HUIXTLA
ESCUINTLA
AKISHINO
AKISHINO2 USG
ESPECIALIDADES
Home
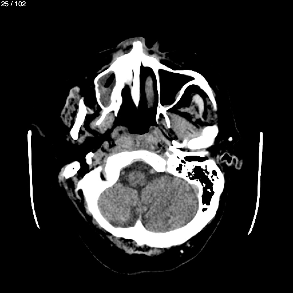
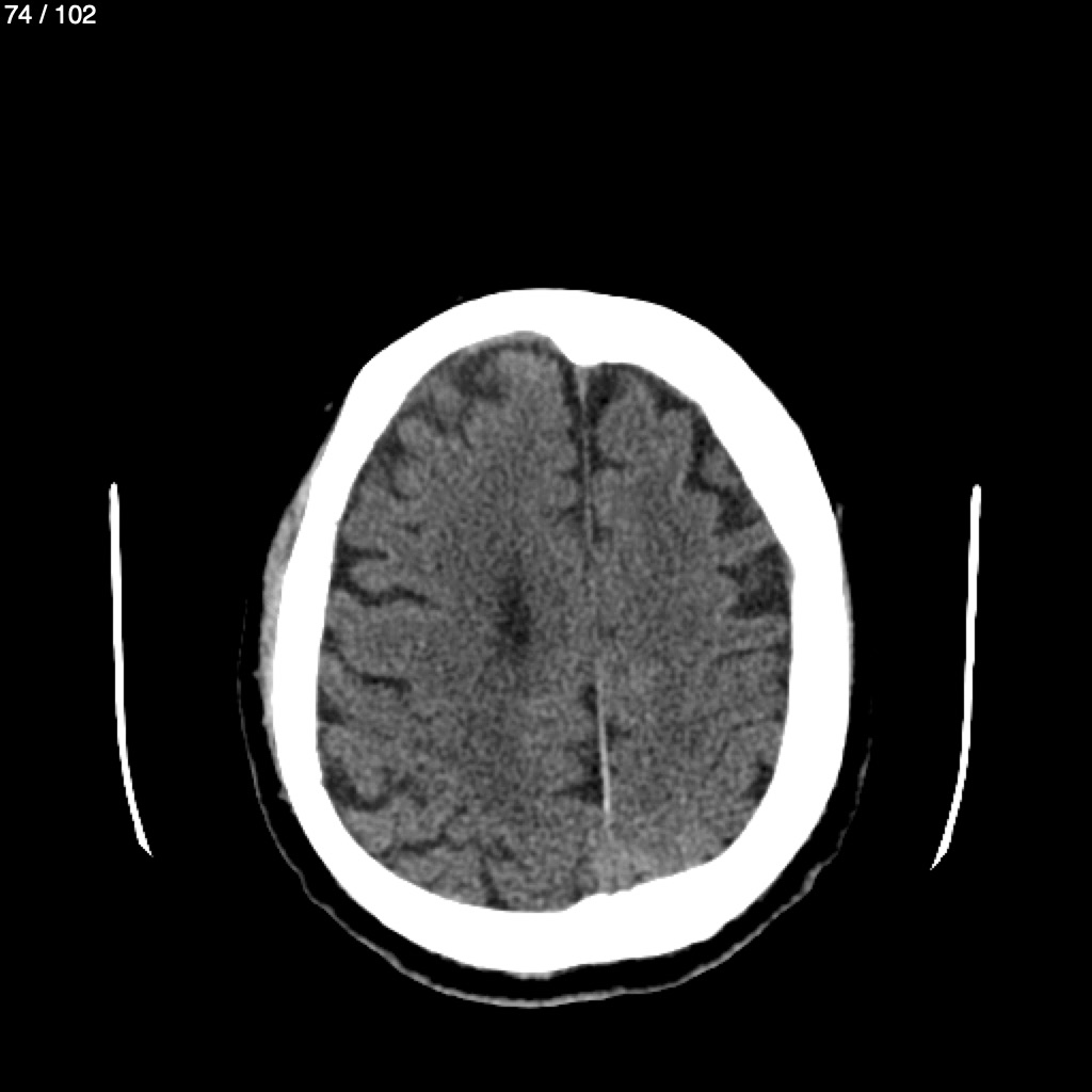
