HUIXTLA
ESCUINTLA
AKISHINO
AKISHINO2 USG
ESPECIALIDADES
Home
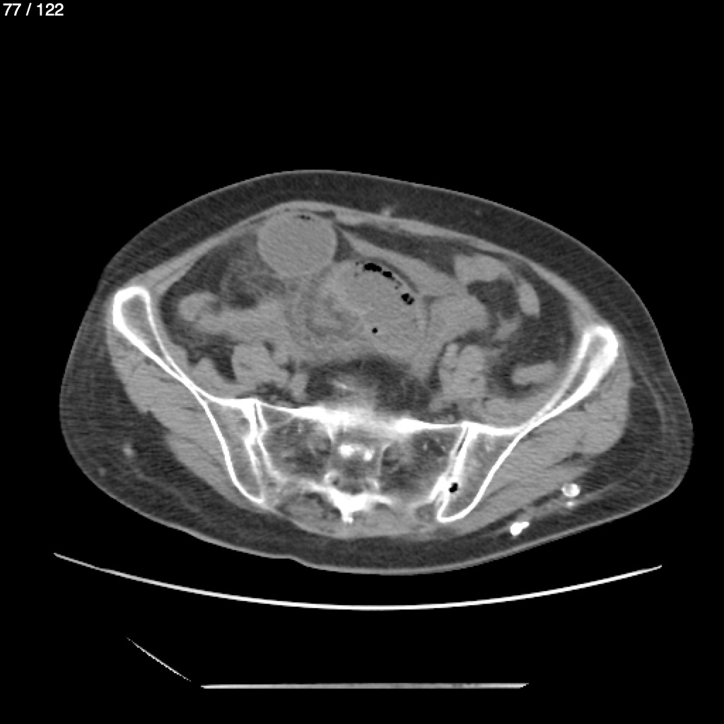
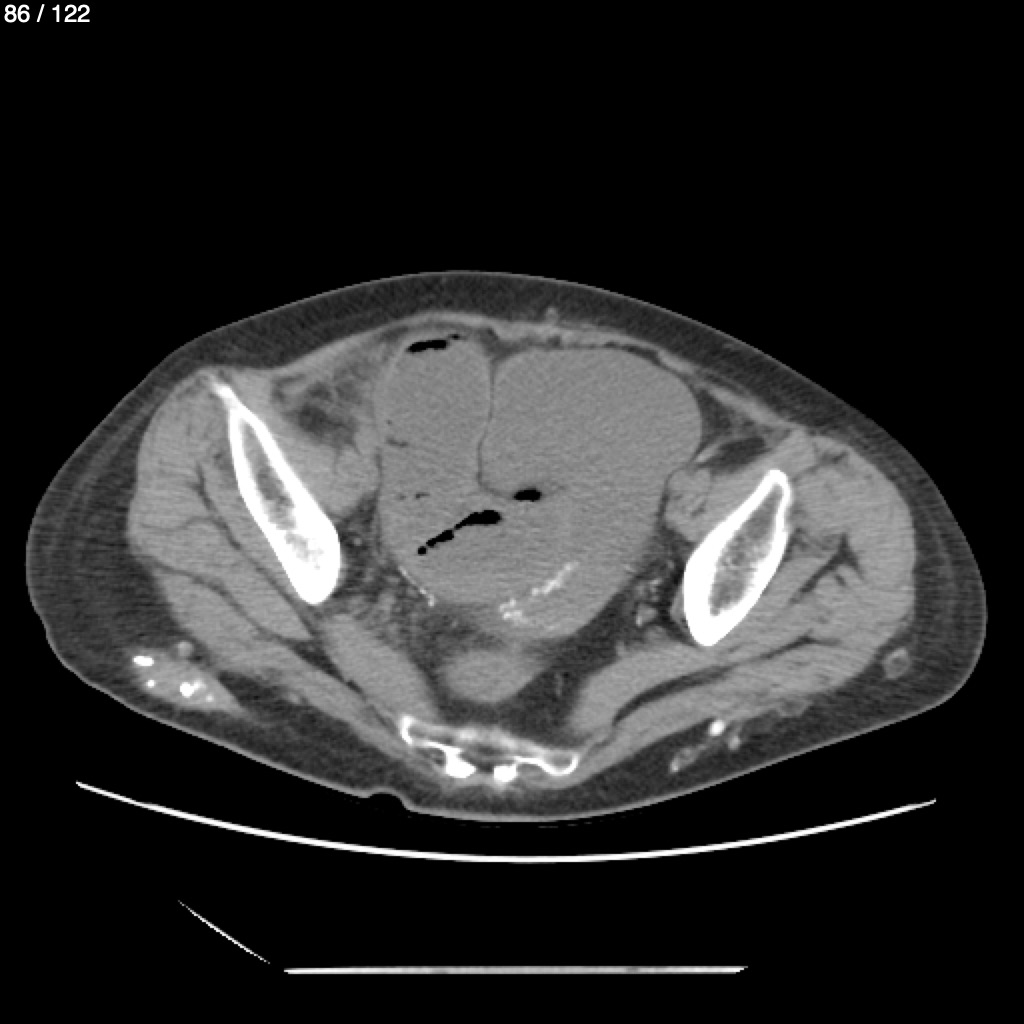
