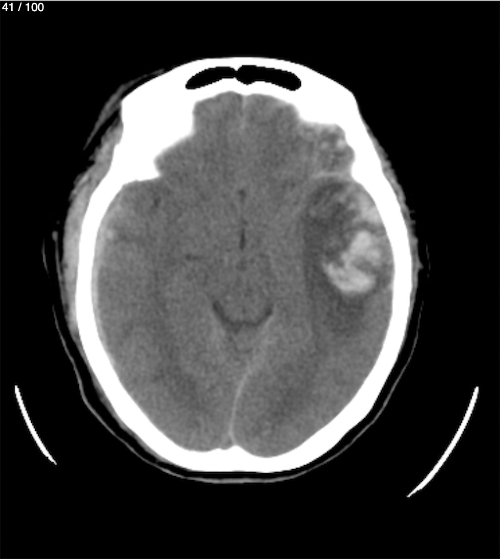
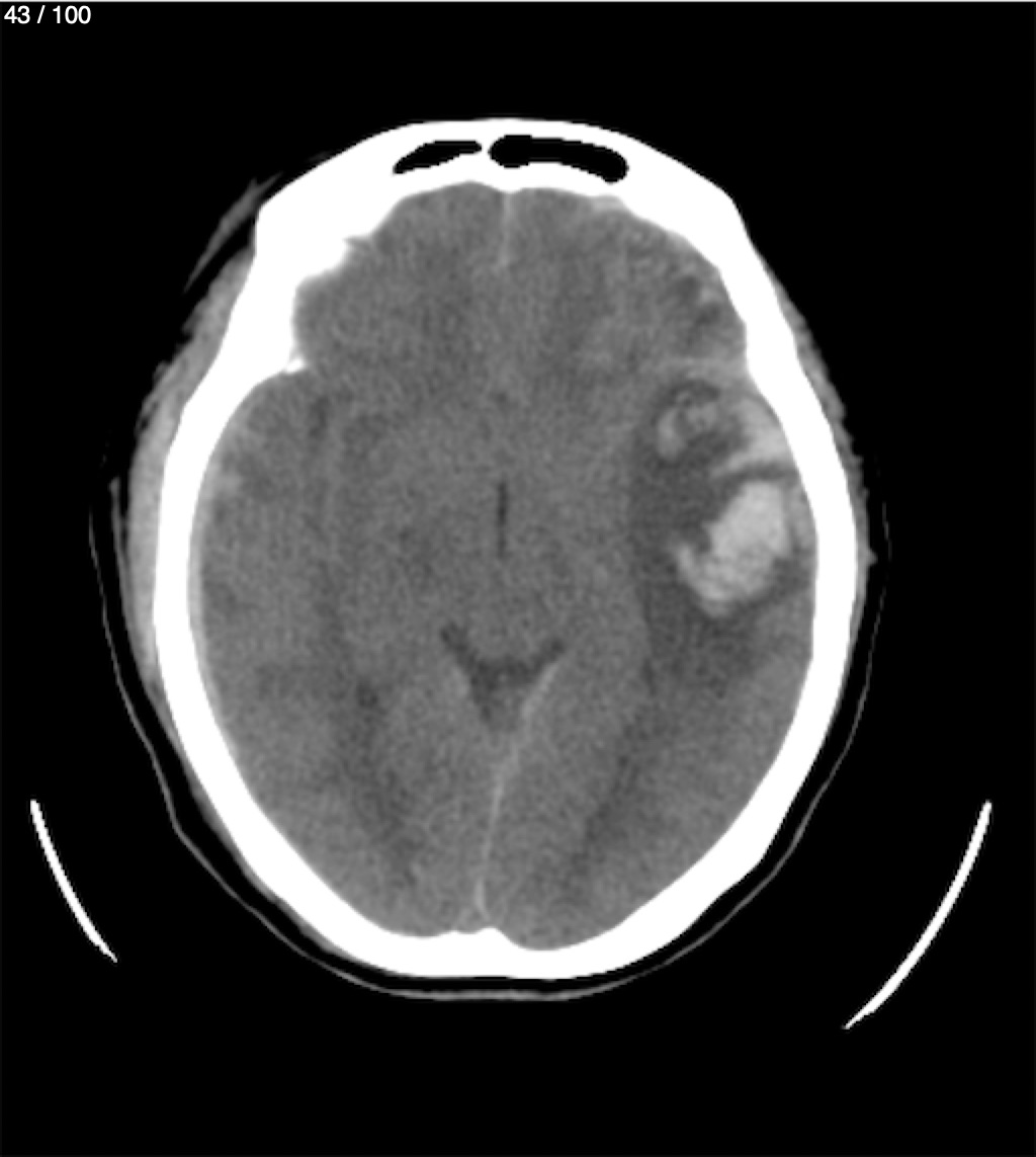
Home M​a​r​i​a​ ​L​o​p​e​z​ ​A​g​u​i​l​a​r​ ​7​8​A​ ​-​ ​E​+​1​ ​T​c​ ​C​r​a​n​e​o