HUIXTLA
ESCUINTLA
AKISHINO
AKISHINO2 USG
ESPECIALIDADES
Home
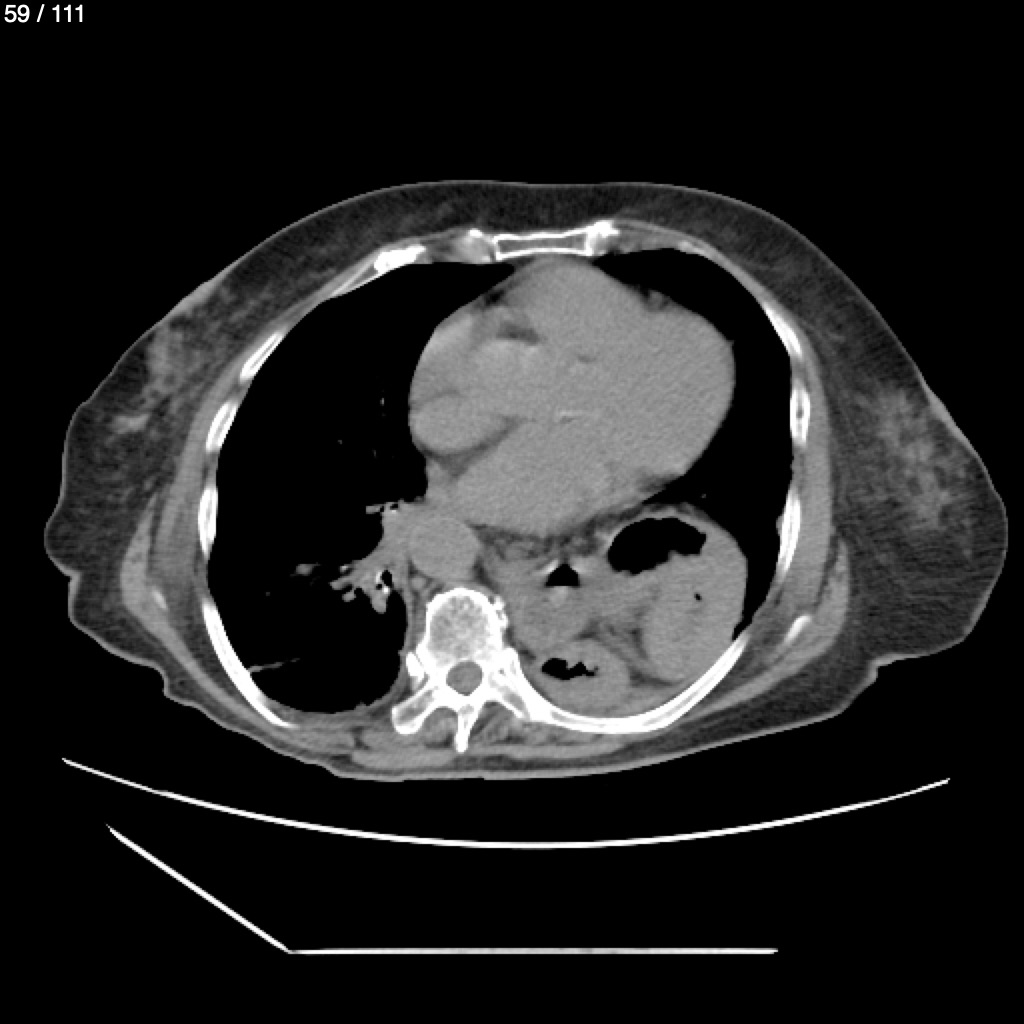
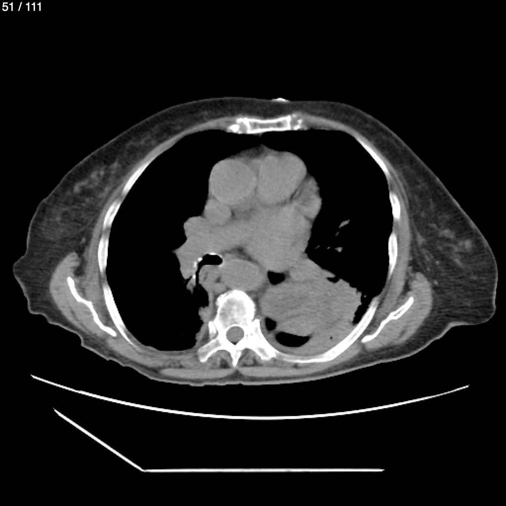
