HUIXTLA
ESCUINTLA
AKISHINO
AKISHINO2 USG
ESPECIALIDADES
Home
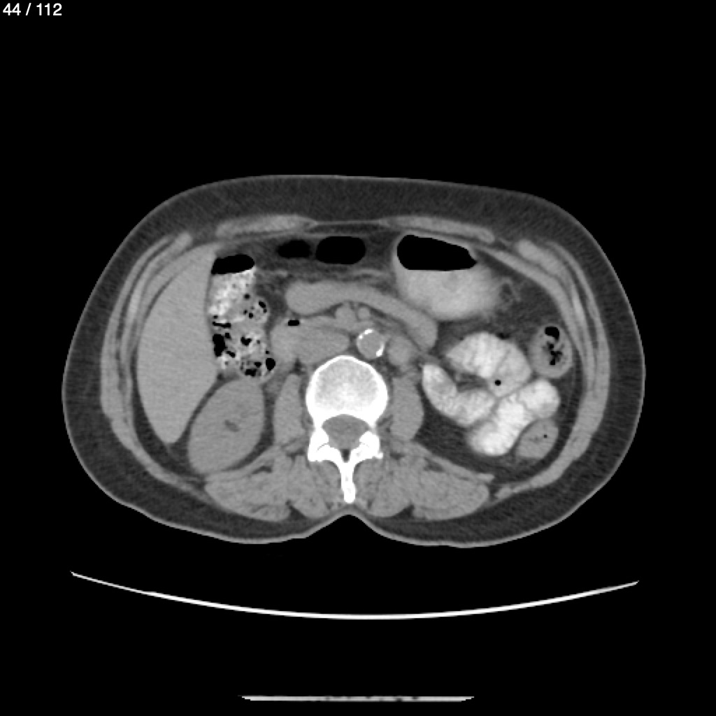
