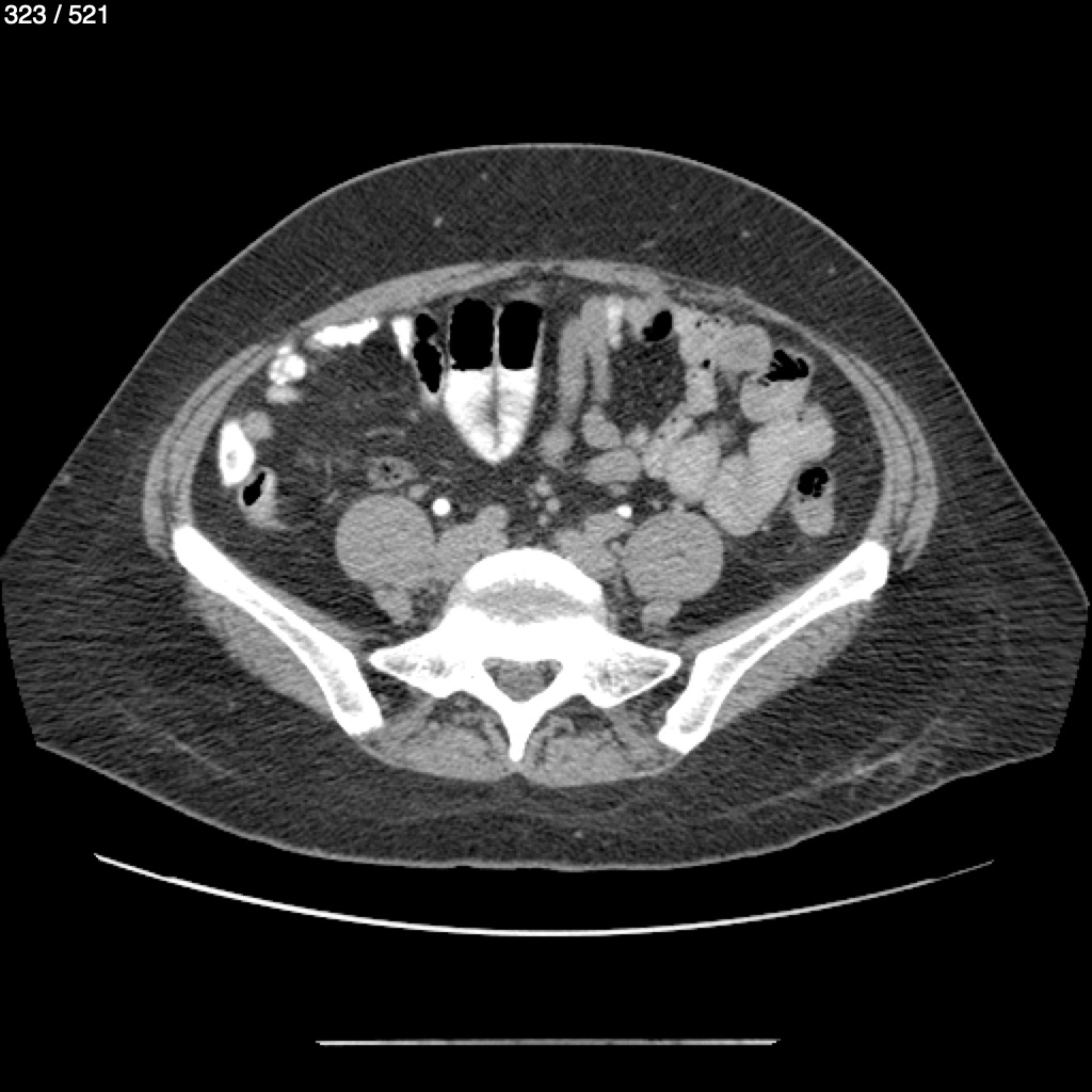
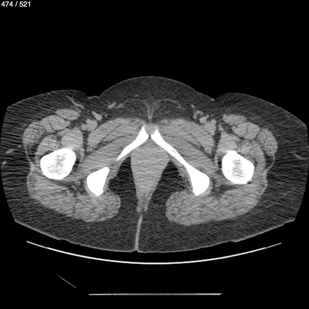
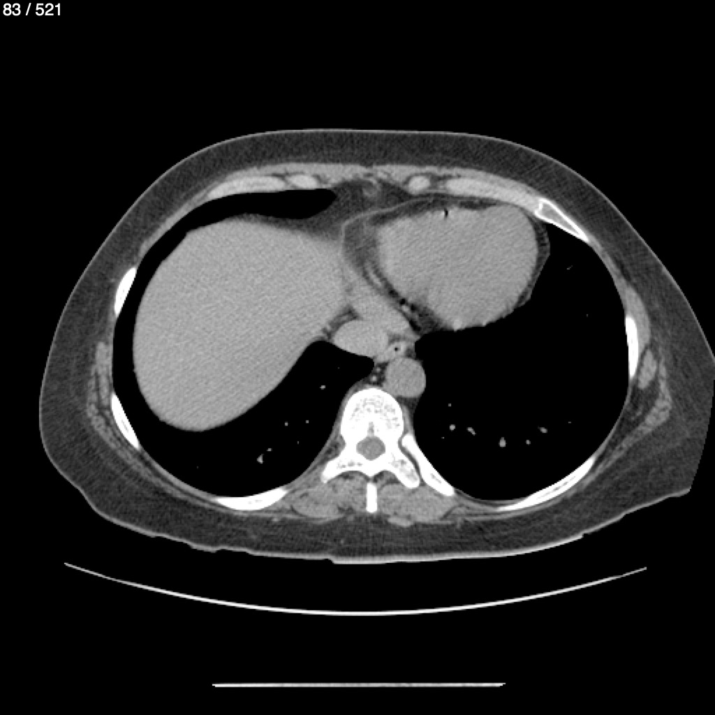
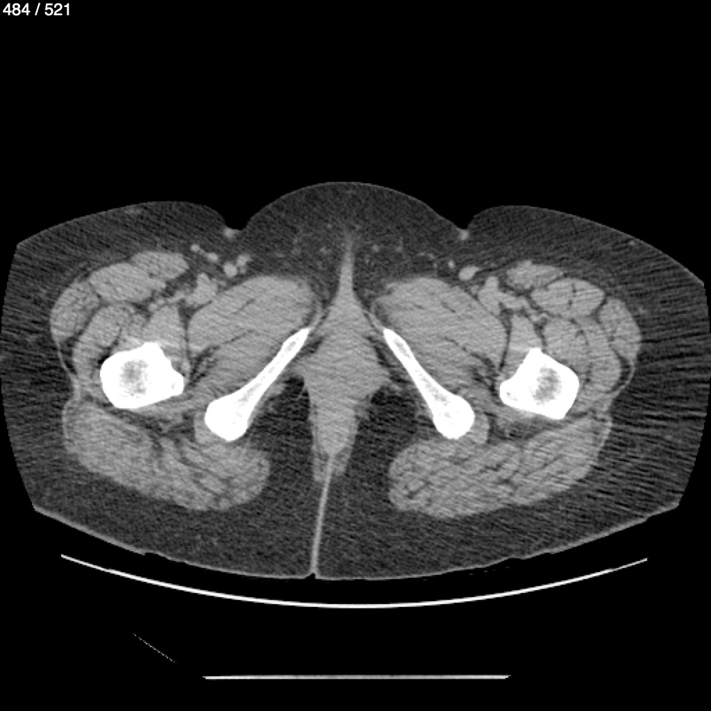
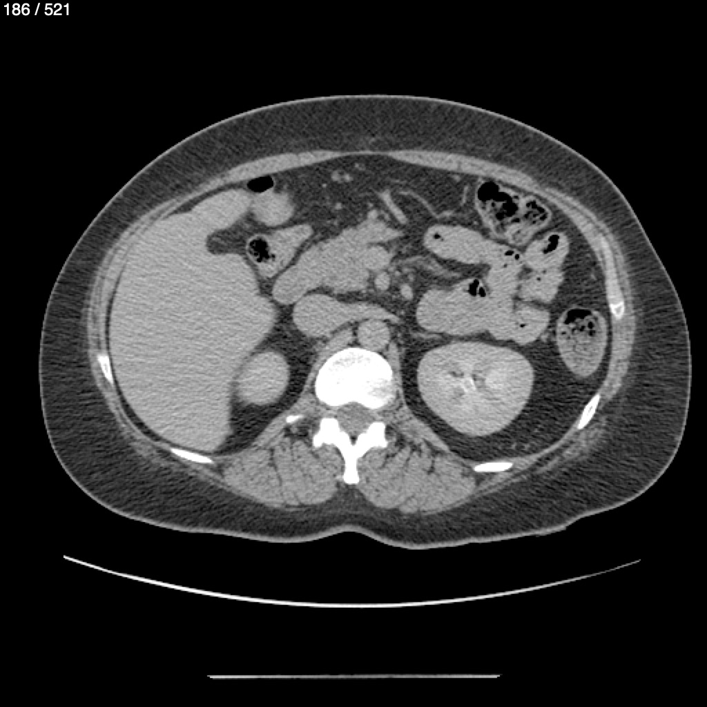
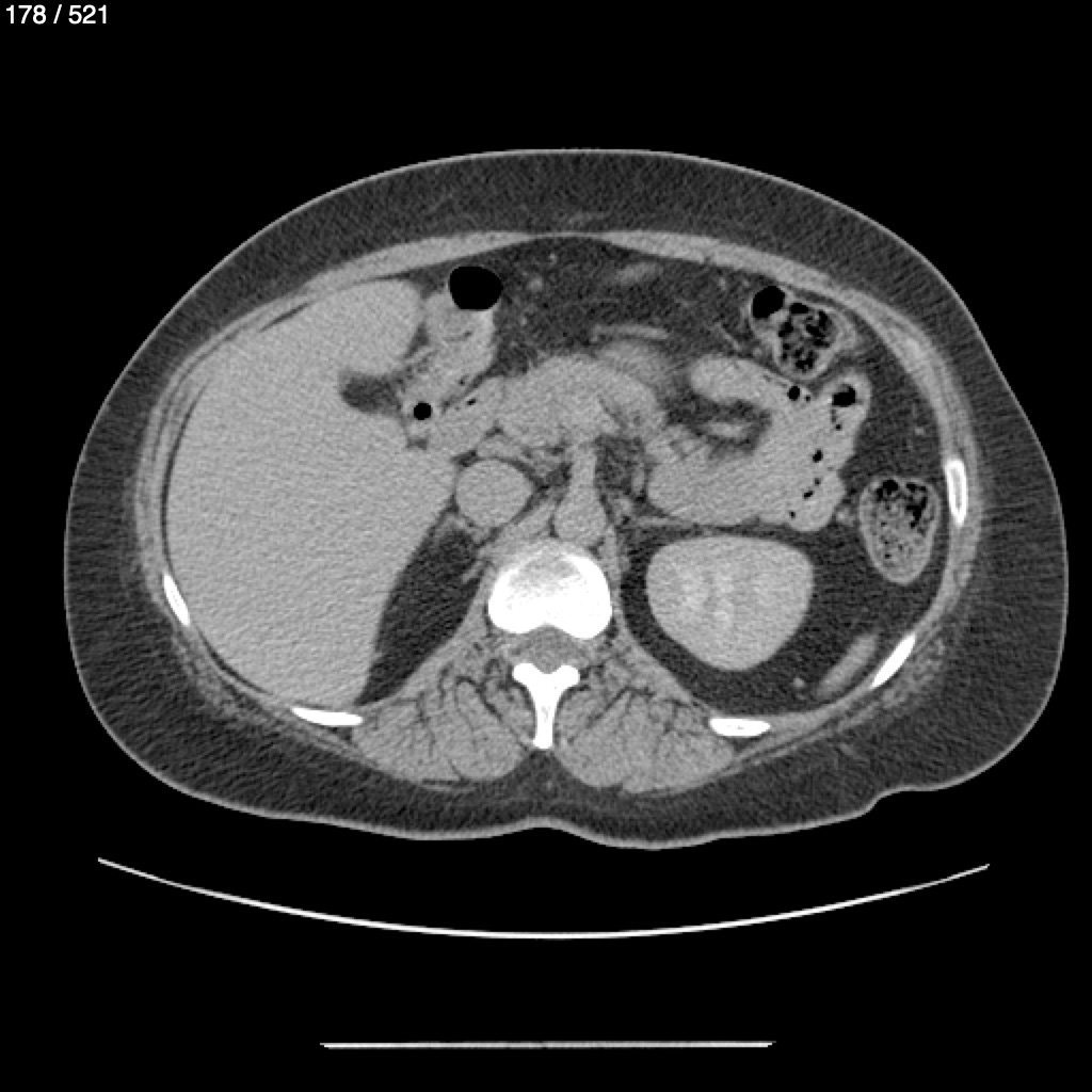
