HUIXTLA
ESCUINTLA
AKISHINO
AKISHINO2 USG
ESPECIALIDADES
Home
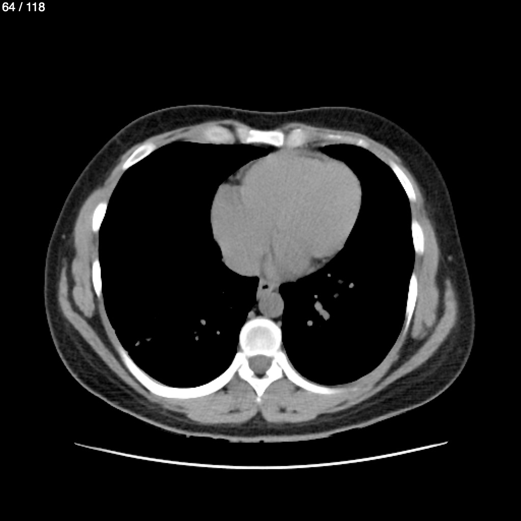
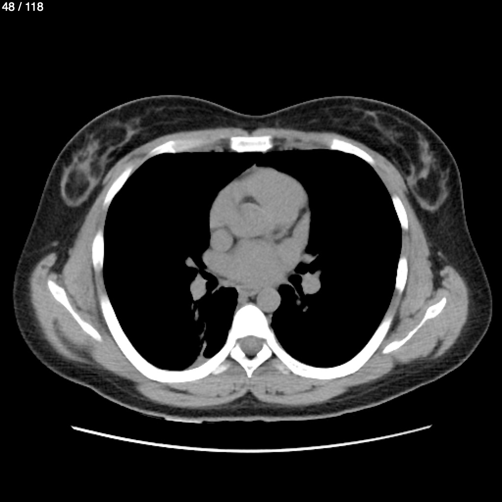
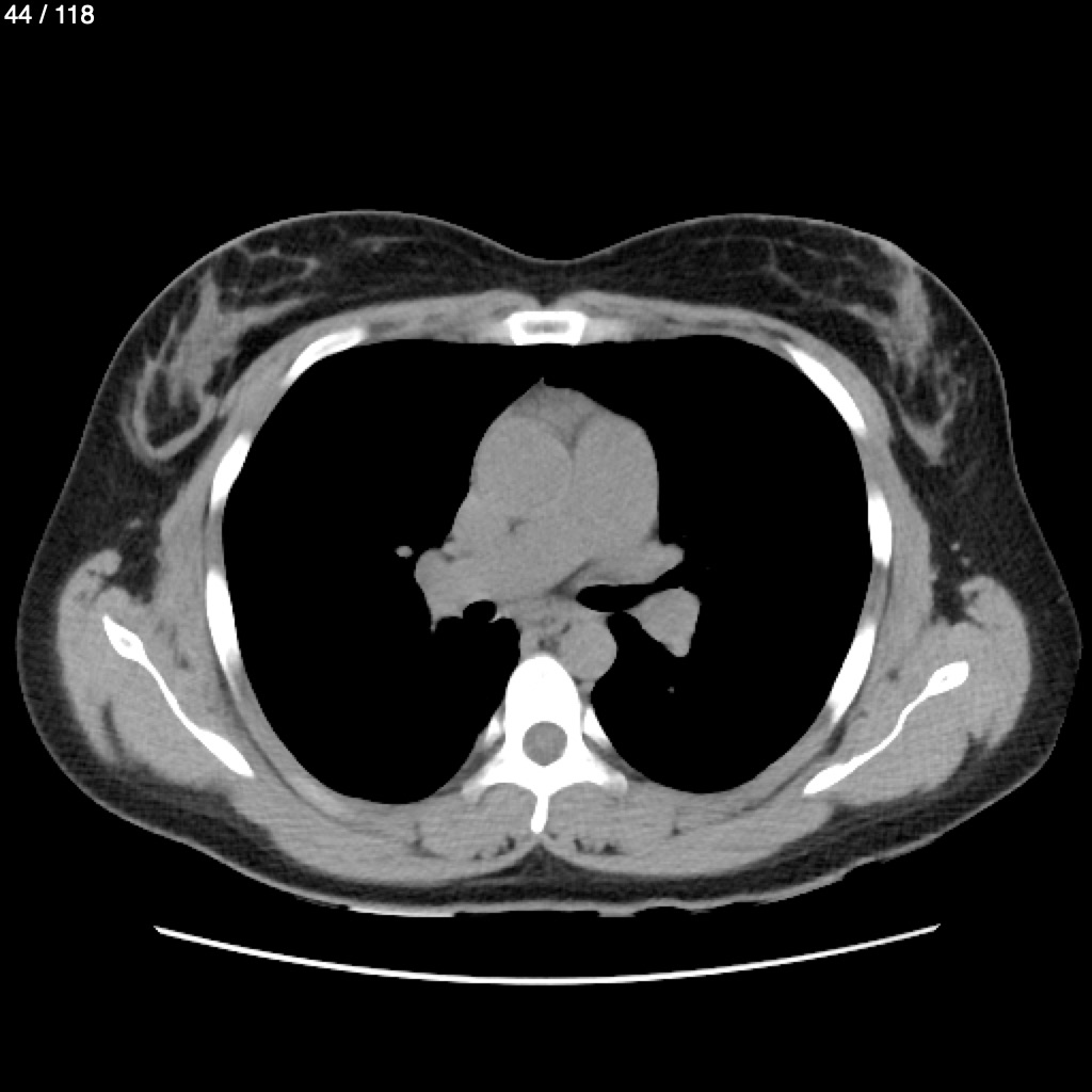
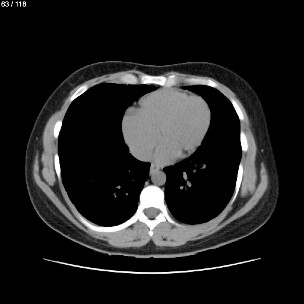