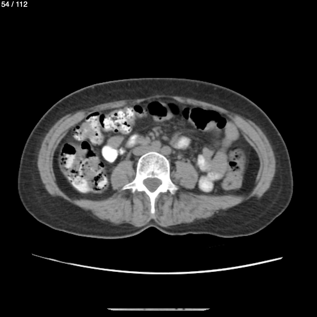
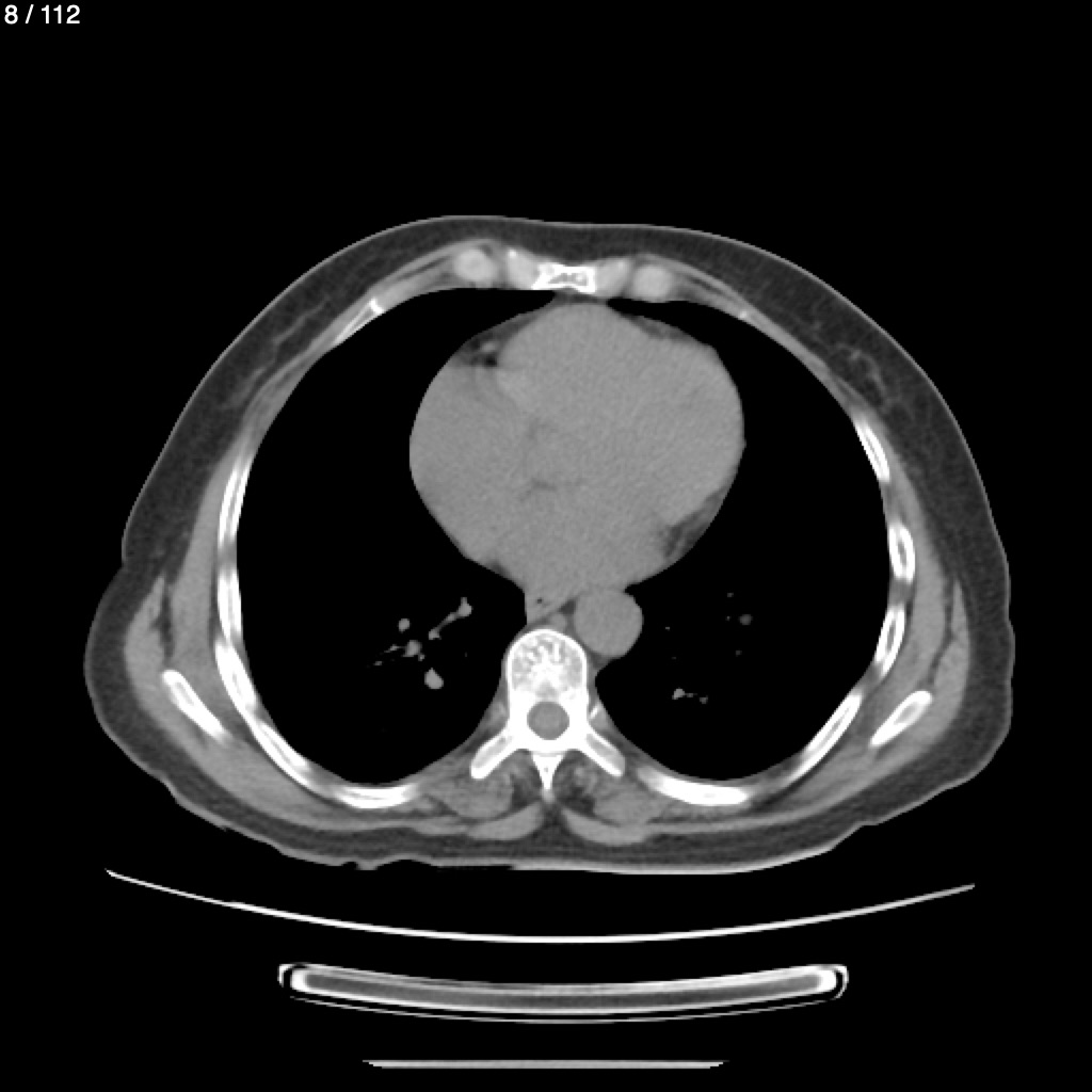
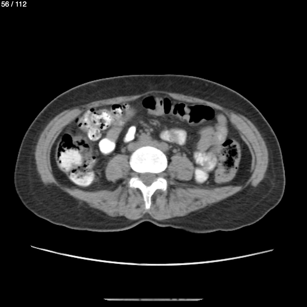
