HUIXTLA
ESCUINTLA
AKISHINO
AKISHINO2 USG
ESPECIALIDADES
Home
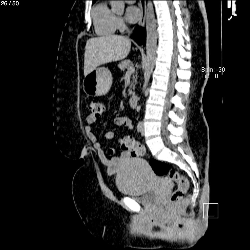
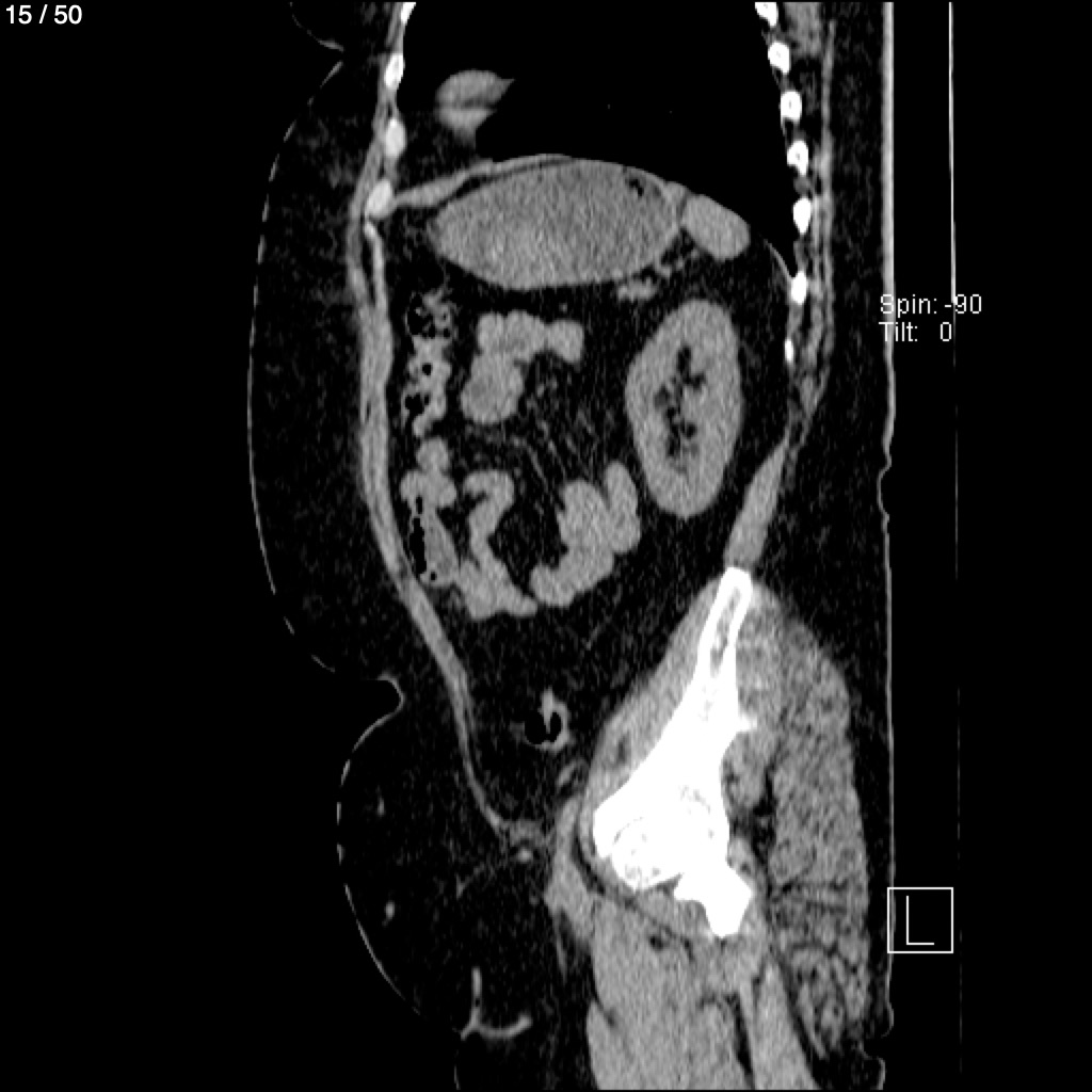
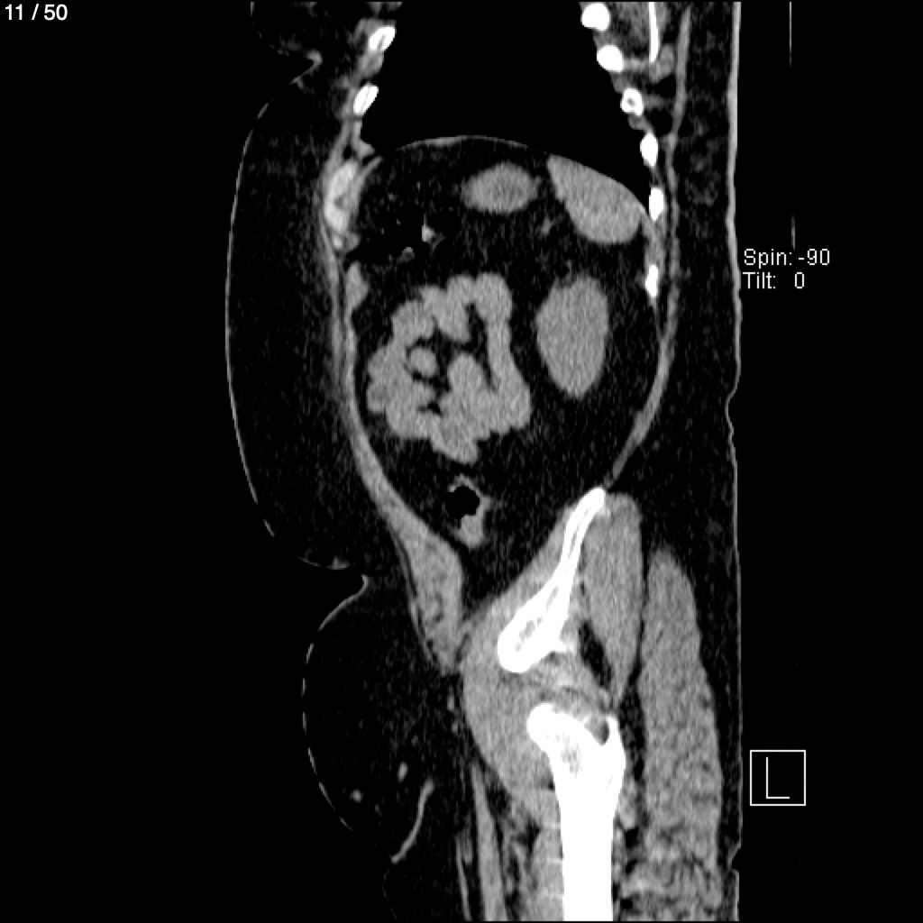
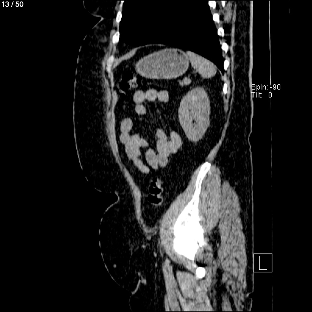
