HUIXTLA
ESCUINTLA
AKISHINO
AKISHINO2 USG
ESPECIALIDADES
Home
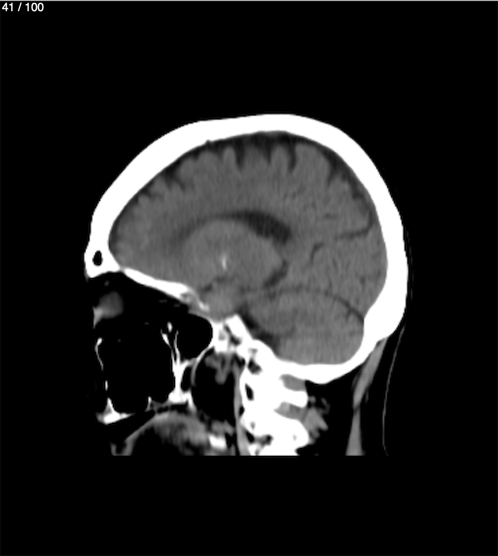
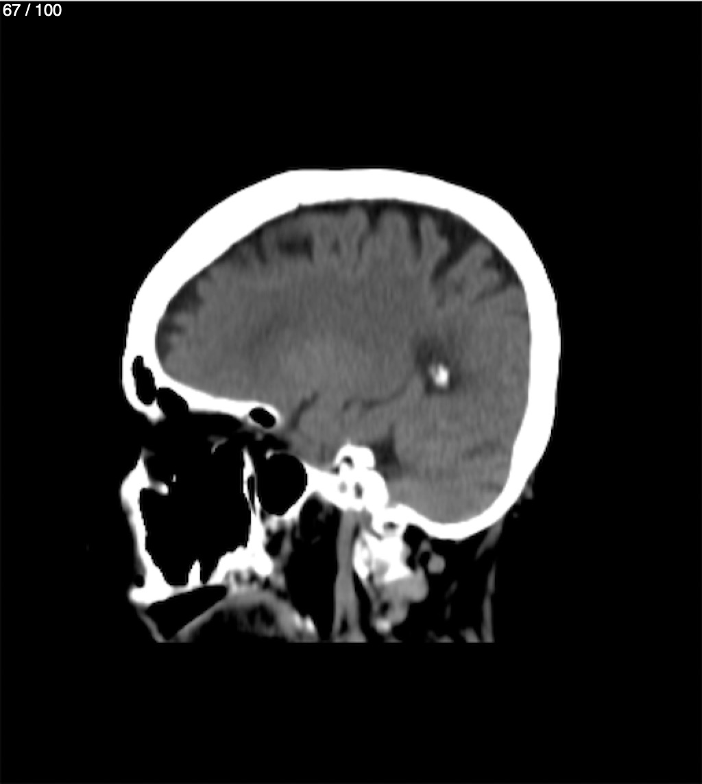
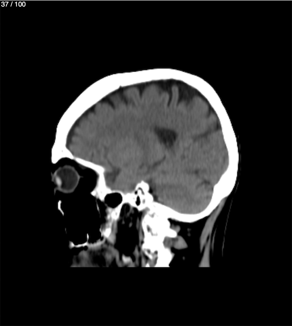
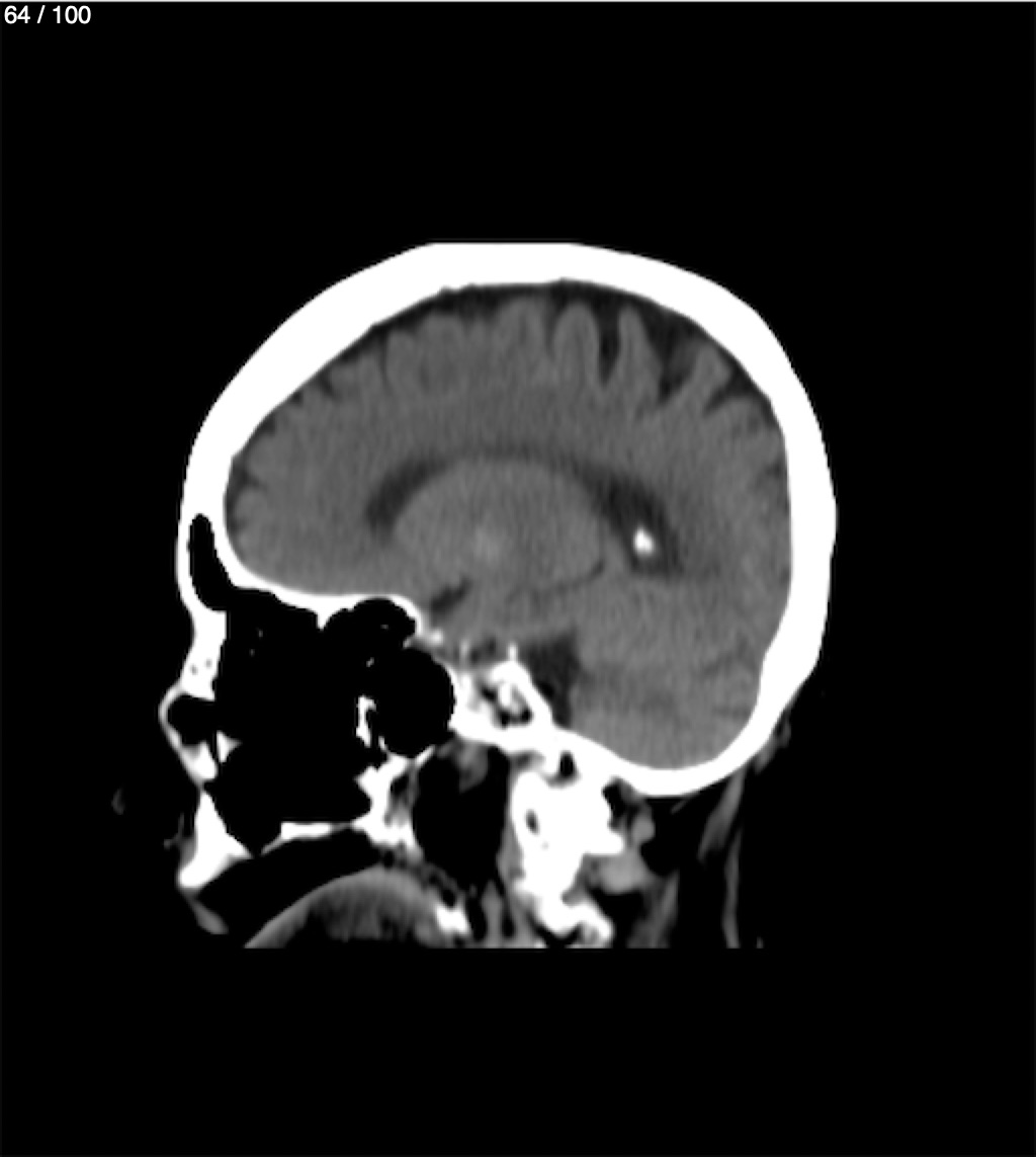
Gorgonia Carillo Hernandez 89A - Tc. Craneo Syc
Previous Series
Next Series
Show as Sequence