HUIXTLA
ESCUINTLA
AKISHINO
AKISHINO2 USG
ESPECIALIDADES
Home
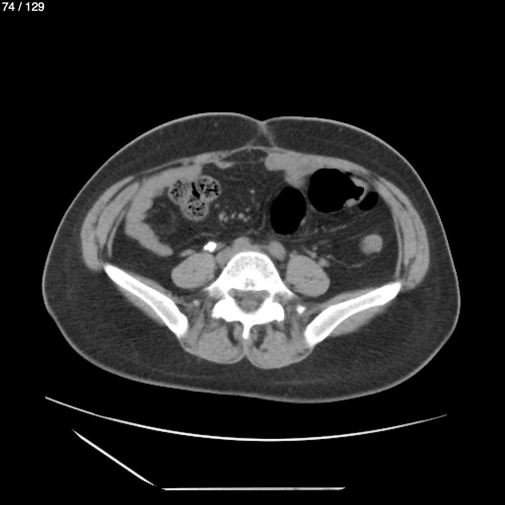
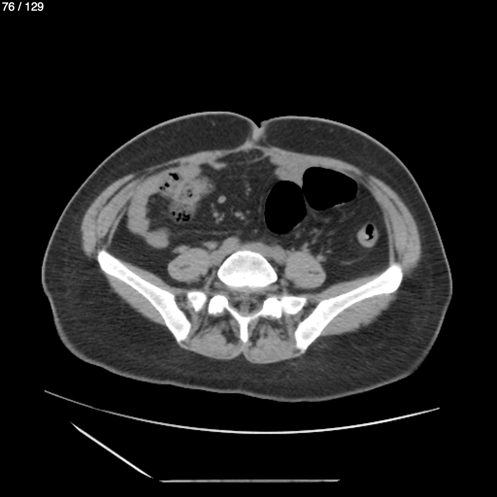
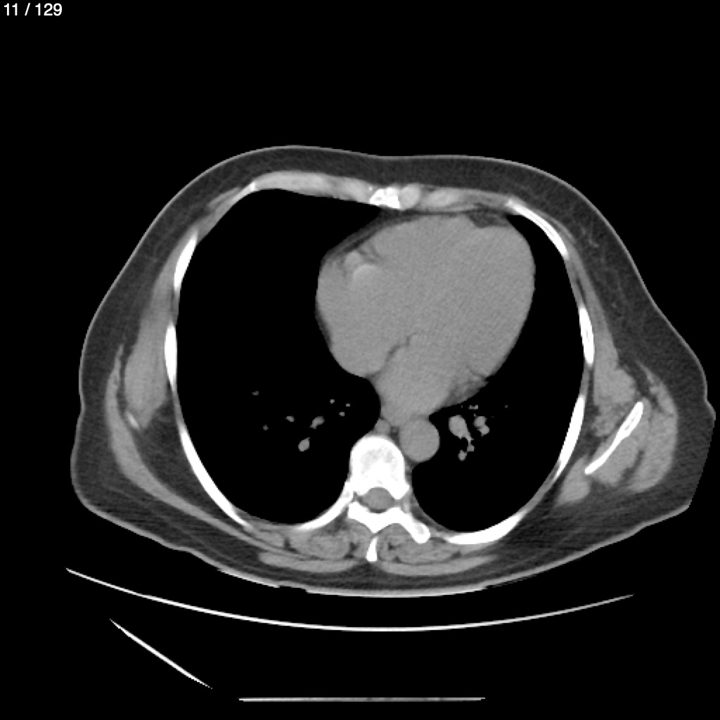
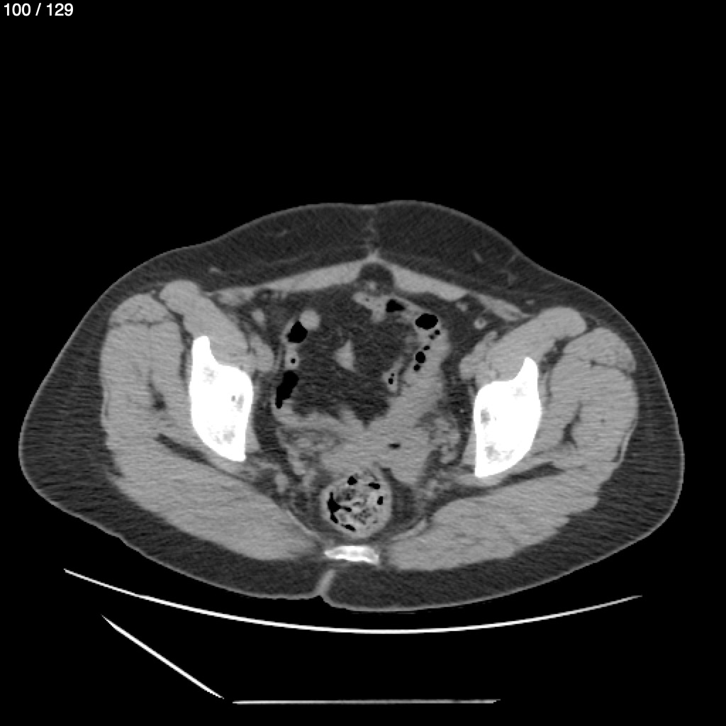