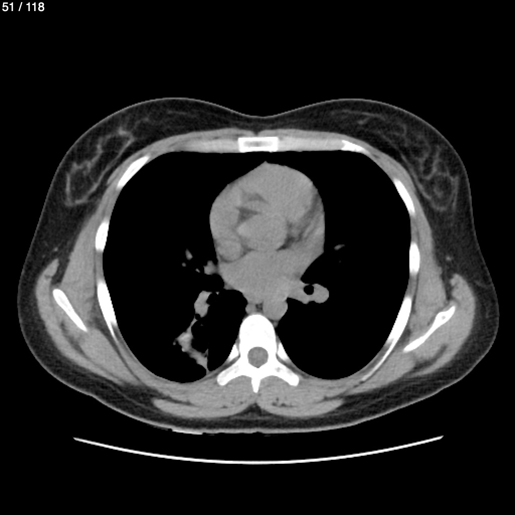
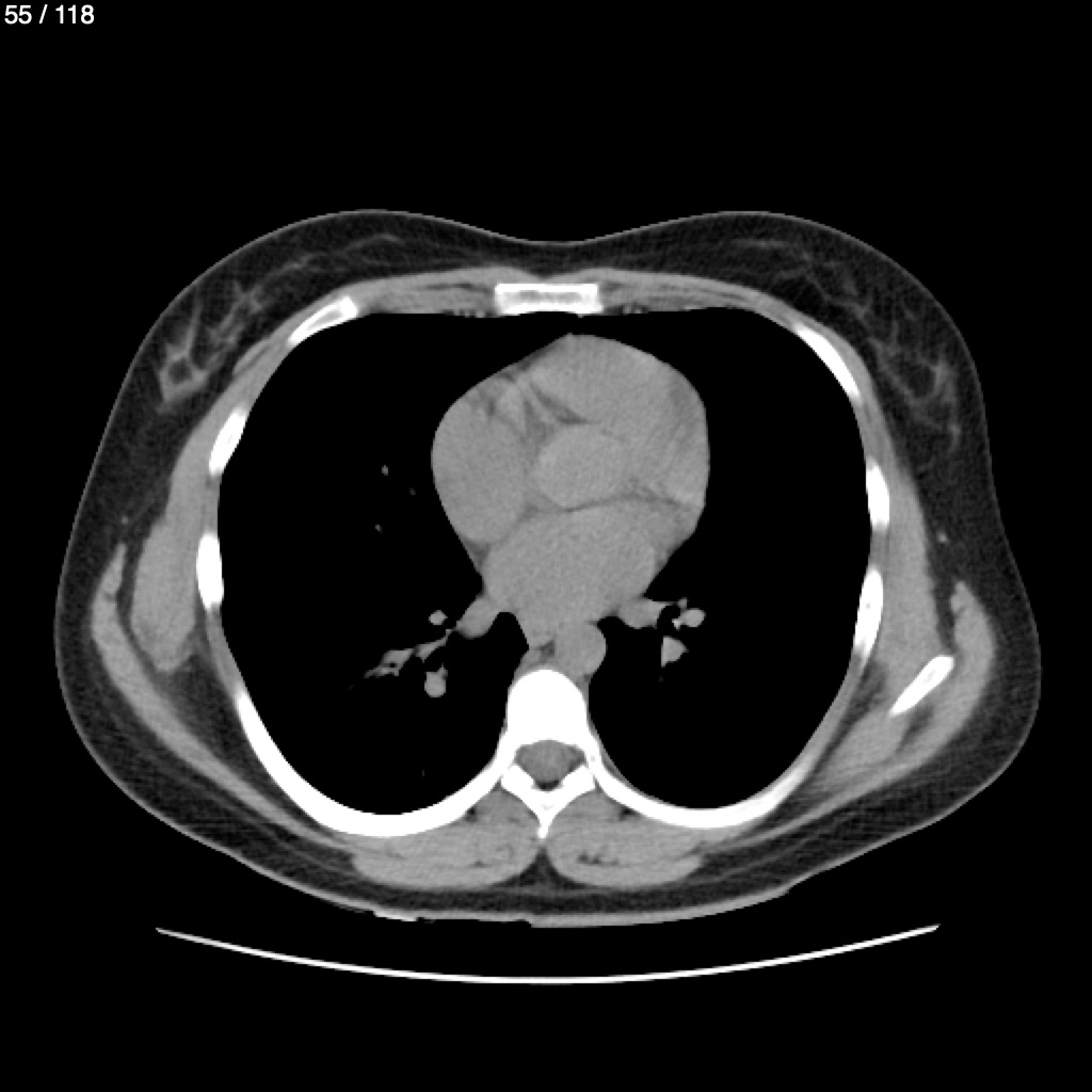
