HUIXTLA
ESCUINTLA
AKISHINO
AKISHINO2 USG
ESPECIALIDADES
Home
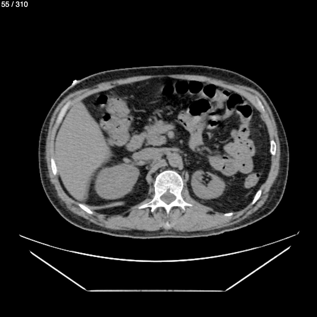
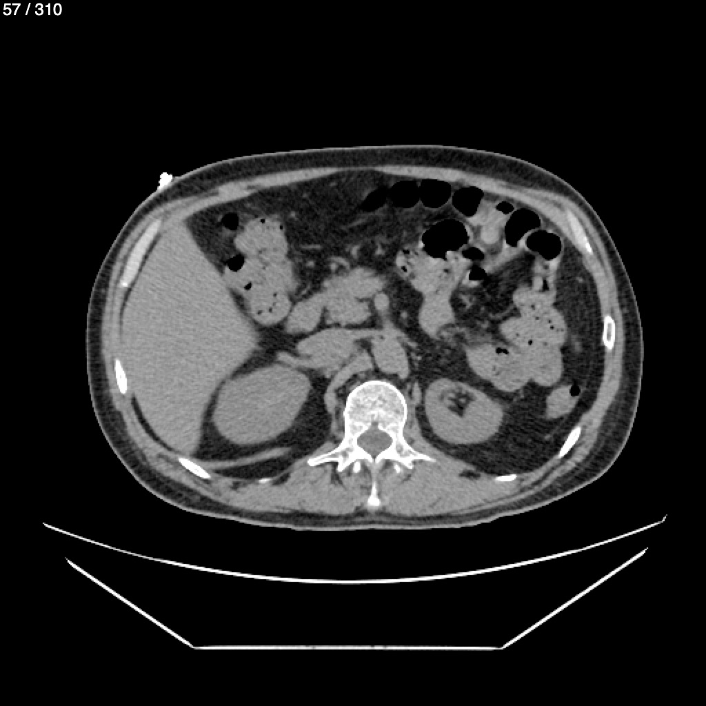
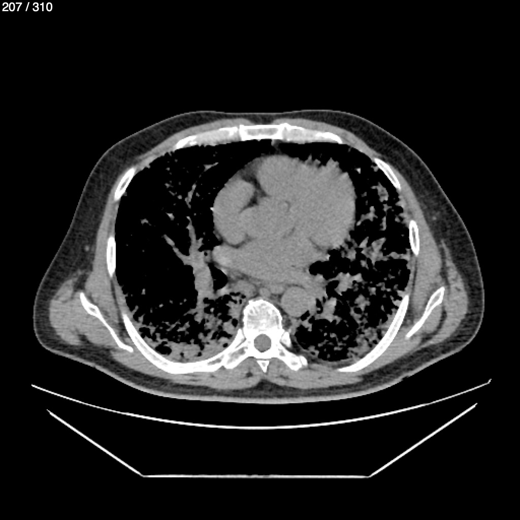
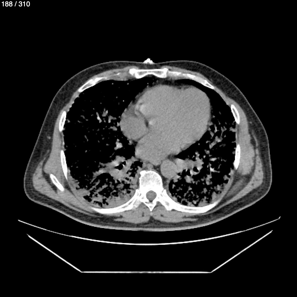
