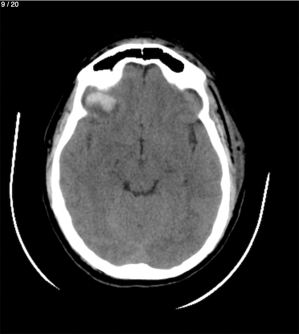
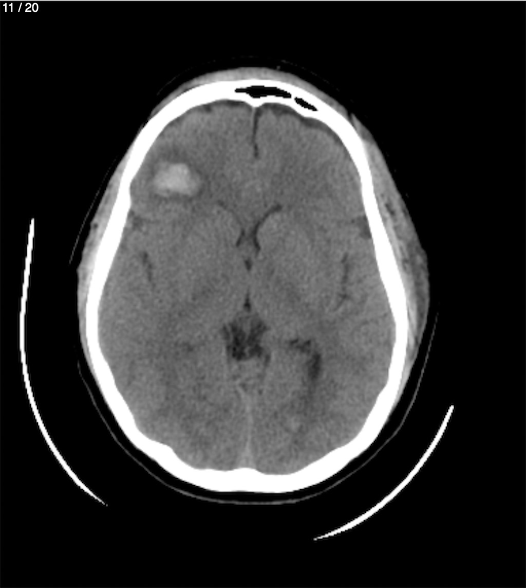
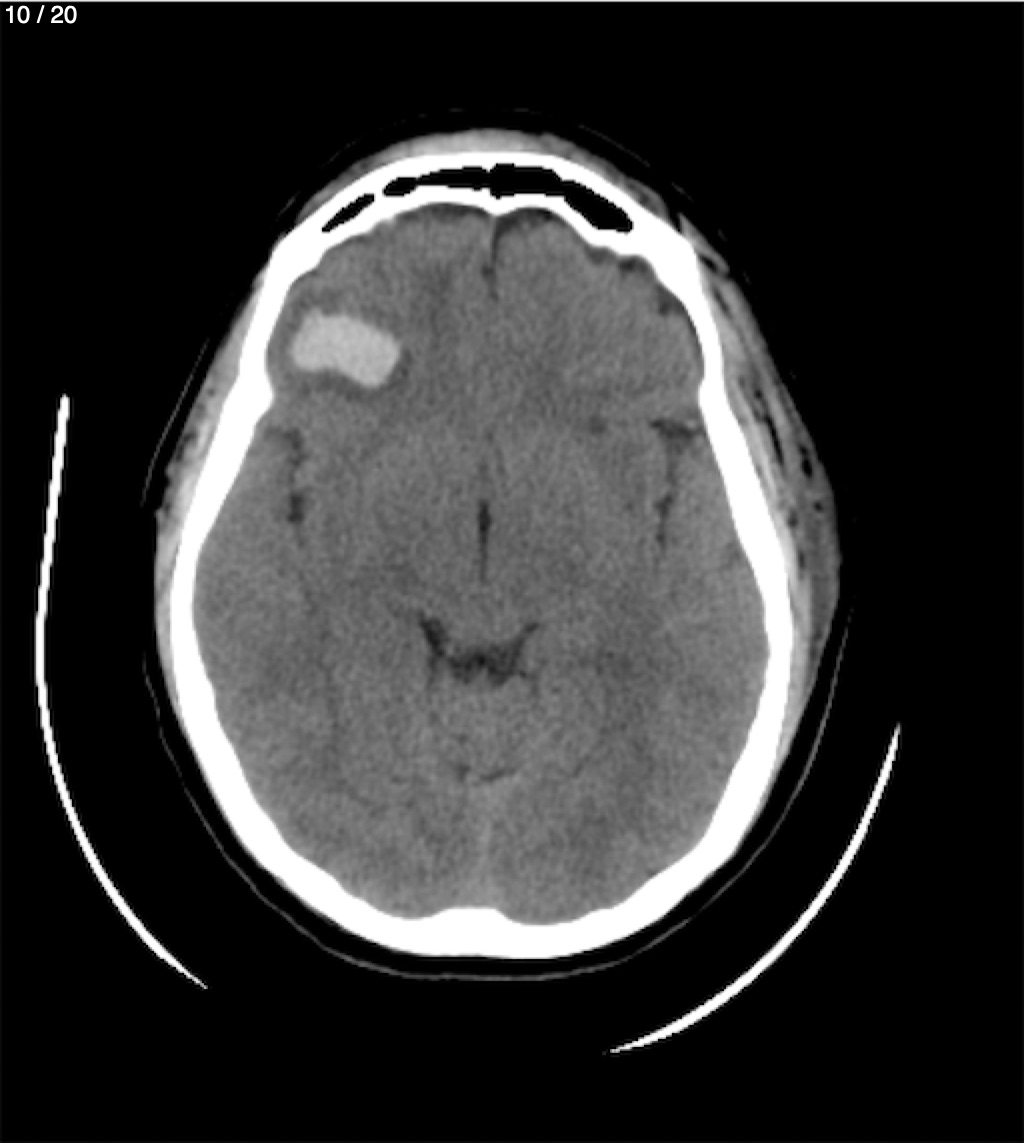
Home R​e​y​b​e​t​ ​G​a​r​c​i​a​ ​F​u​e​n​t​e​s​ ​3​0​A​ ​-​ ​T​.​C​ ​C​r​a​n​e​o