HUIXTLA
ESCUINTLA
AKISHINO
AKISHINO2 USG
ESPECIALIDADES
Home
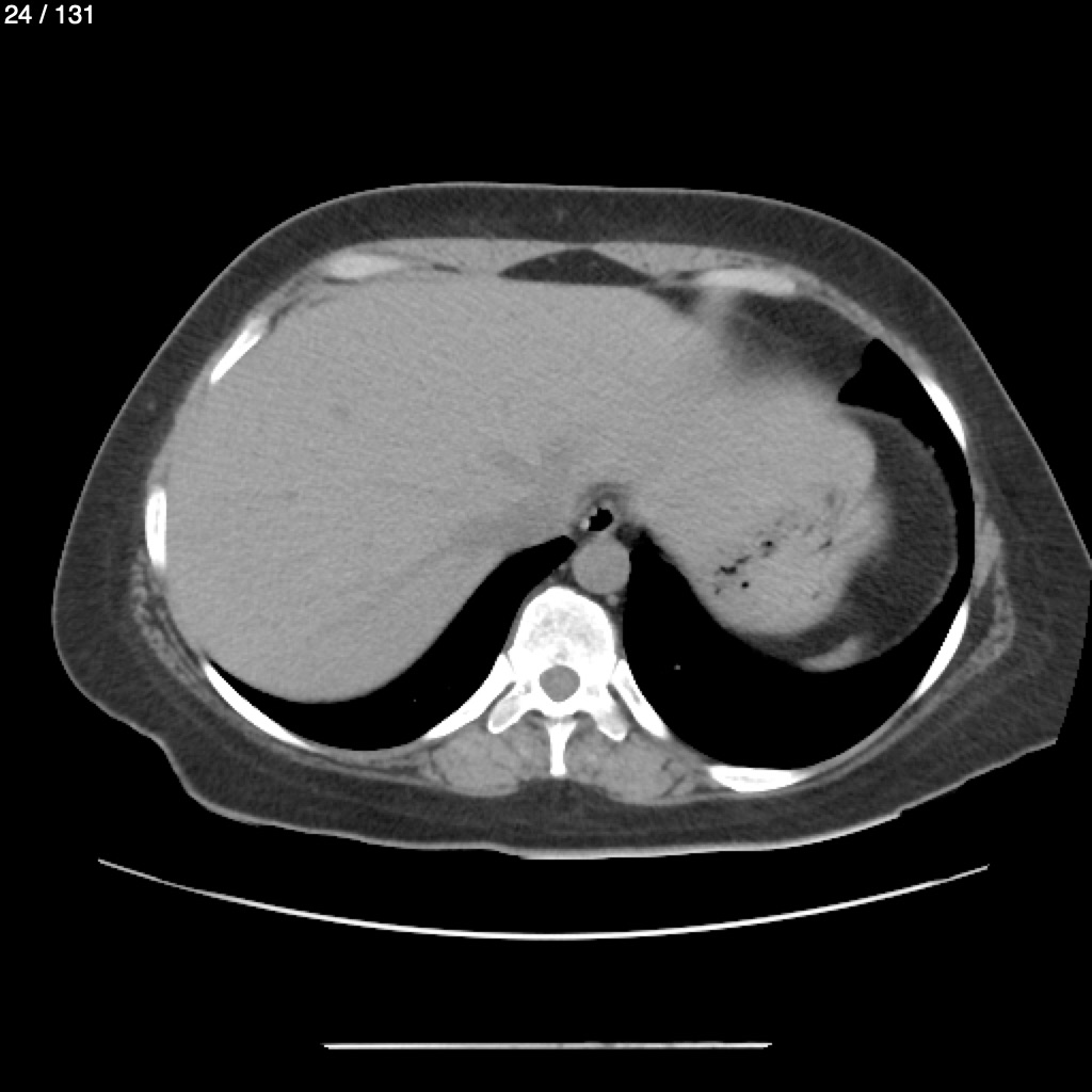
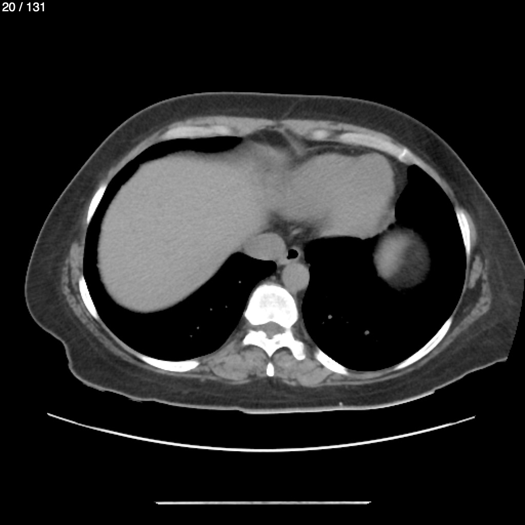
