HUIXTLA
ESCUINTLA
AKISHINO
AKISHINO2 USG
ESPECIALIDADES
Home
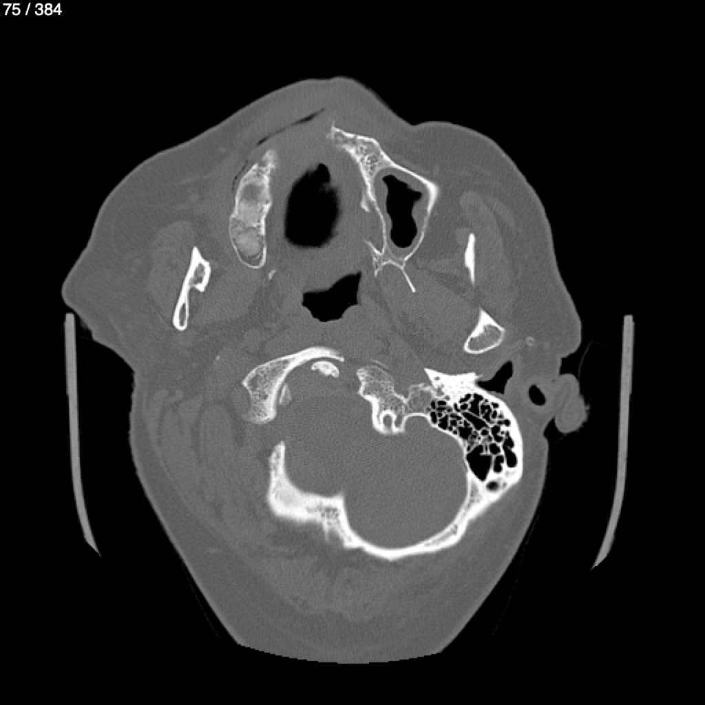
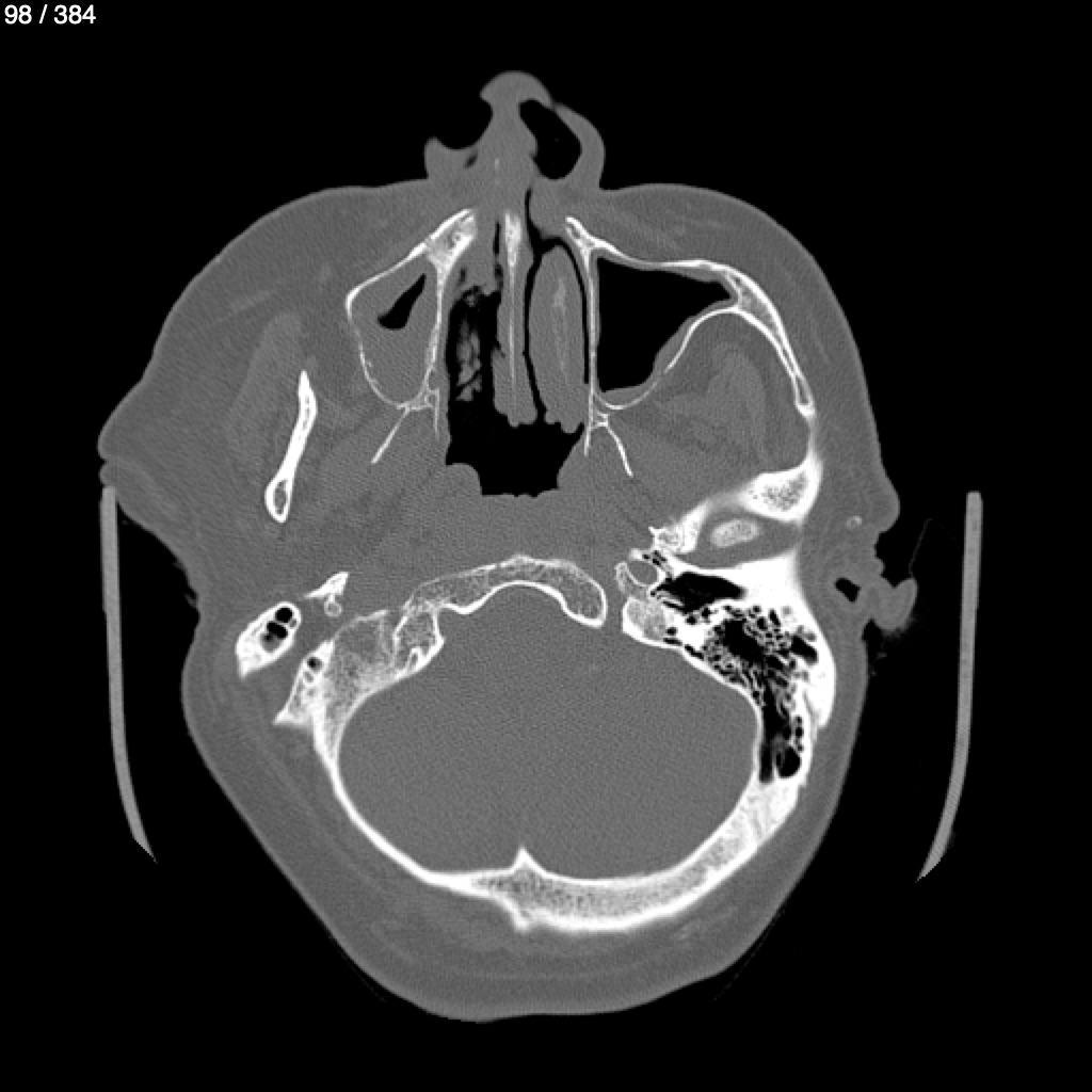
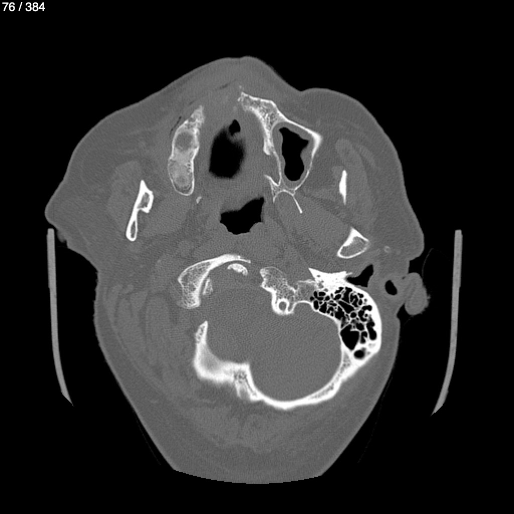
Jose Sosa Martinez 66A - Angiotac Craneo
Previous Series
Next Series
Show as Sequence