HUIXTLA
ESCUINTLA
AKISHINO
AKISHINO2 USG
ESPECIALIDADES
Home
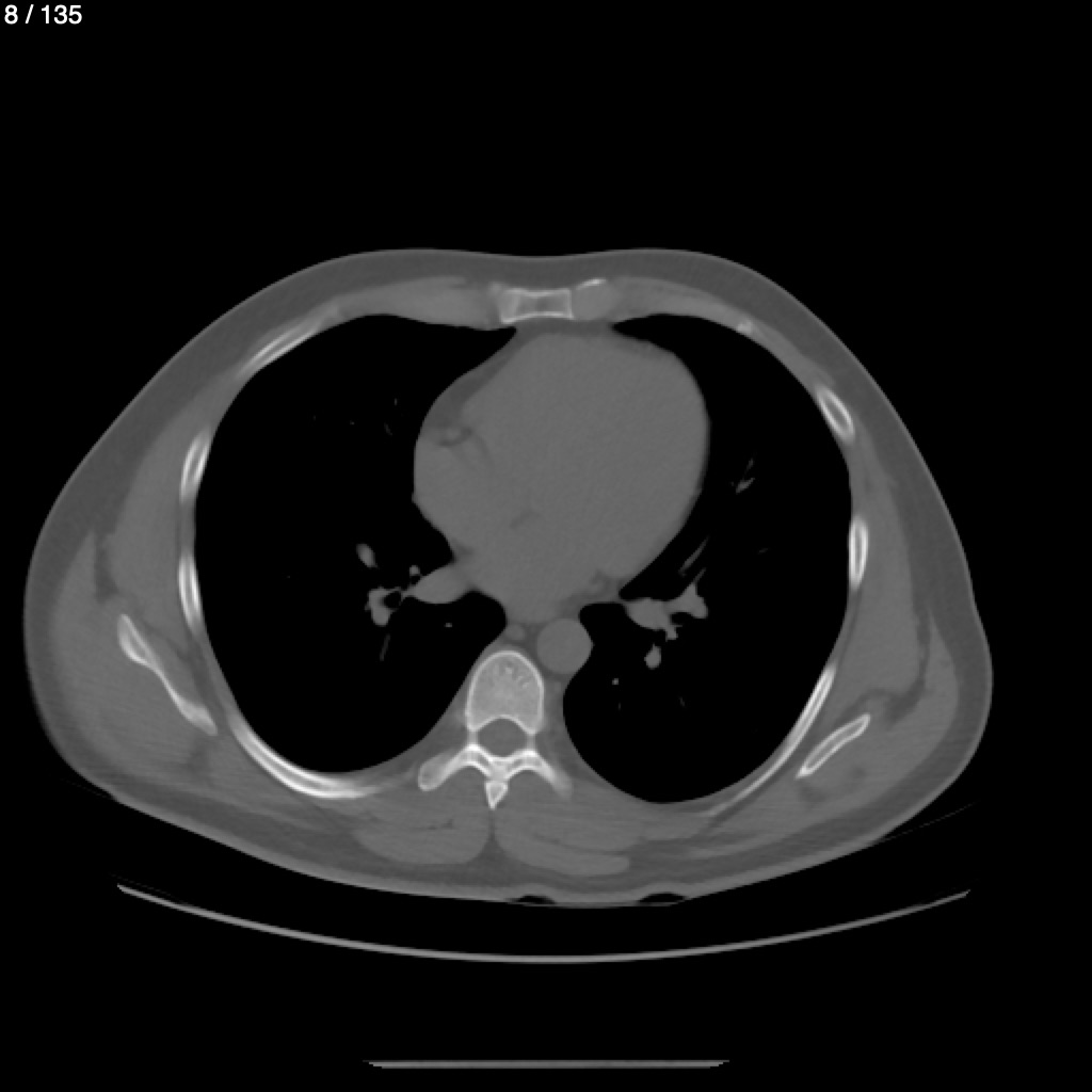
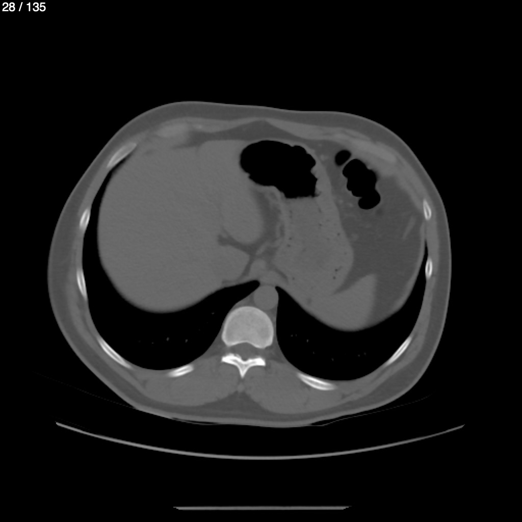
