HUIXTLA
ESCUINTLA
AKISHINO
AKISHINO2 USG
ESPECIALIDADES
Home
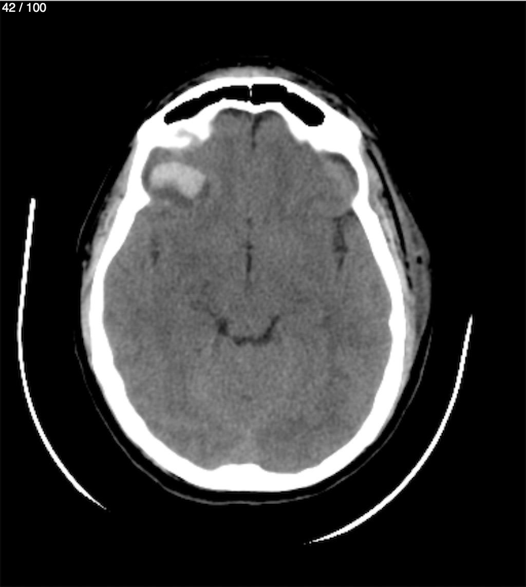
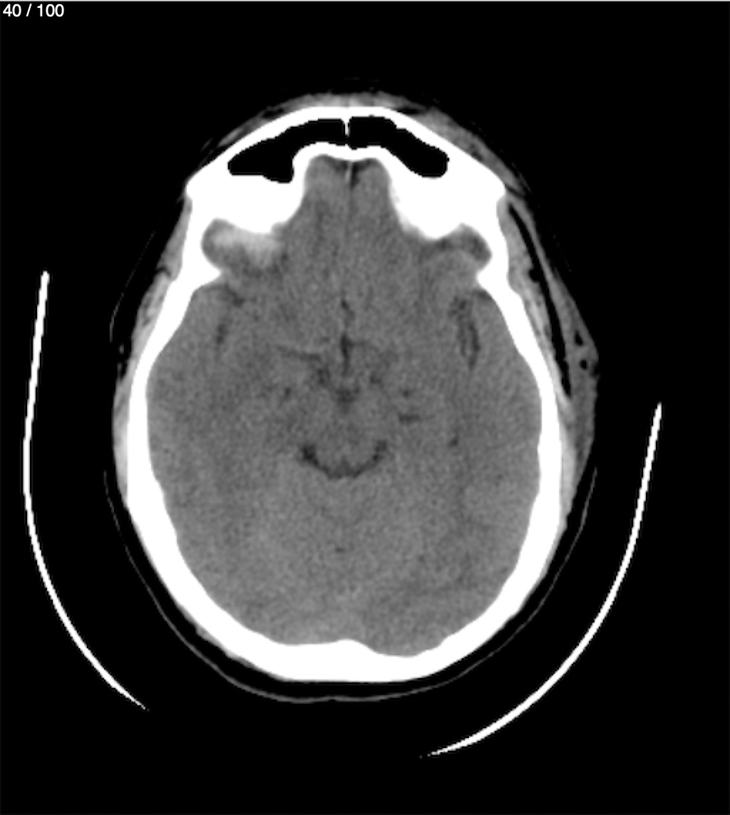