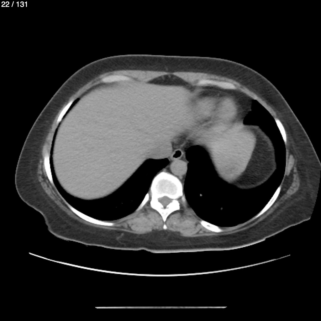
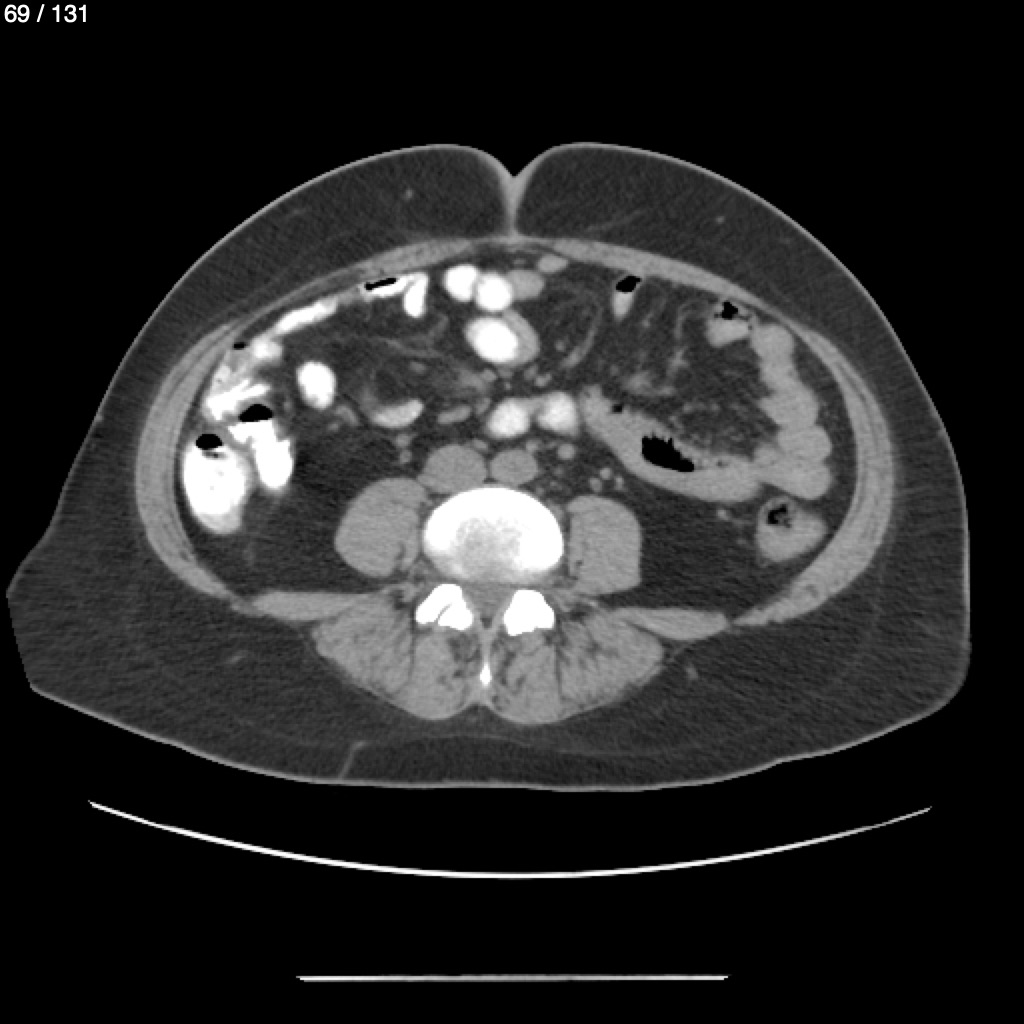
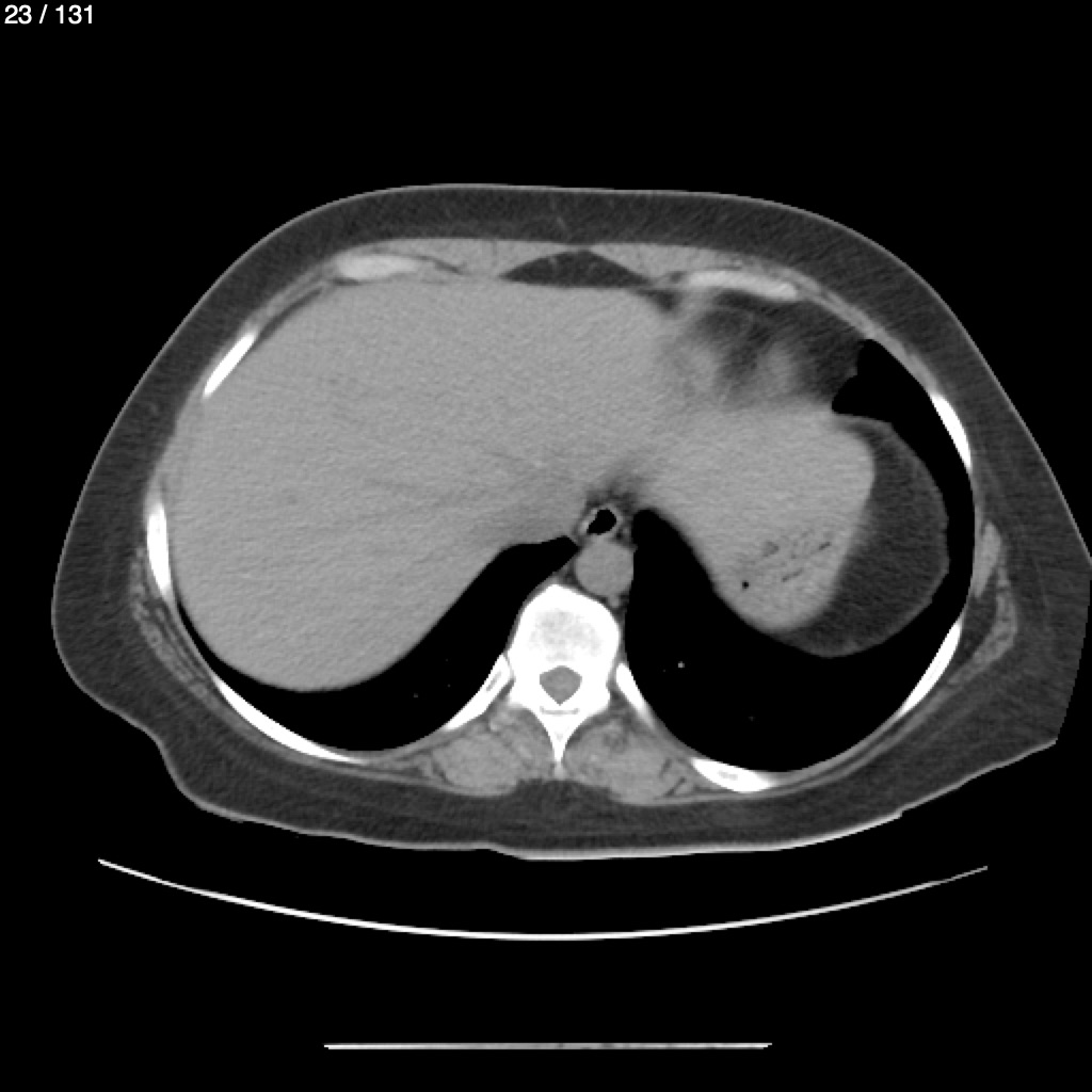
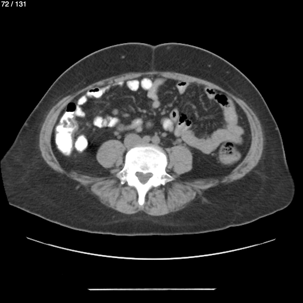