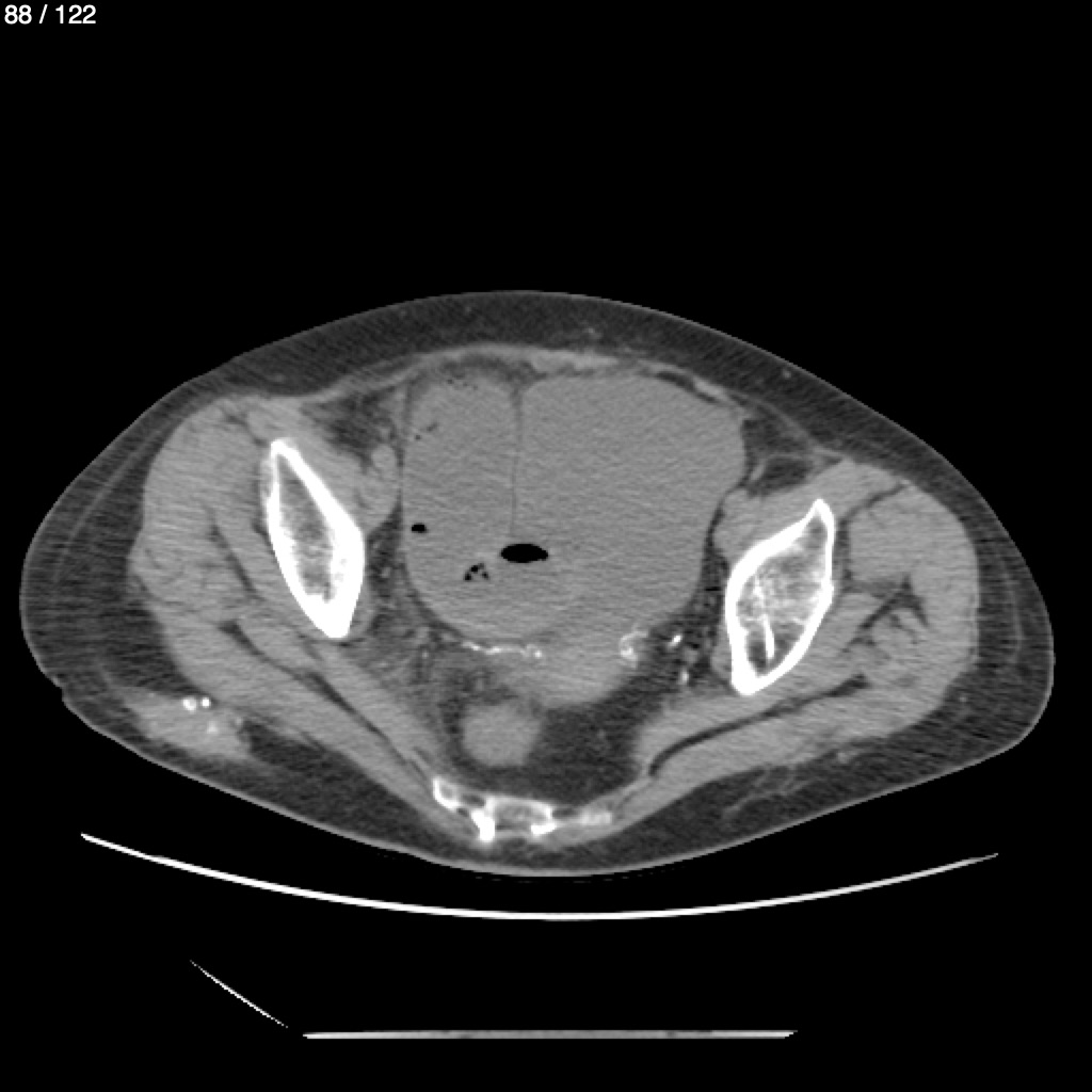
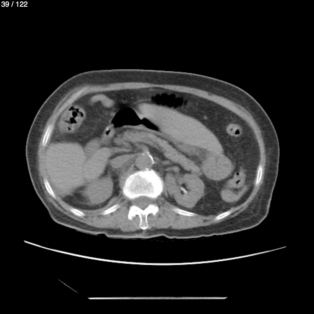
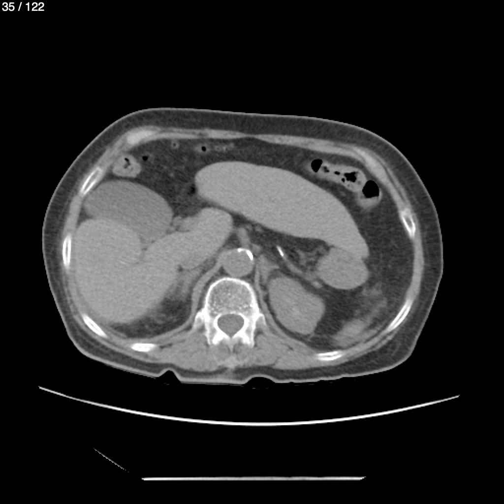
