HUIXTLA
ESCUINTLA
AKISHINO
AKISHINO2 USG
ESPECIALIDADES
Home
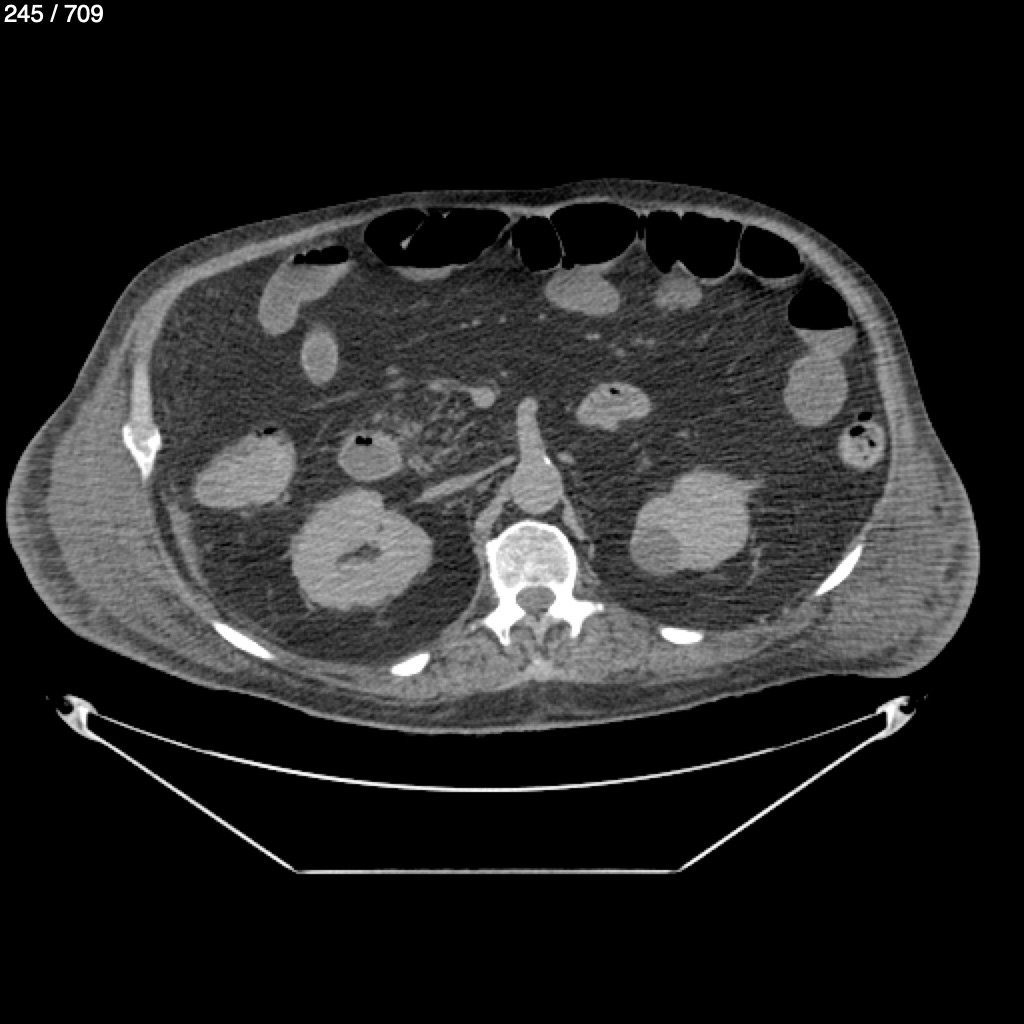