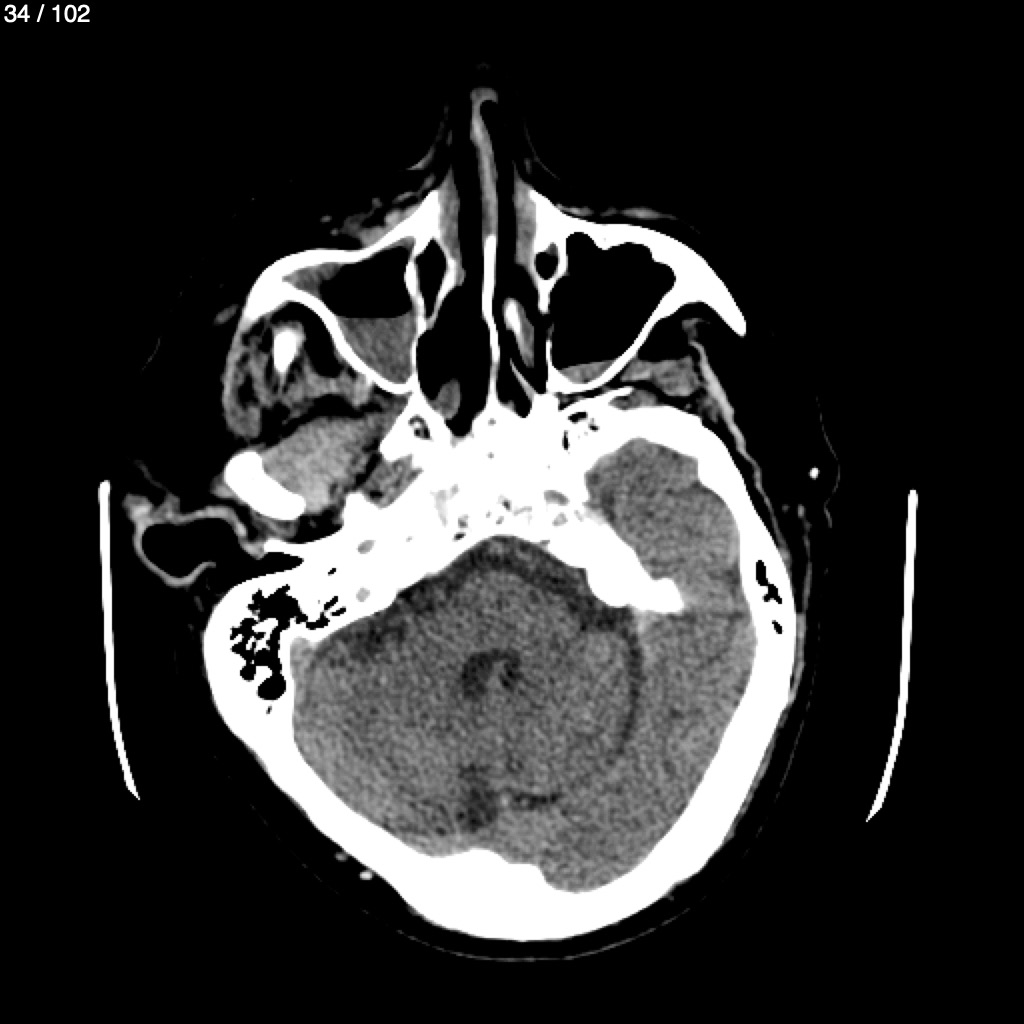
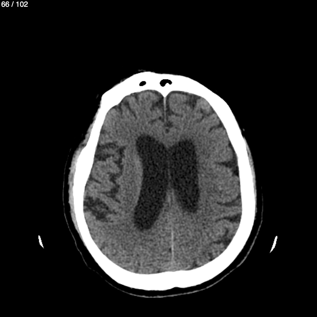
Jose Sosa Martinez 66A - Angiotac Craneo
Next Series
Show as Sequence