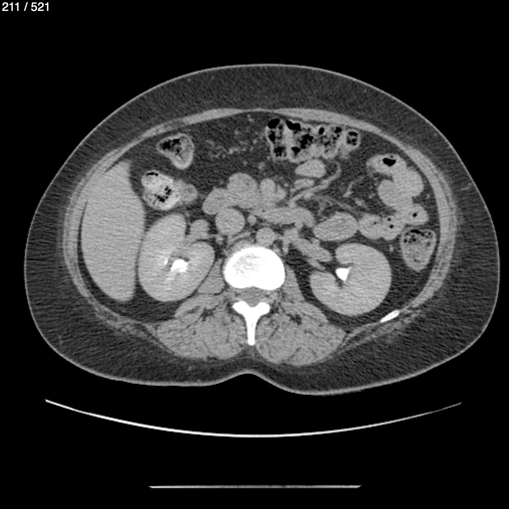
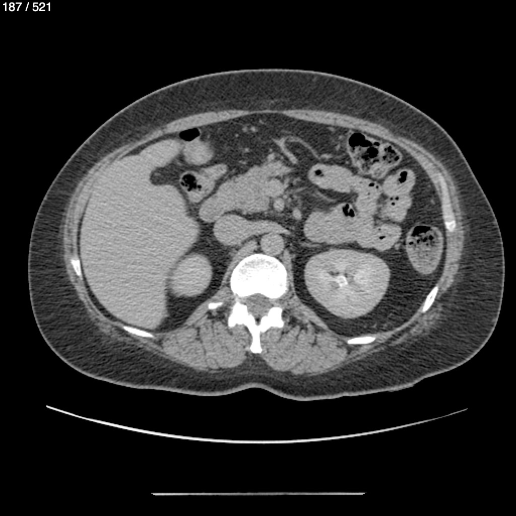
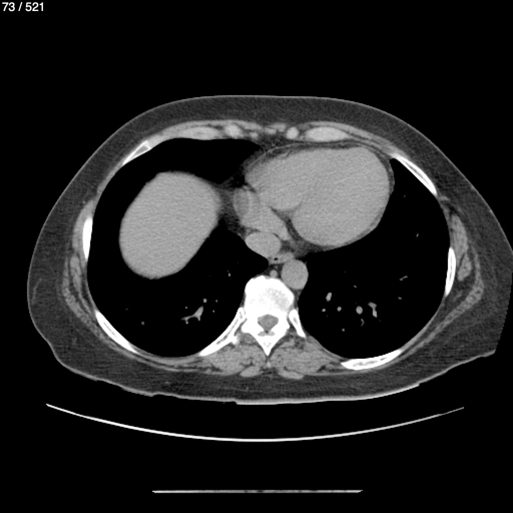
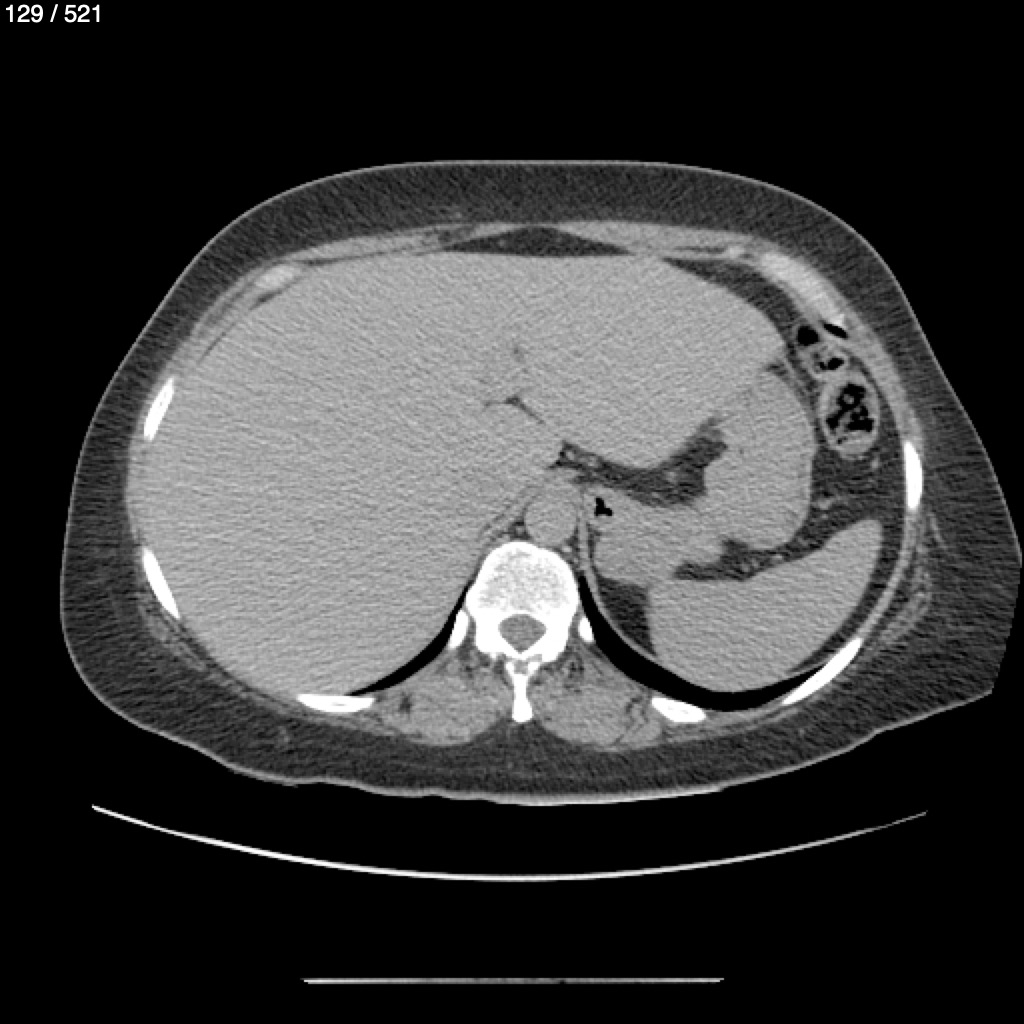
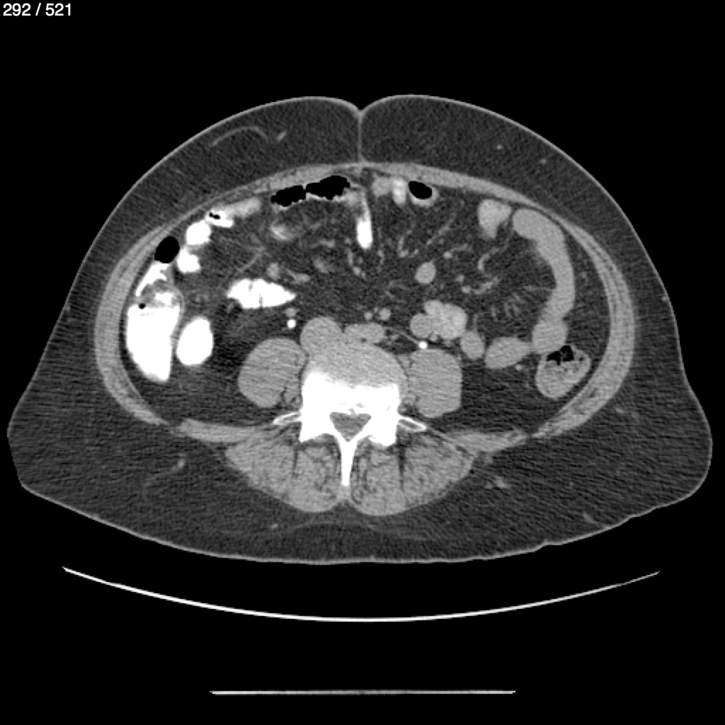
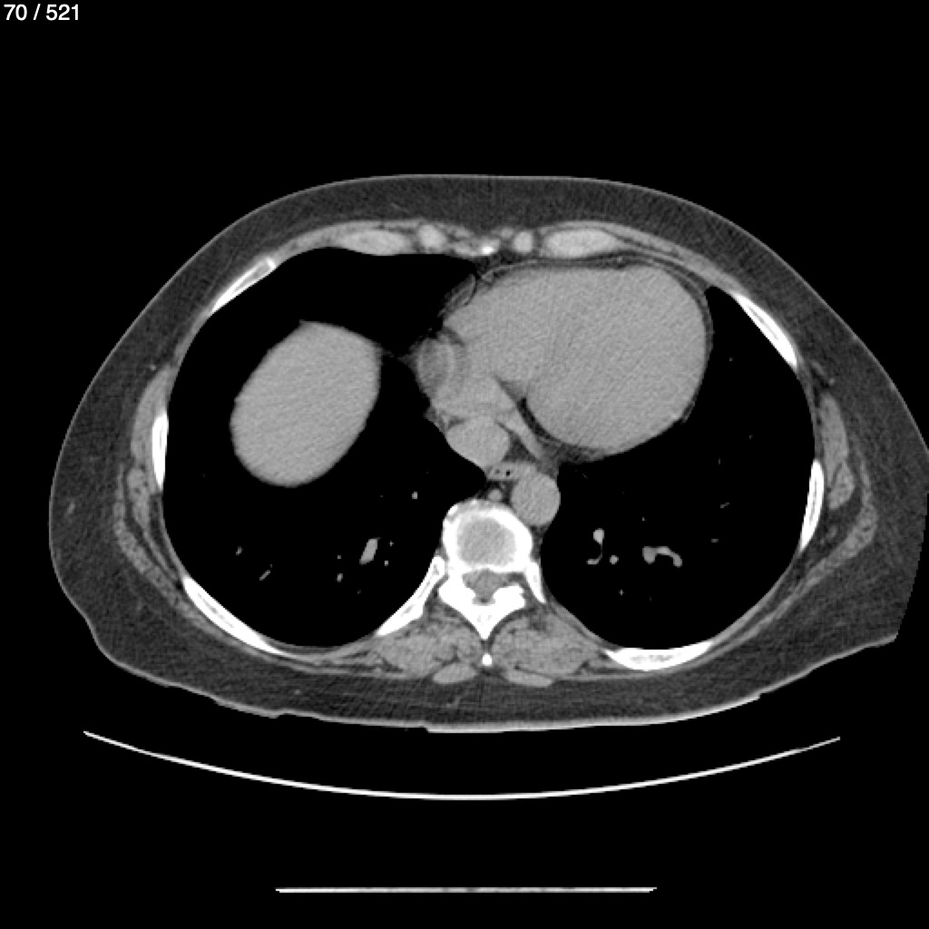