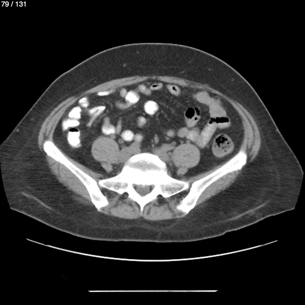
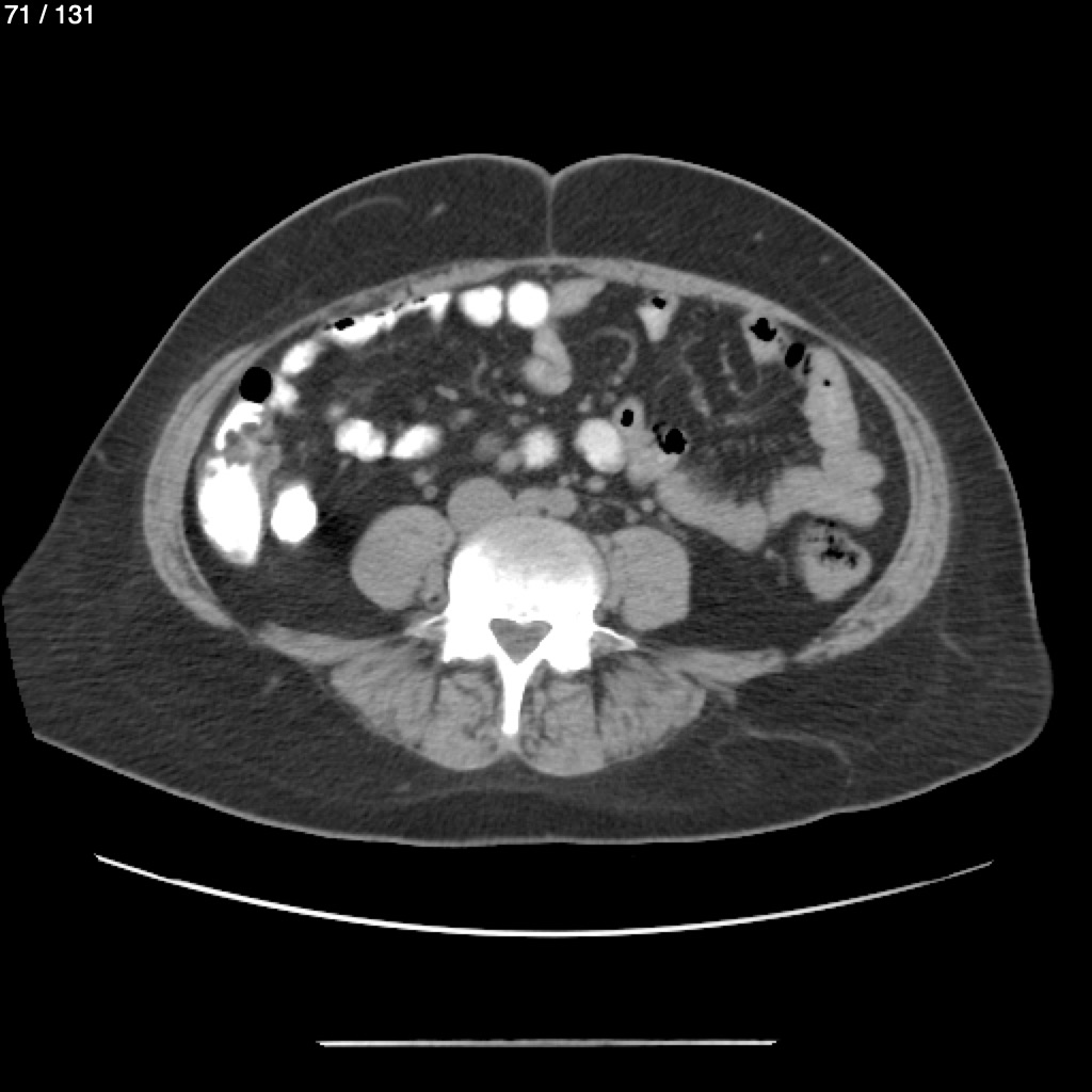
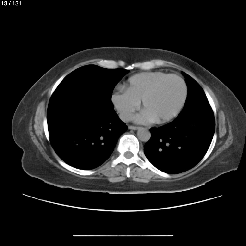
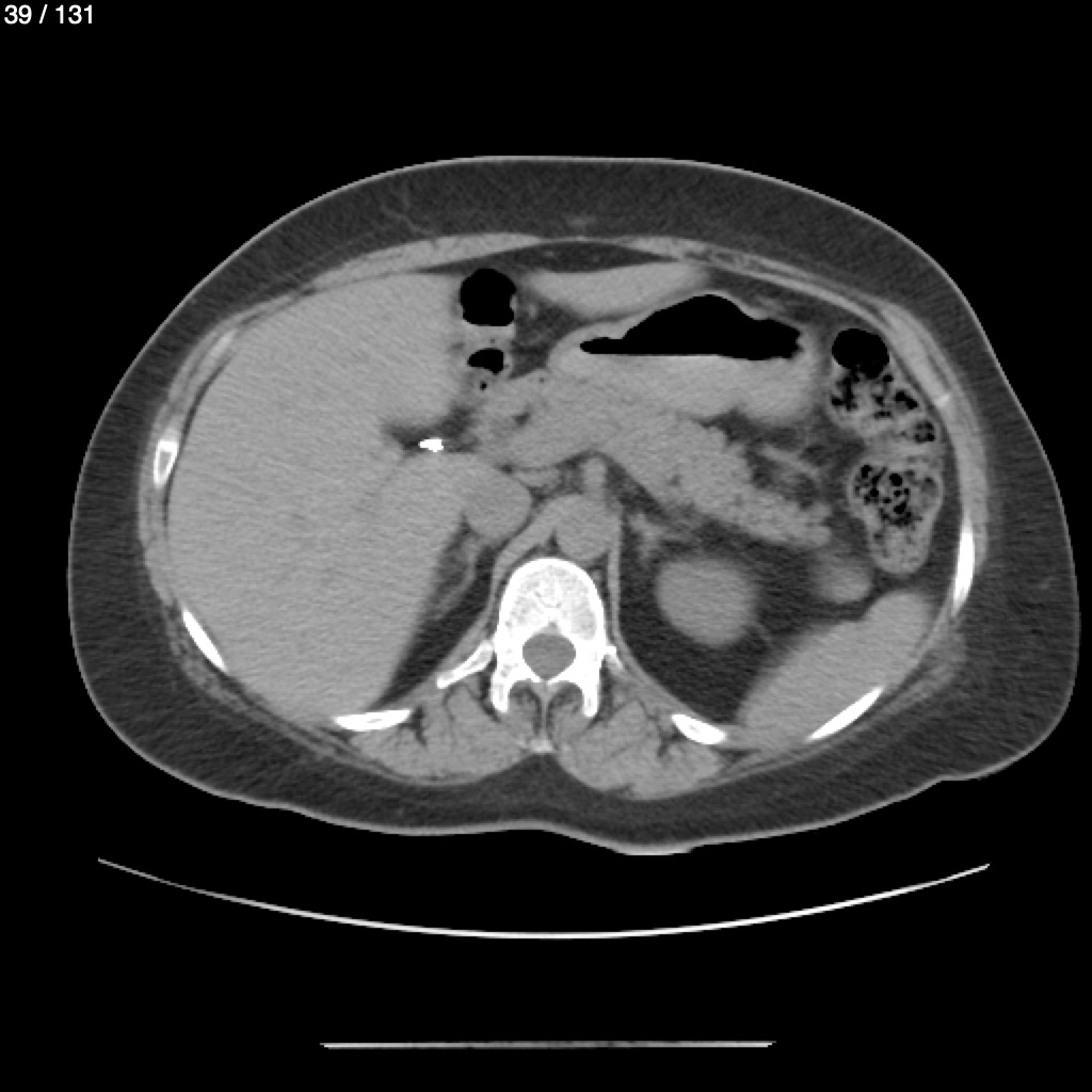
