HUIXTLA
ESCUINTLA
AKISHINO
AKISHINO2 USG
ESPECIALIDADES
Home
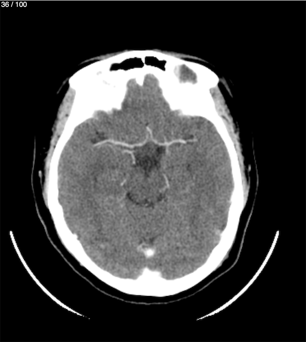
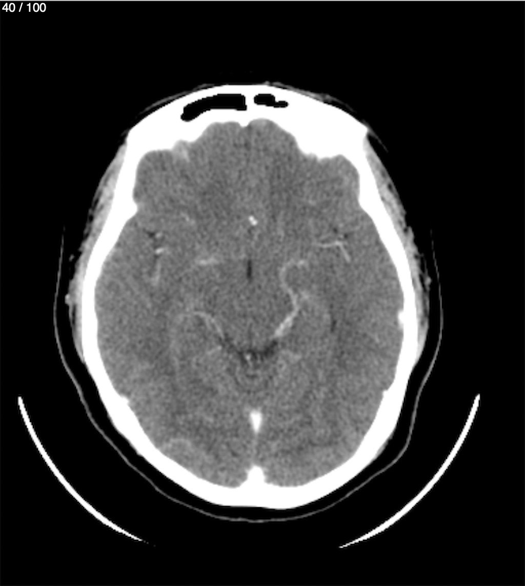
Azuly Josari Bravo Cruz 19 A - Tc. Craneo Syc
Previous Series
Show as Sequence