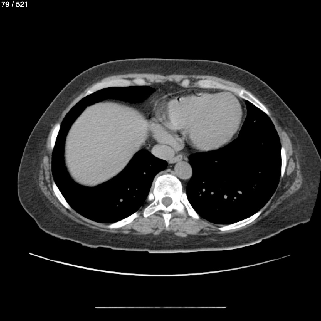
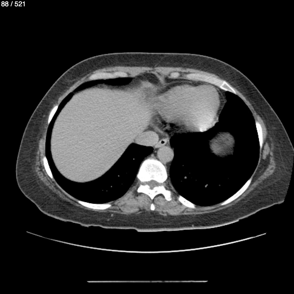
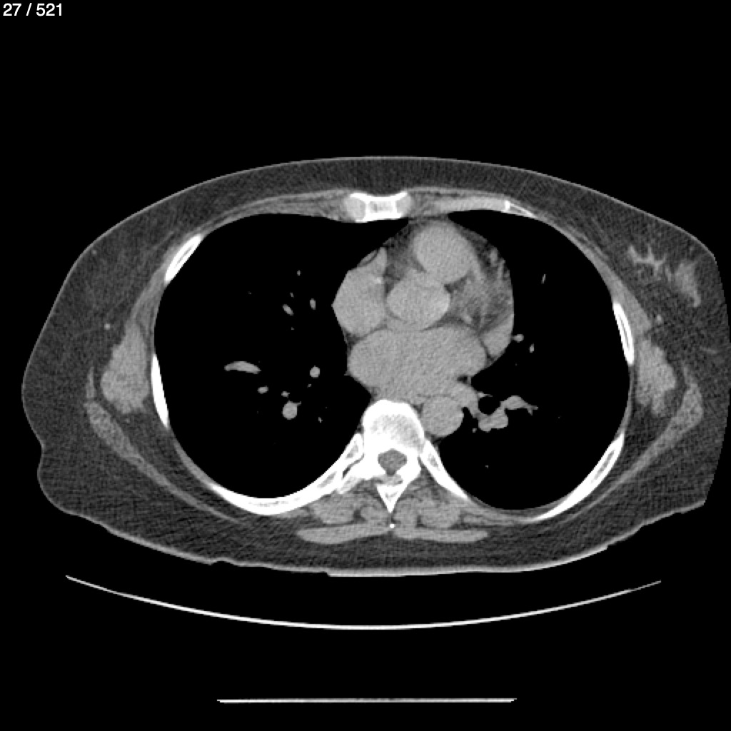
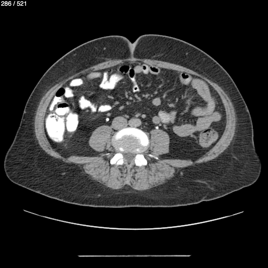
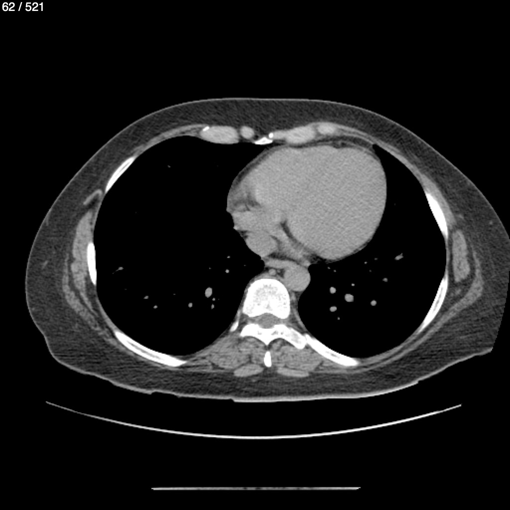