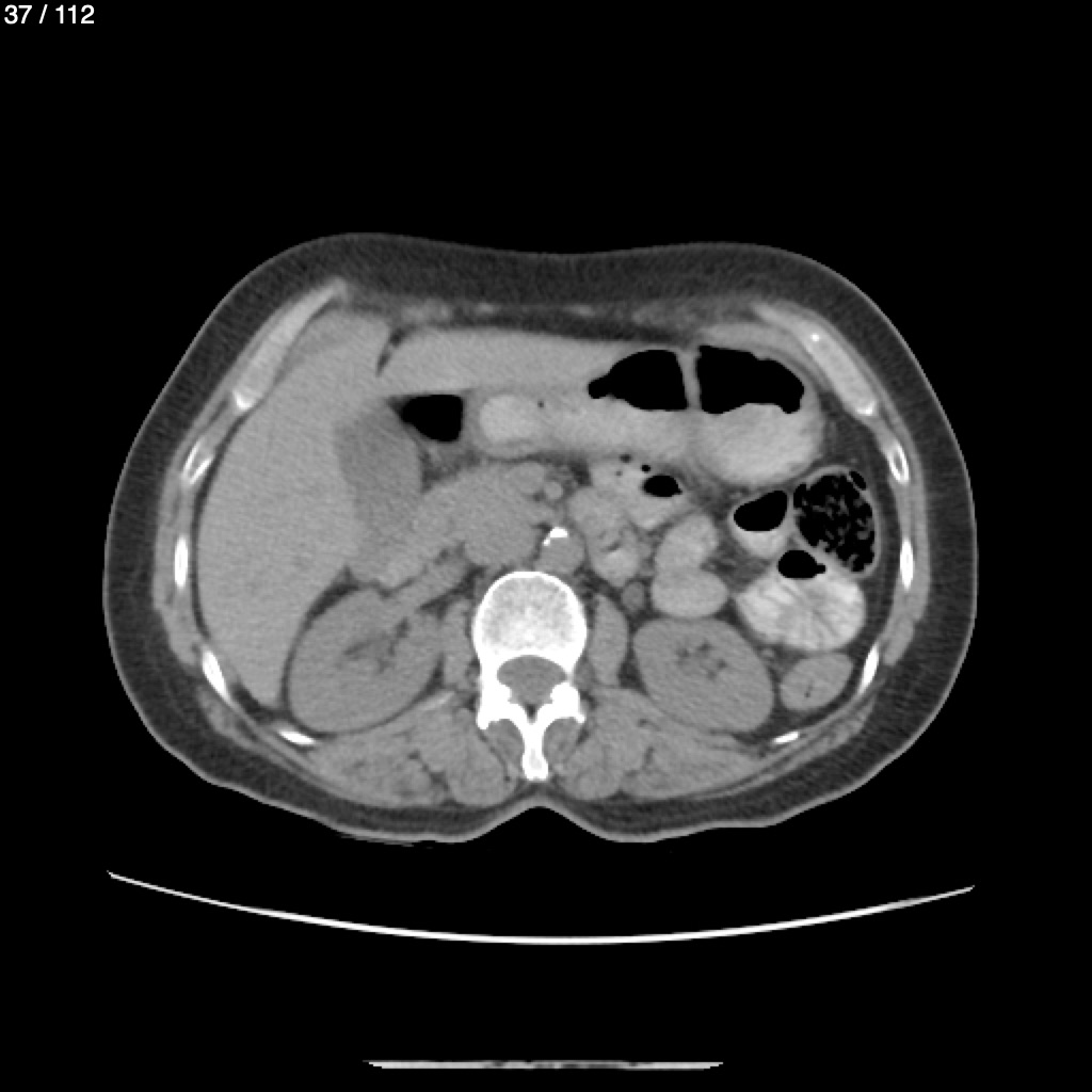
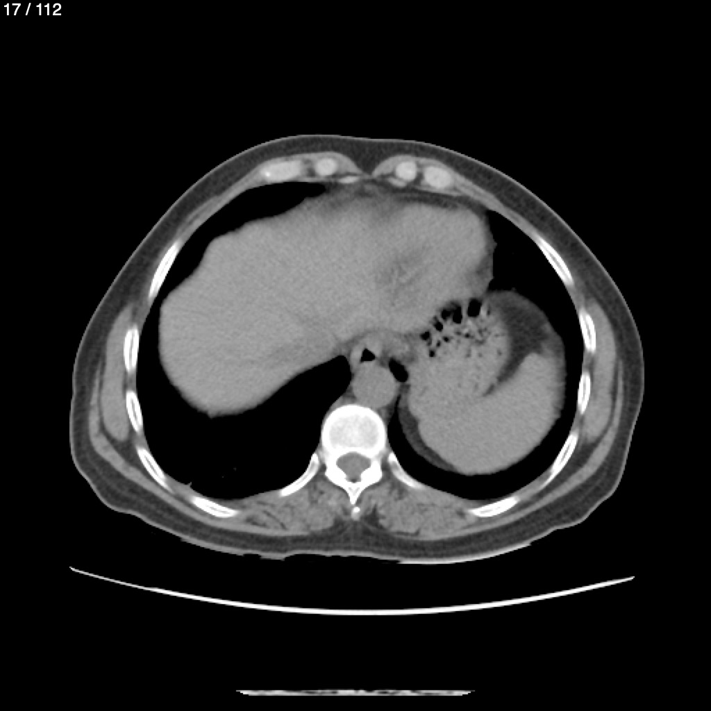
