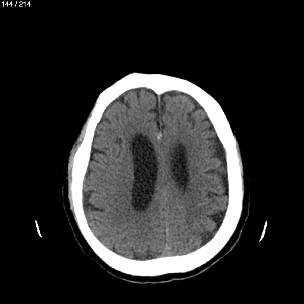
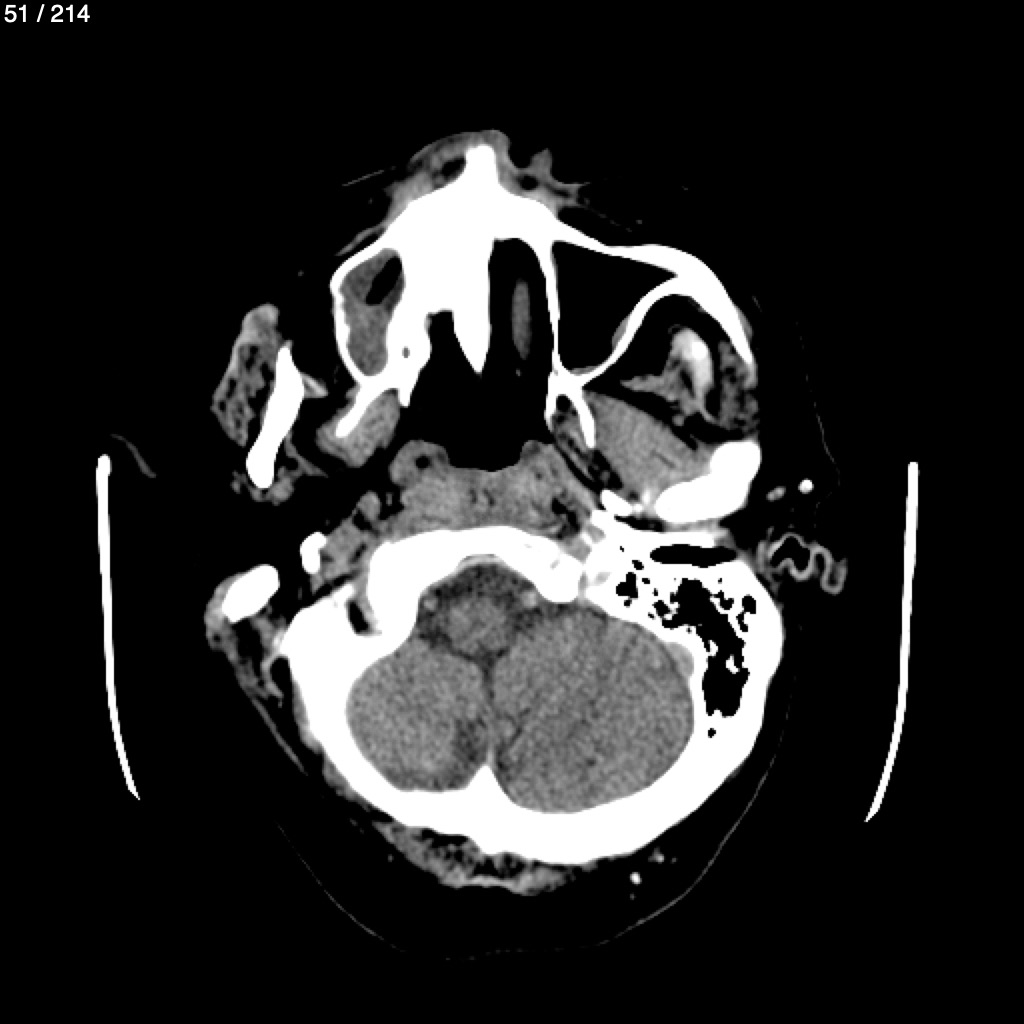
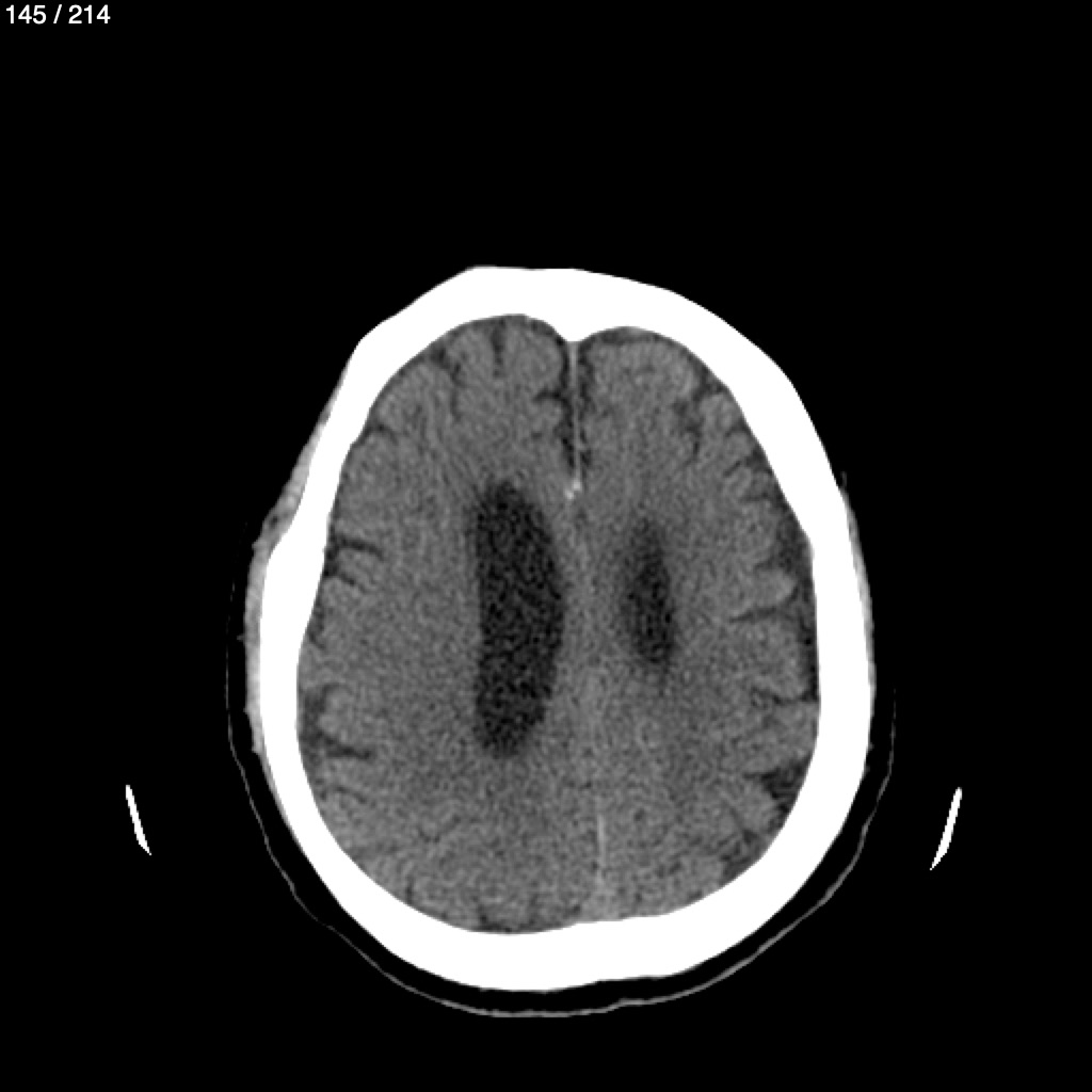
Home J​o​s​e​ ​S​o​s​a​ ​M​a​r​t​i​n​e​z​ ​6​6​A​ ​-​ ​A​n​g​i​o​t​a​c​ ​C​r​a​n​e​o