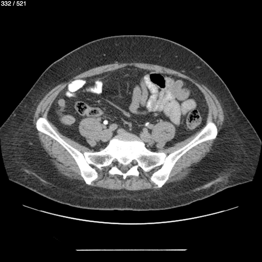
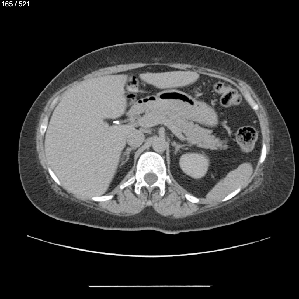
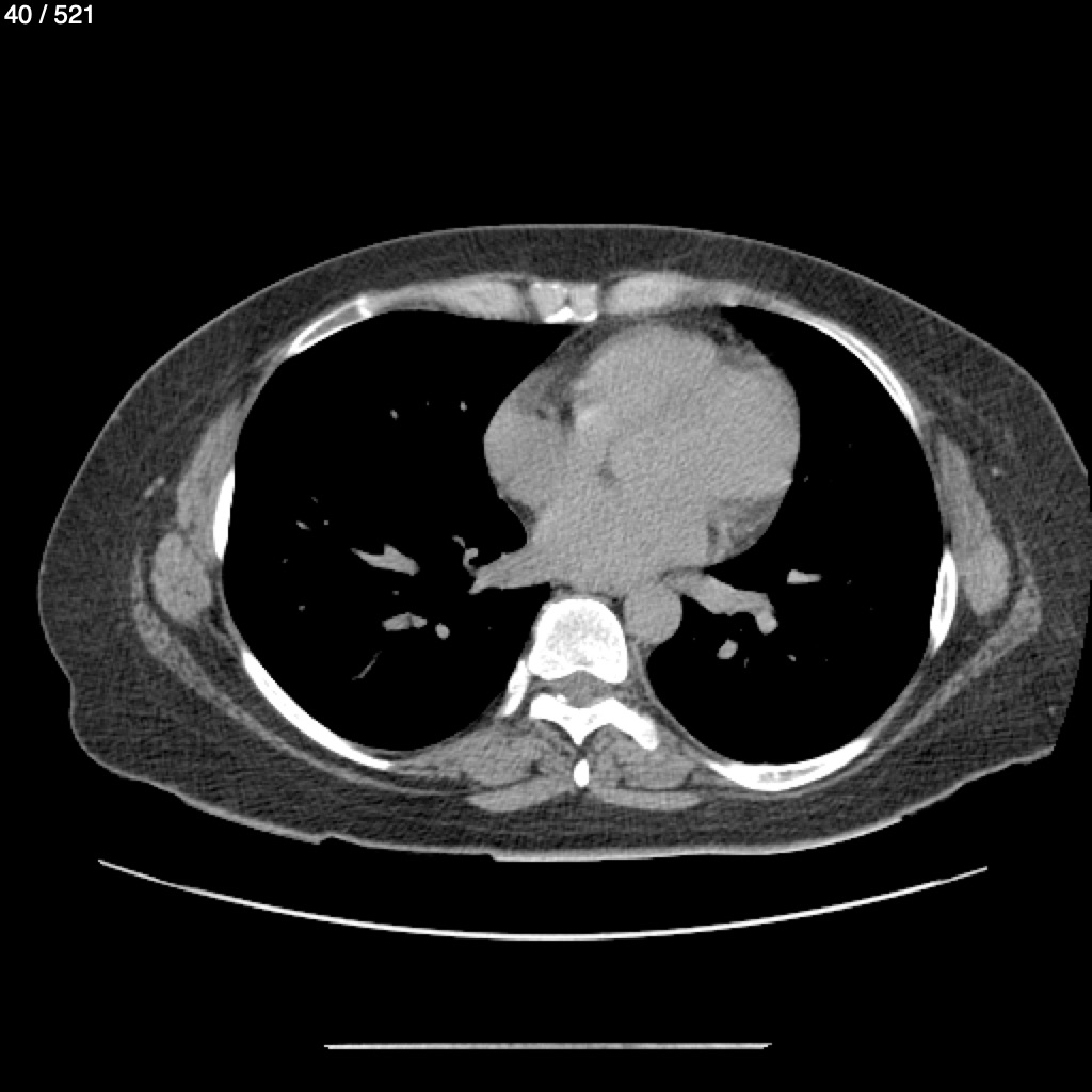
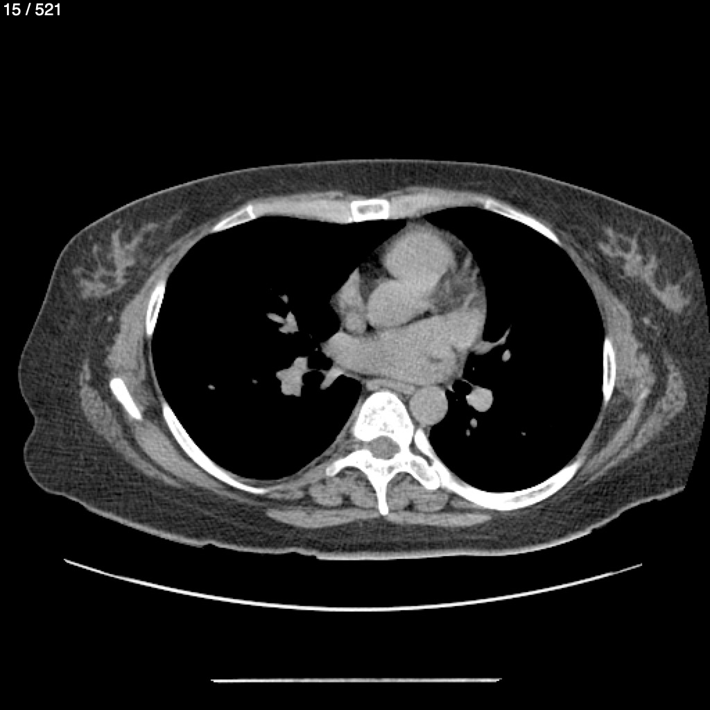
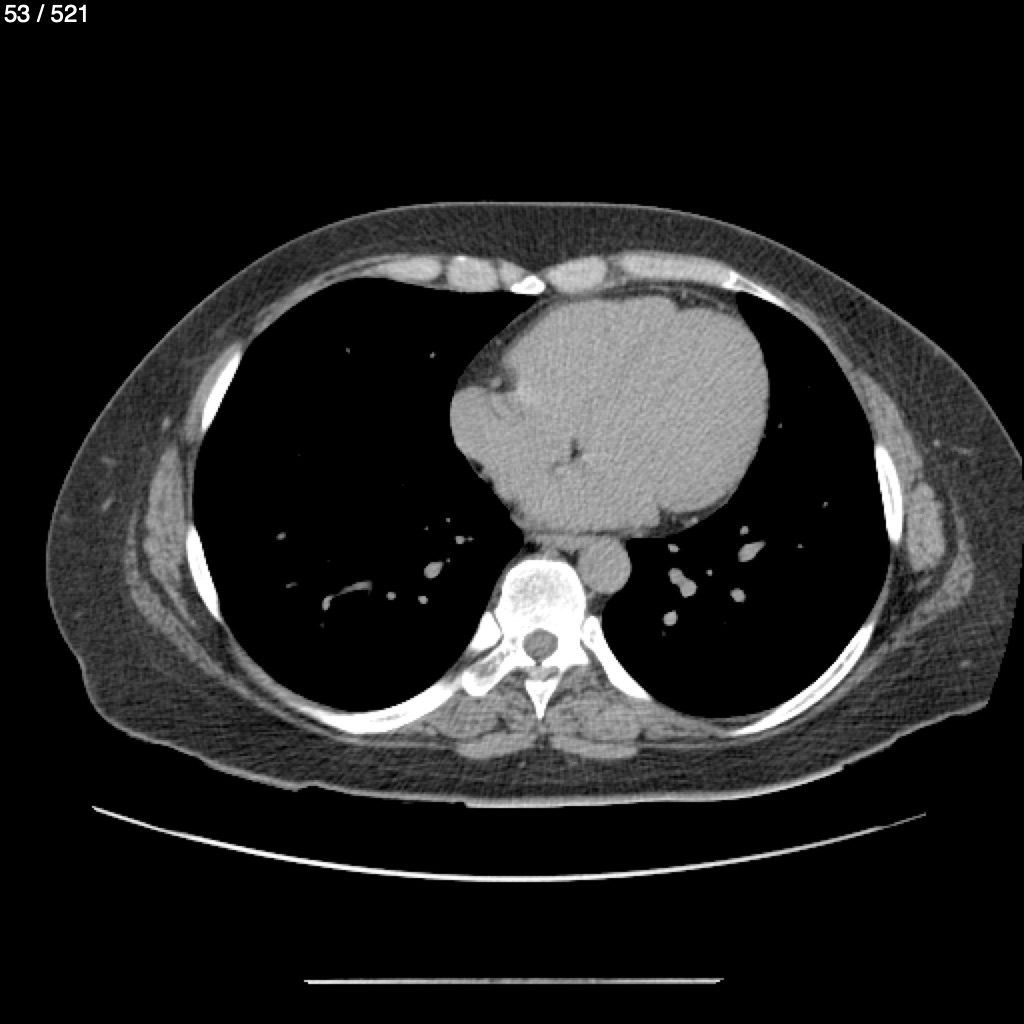
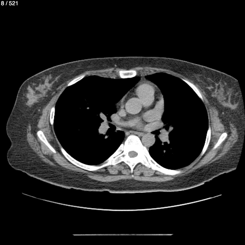