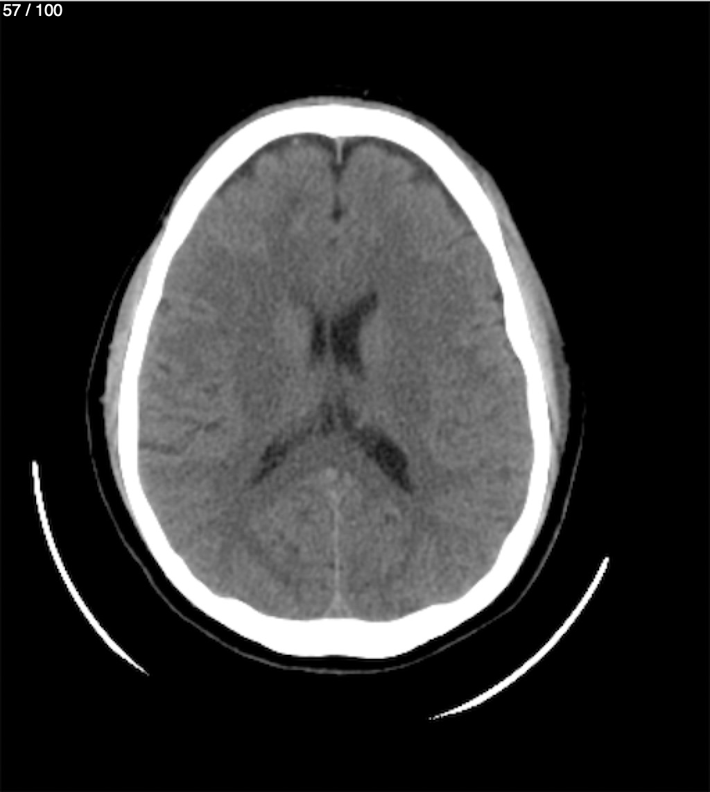
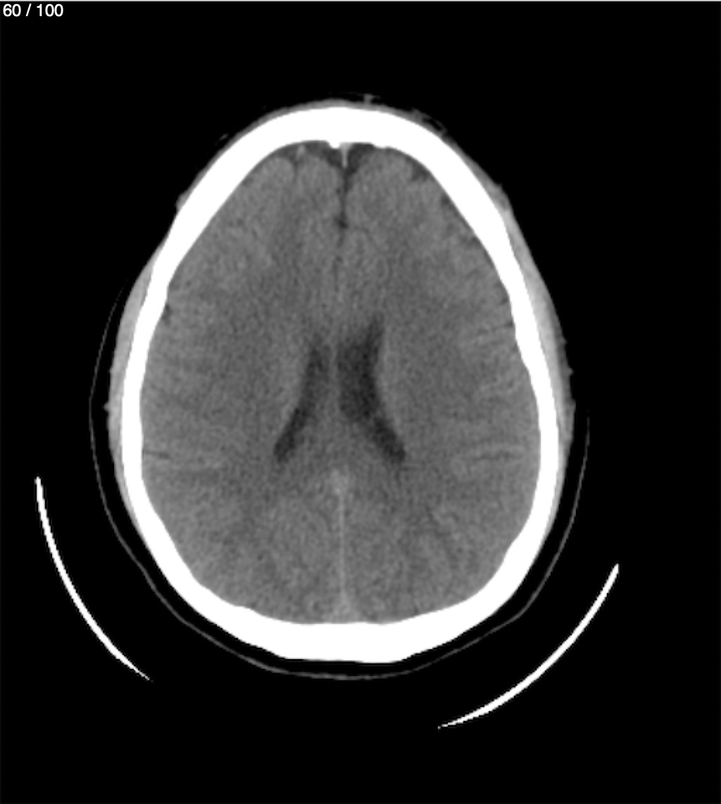
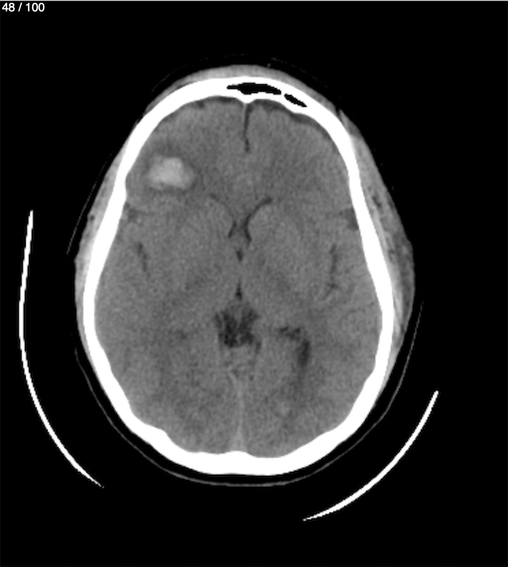
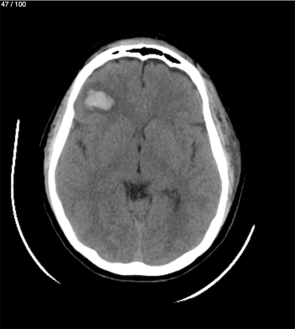
