HUIXTLA
ESCUINTLA
AKISHINO
AKISHINO2 USG
ESPECIALIDADES
Home
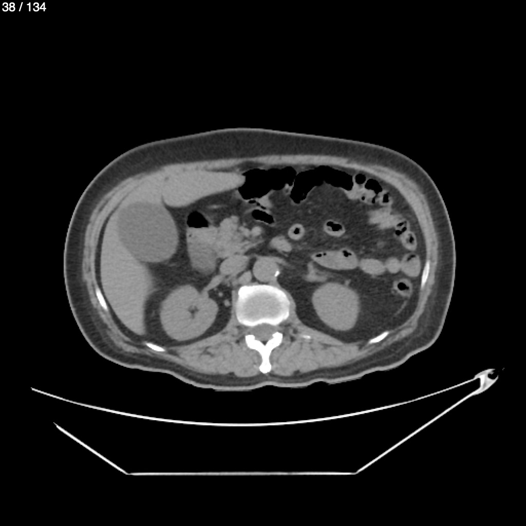
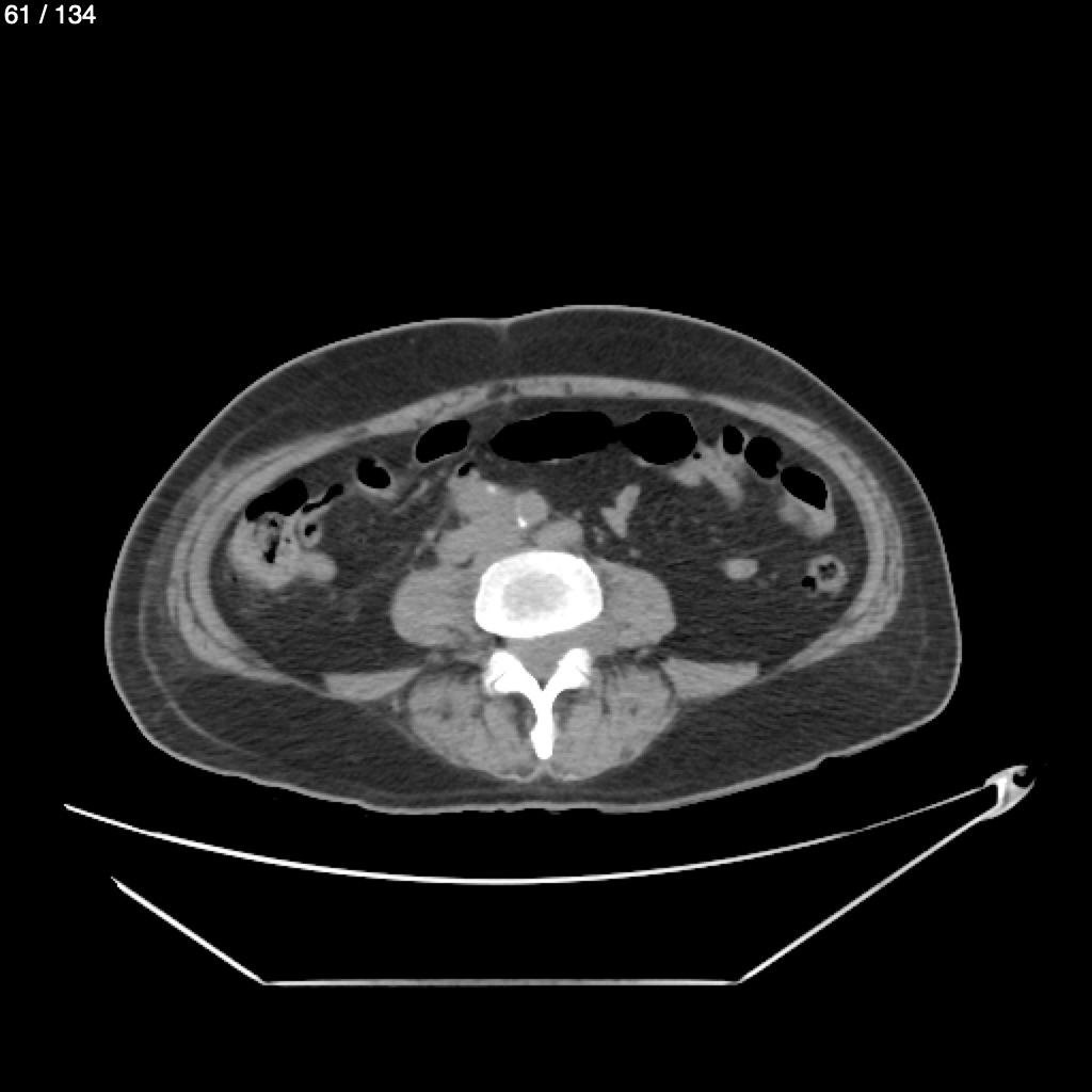
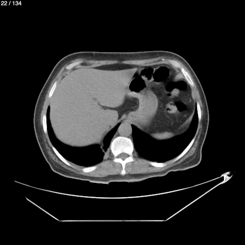
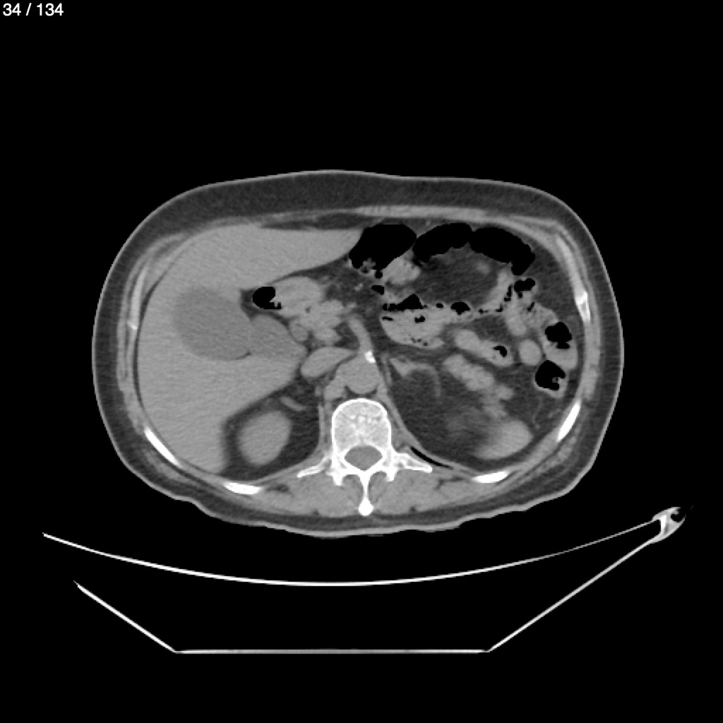
