HUIXTLA
ESCUINTLA
AKISHINO
AKISHINO2 USG
ESPECIALIDADES
Home
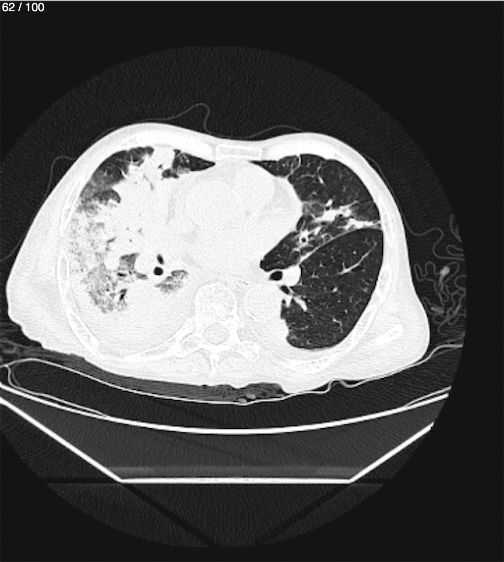
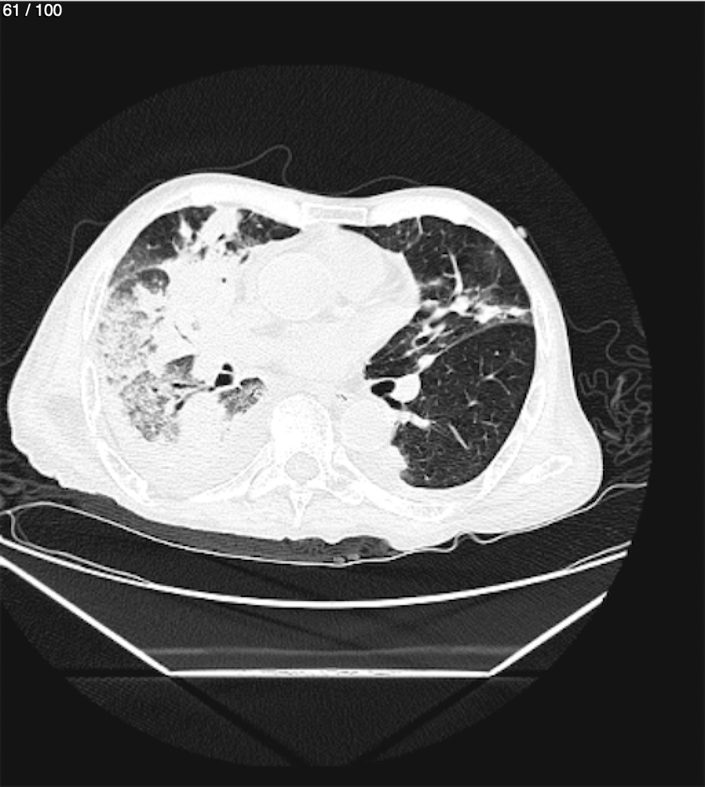
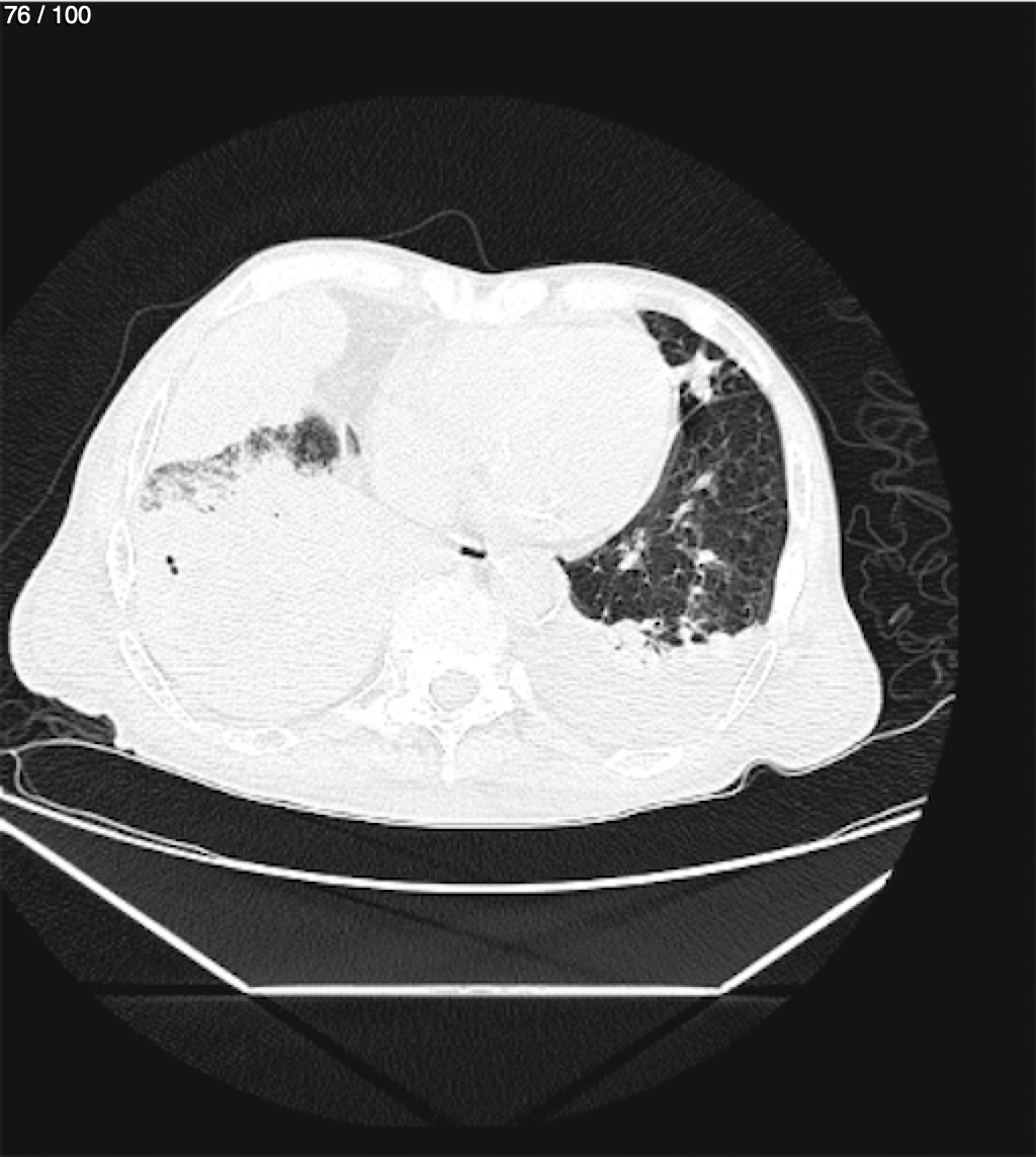
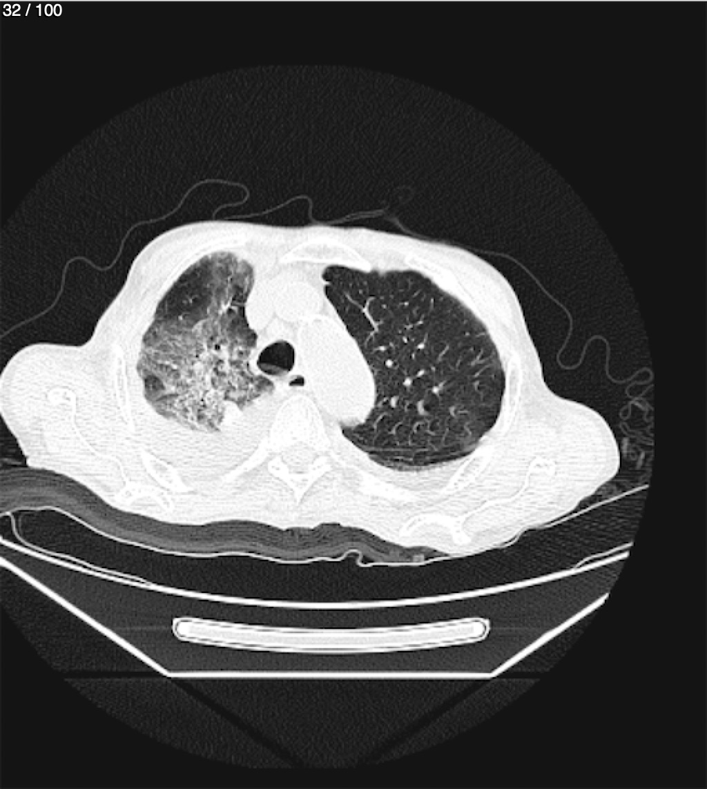