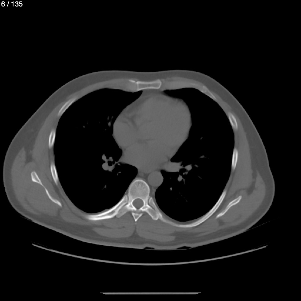
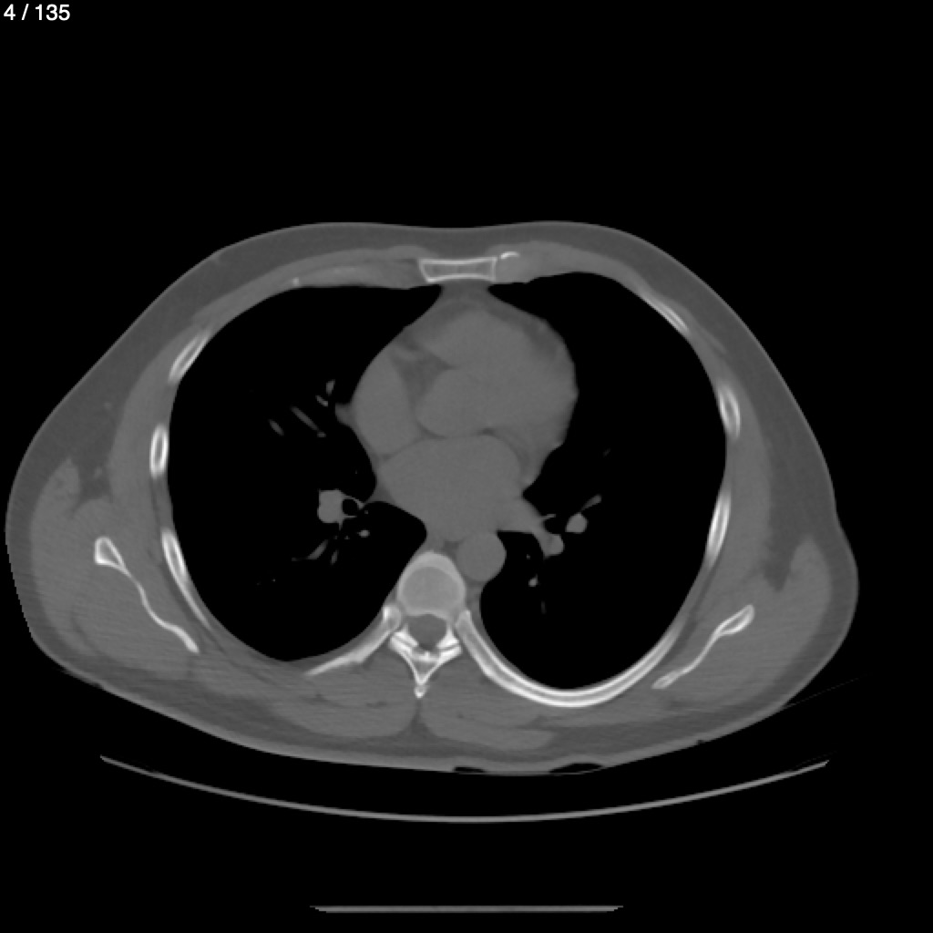
Eliseo Barragan Escobar 37A - T.C Abdomen Syc
Next Series
Show as Sequence