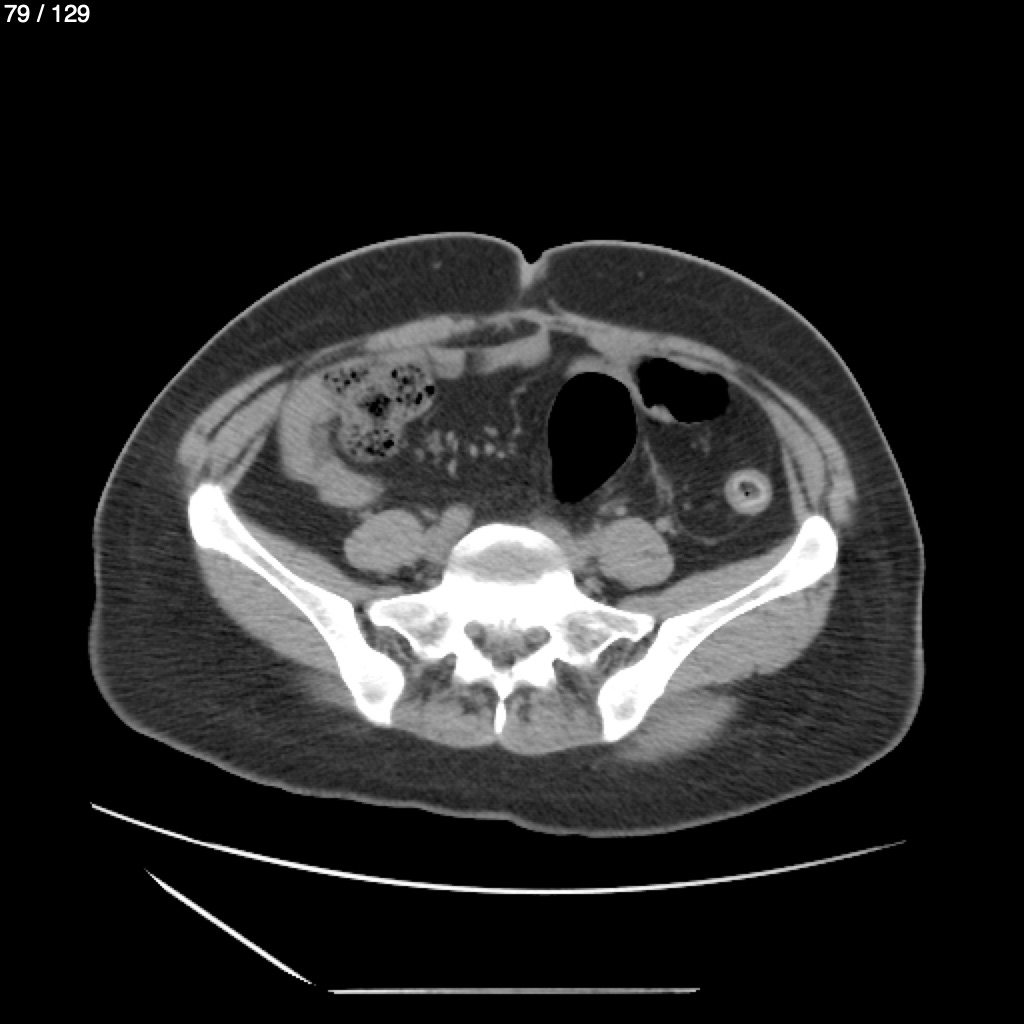
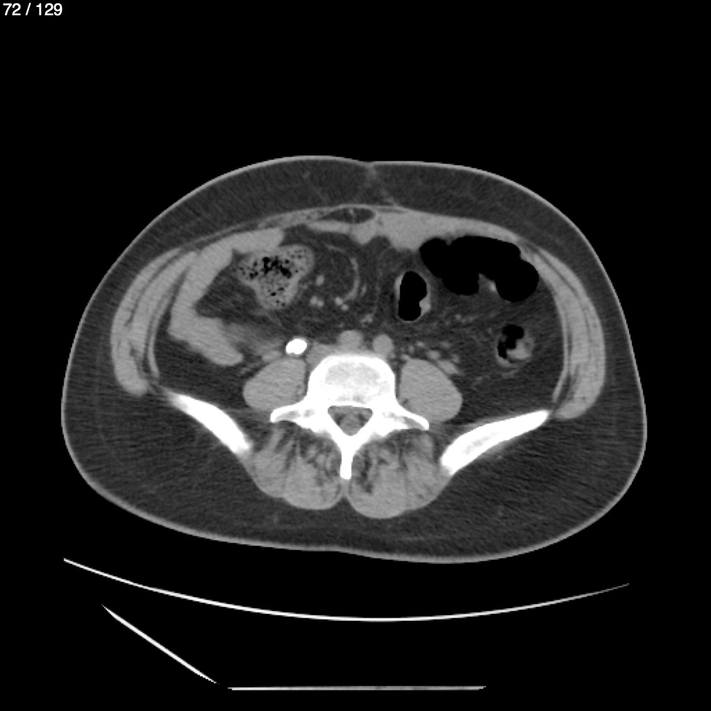
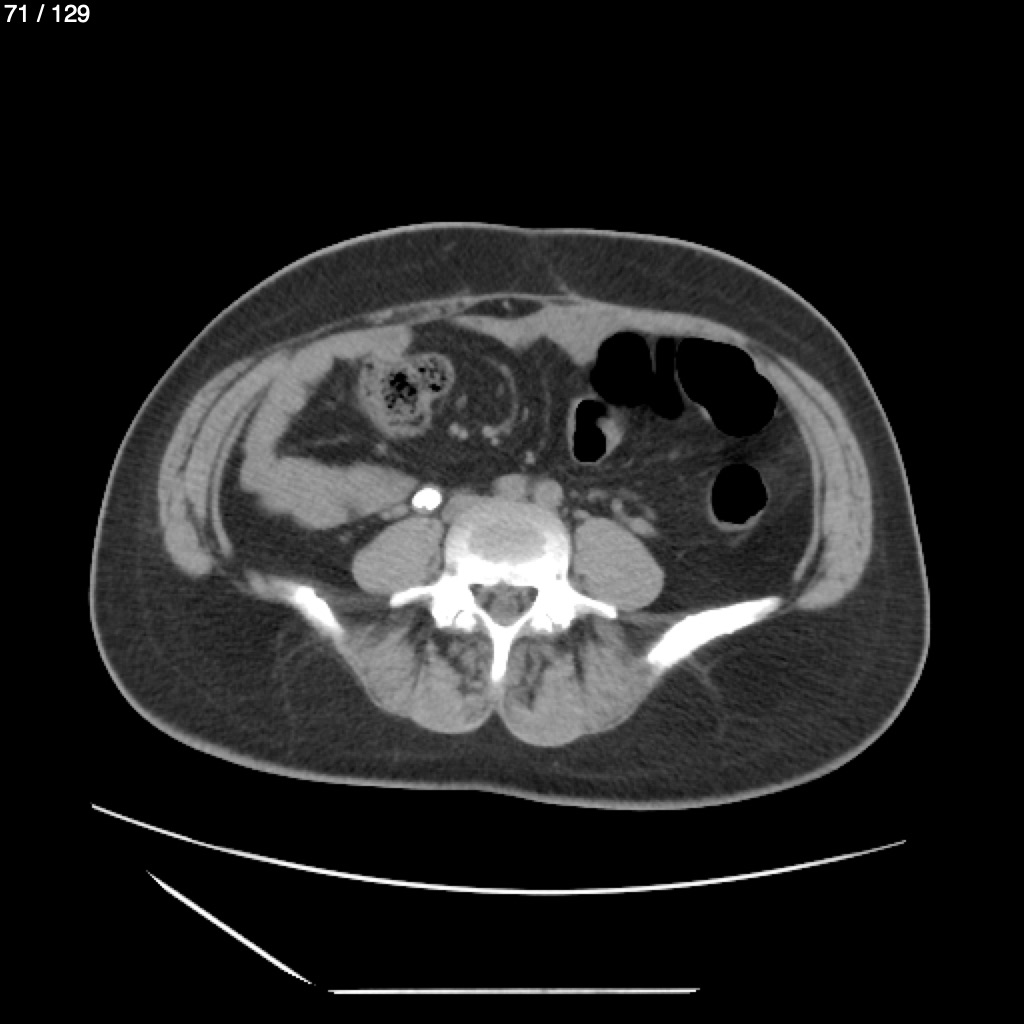