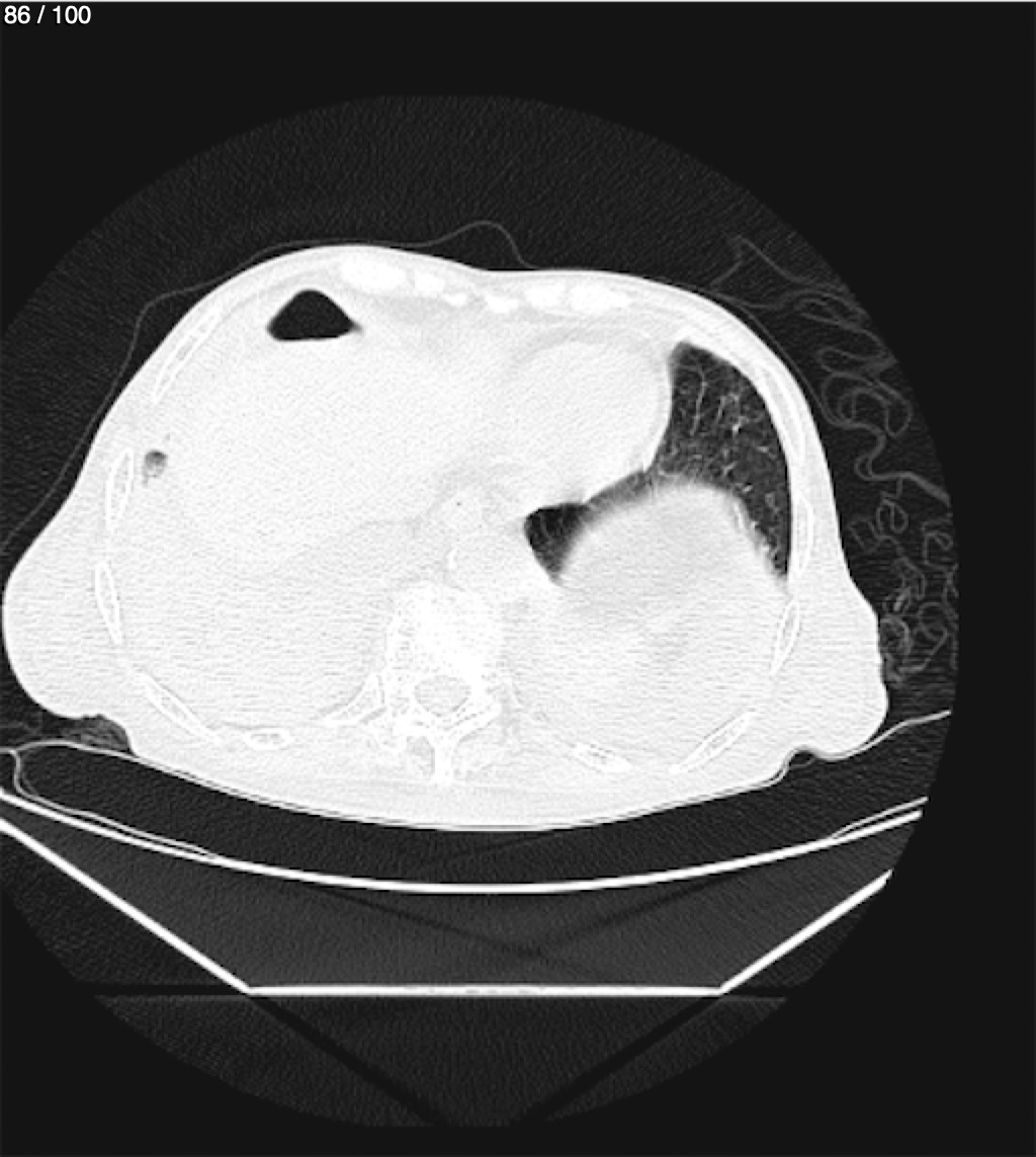
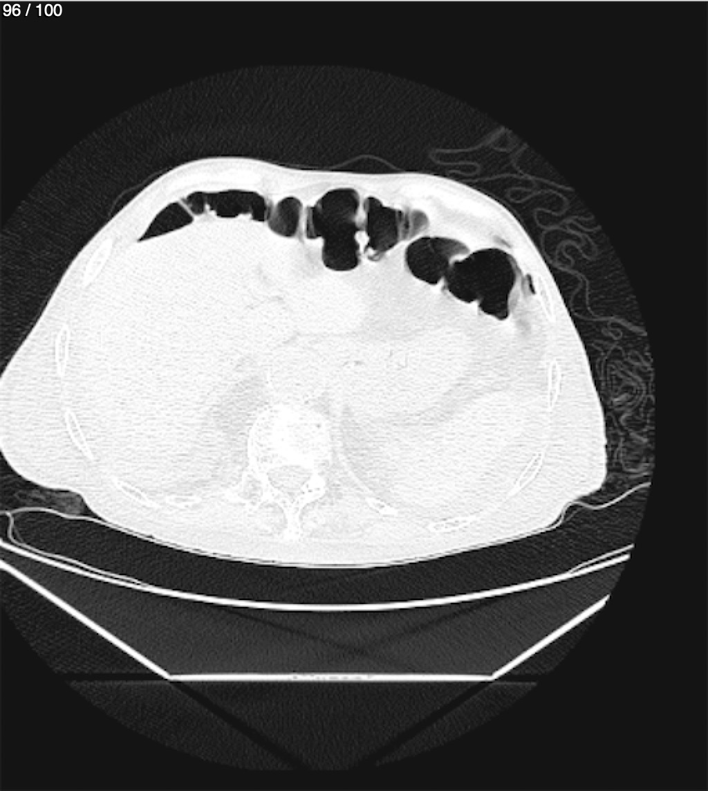
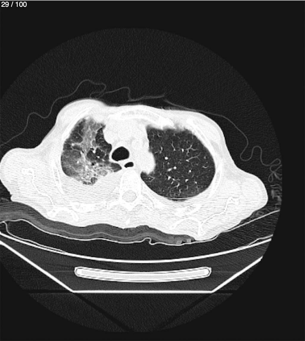