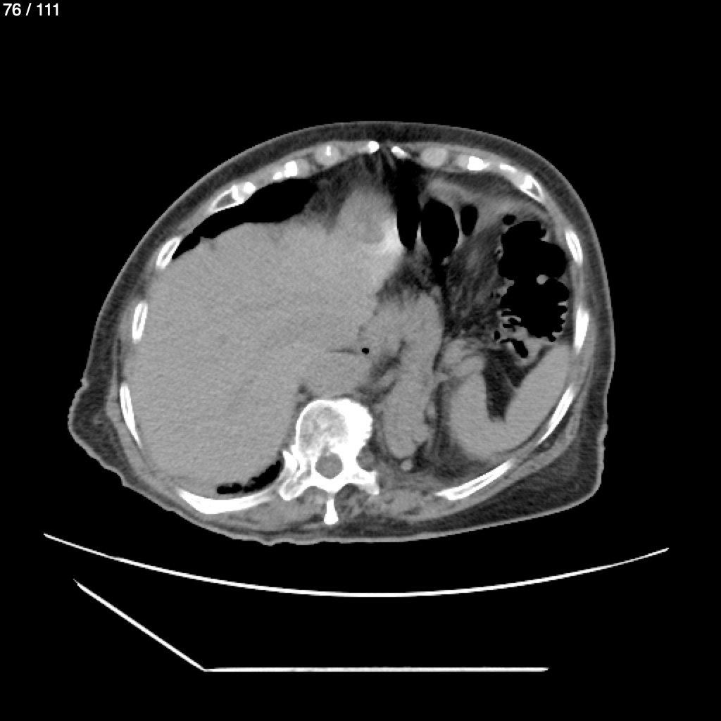
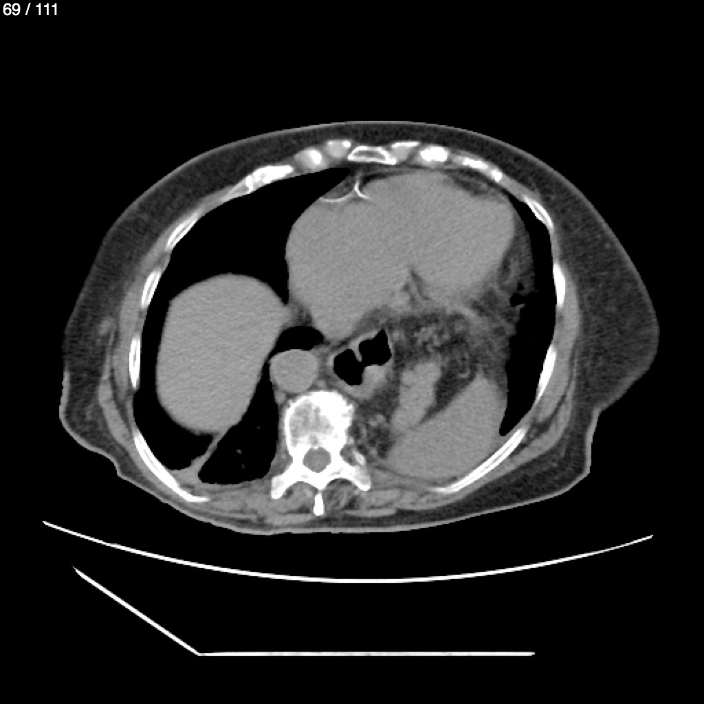
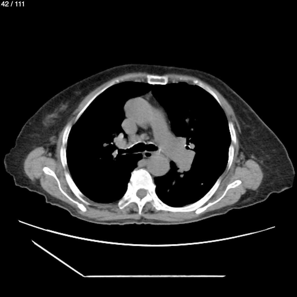
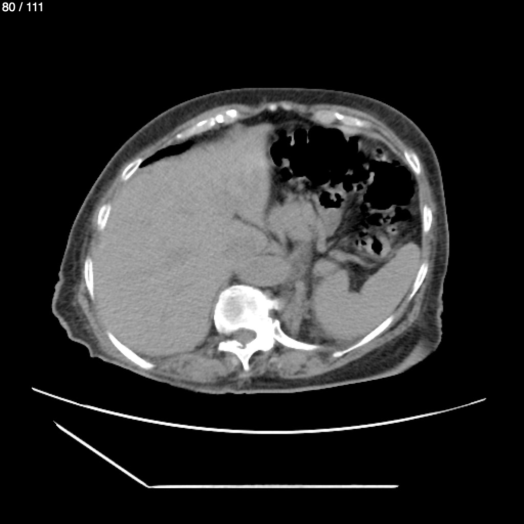