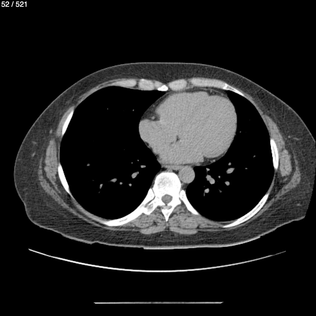
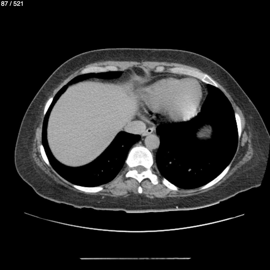
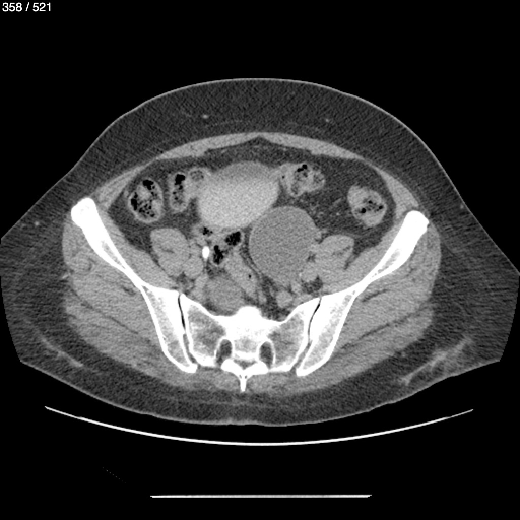
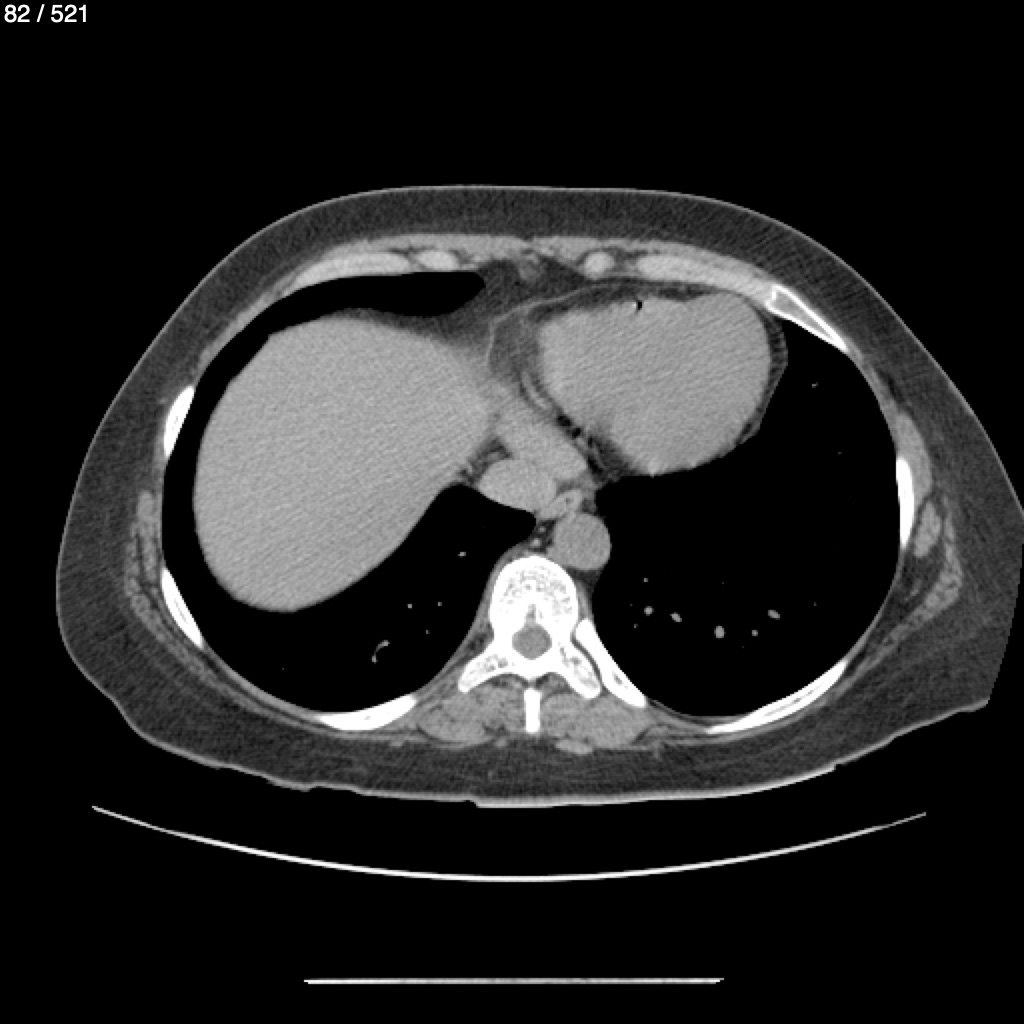
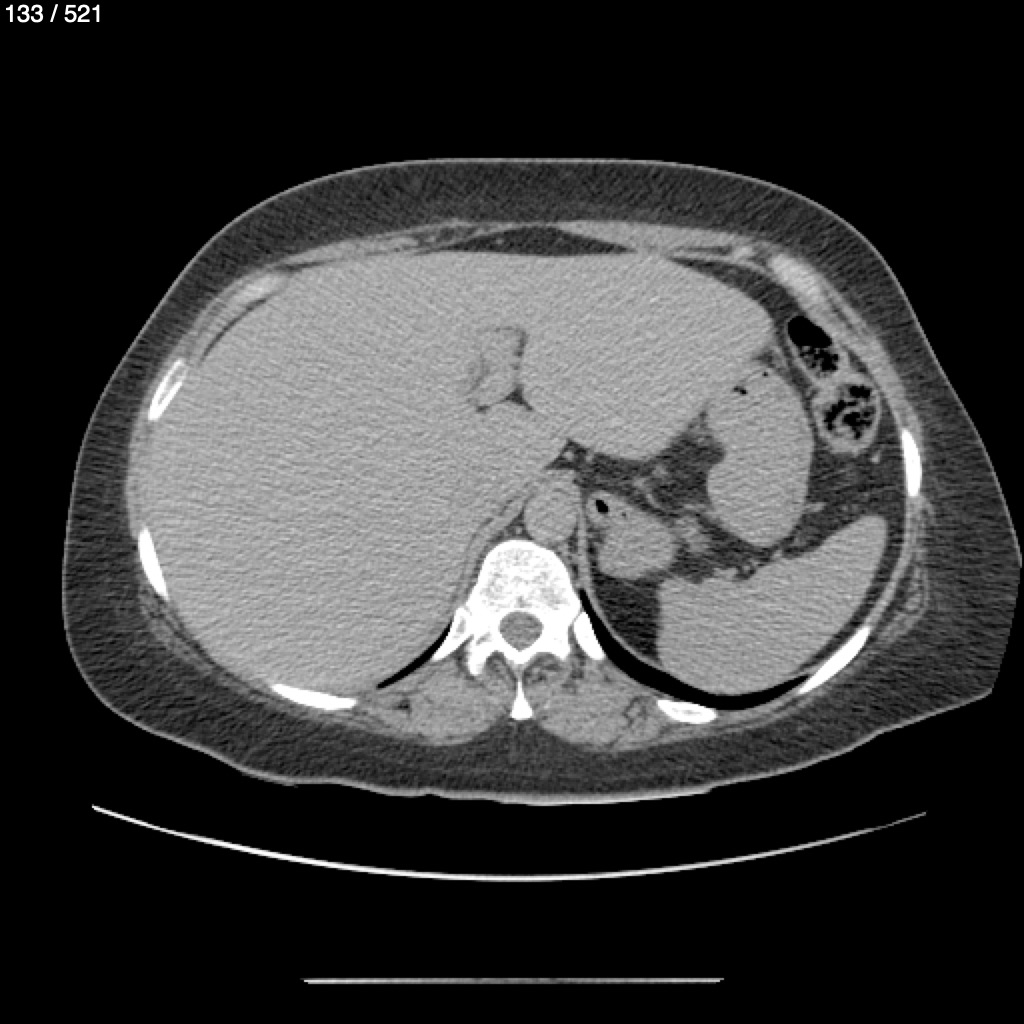
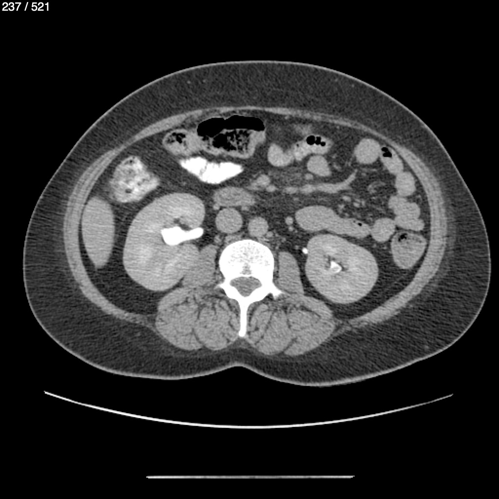