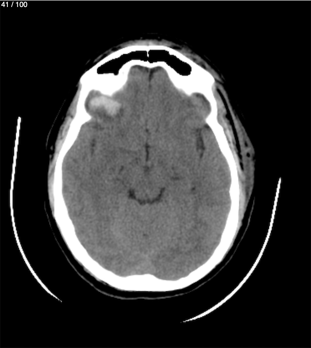
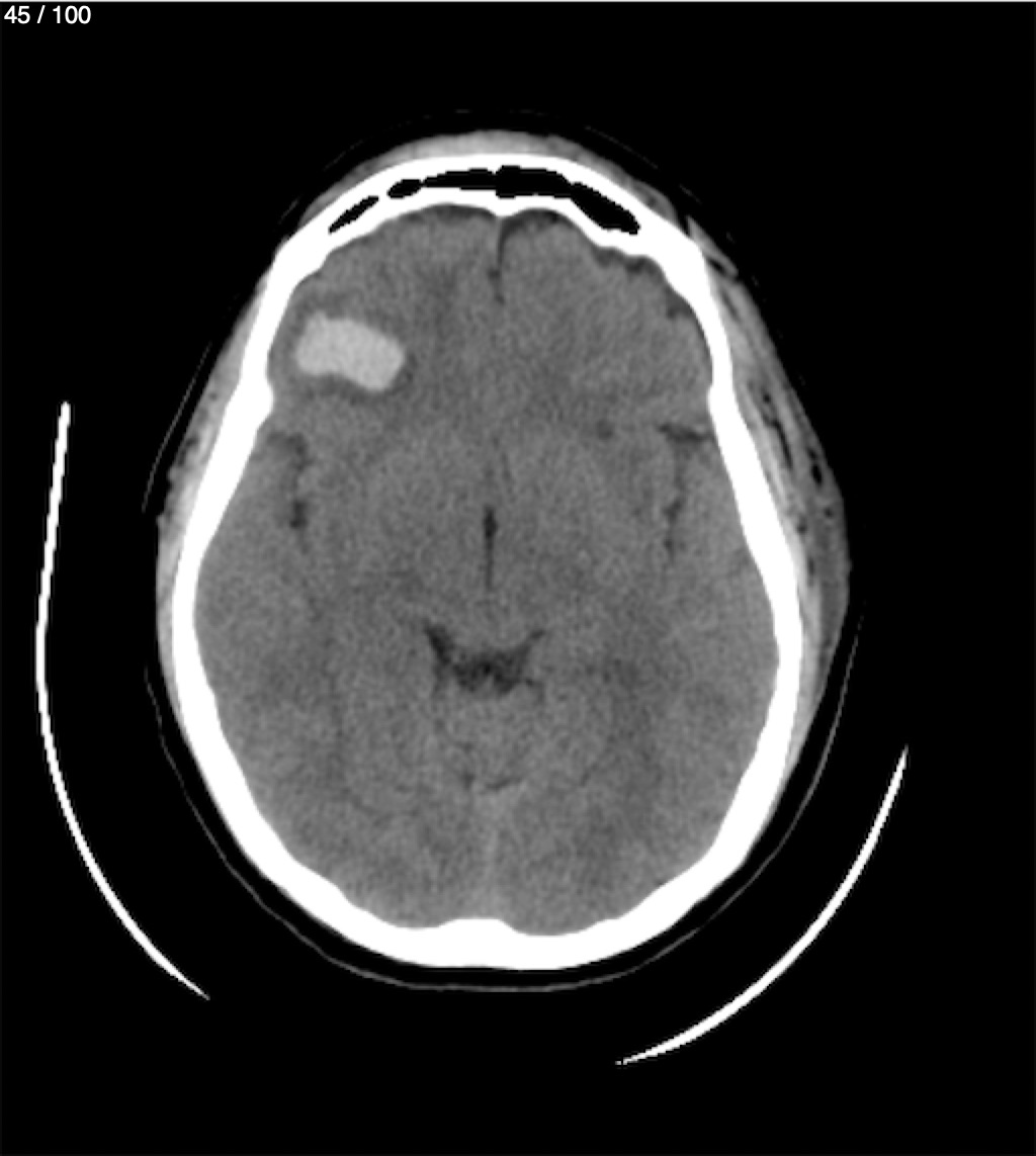
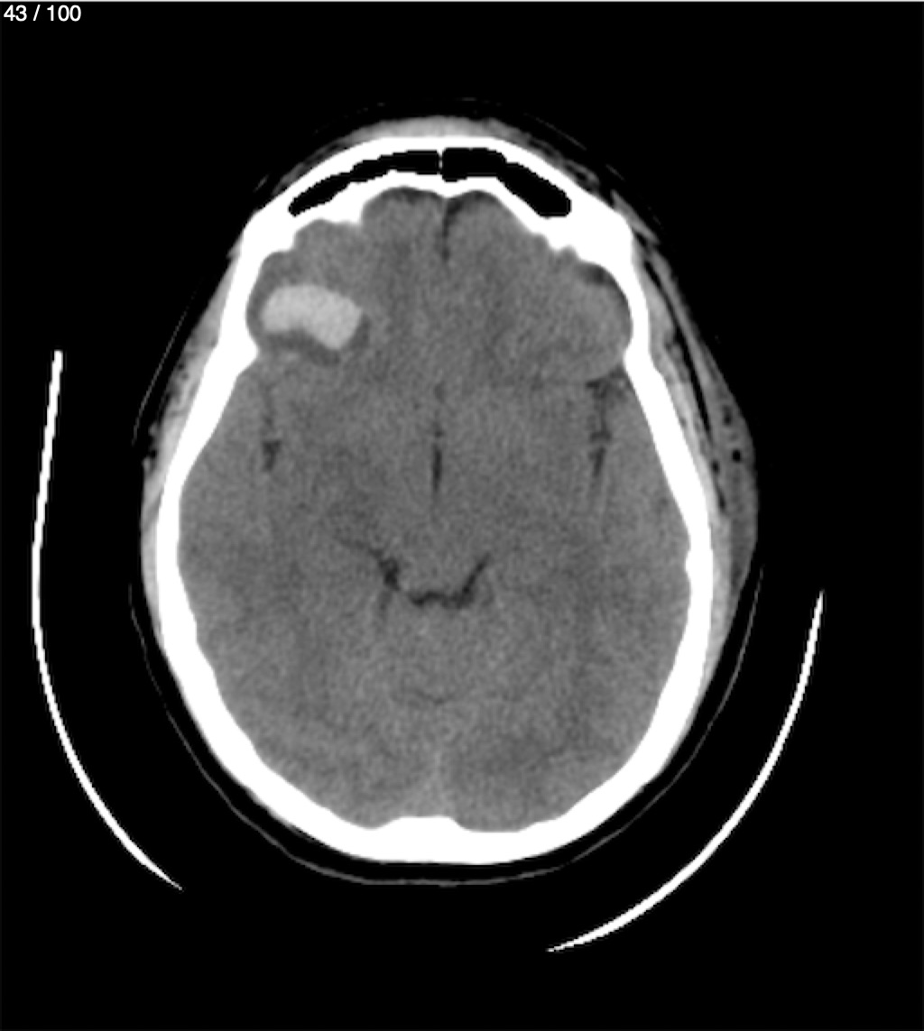
