HUIXTLA
ESCUINTLA
AKISHINO
AKISHINO2 USG
ESPECIALIDADES
Home
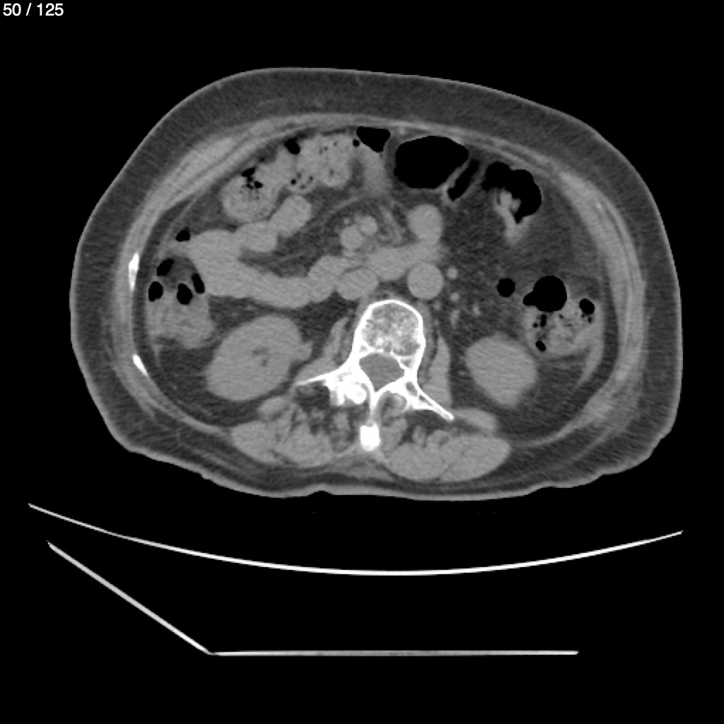
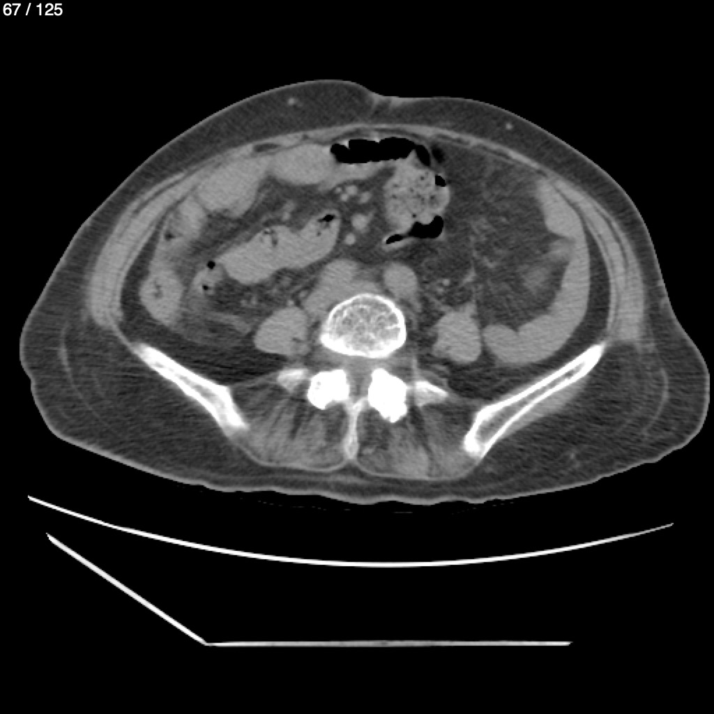
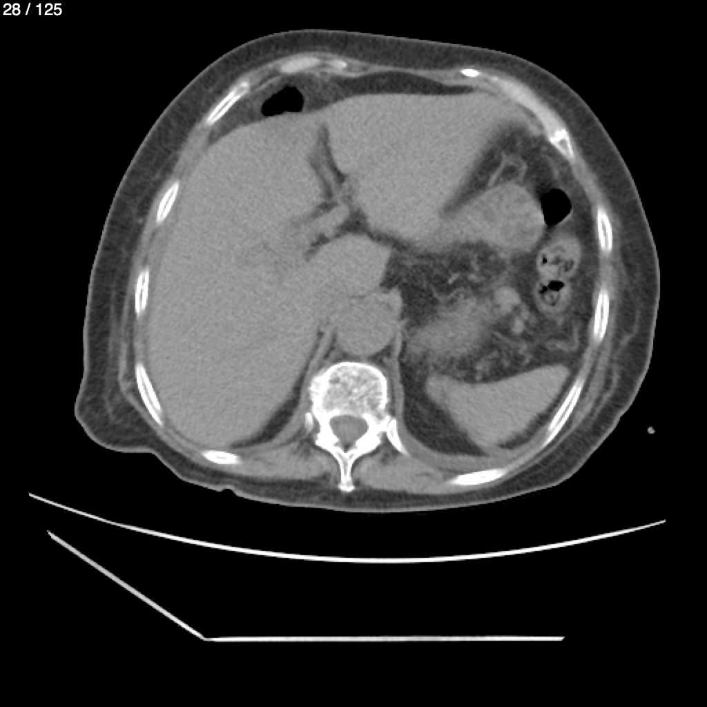
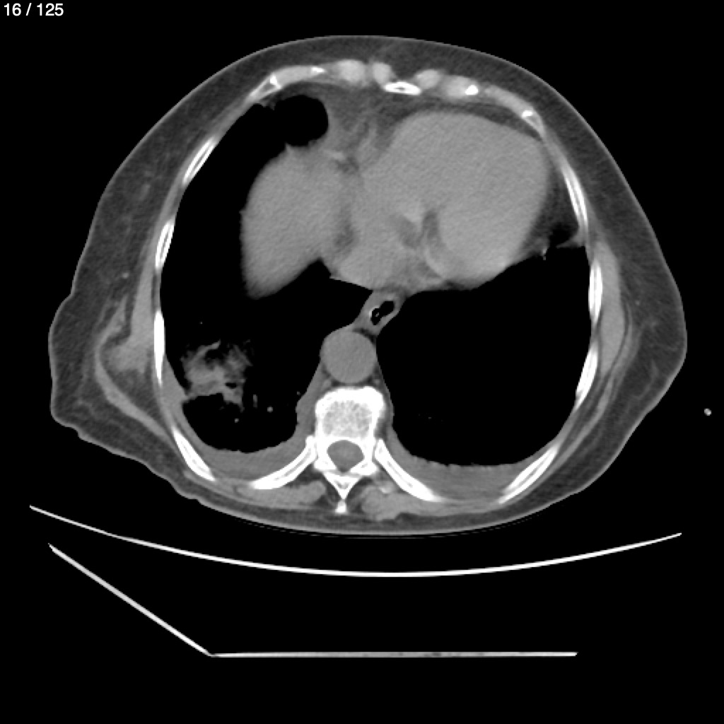
Maria Mejia Velazquez 82 - T.C Abdomen Syc
Next Series
Show as Sequence