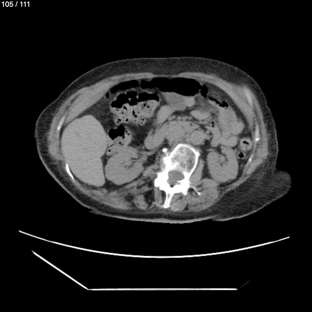
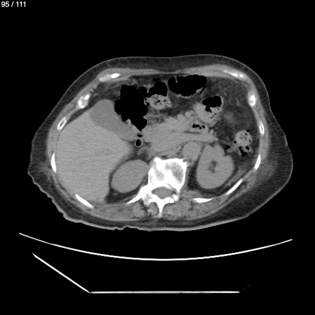
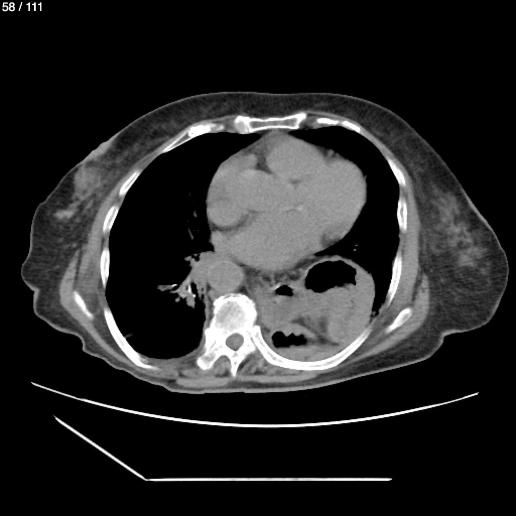