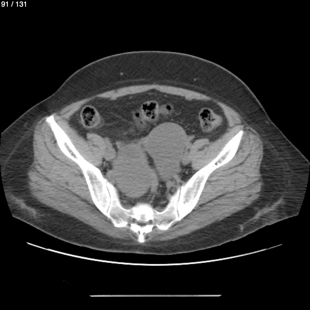
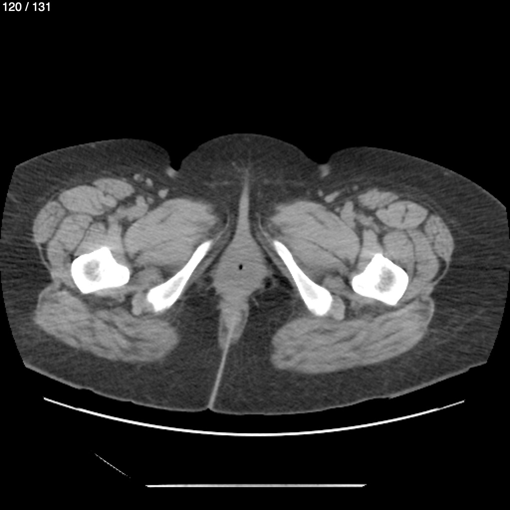
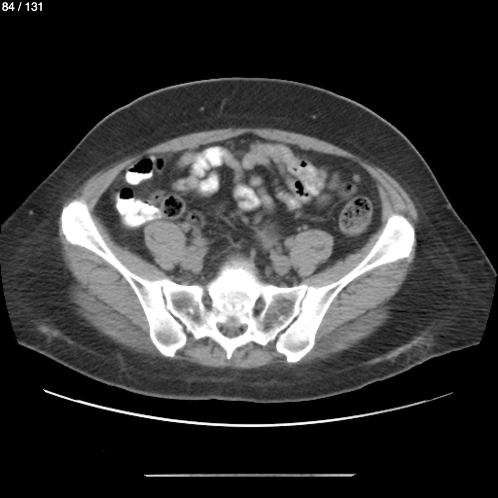
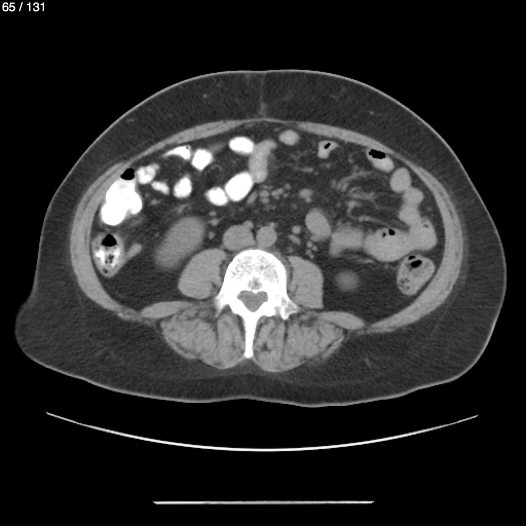