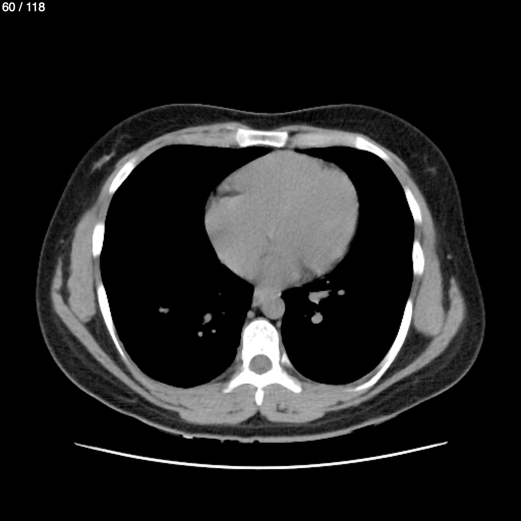
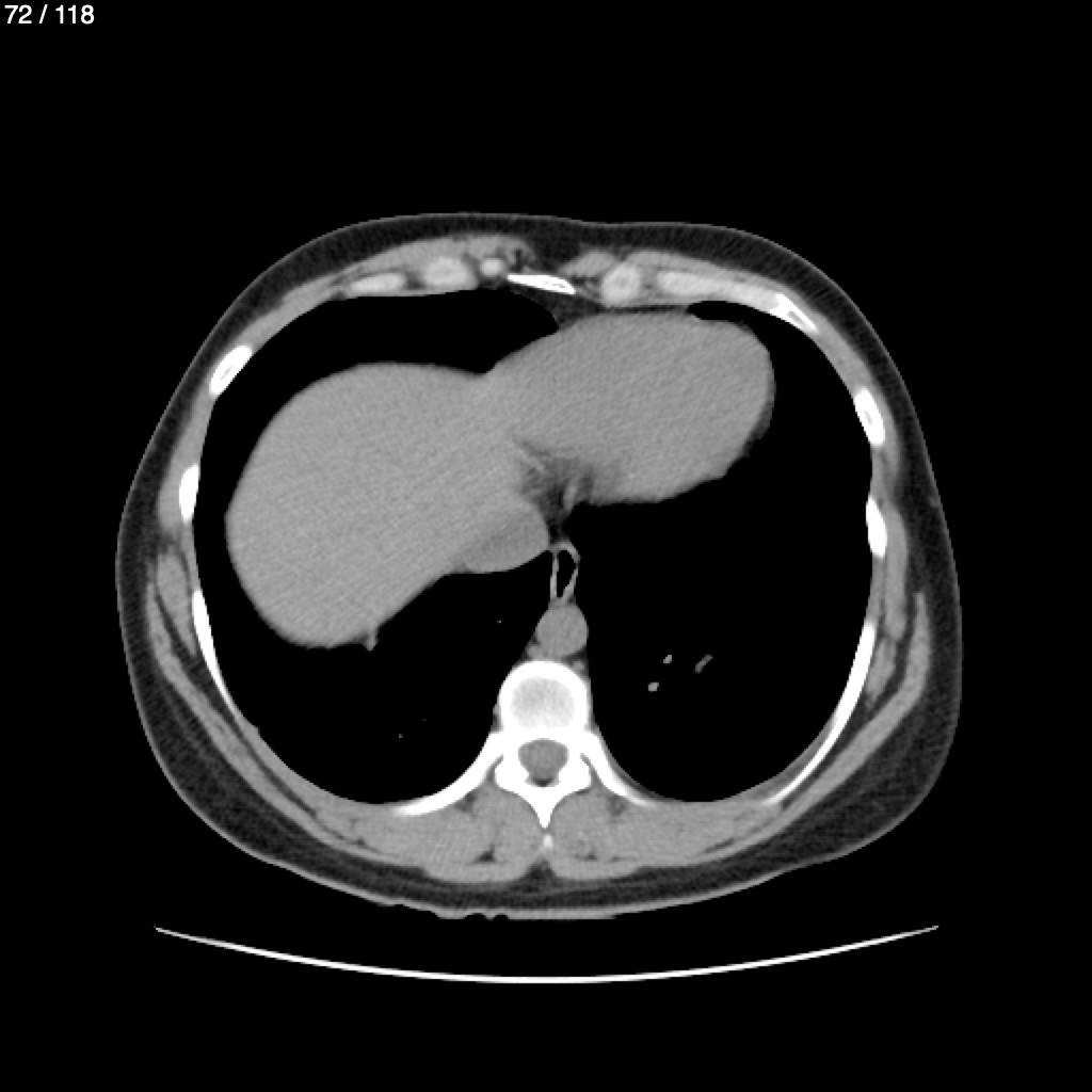
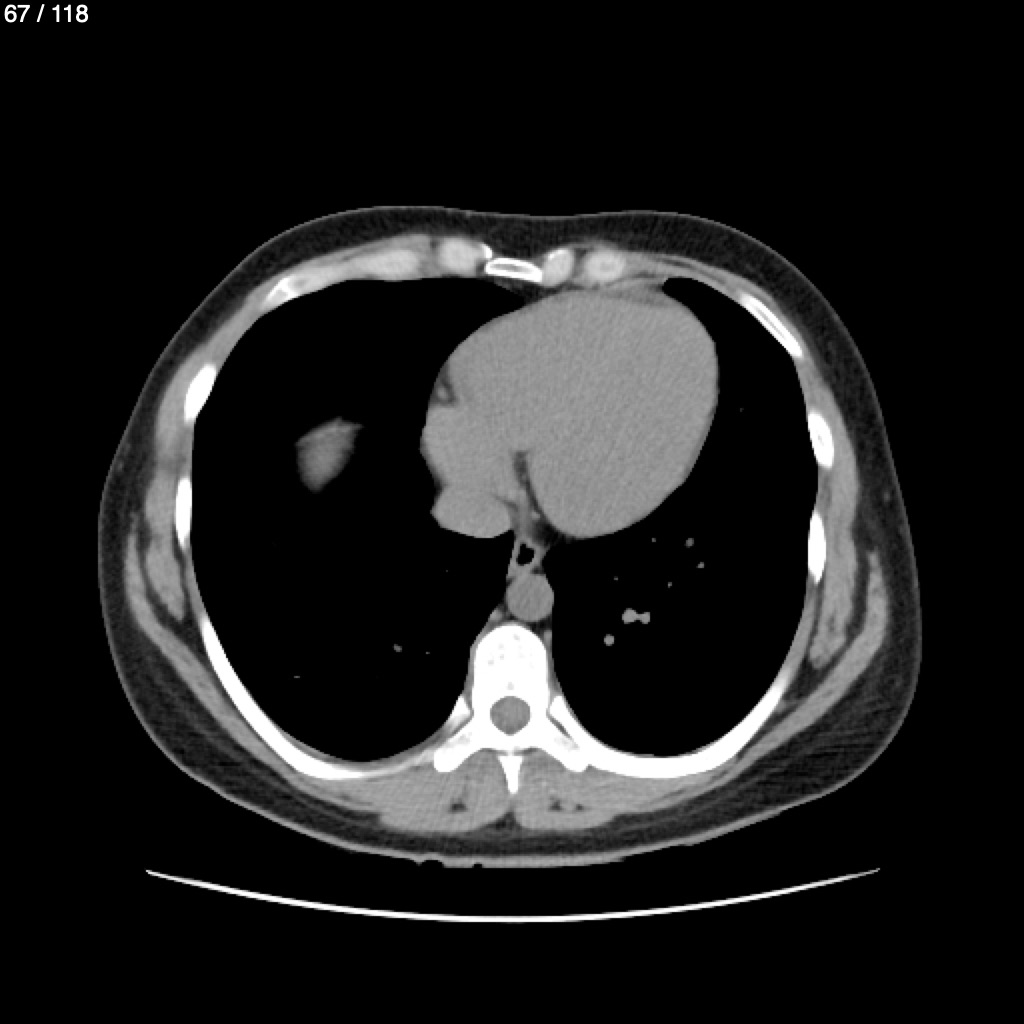