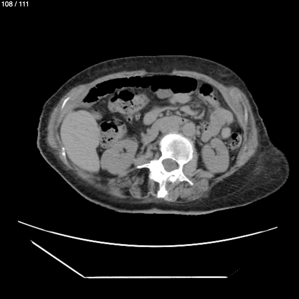
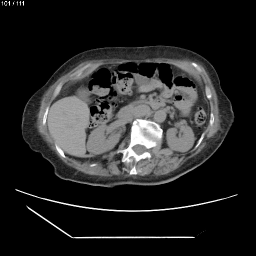
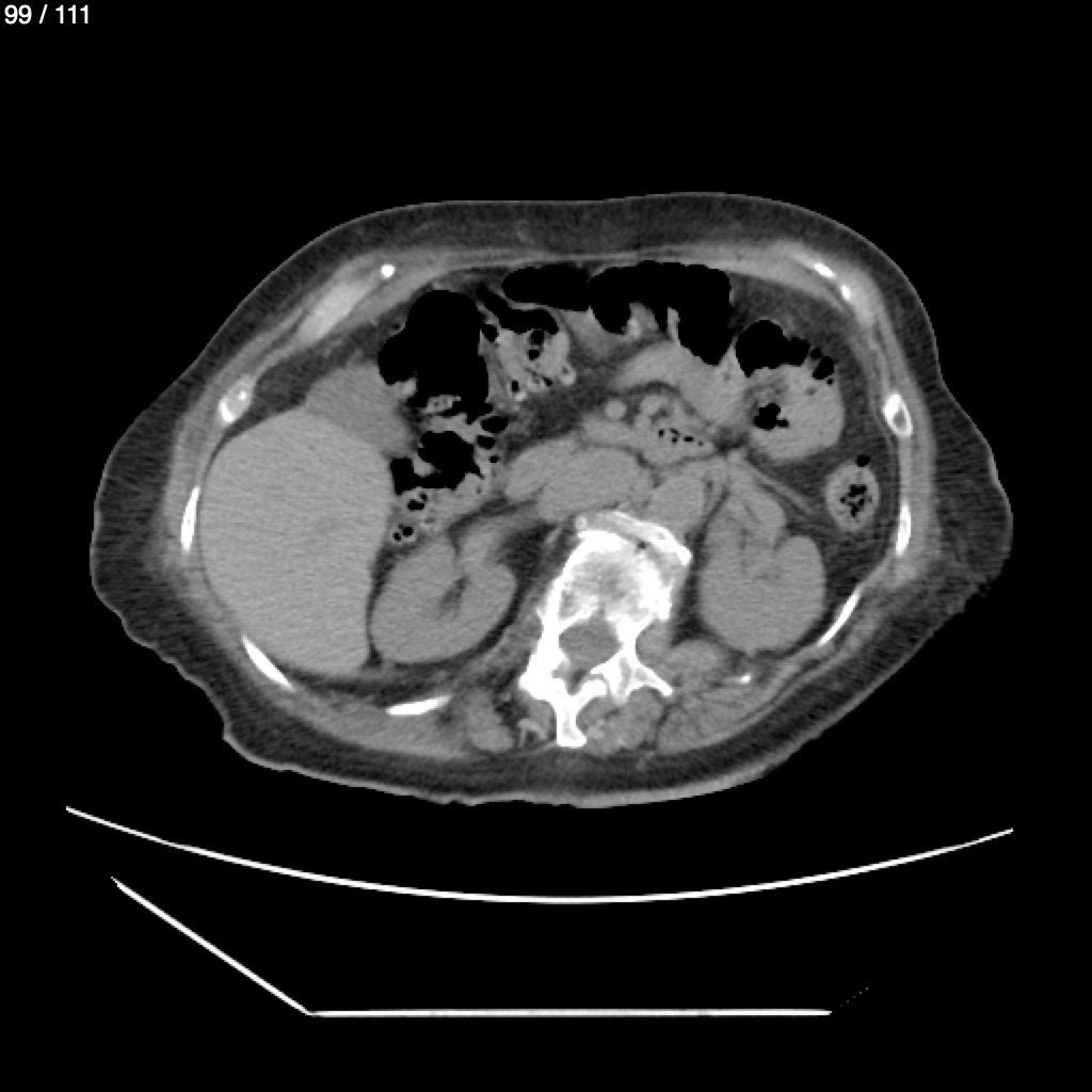
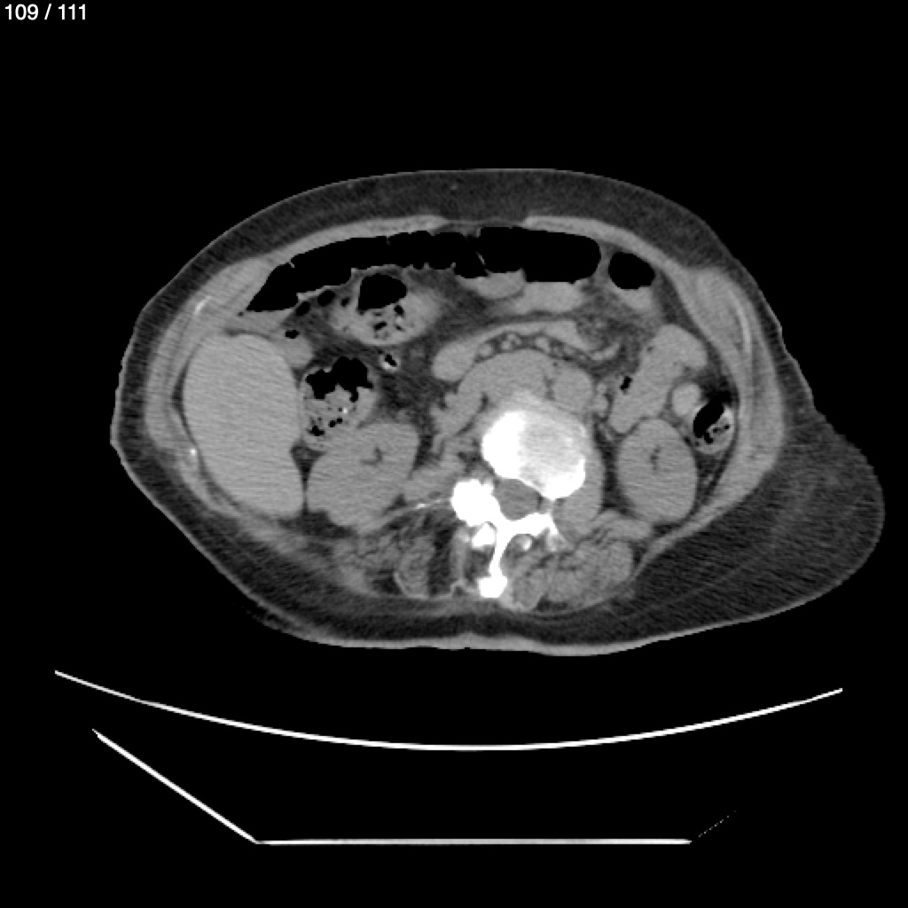
