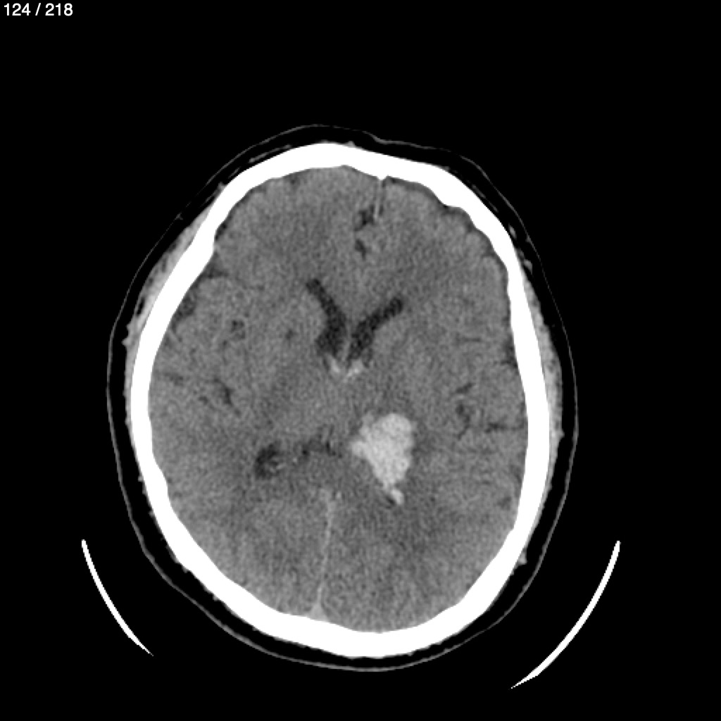
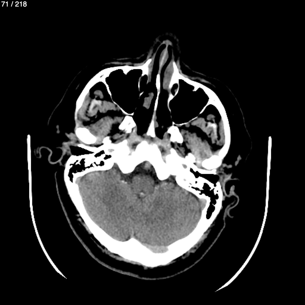
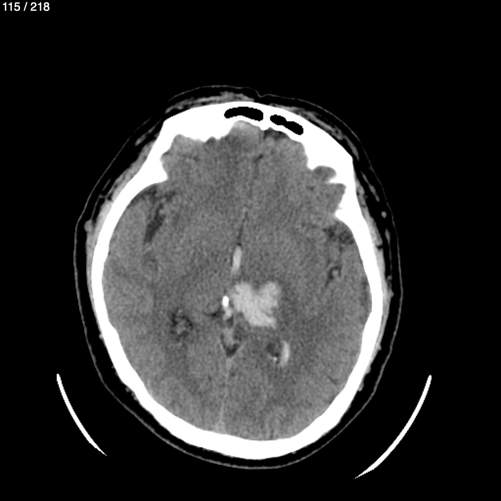
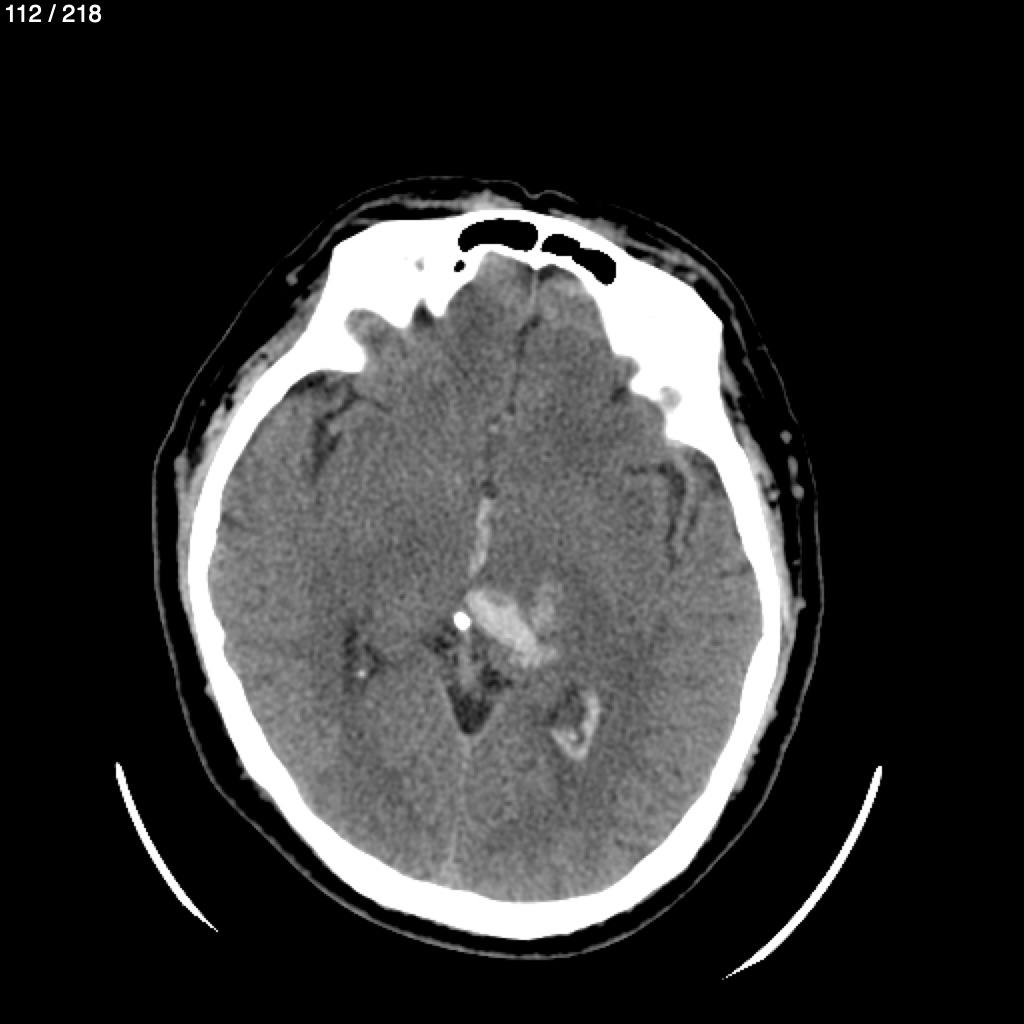
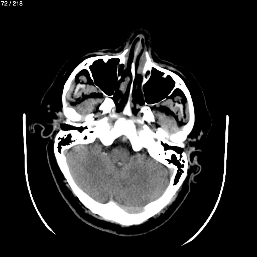
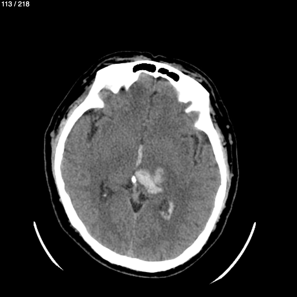
Home F​r​o​y​l​a​n​ ​M​a​r​t​i​n​e​z​ ​G​o​m​e​z​ ​4​8​ ​-​ ​T​.​C​ ​C​r​a​n​e​o