HUIXTLA
ESCUINTLA
AKISHINO
AKISHINO2 USG
ESPECIALIDADES
Home
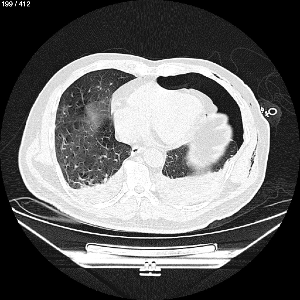
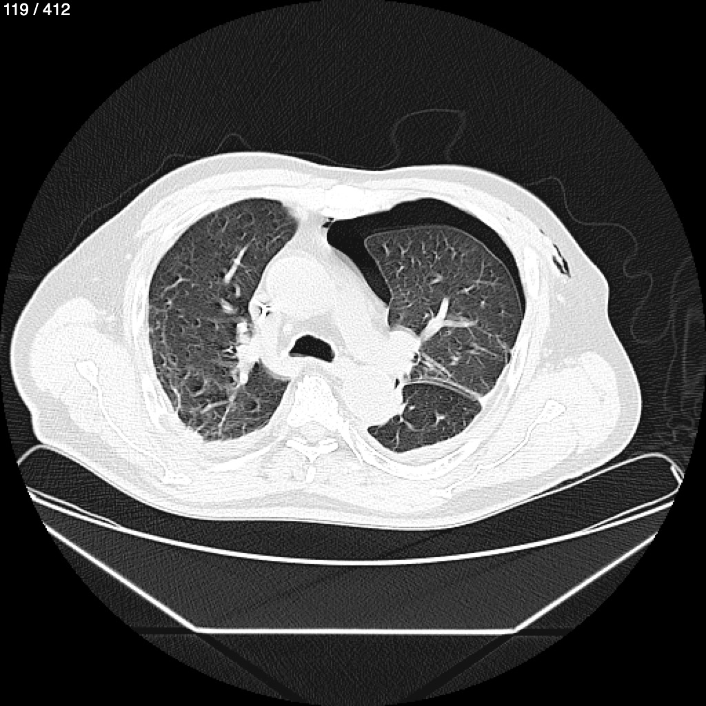
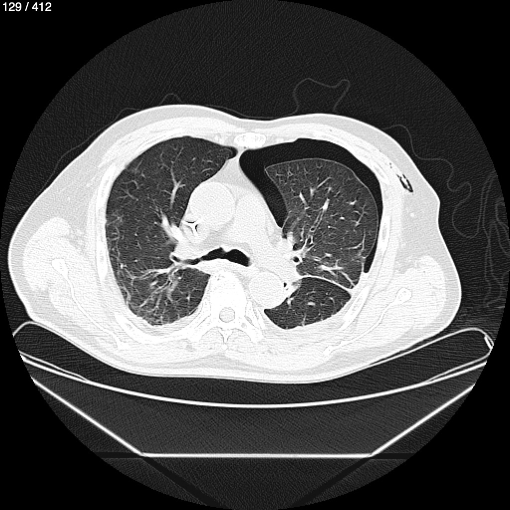
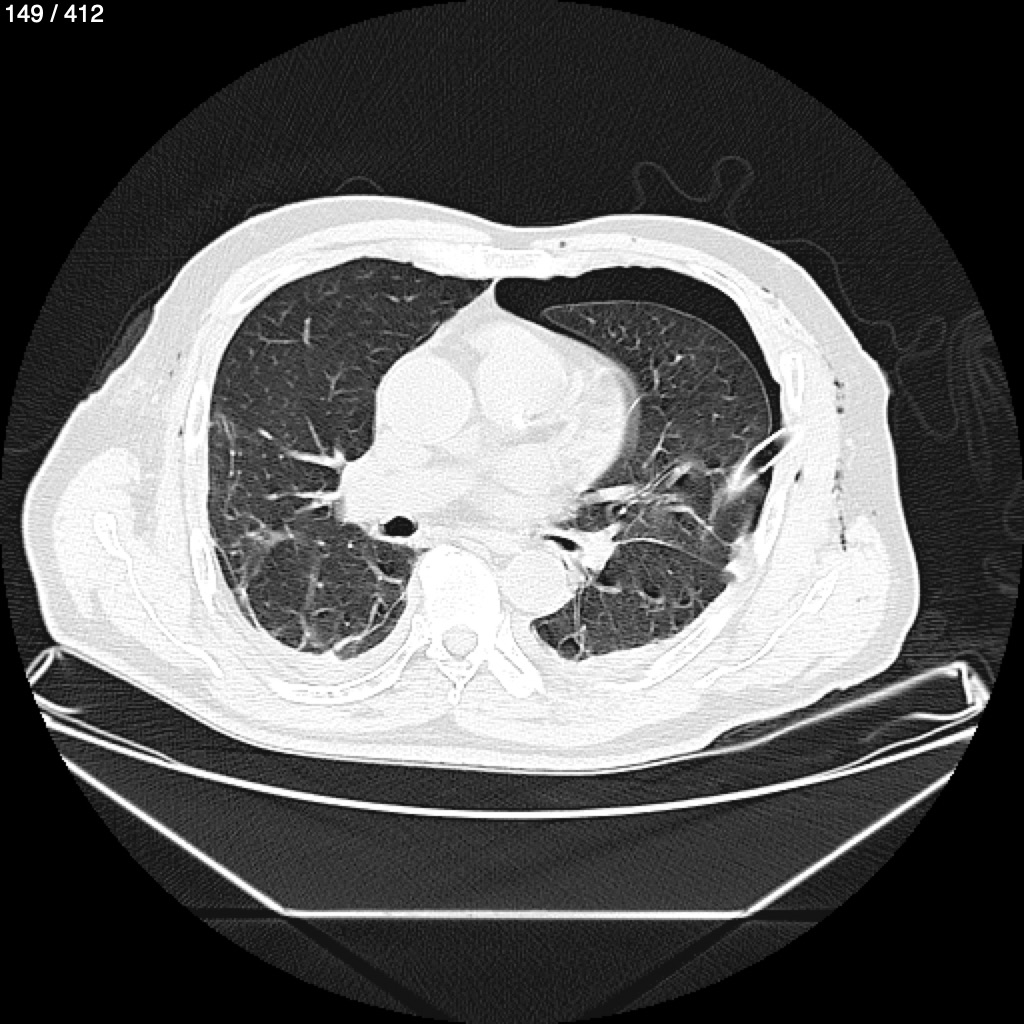
Juventino Mendez Gomez 77A - T.C Torax S
Previous Series
Next Series
Show as Sequence