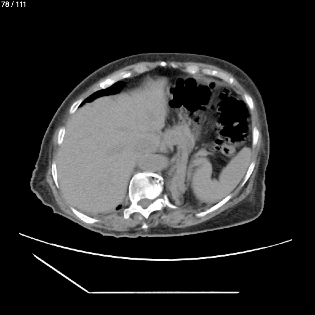
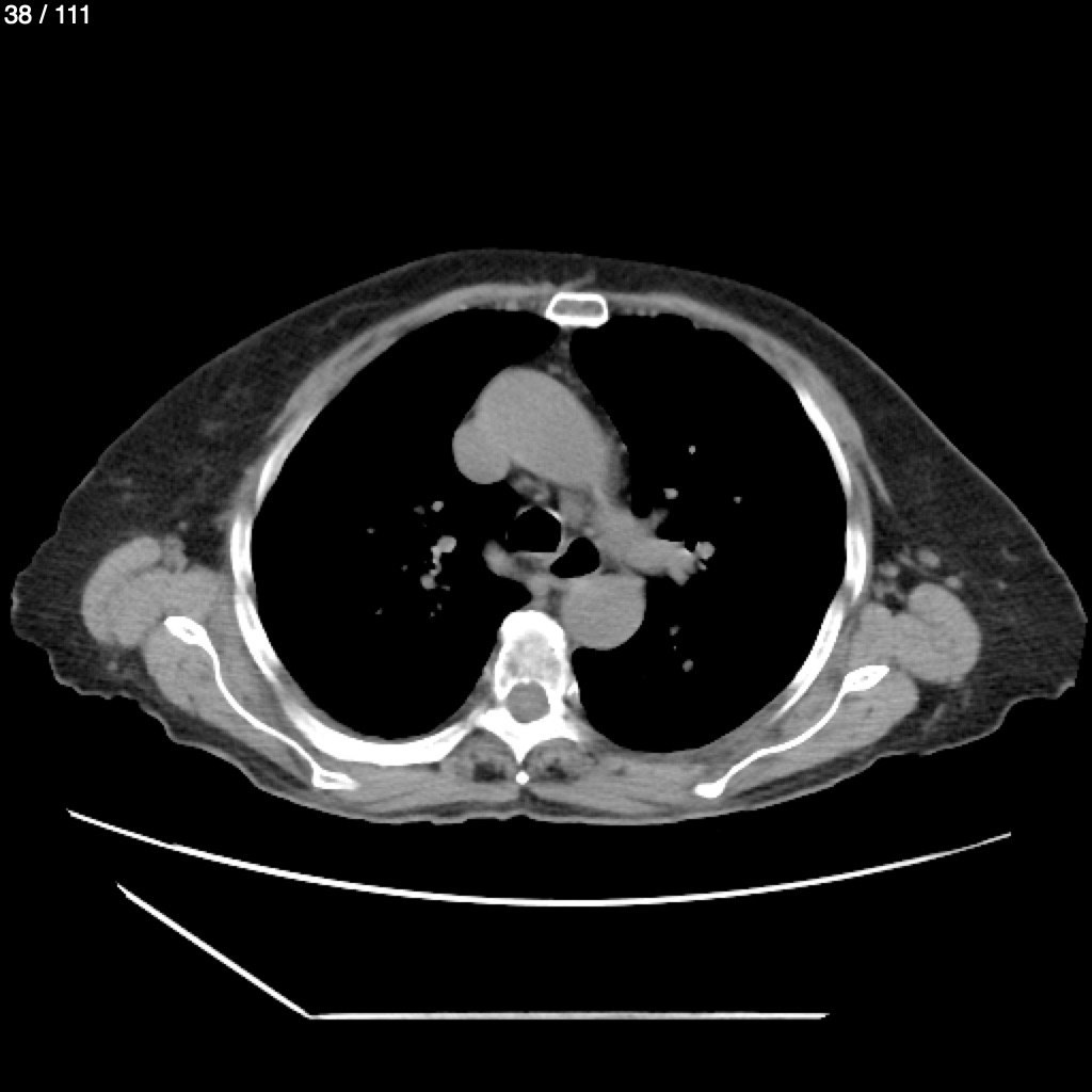
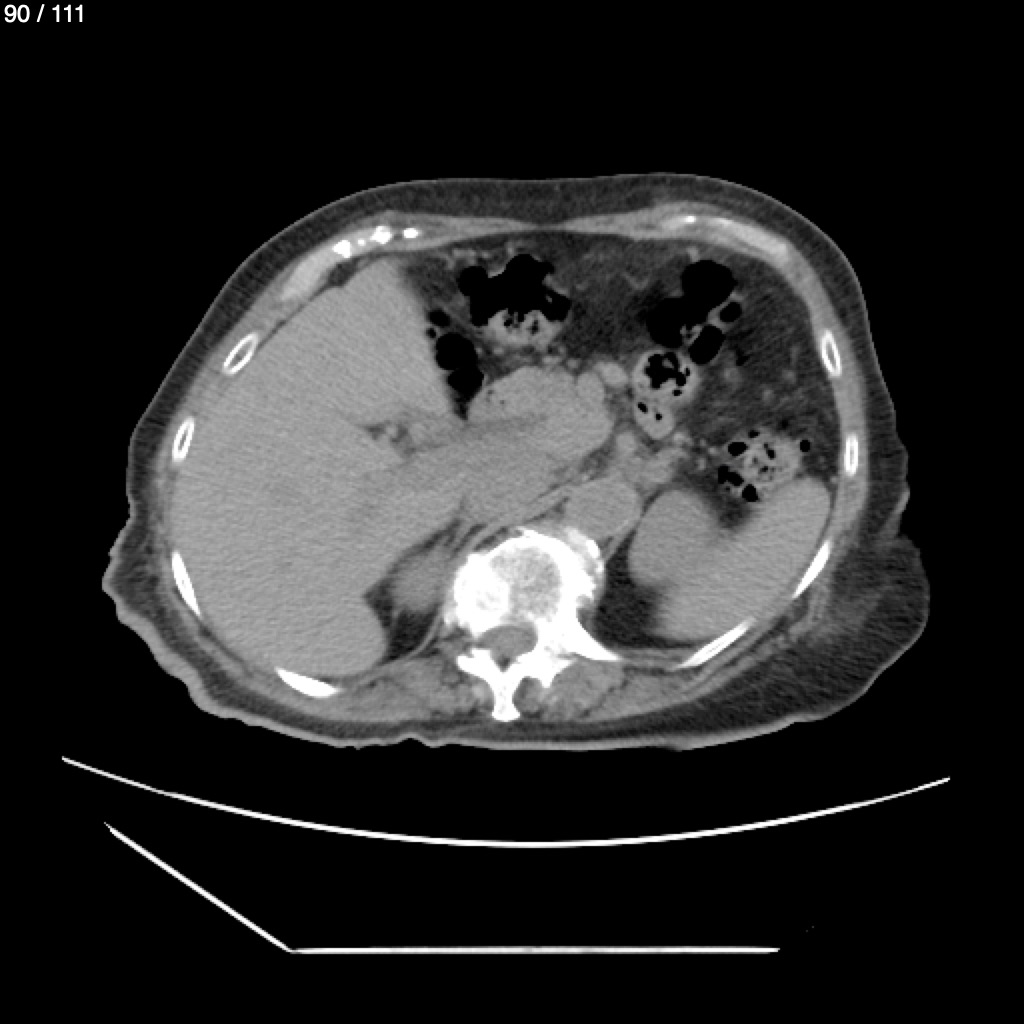