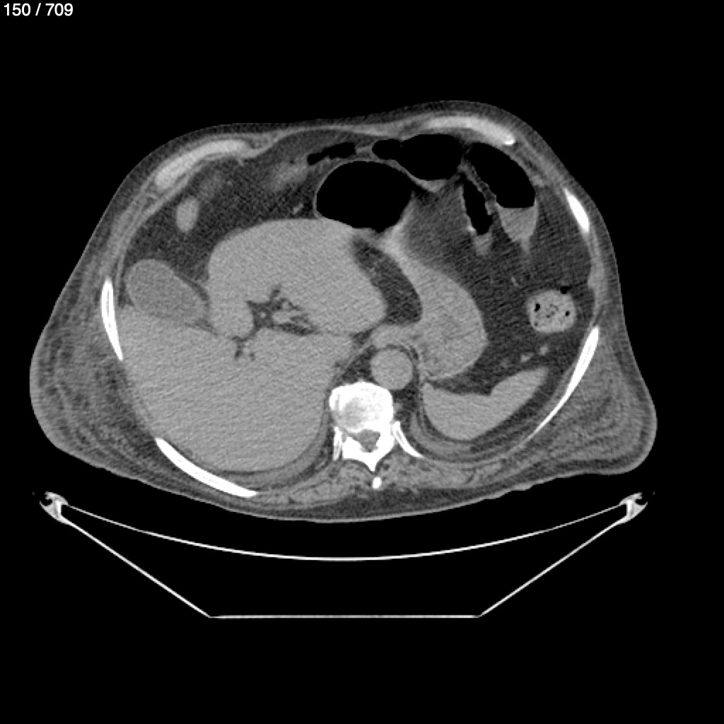
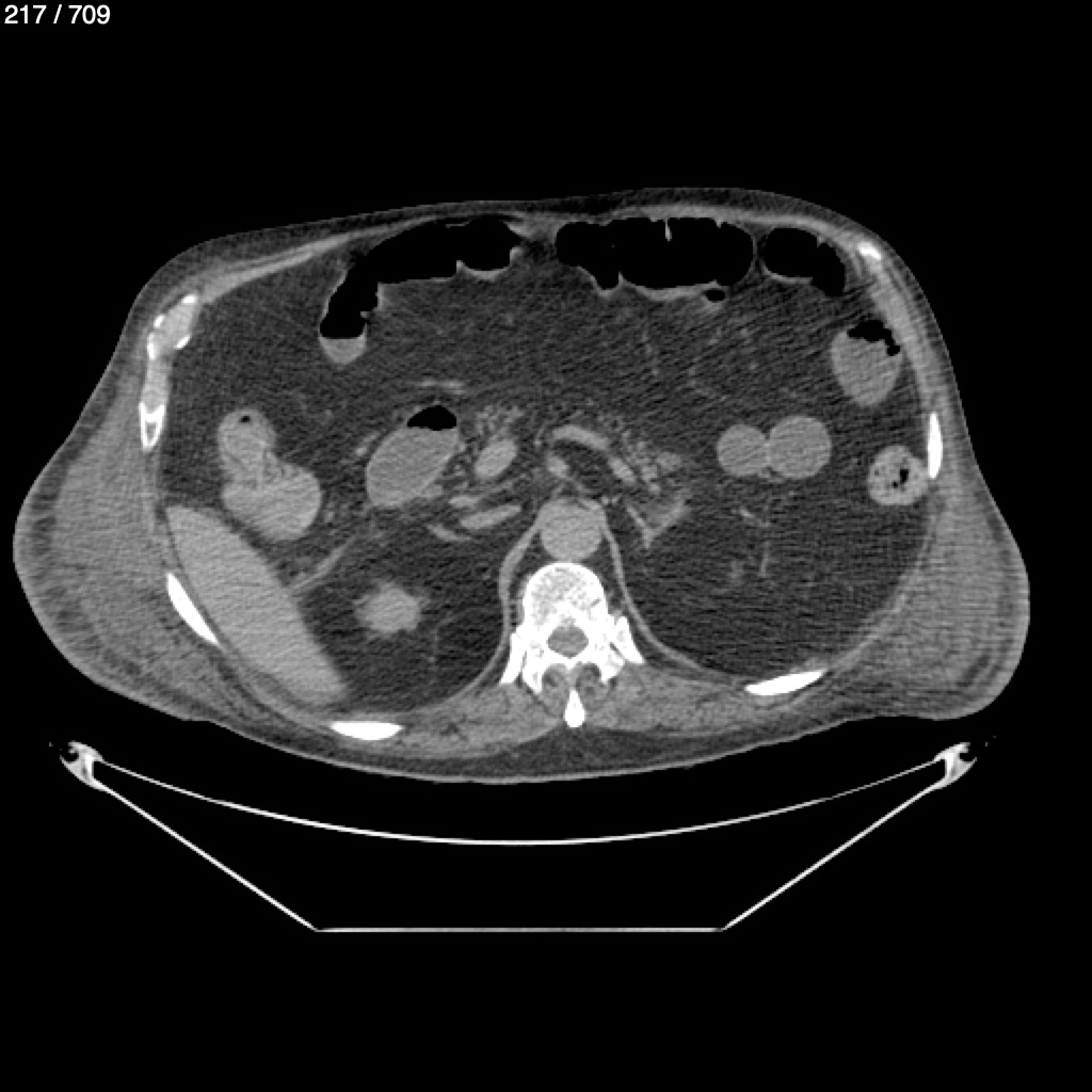
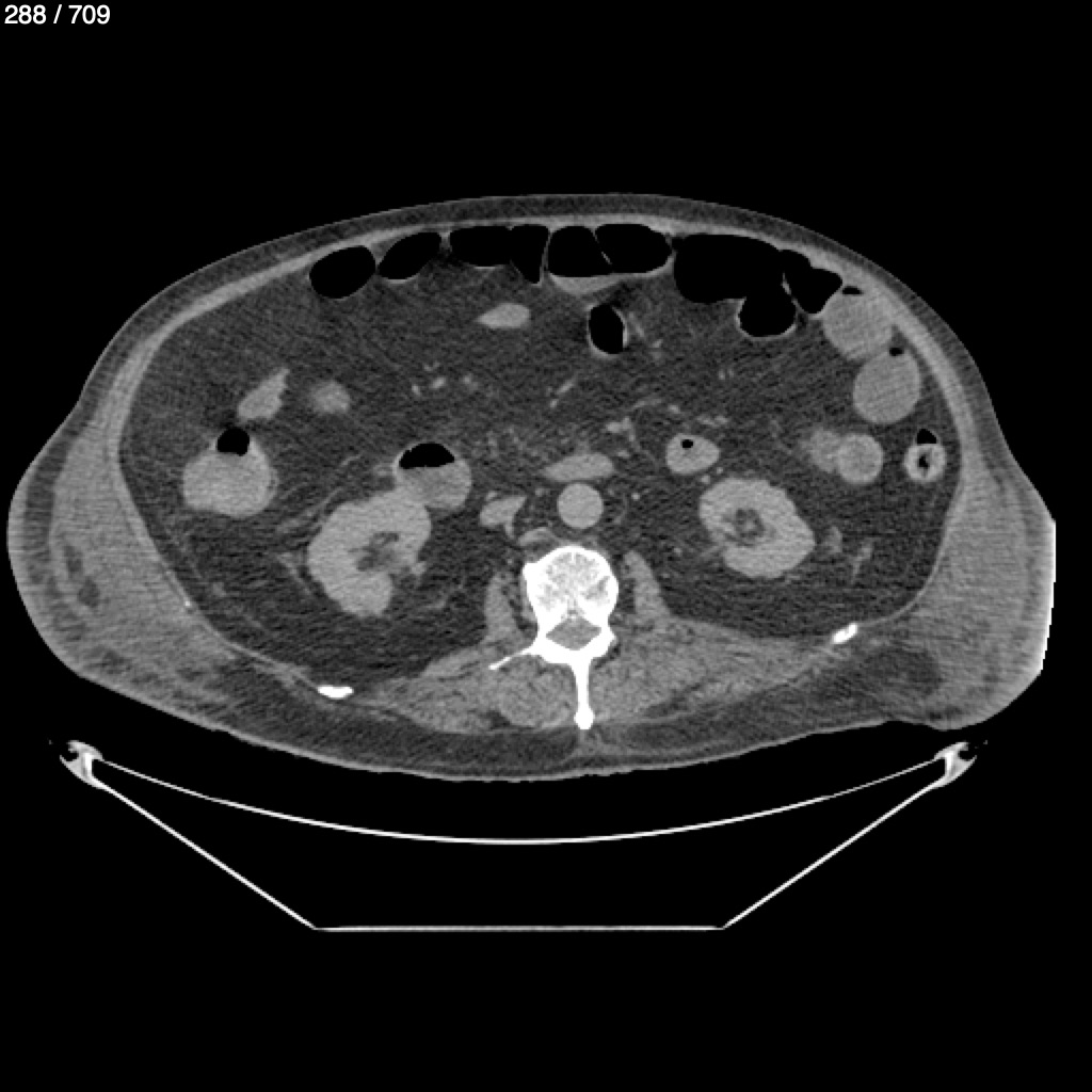
Marcos Cruz Villatoro 70 - T.C Abdomen Syc
Previous Series
Next Series
Show as Sequence