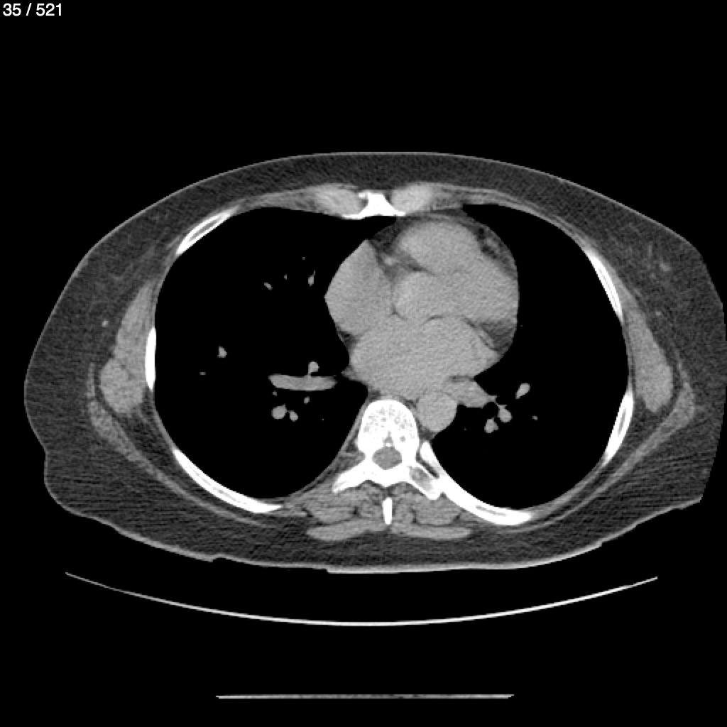
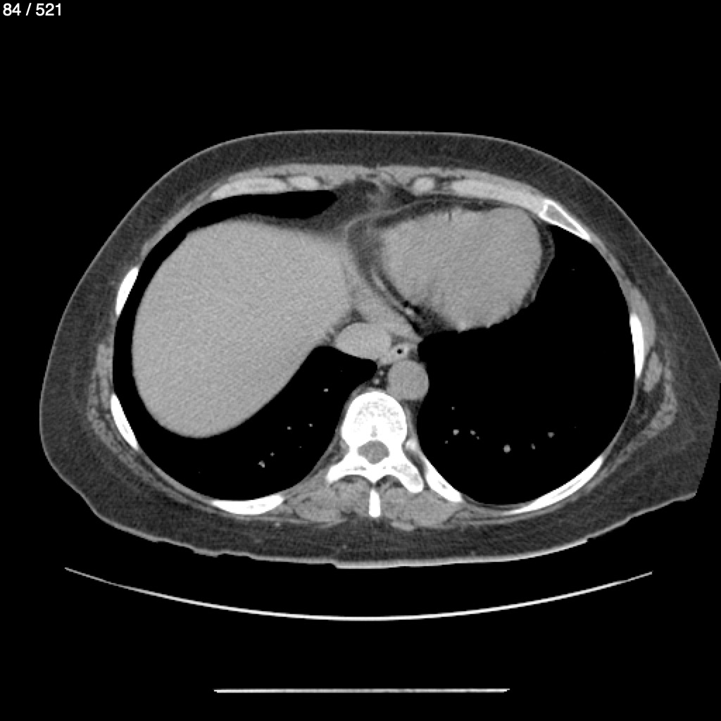
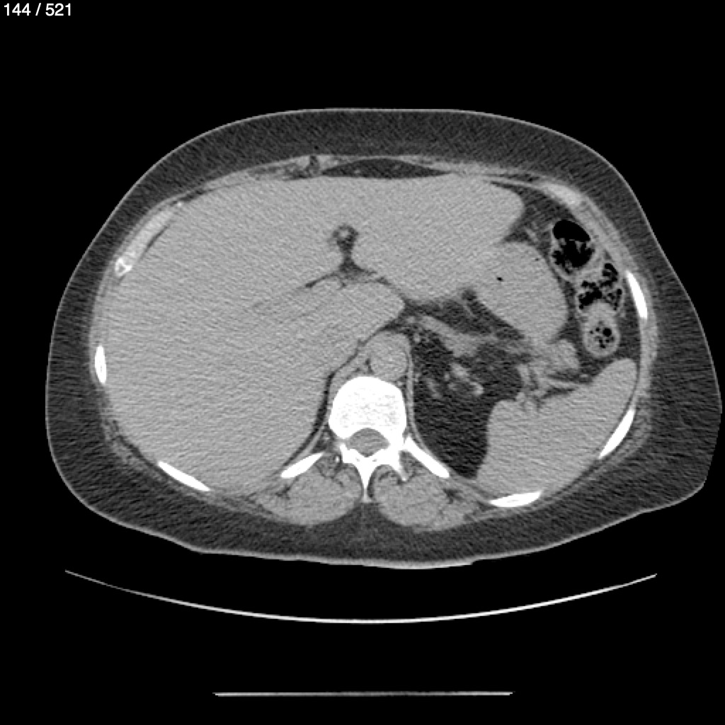
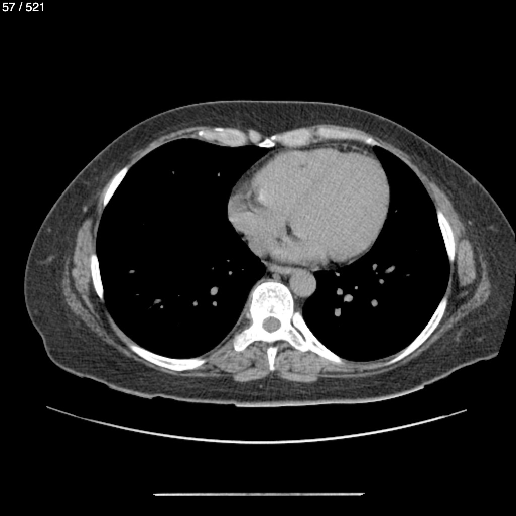
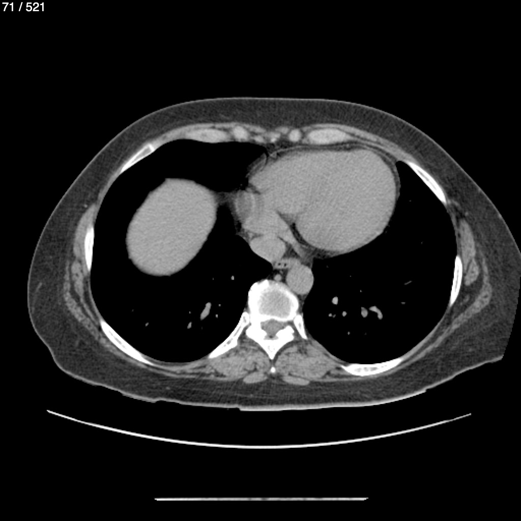
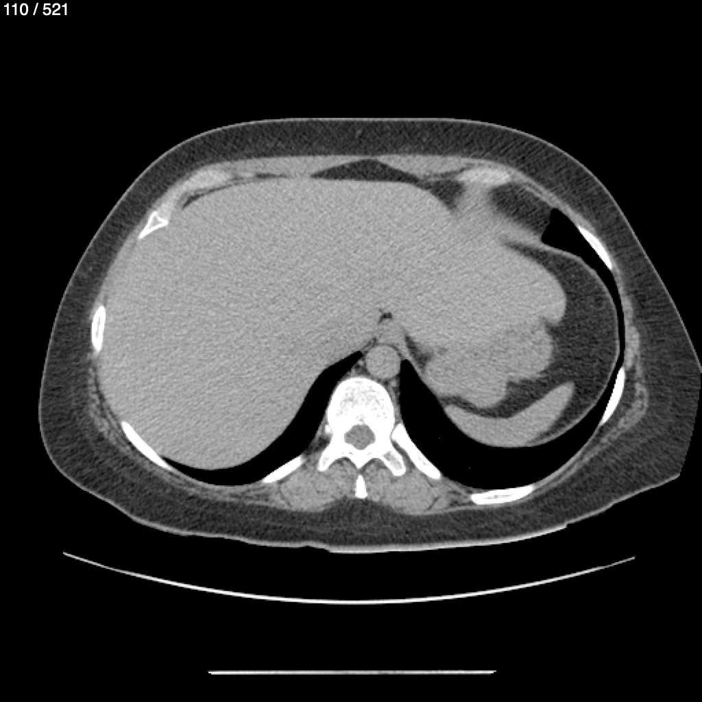