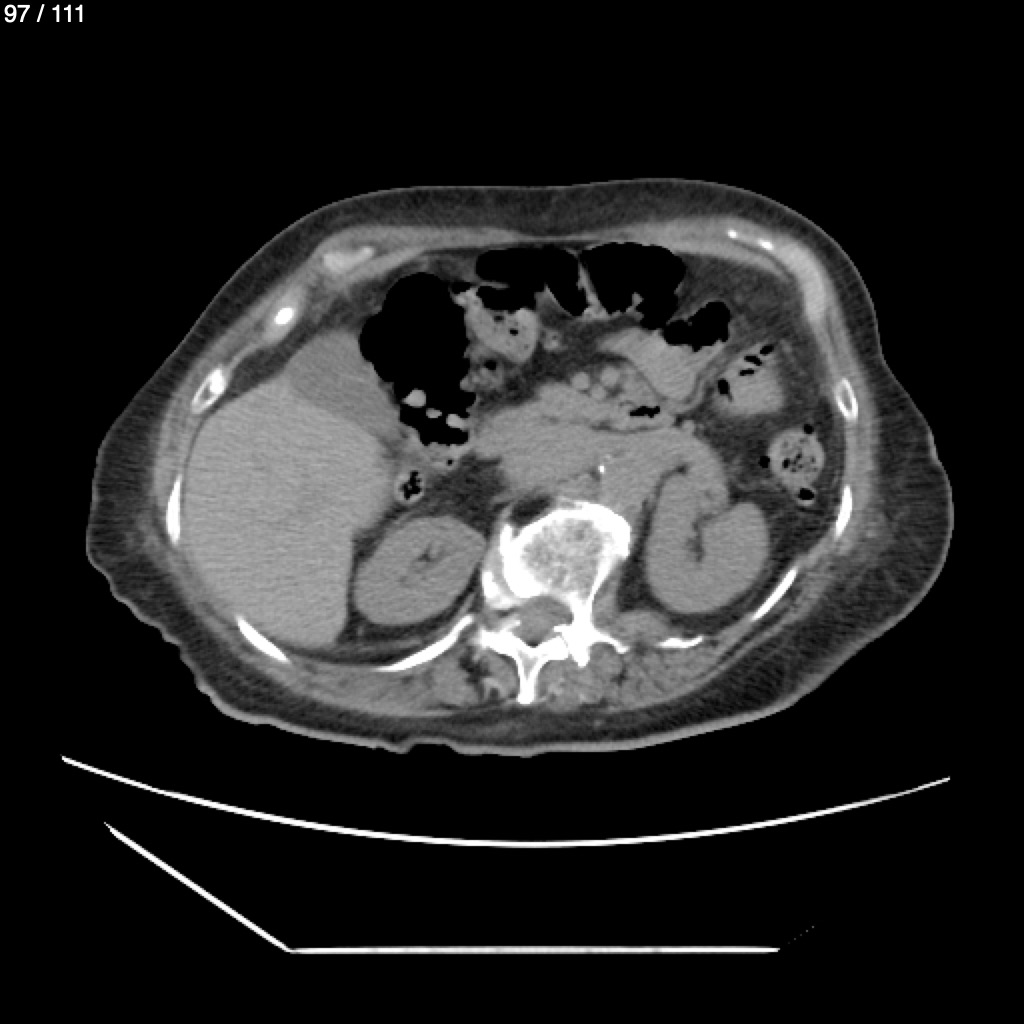
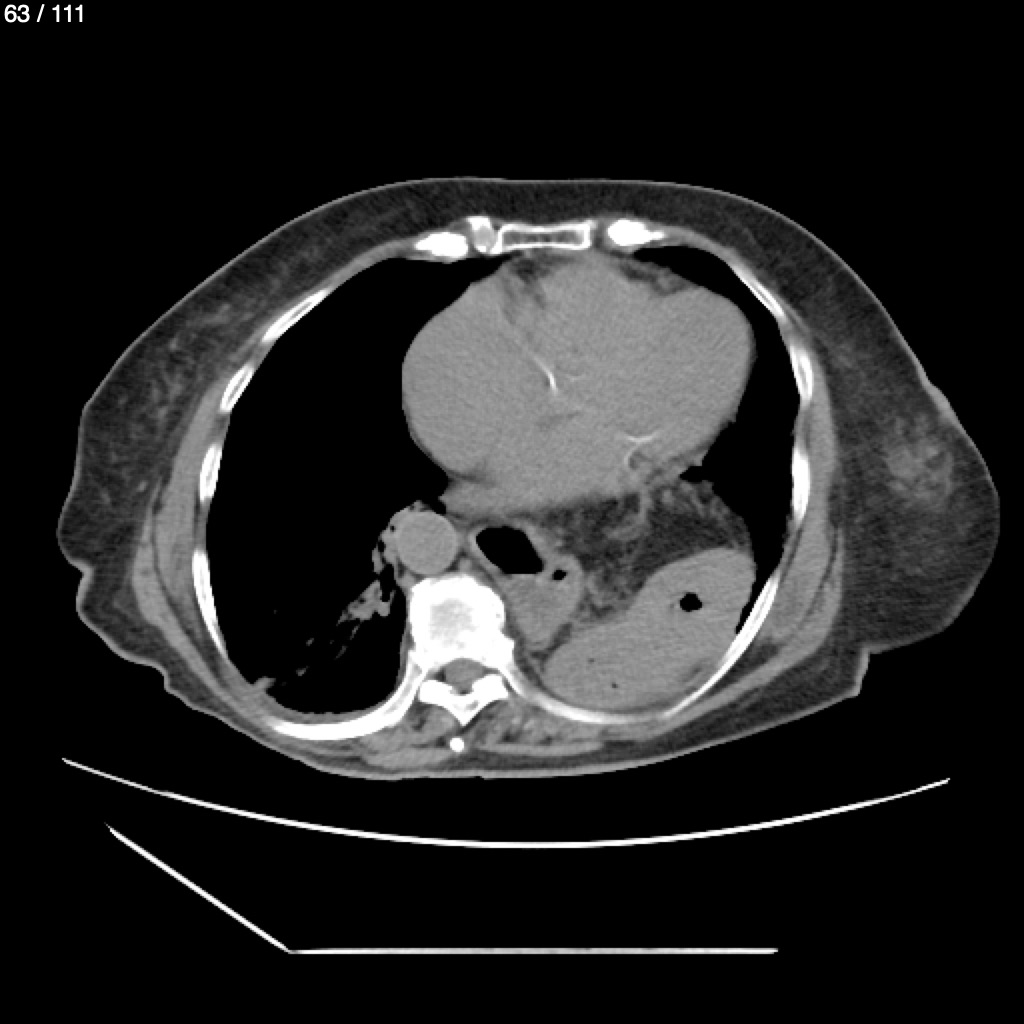
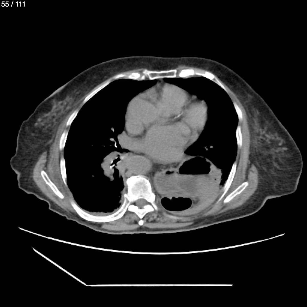
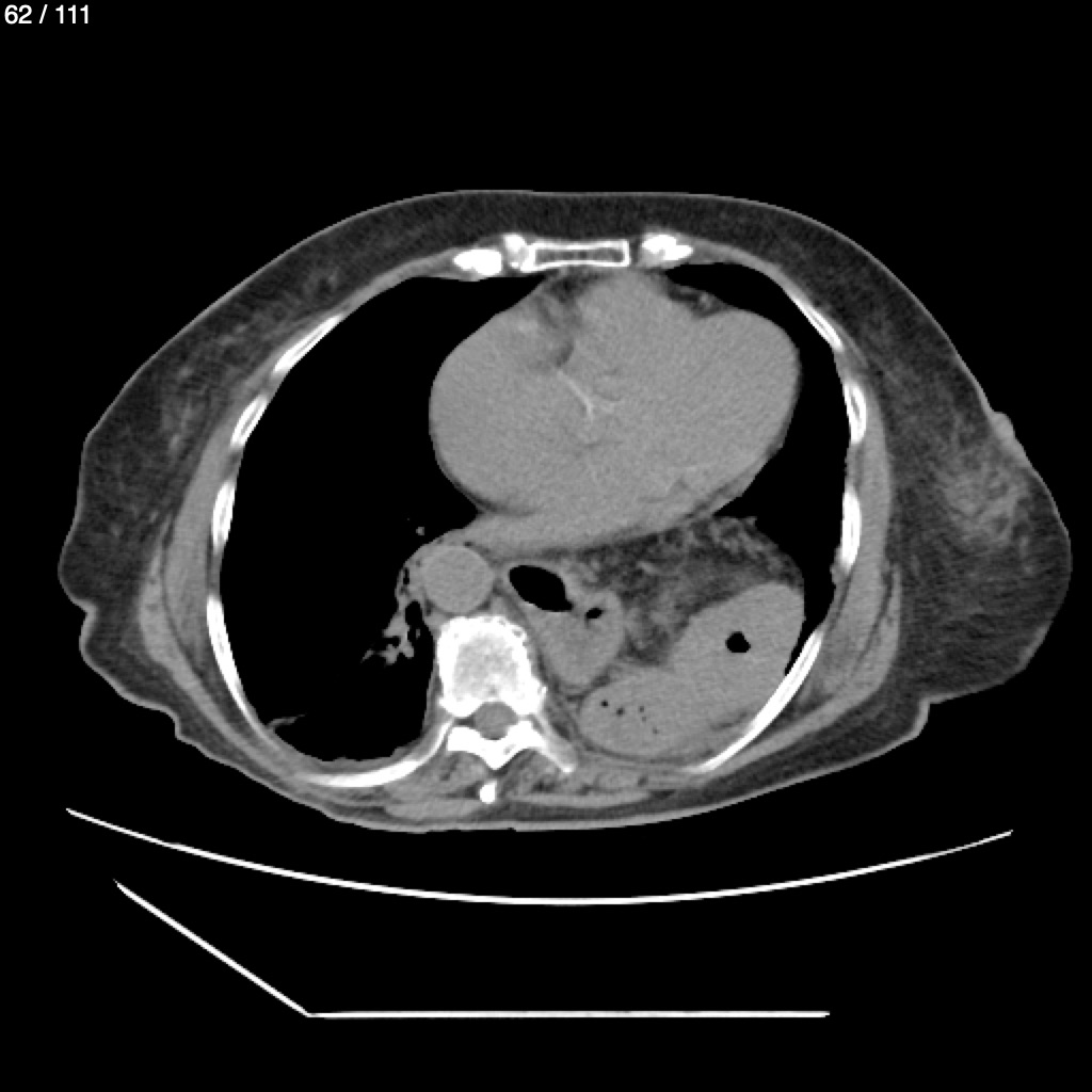