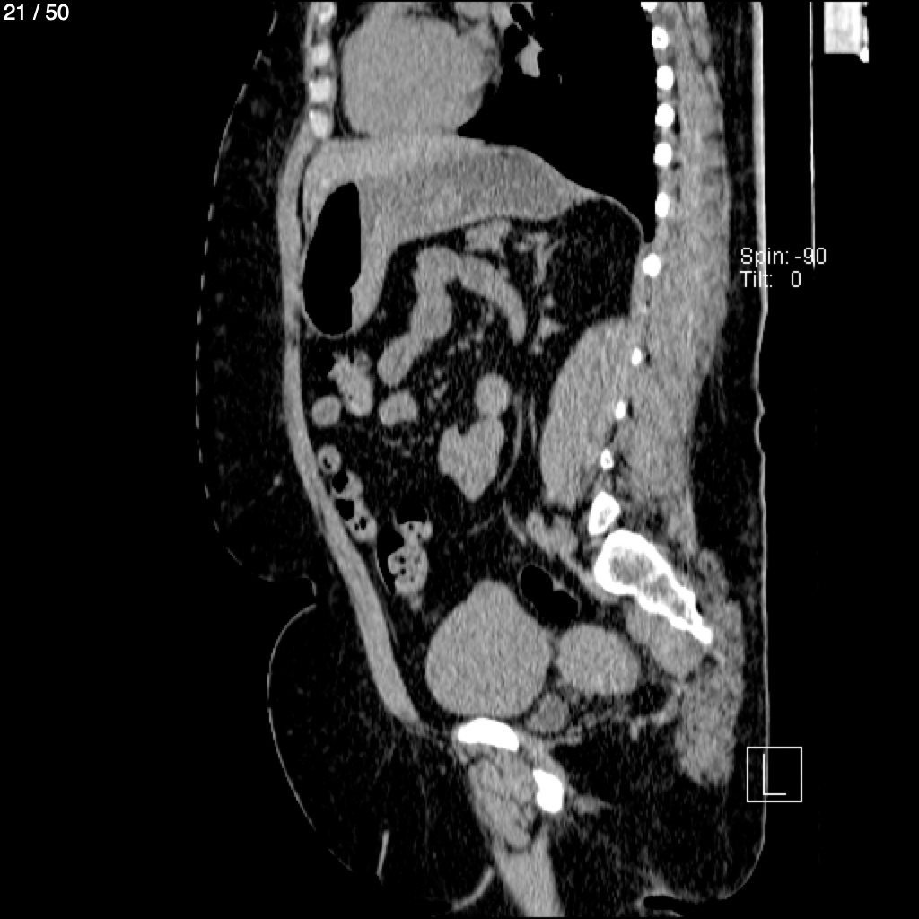
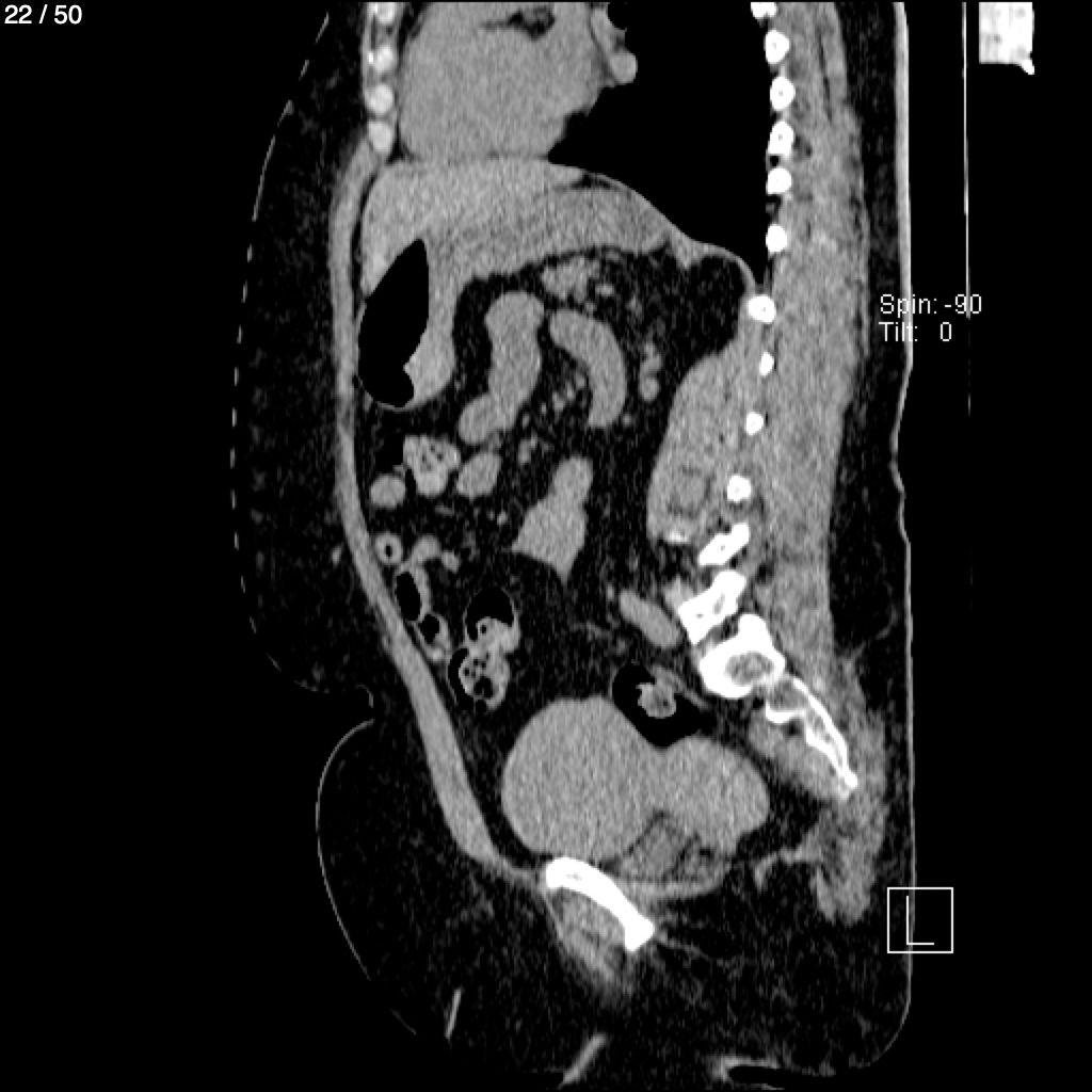