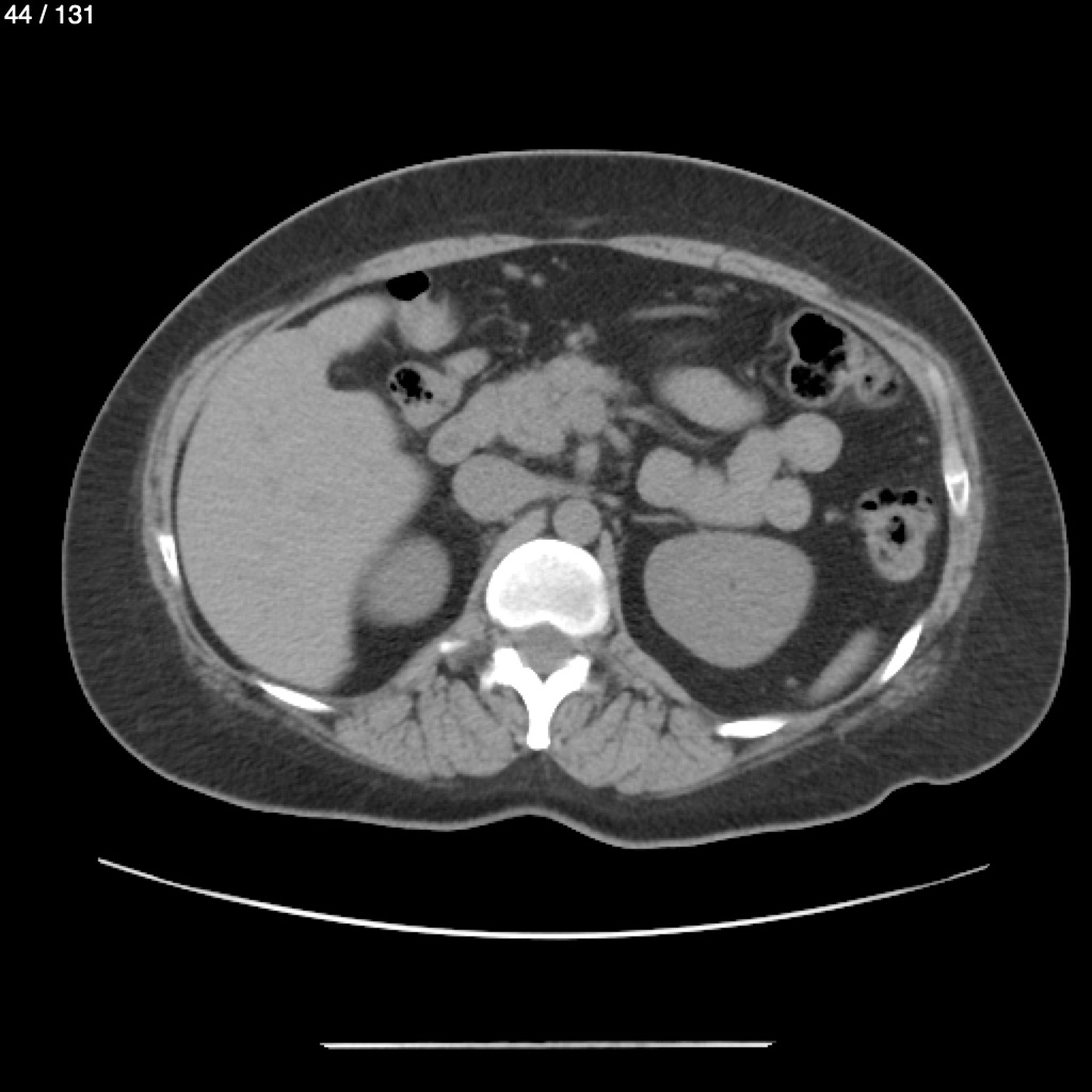
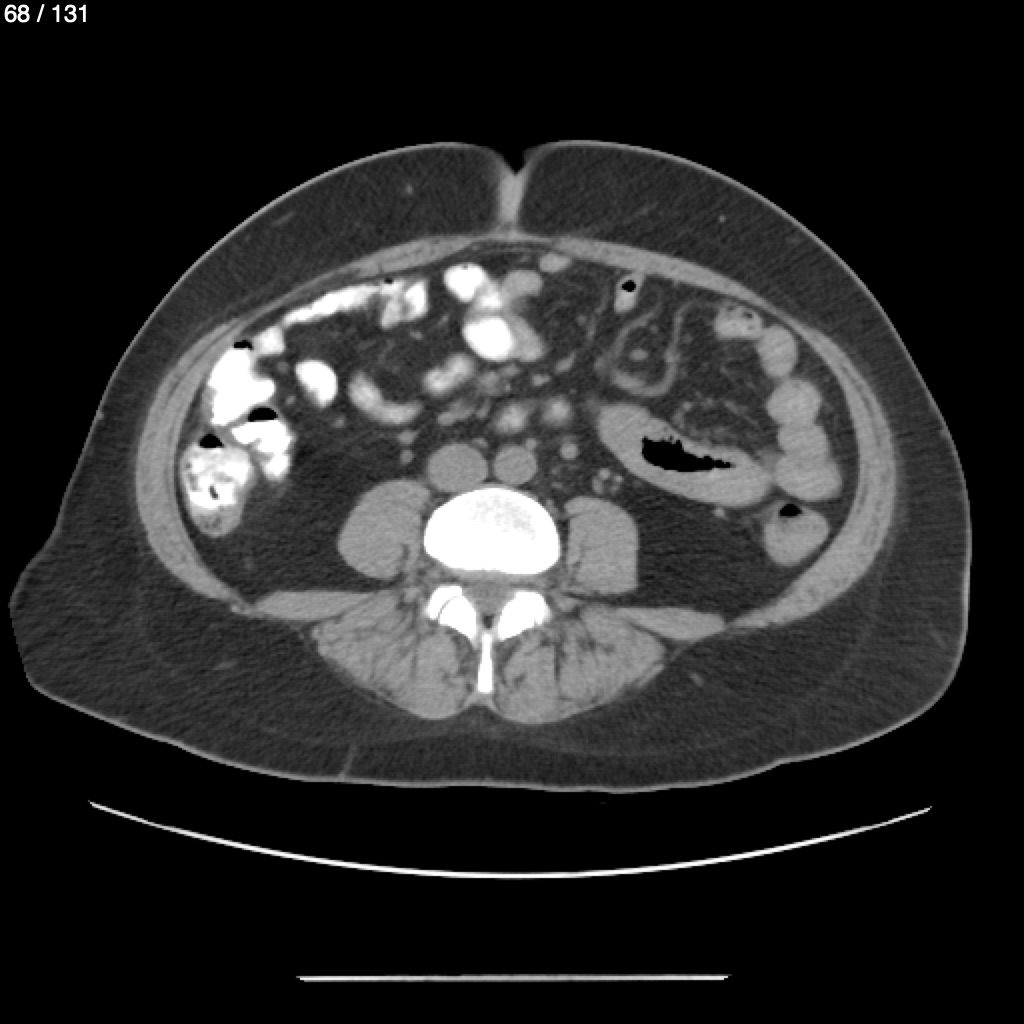
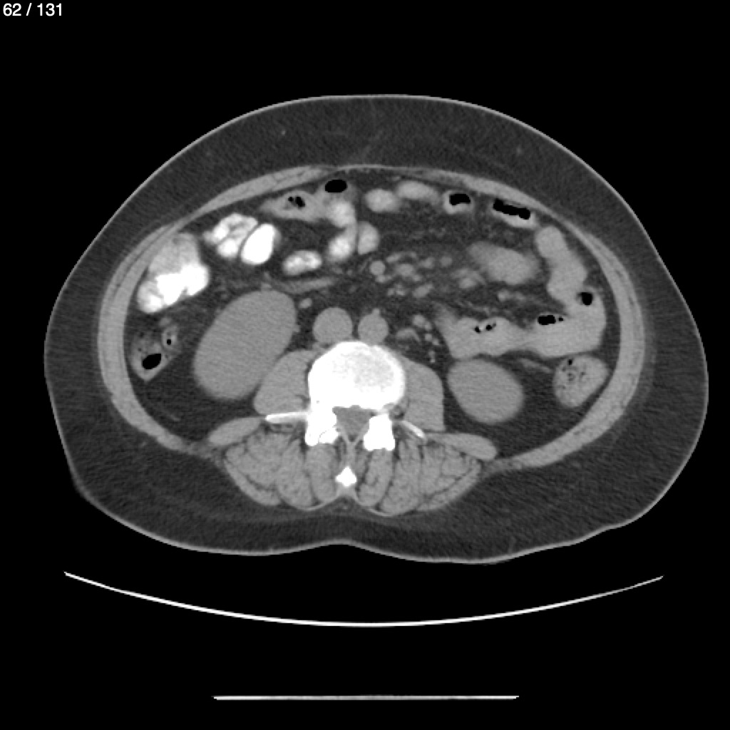
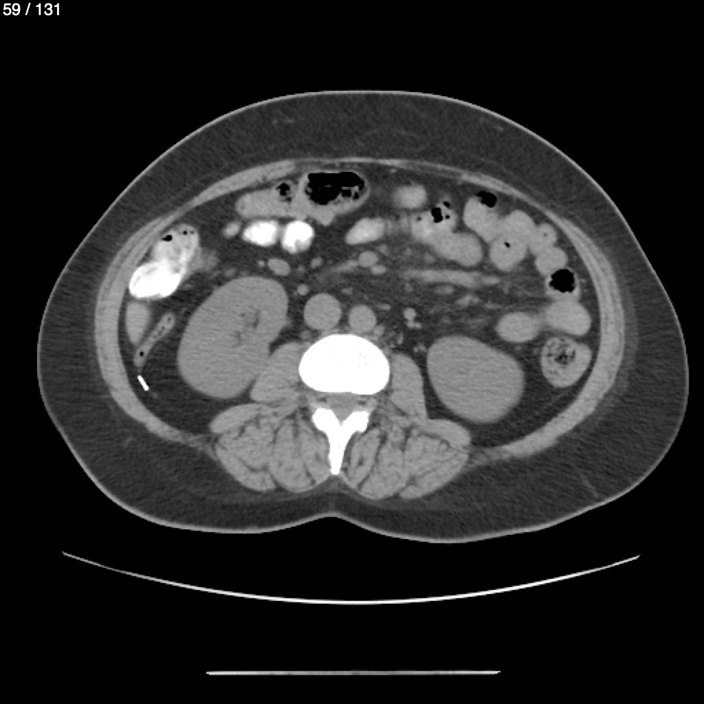