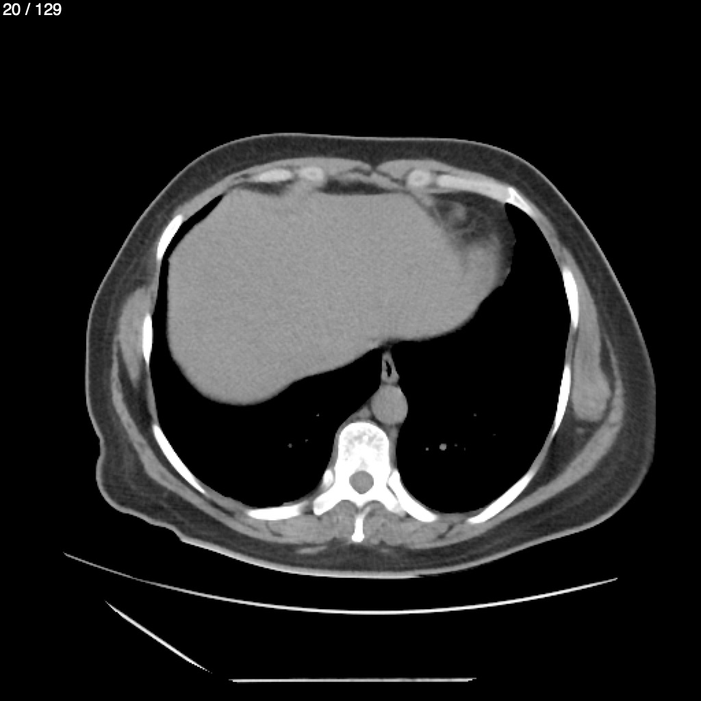
Enedina Luciana Mazariegos Roble - T.C Abdomen Simple
Next Series
Show as Sequence