HUIXTLA
ESCUINTLA
AKISHINO
AKISHINO2 USG
ESPECIALIDADES
Home
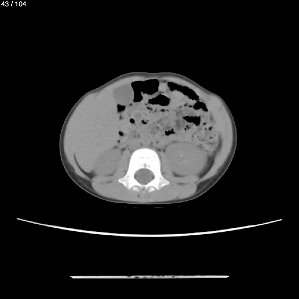
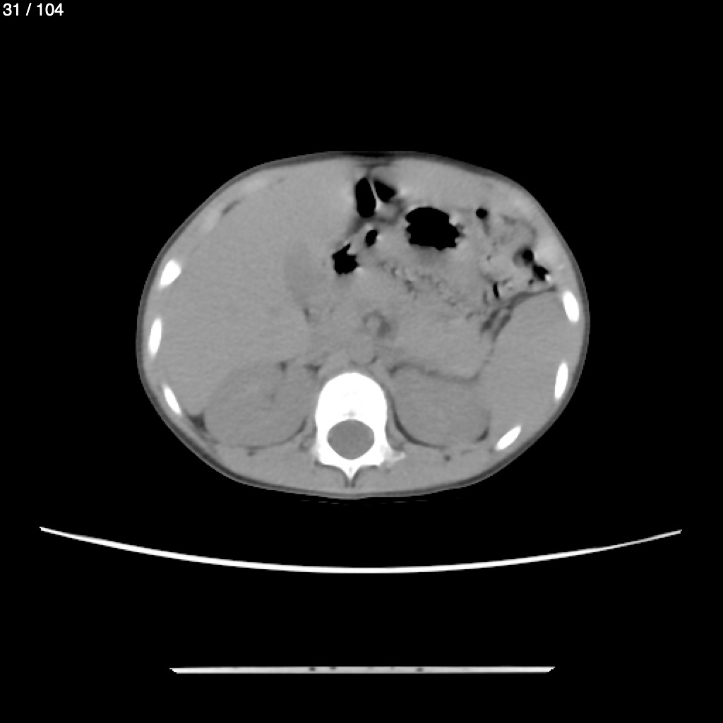
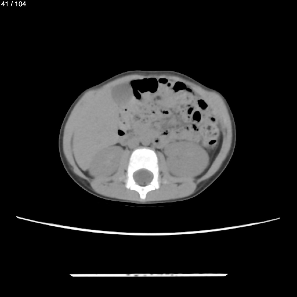
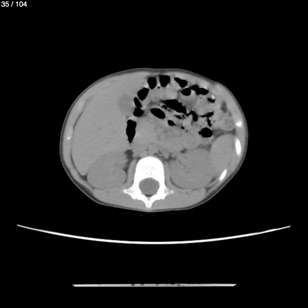
Alex Miguel Morales Morales 4A - T.C Abdomen Simple
Next Series
Show as Sequence