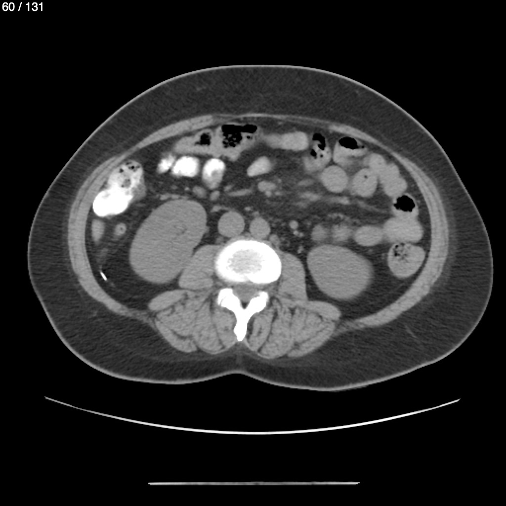
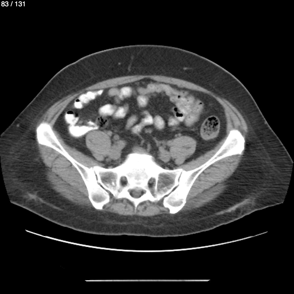
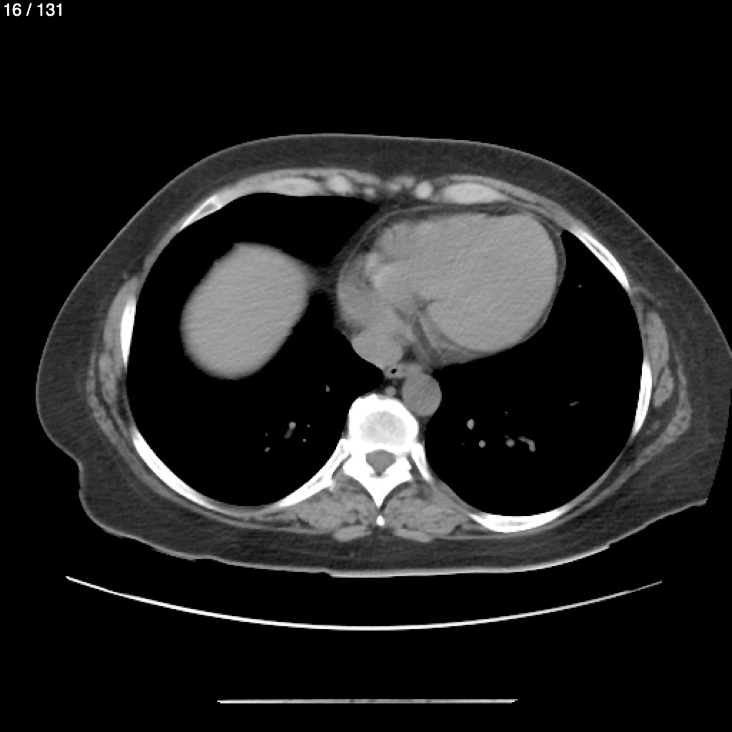
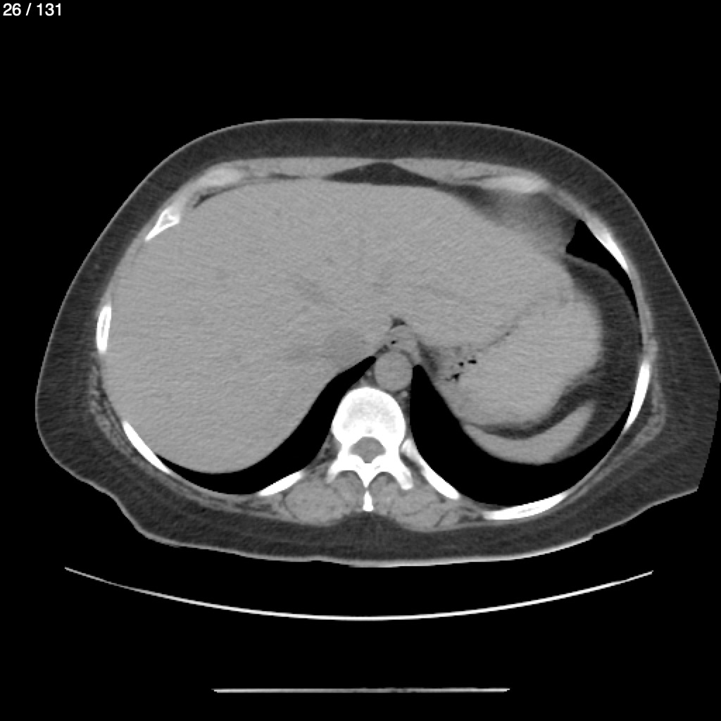