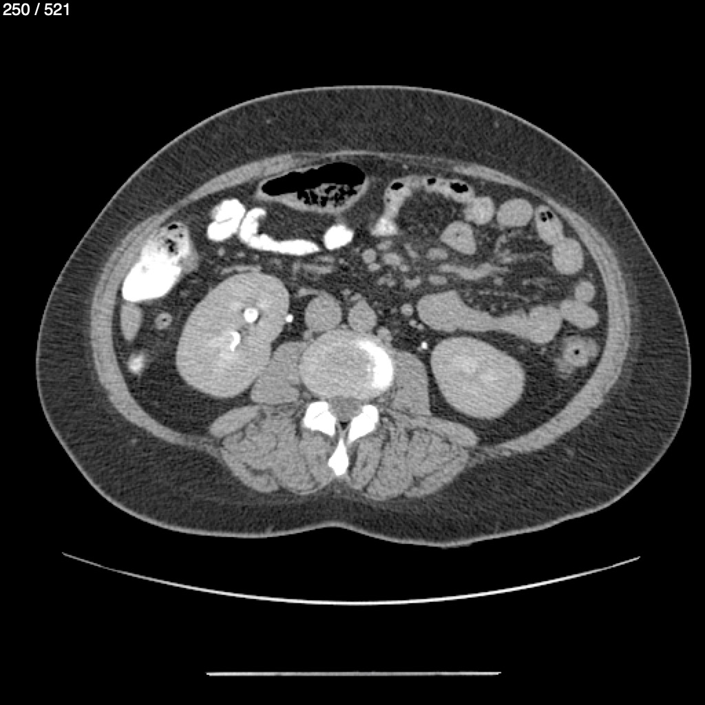
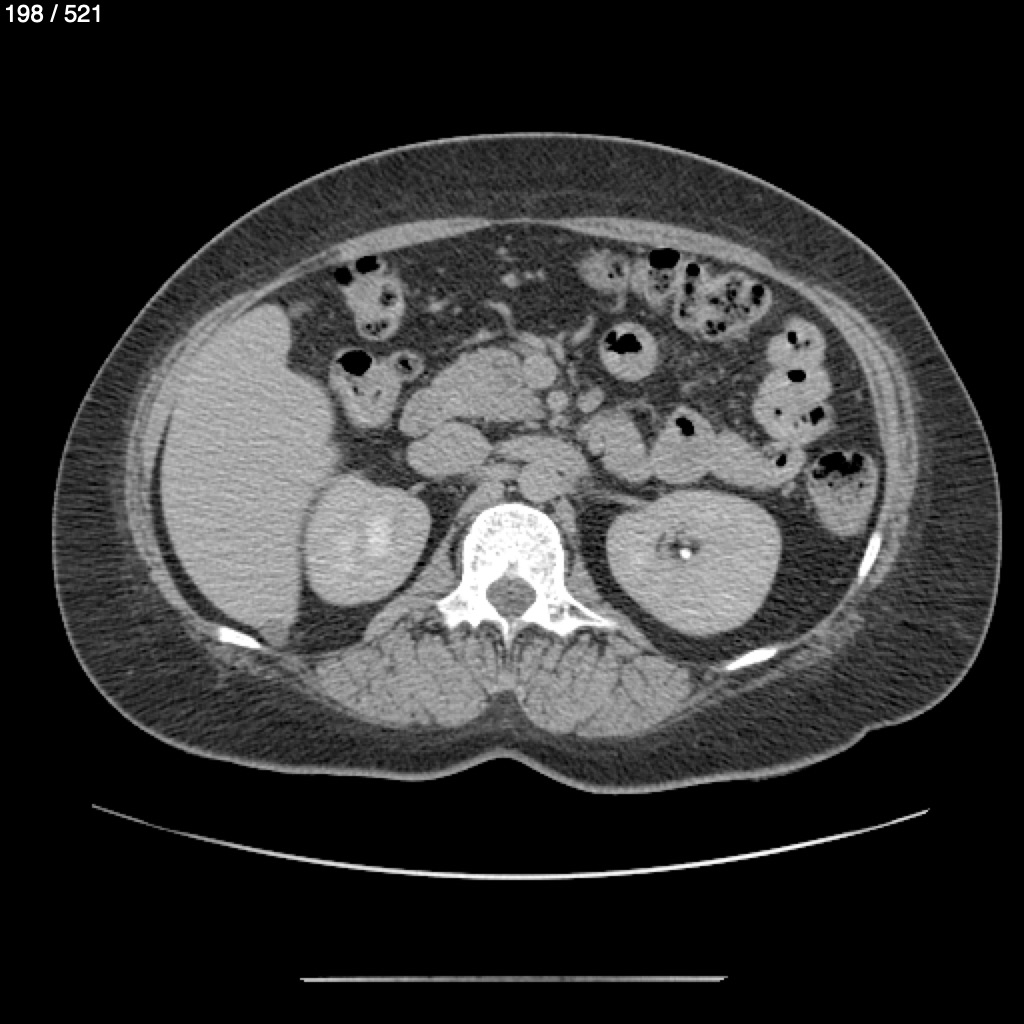
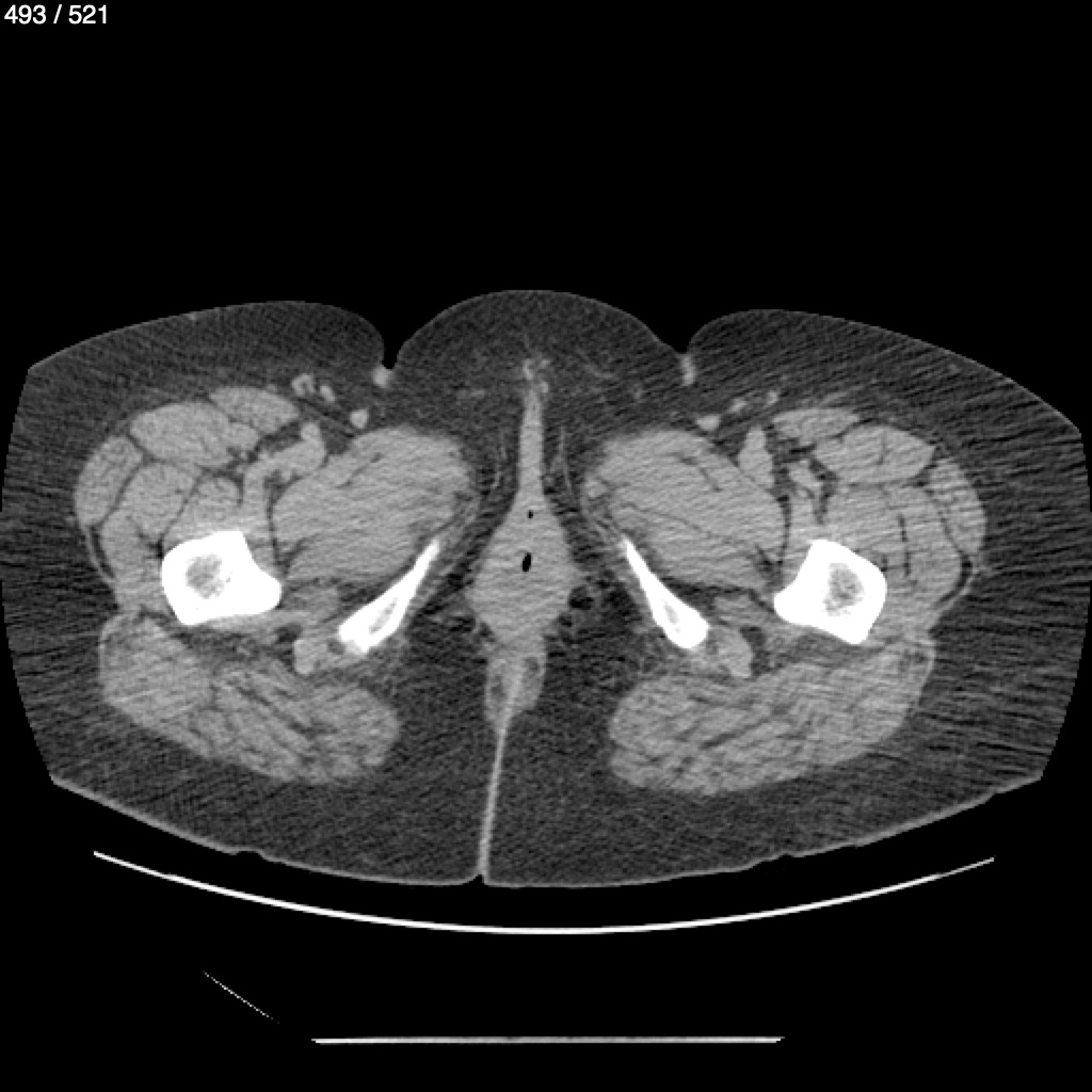
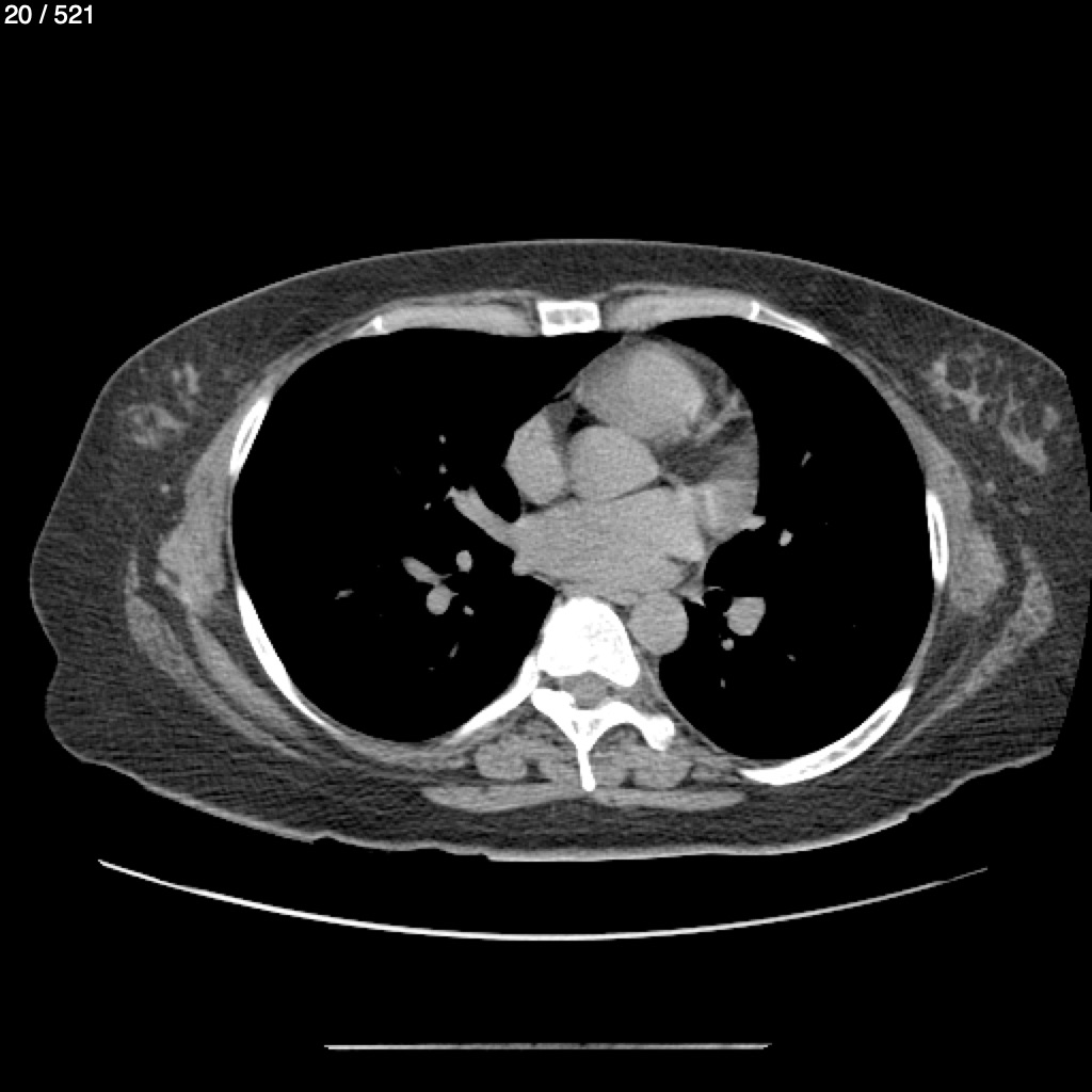
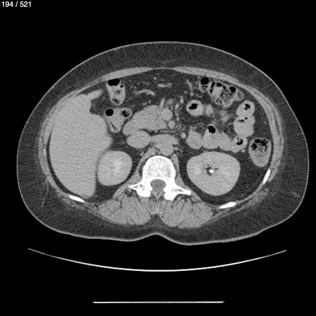
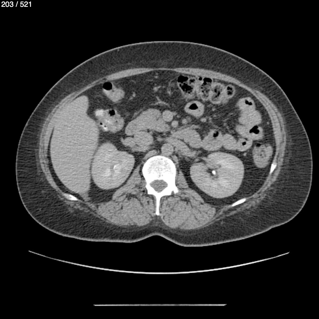