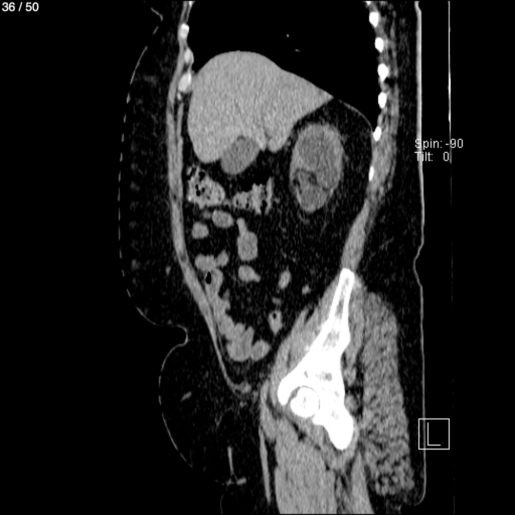
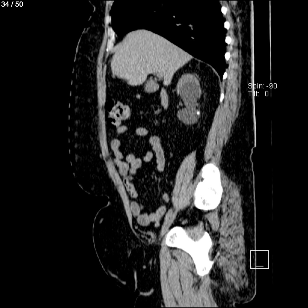
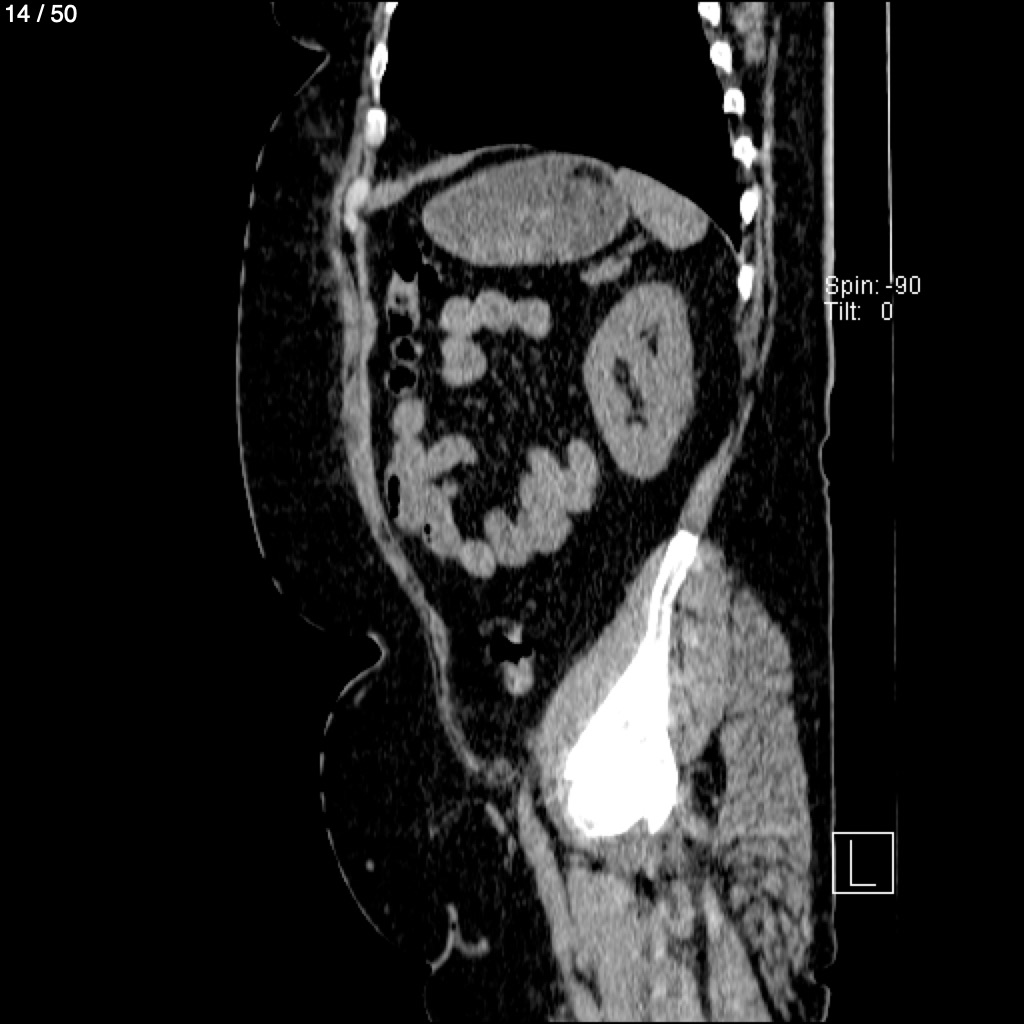