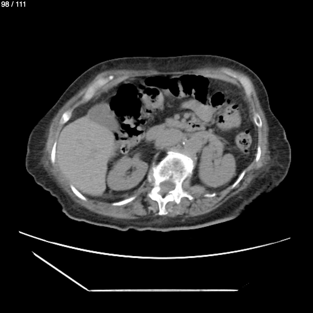
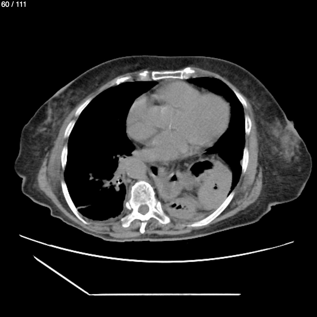
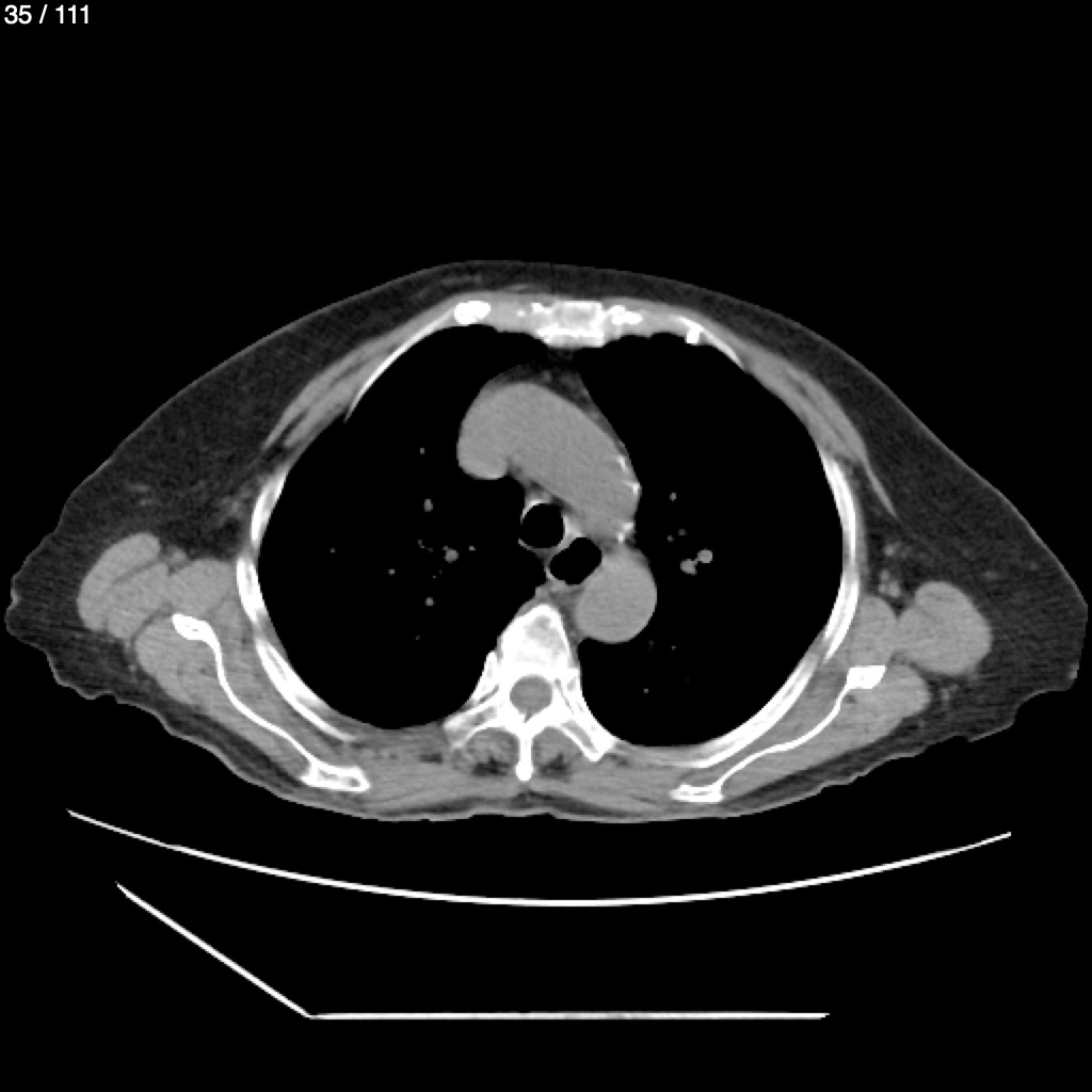