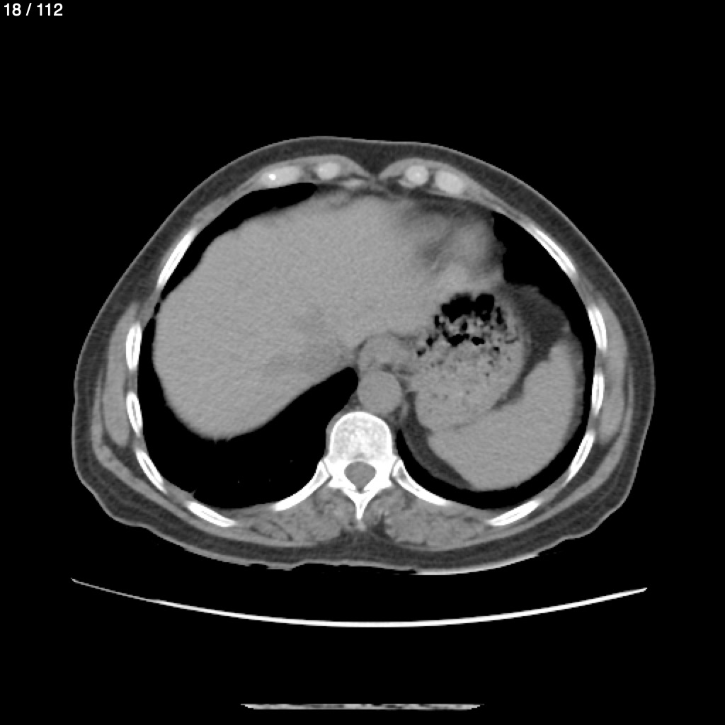
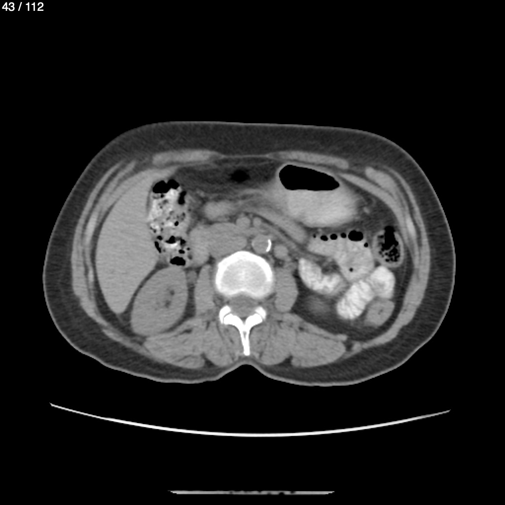
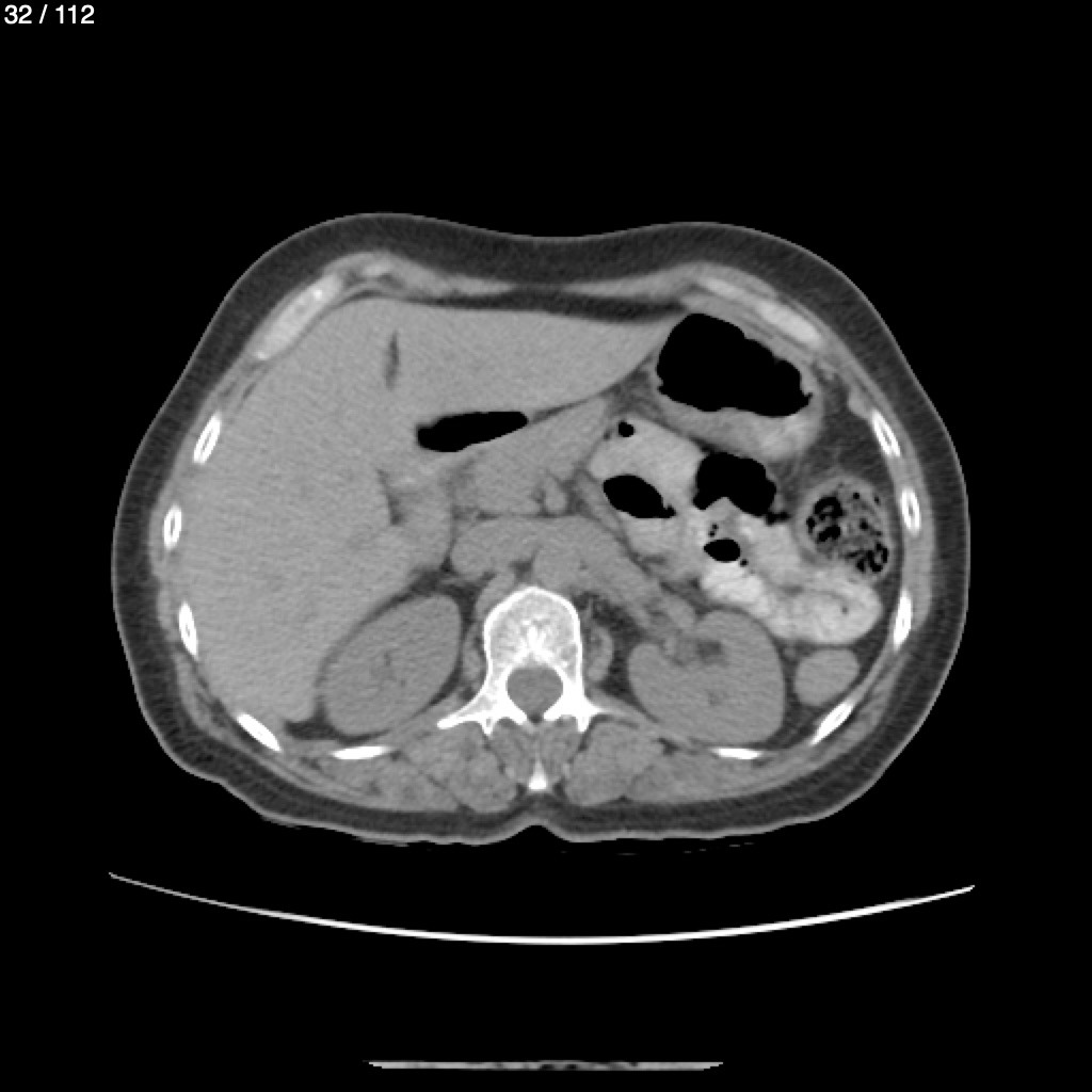
