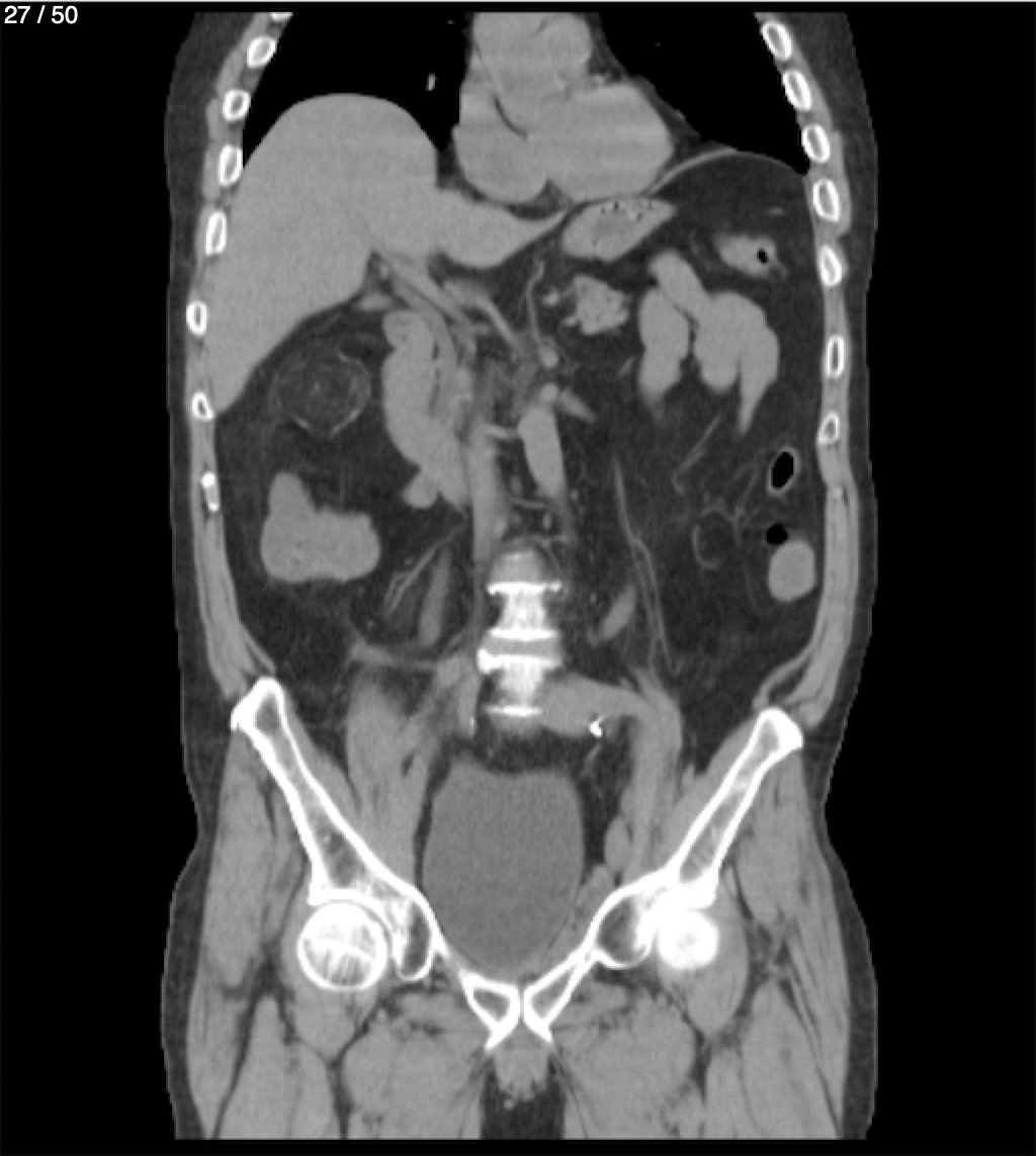
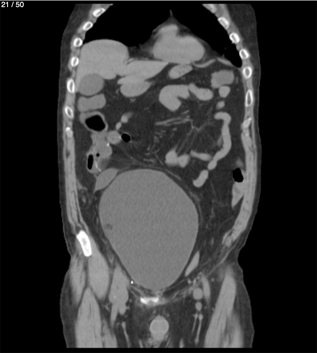
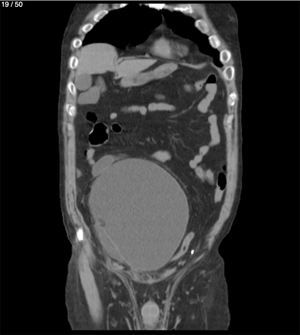
Home F​r​a​n​k​l​i​n​ ​T​h​o​m​a​s​ ​H​a​r​o​l​d​ ​8​0​A​ ​-​ ​T​.​C​ ​A​b​d​o​m​e​n​ ​S​y​c