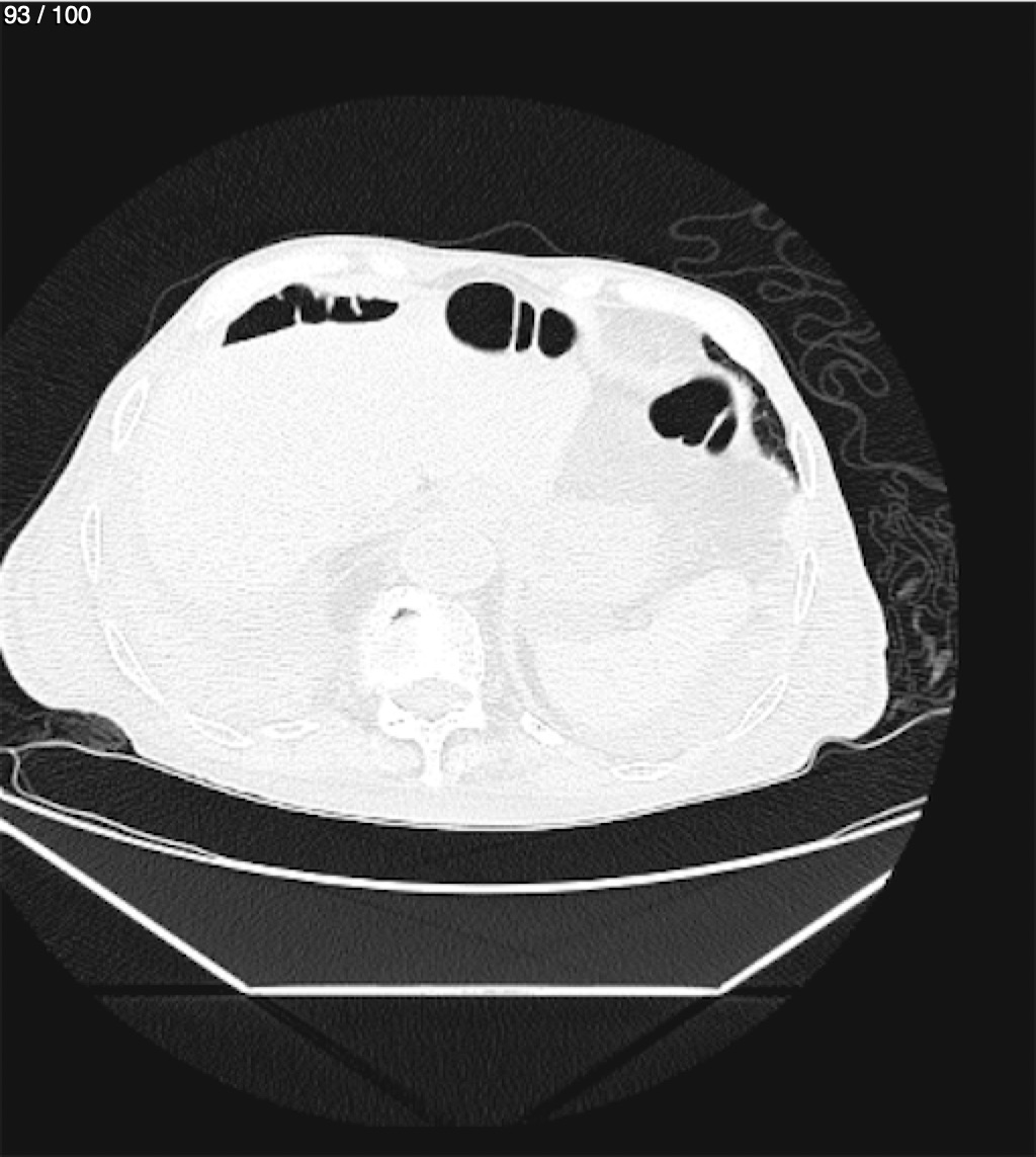
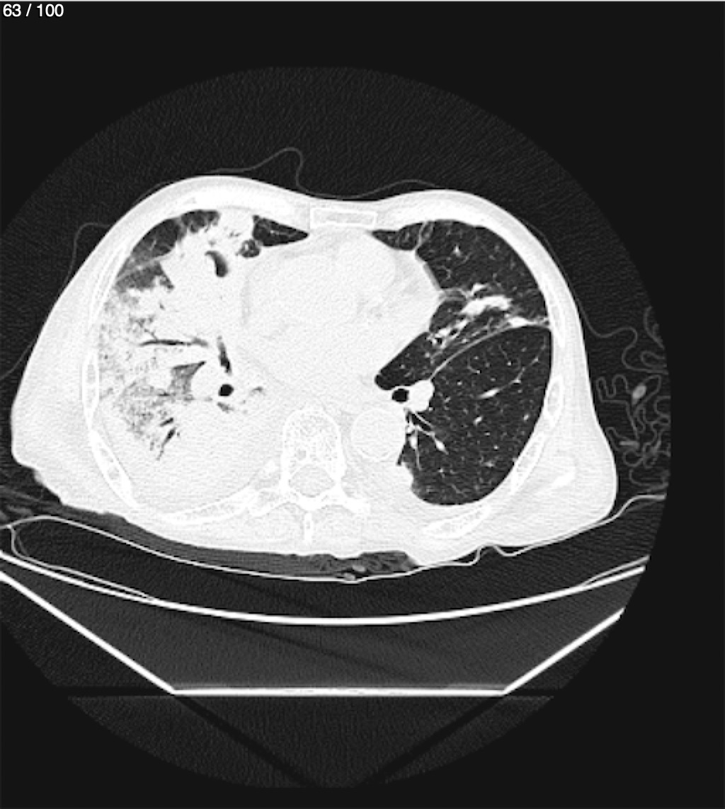
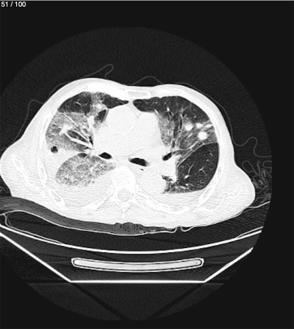
Margarito Hernandez Calel 91 - T.C Torax S
Previous Series
Next Series
Show as Sequence