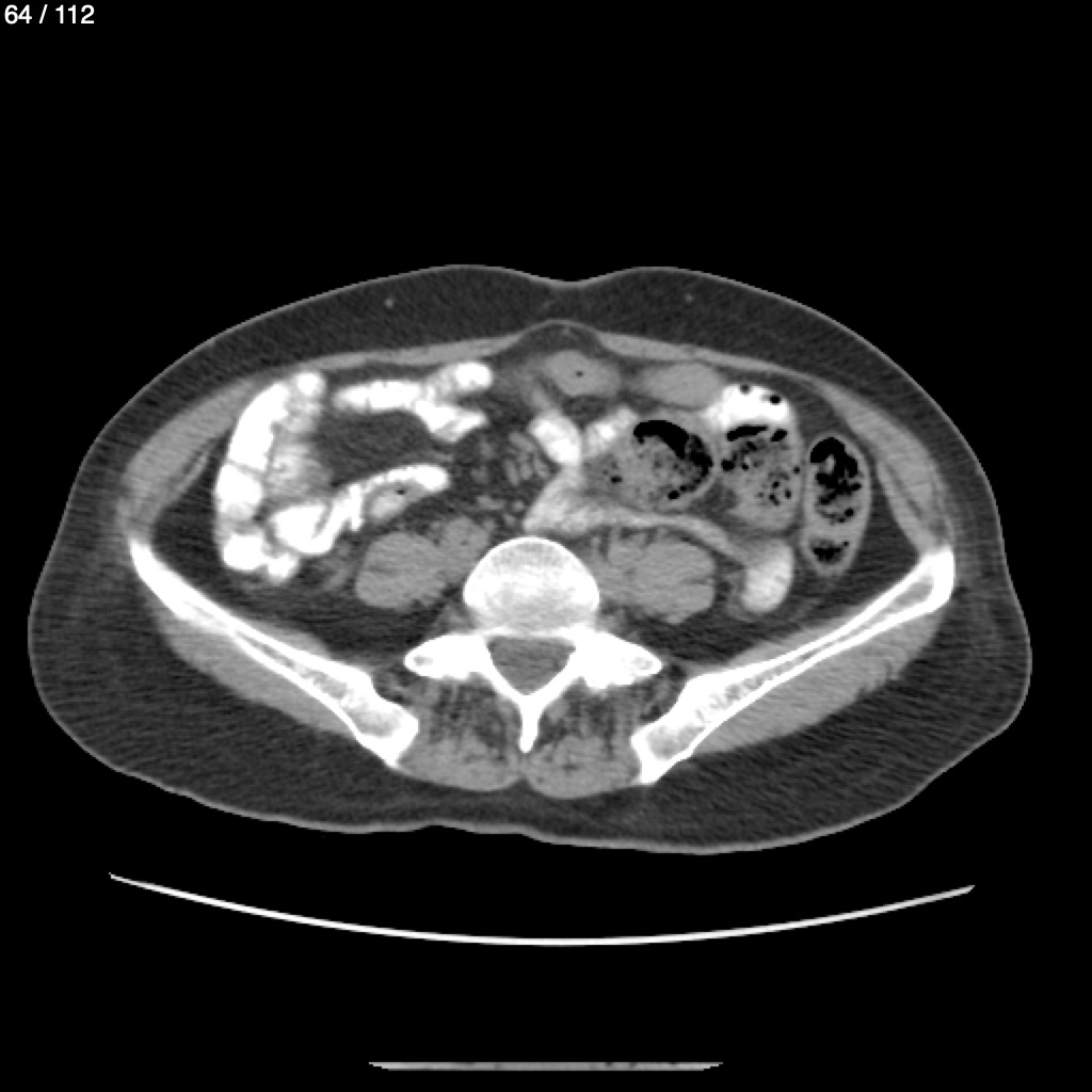
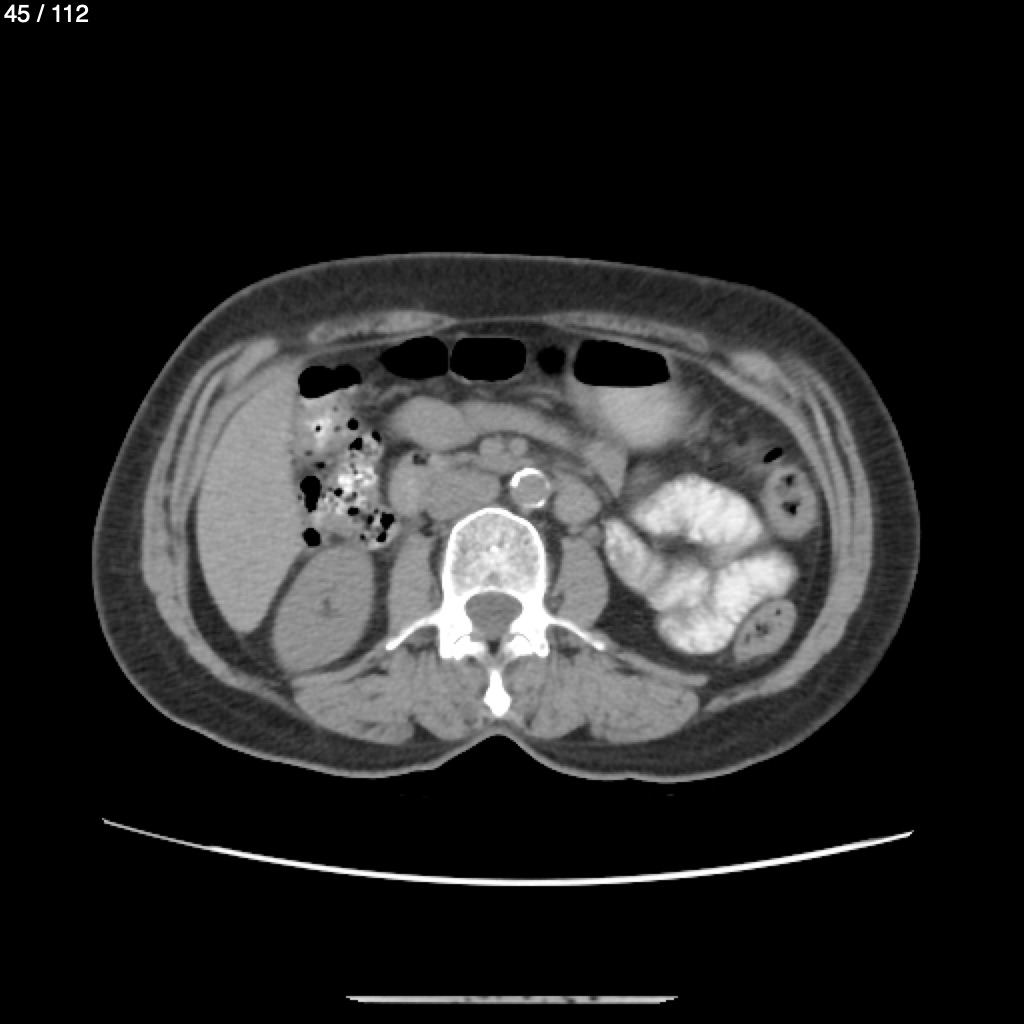
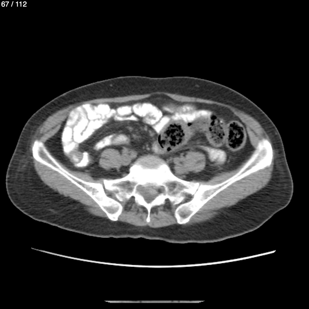
Zenaida Salas Matias 59A - T.C Abdomen Simple
Next Series
Show as Sequence