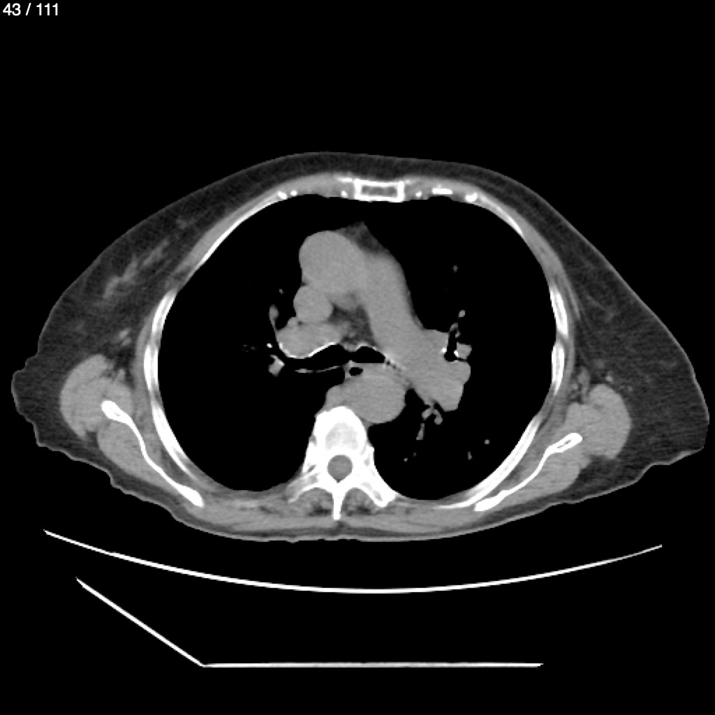
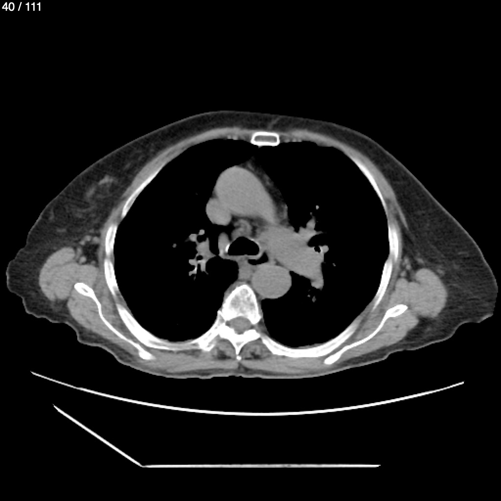
Clotilde Huthoff Chavez 86A - T.C Torax Syc
Next Series
Show as Sequence