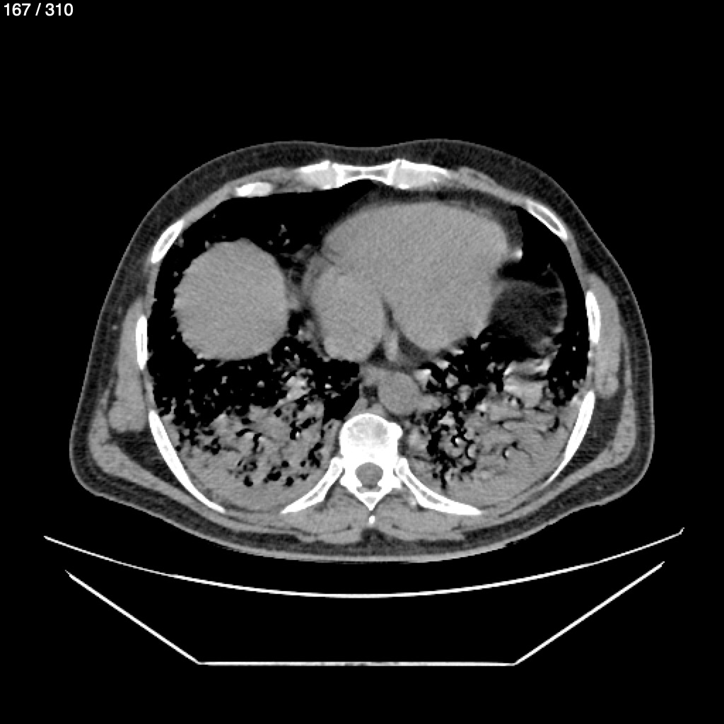
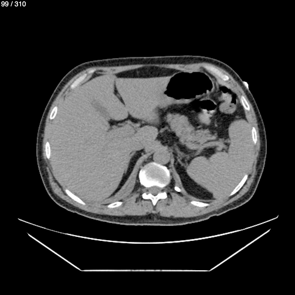
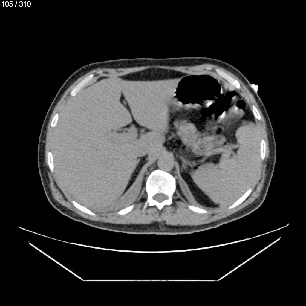
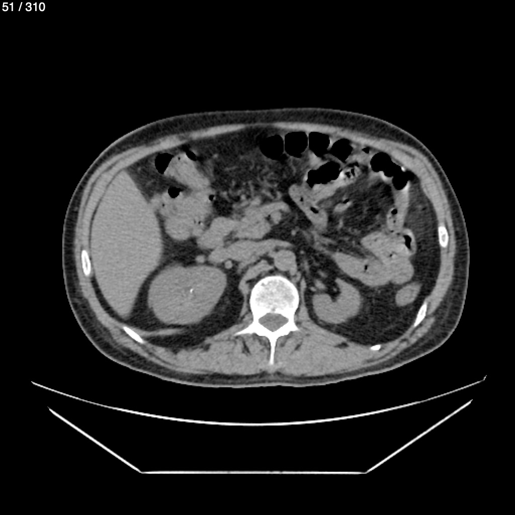
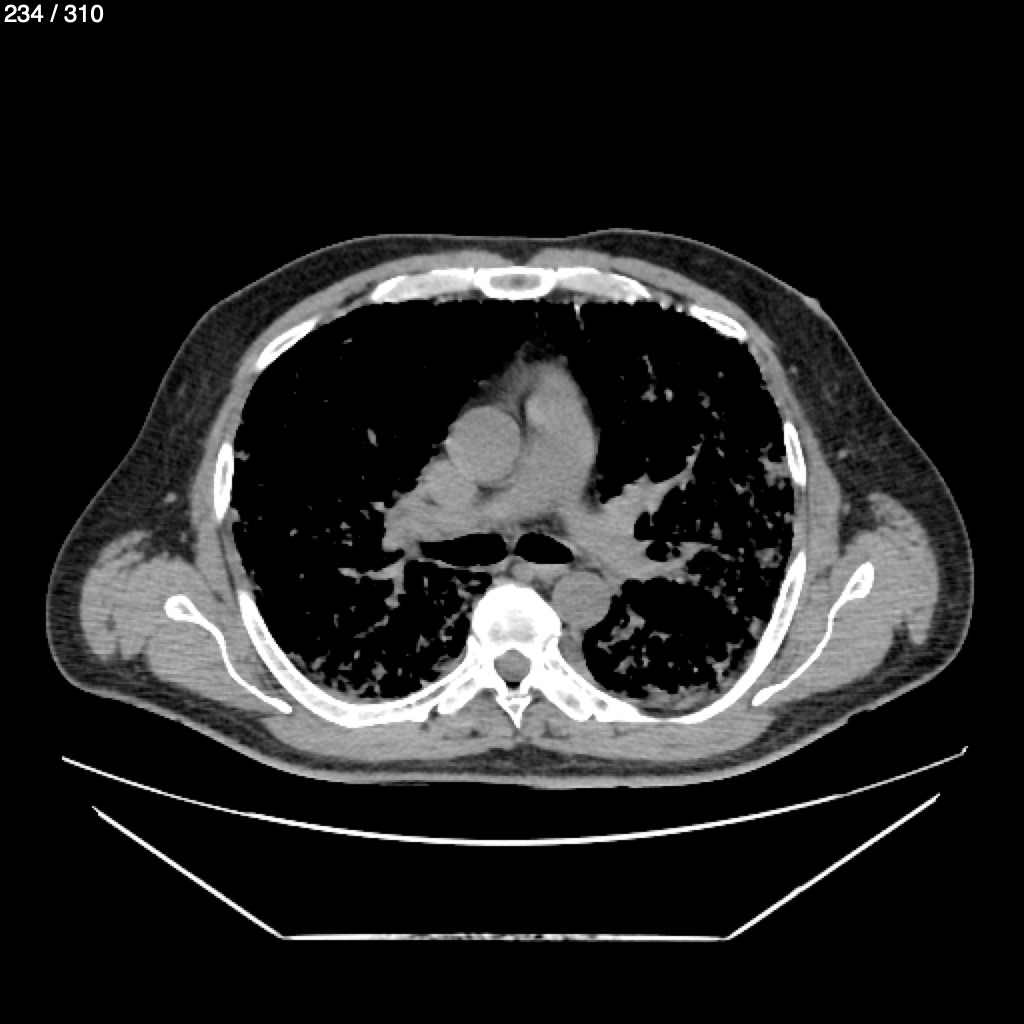