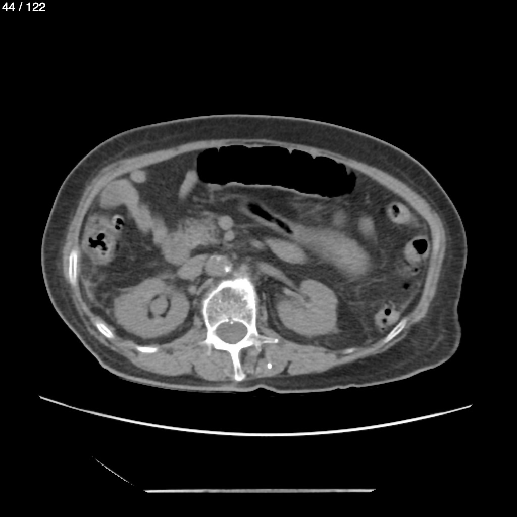
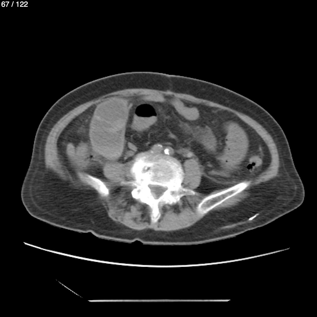
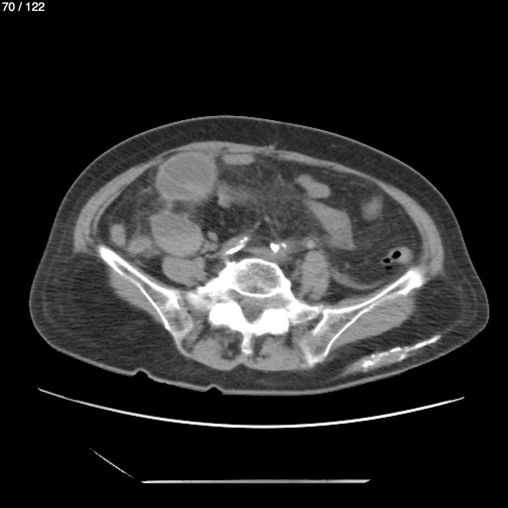