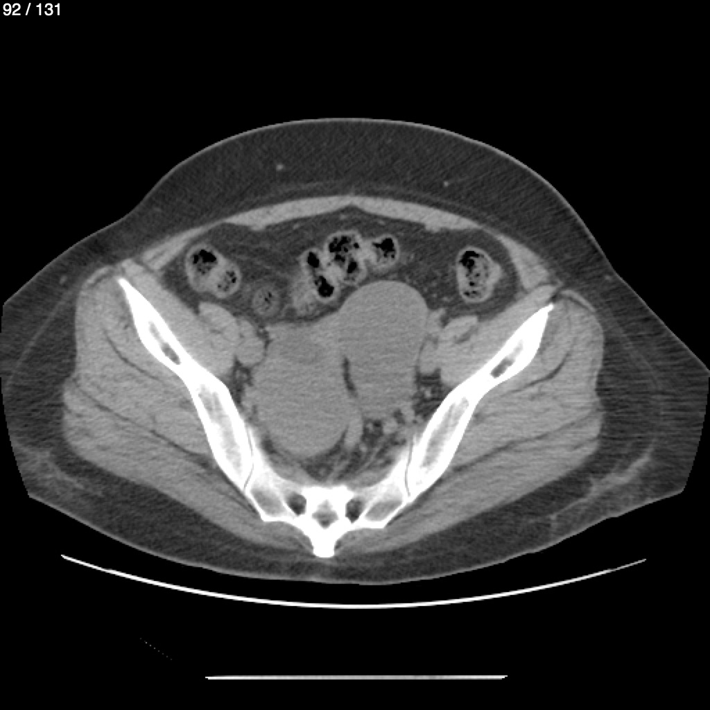
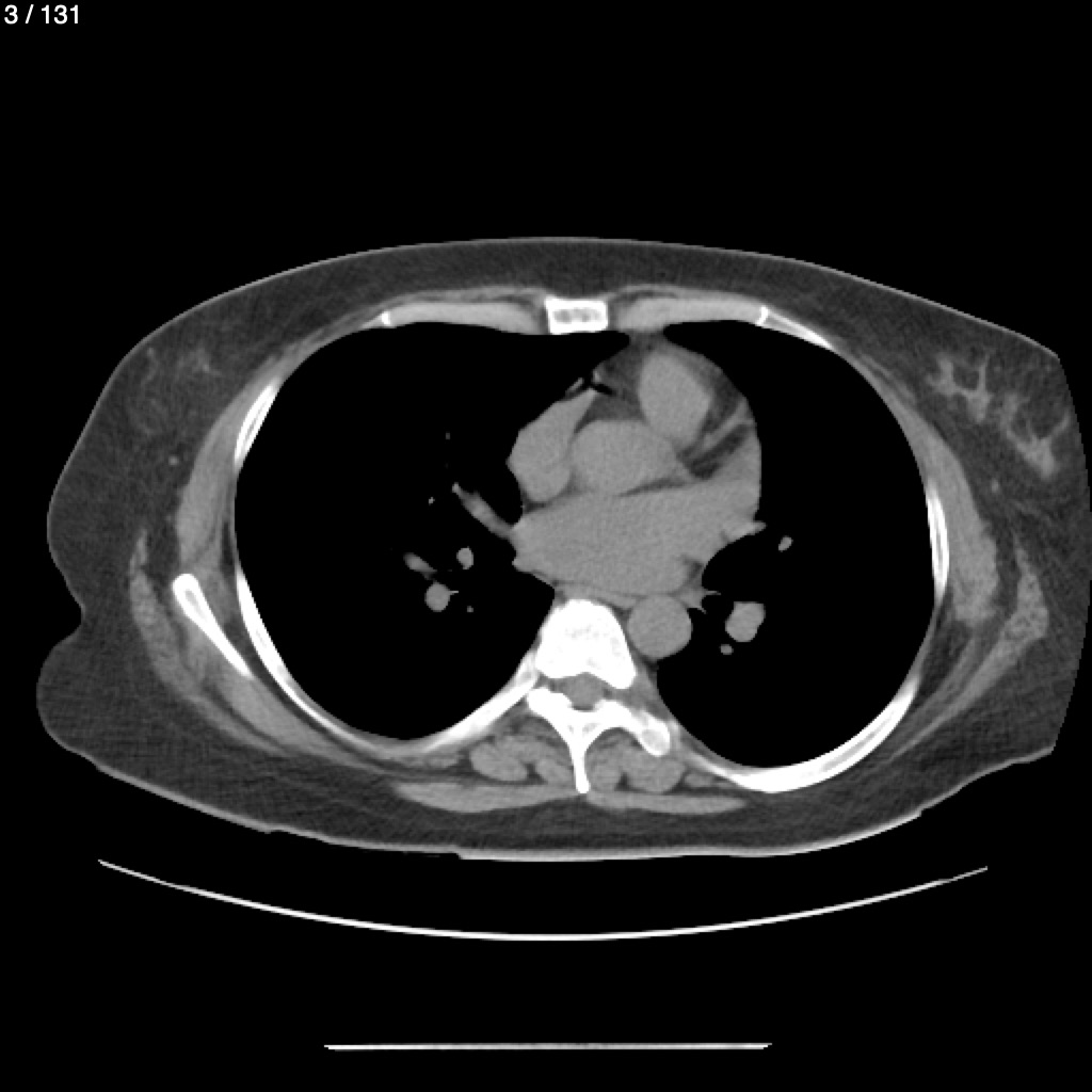
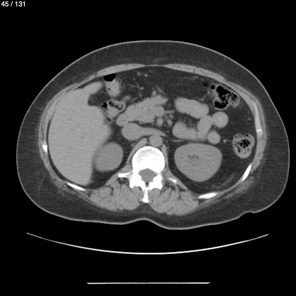
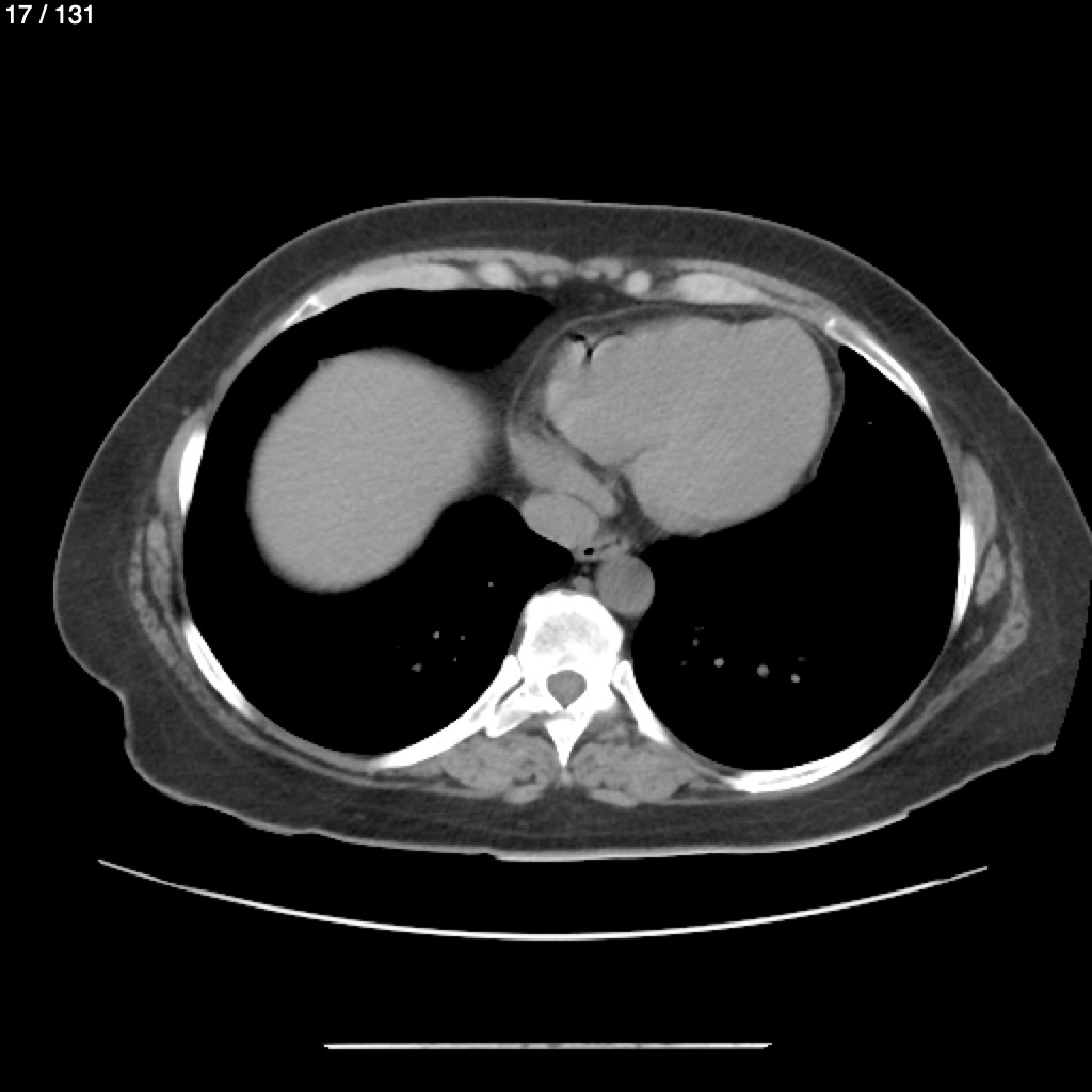
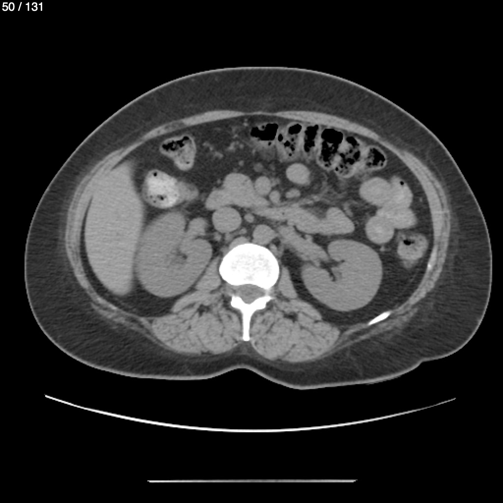
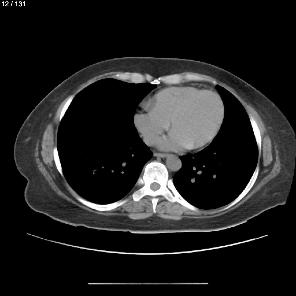
Itzel Monserrat Estrada Espiritu - T.C Abdomen Syc
Next Series
Show as Sequence