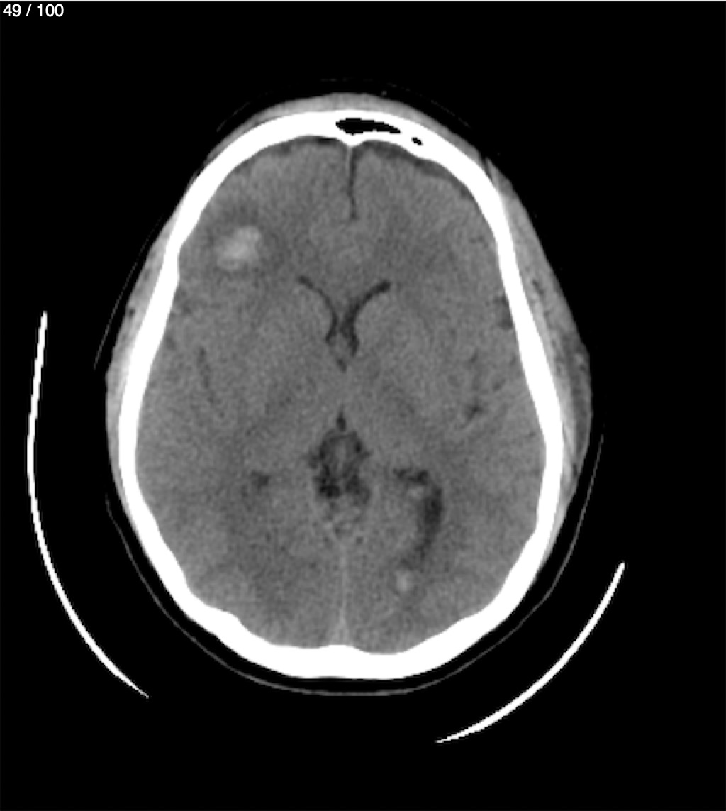
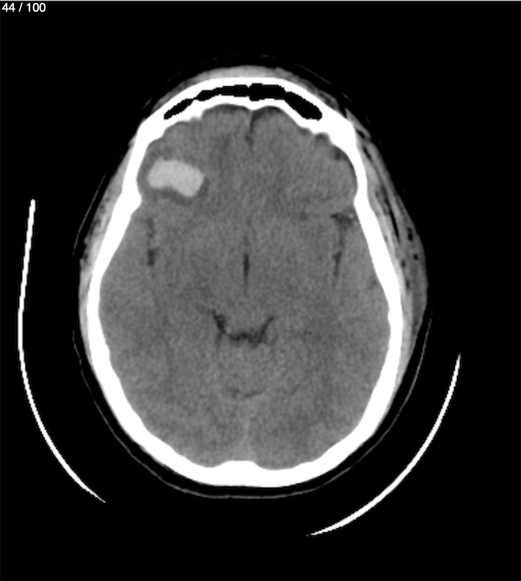
Reybet Garcia Fuentes 30A - T.C Craneo
Previous Series
Next Series
Show as Sequence