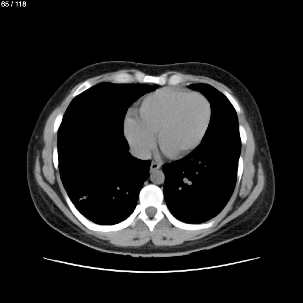
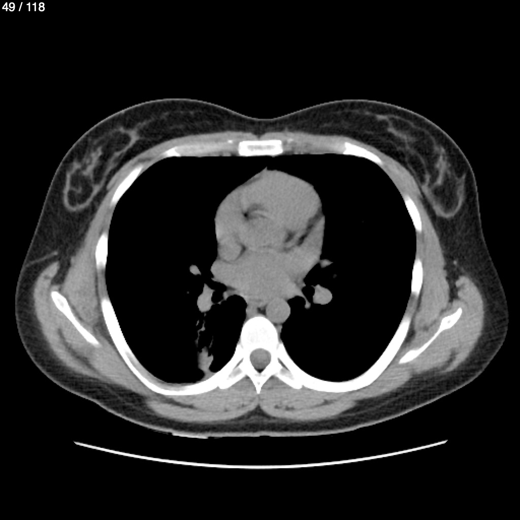
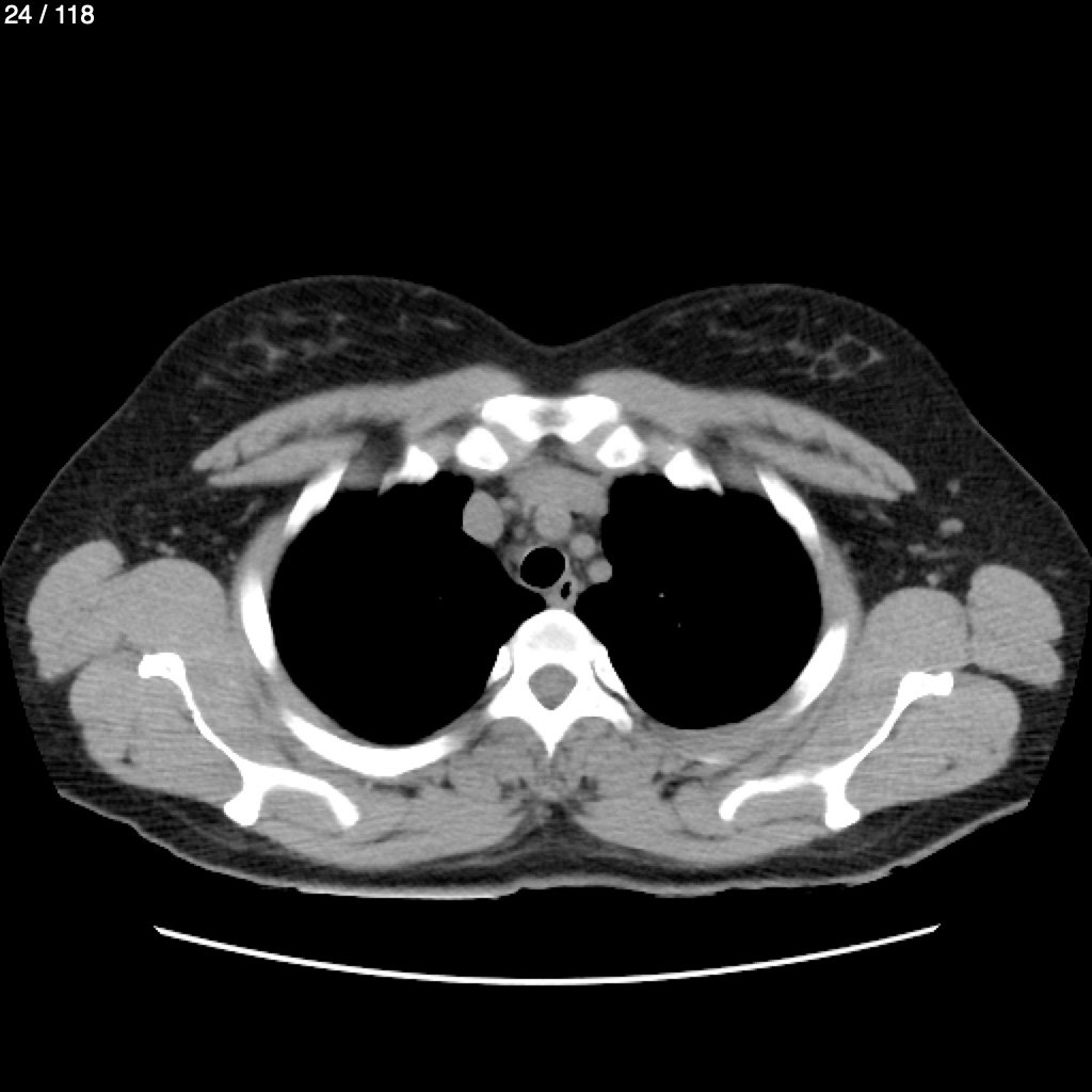
