HUIXTLA
ESCUINTLA
AKISHINO
AKISHINO2 USG
ESPECIALIDADES
Home
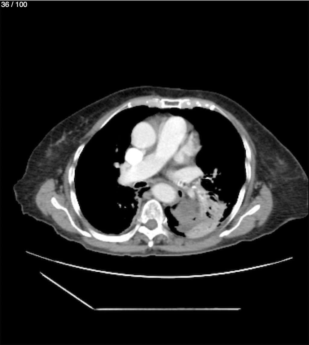
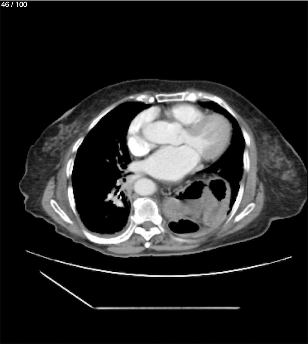
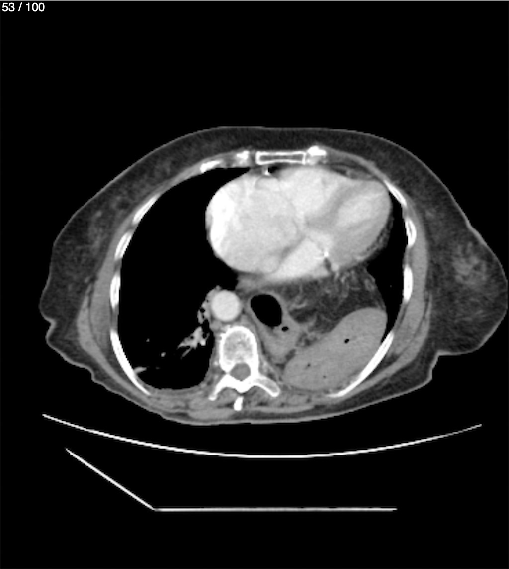
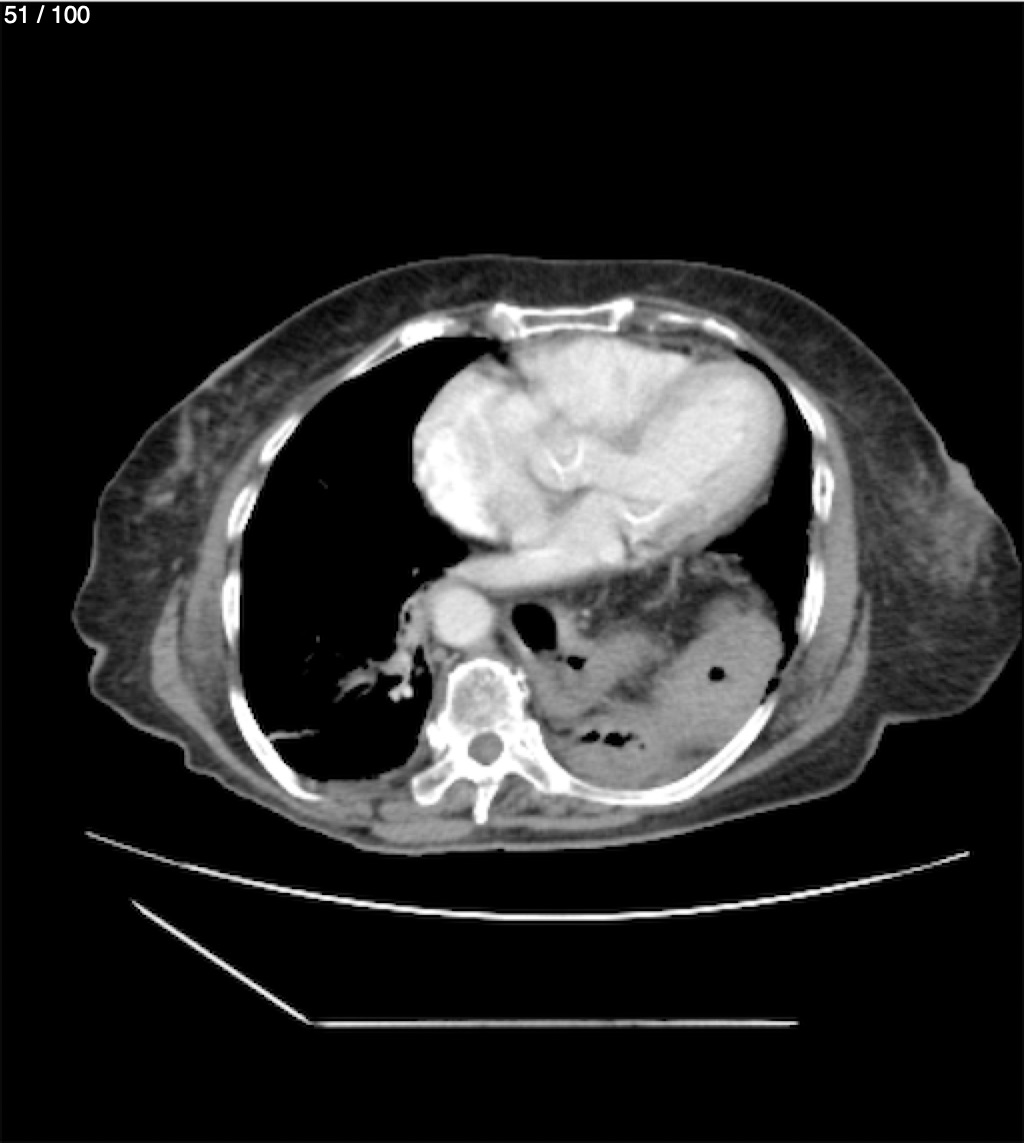
Clotilde Huthoff Chavez 86A - T.C Torax Syc
Previous Series
Next Series
Show as Sequence