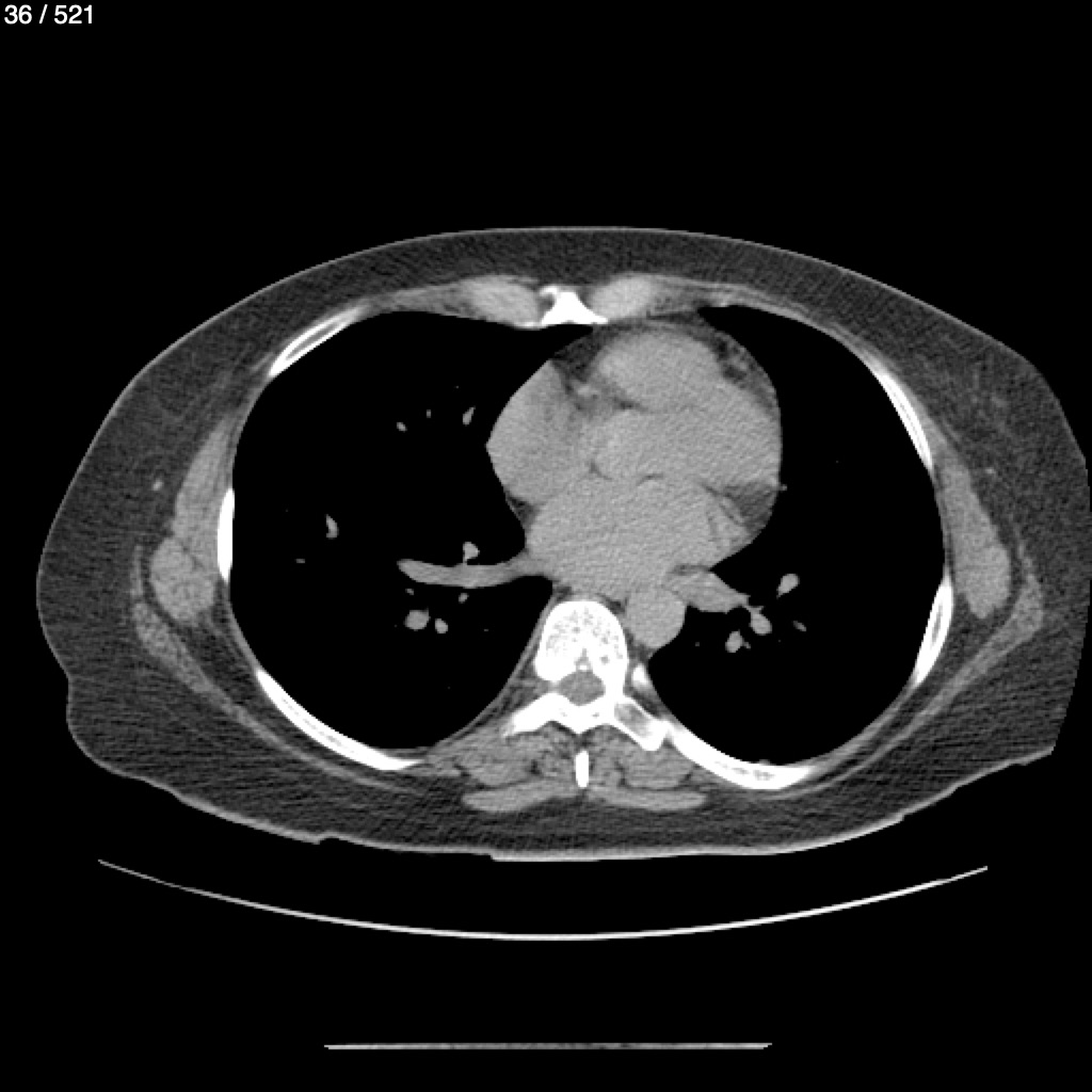
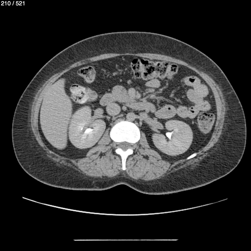
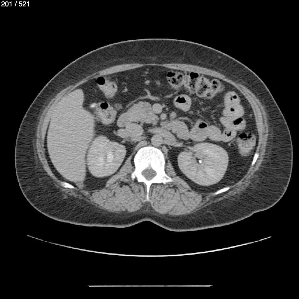
Home I​t​z​e​l​ ​M​o​n​s​e​r​r​a​t​ ​E​s​t​r​a​d​a​ ​E​s​p​i​r​i​t​u​ ​-​ ​T​.​C​ ​A​b​d​o​m​e​n​ ​S​y​c