HUIXTLA
ESCUINTLA
AKISHINO
AKISHINO2 USG
ESPECIALIDADES
Home
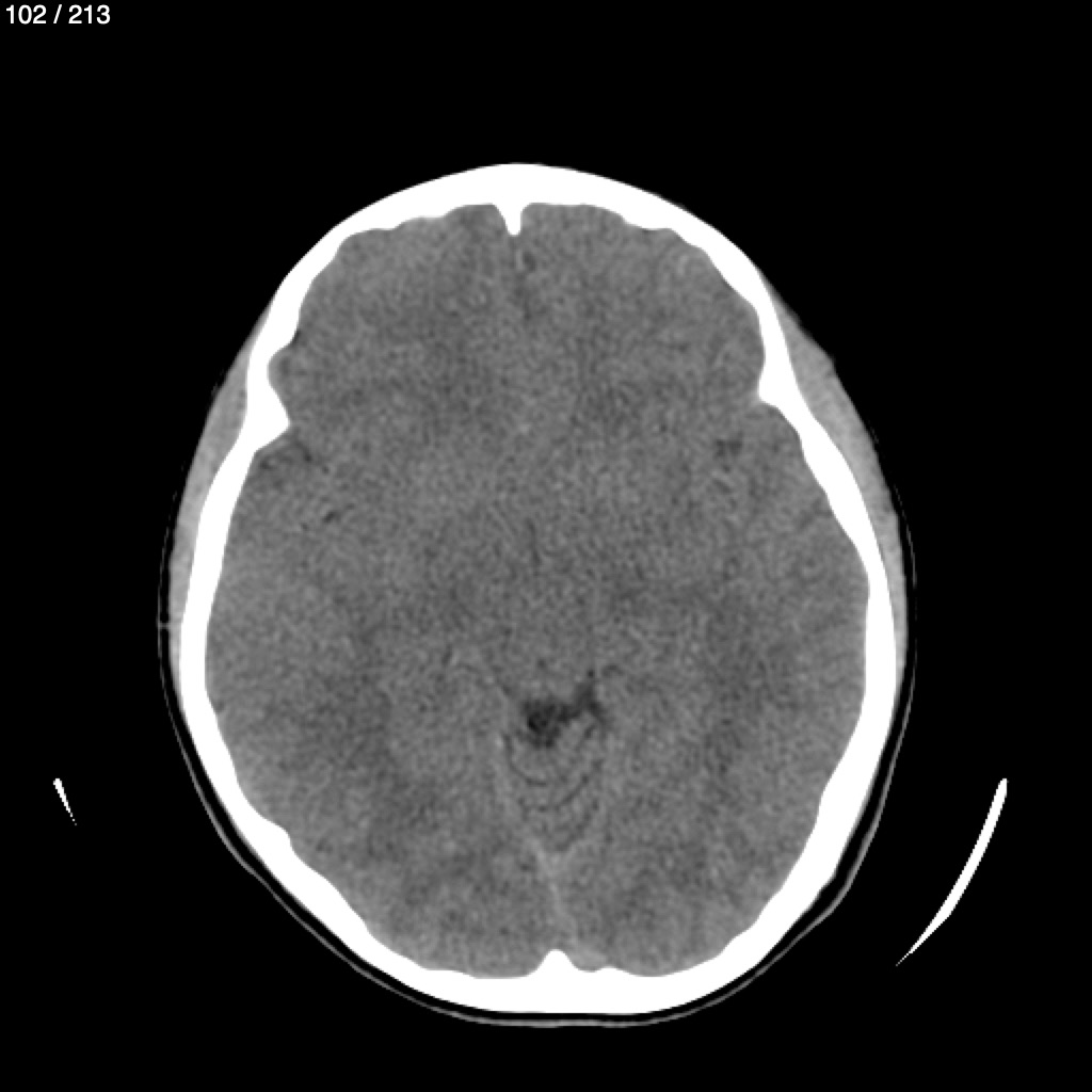
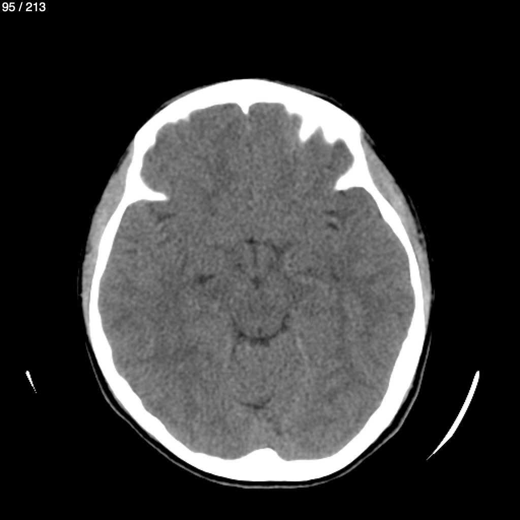
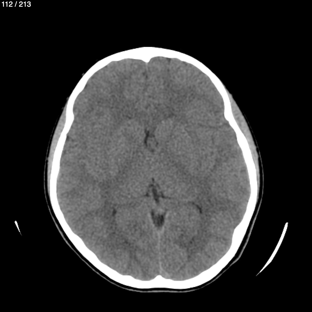
Damian Guzman Juarez 12A - E+1 T.C Craneo
Previous Series
Next Series
Show as Sequence