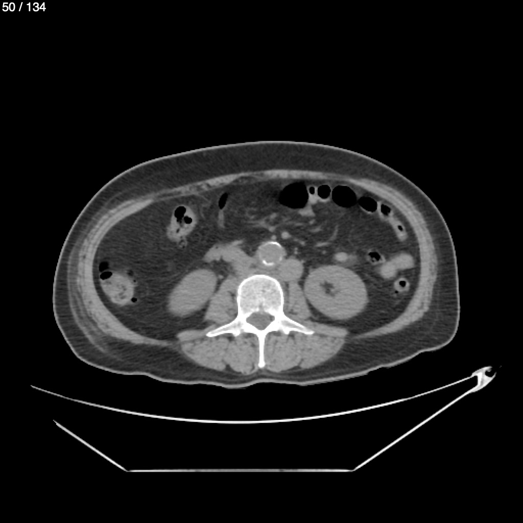
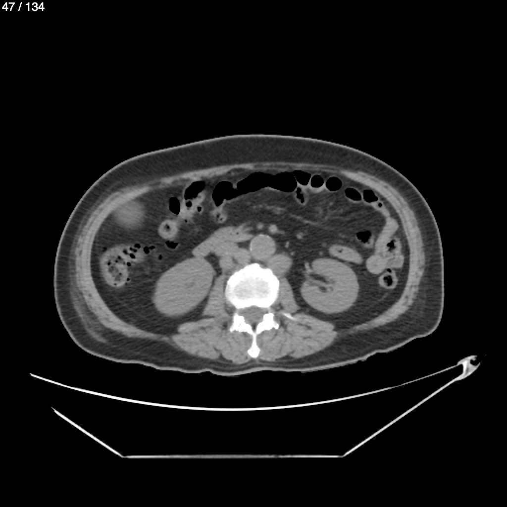
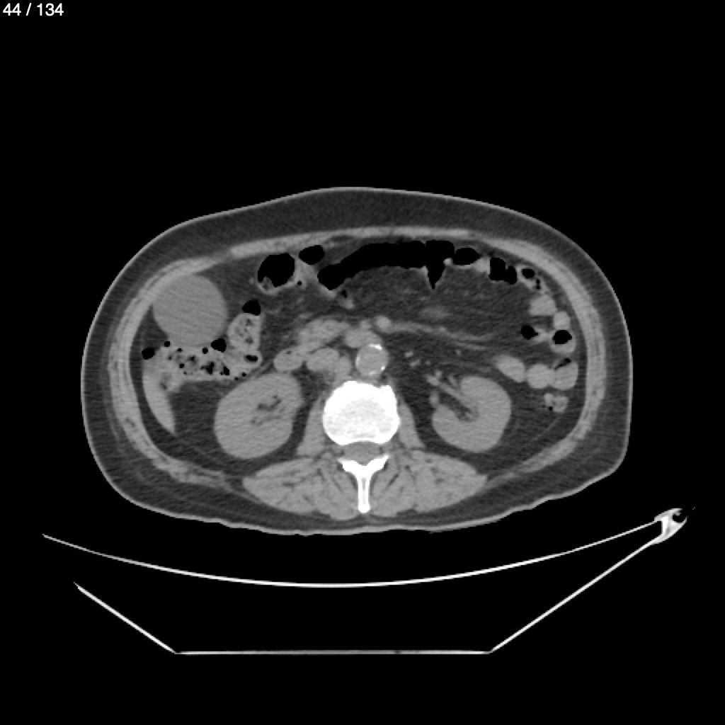
Genaro Perez Lopez 63A - T.C Abdomen Syc
Next Series
Show as Sequence