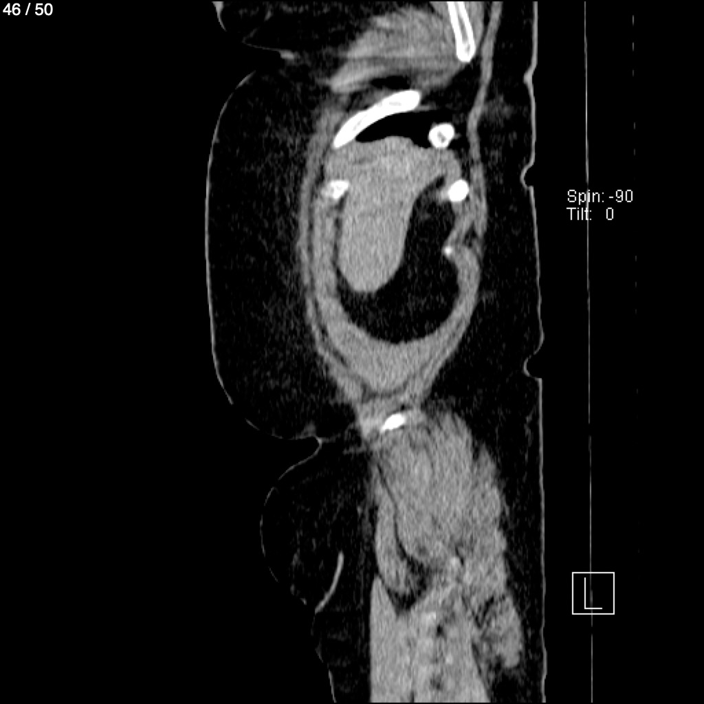
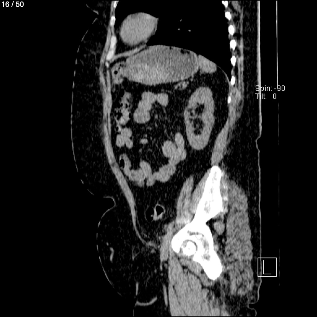
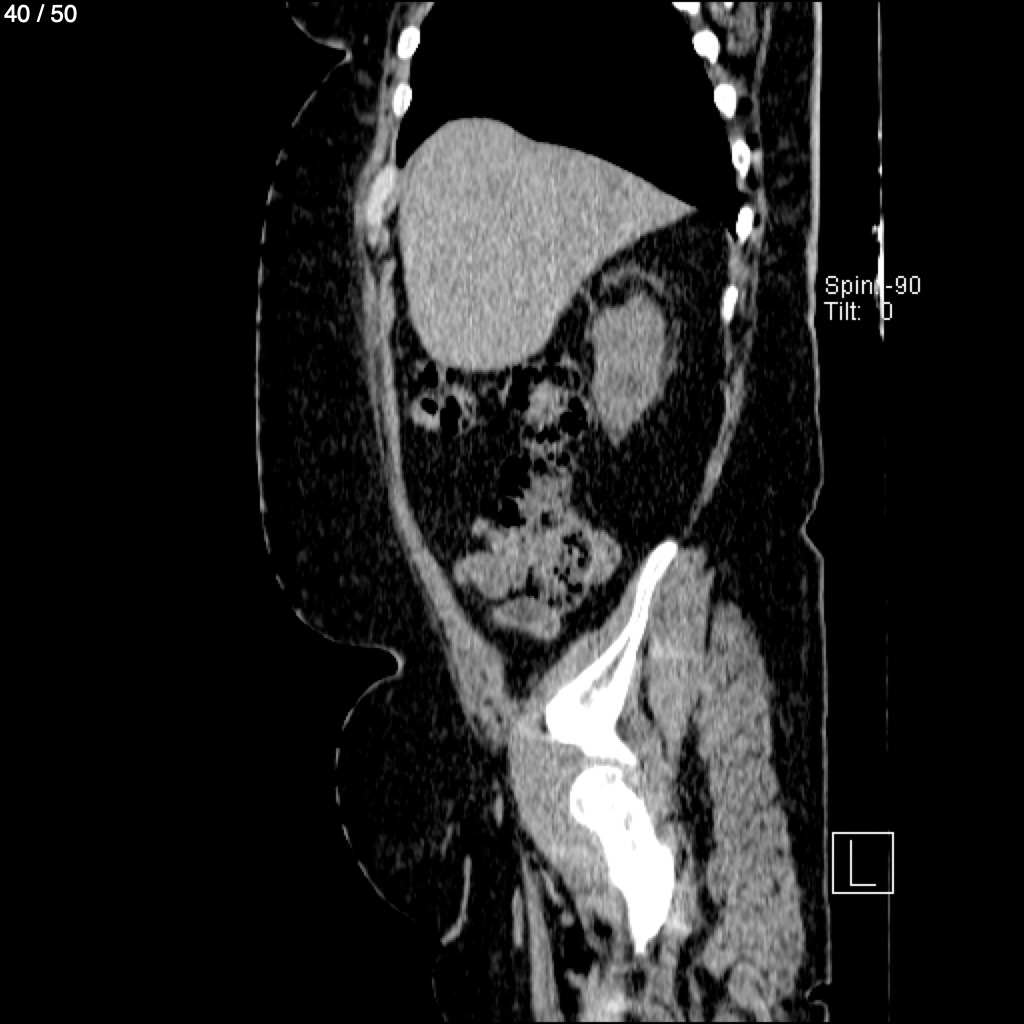
Adriana Garcia Perez - Abdomen Abdomen_Simple (Adulto)
Previous Series
Next Series
Show as Sequence