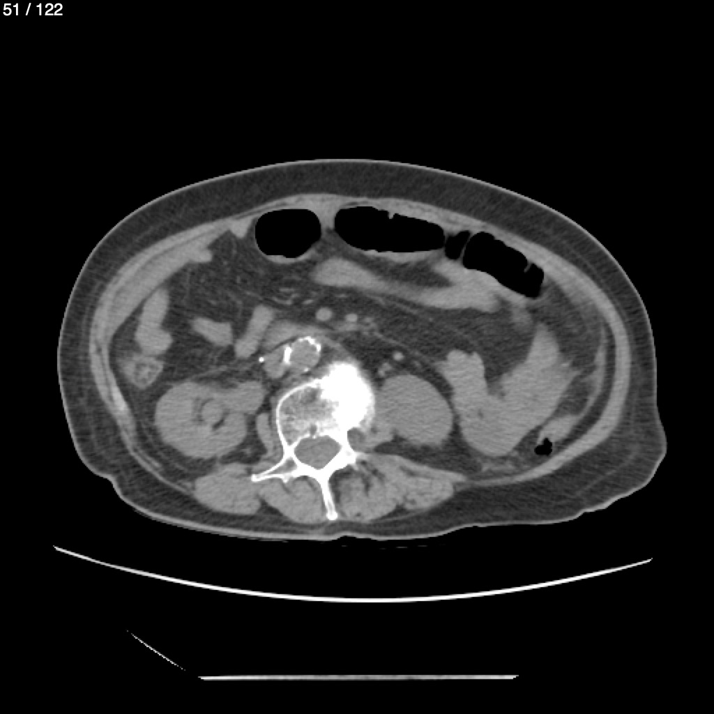
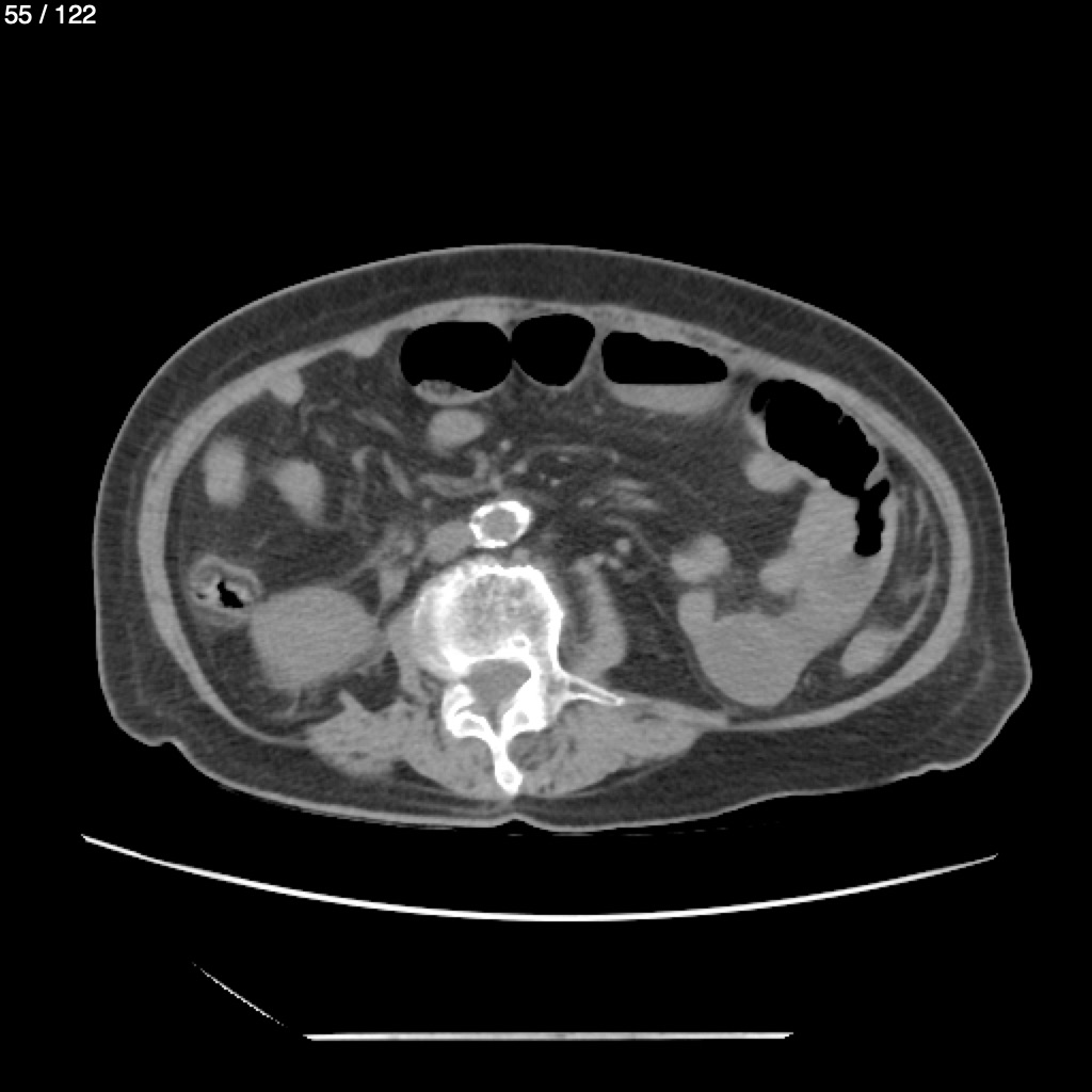
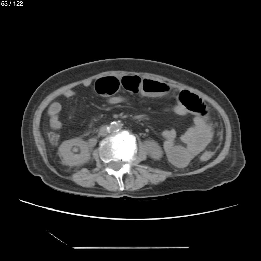