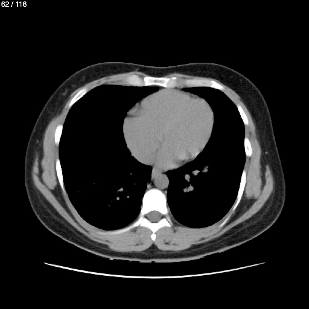
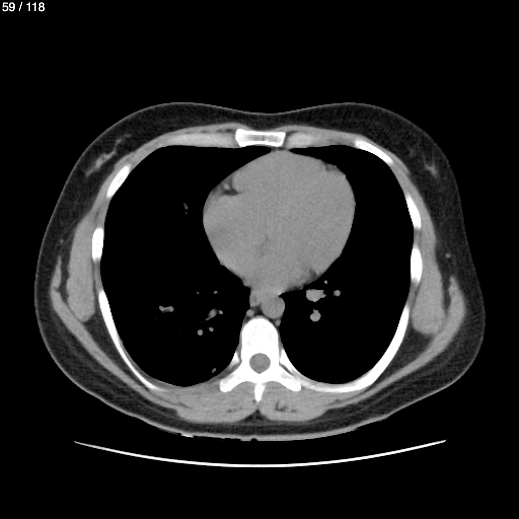
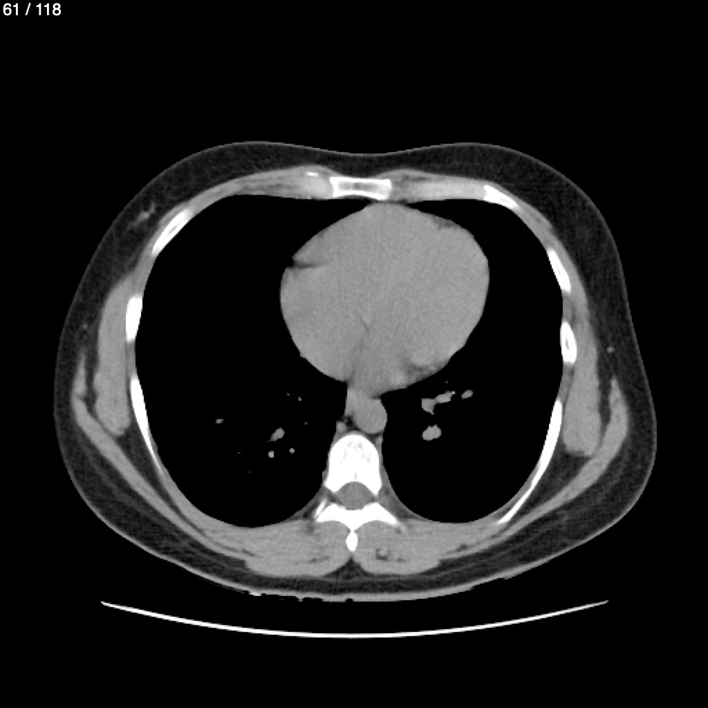
Angelica Trejos Martinez 30A - Tac Torax Simple
Next Series
Show as Sequence