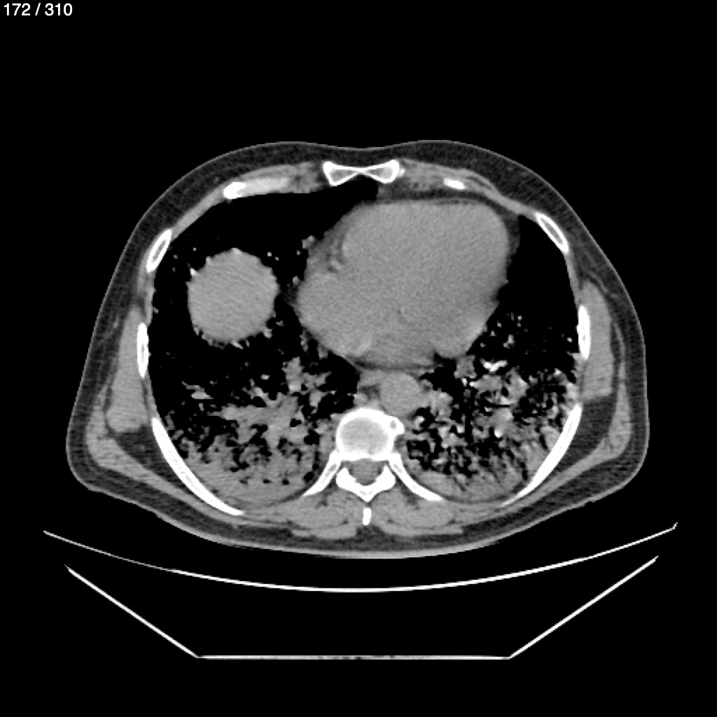
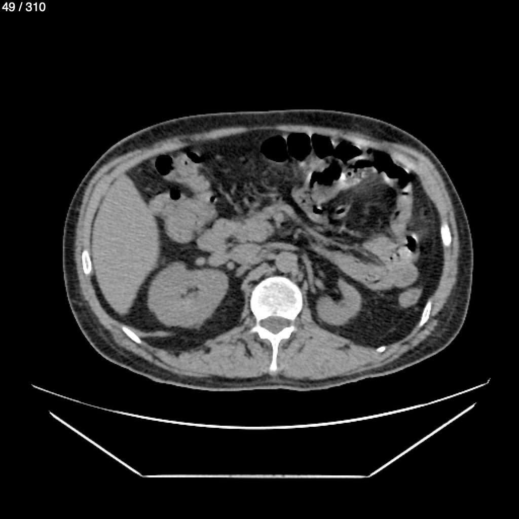
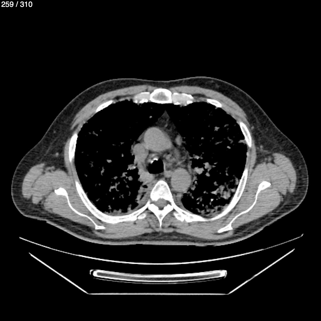
Domingo Antulio Gabriel Salas 56A - E+1
Previous Series
Next Series
Show as Sequence