HUIXTLA
ESCUINTLA
AKISHINO
AKISHINO2 USG
ESPECIALIDADES
Home
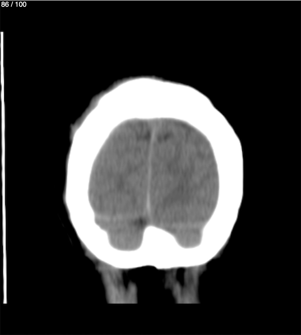
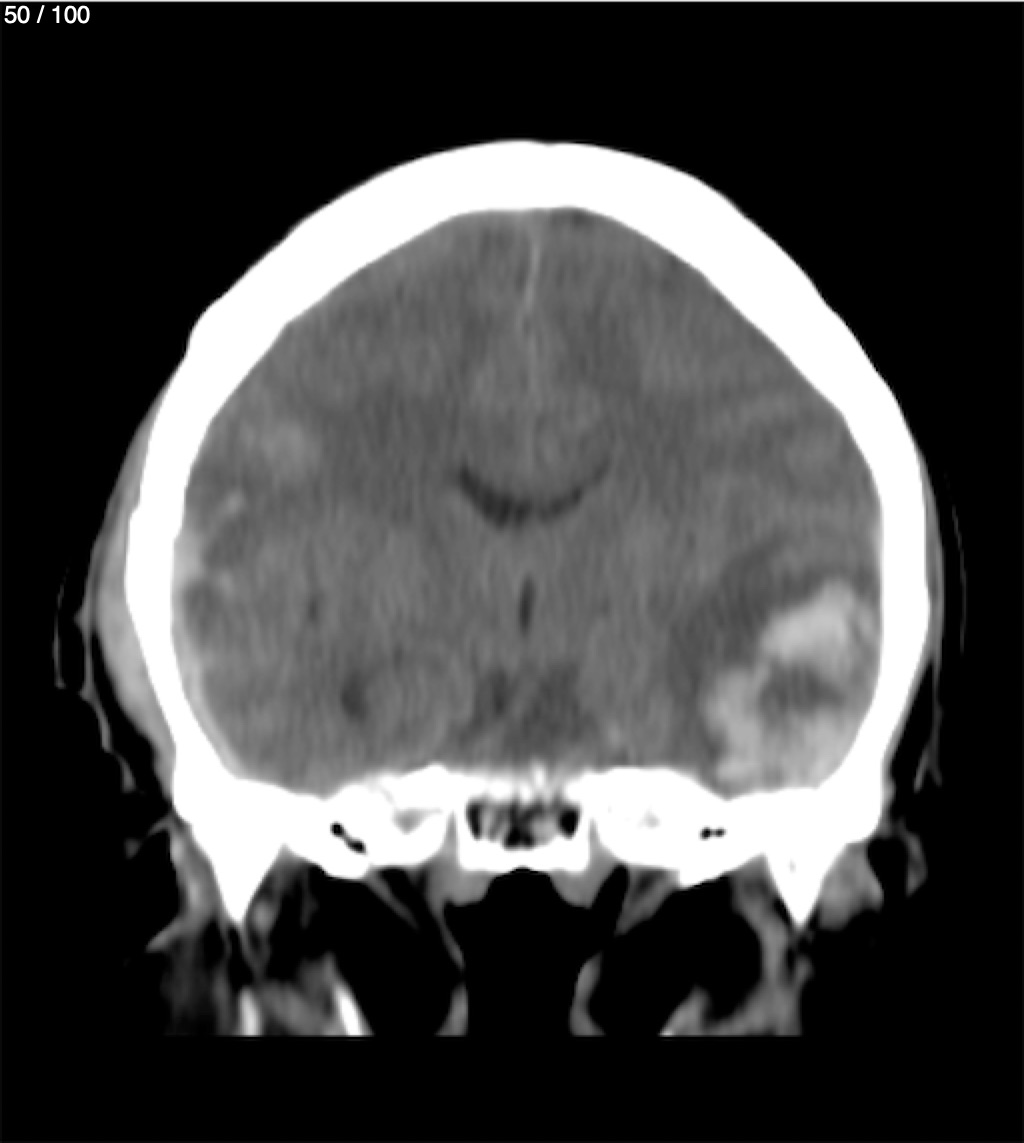
Maria Lopez Aguilar 78A - E+1 Tc Craneo
Previous Series
Next Series
Show as Sequence