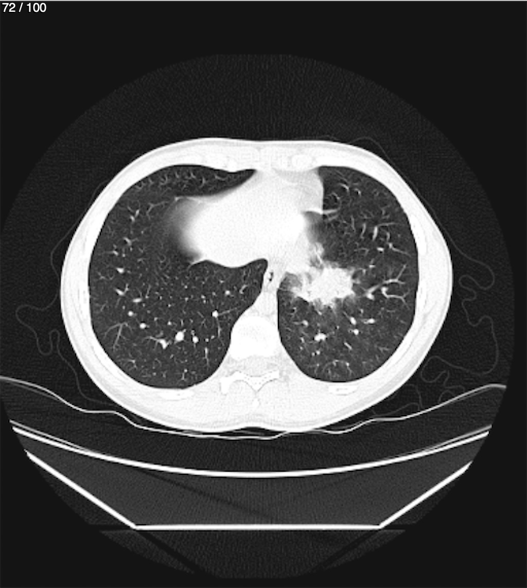
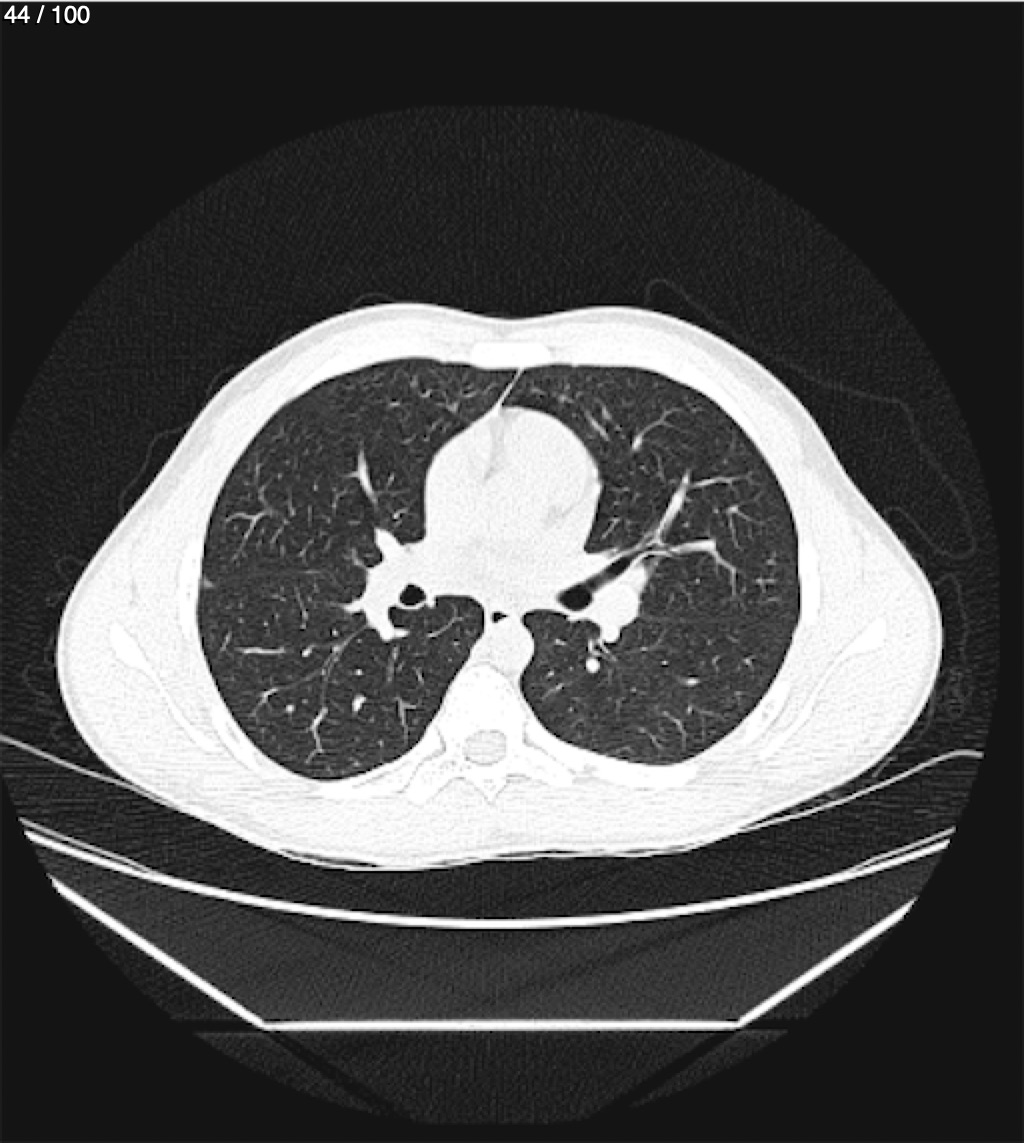
Home J​i​r​a​m​ ​A​v​i​t​ ​S​a​n​c​h​e​z​ ​R​o​s​a​l​e​s​ ​1​4​A​ ​-​ ​T​.​C​ ​T​o​r​a​c​o​a​b​d​o​e​n​ ​S​y​c