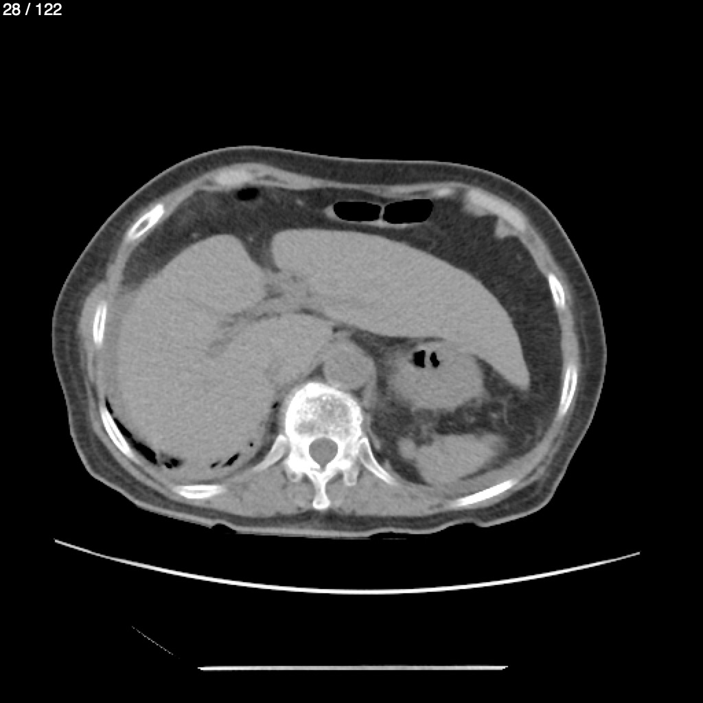
Consuelo Avila De Leon 82 - T.C Abdomen Syc
Next Series
Show as Sequence