HUIXTLA
ESCUINTLA
AKISHINO
AKISHINO2 USG
ESPECIALIDADES
Home
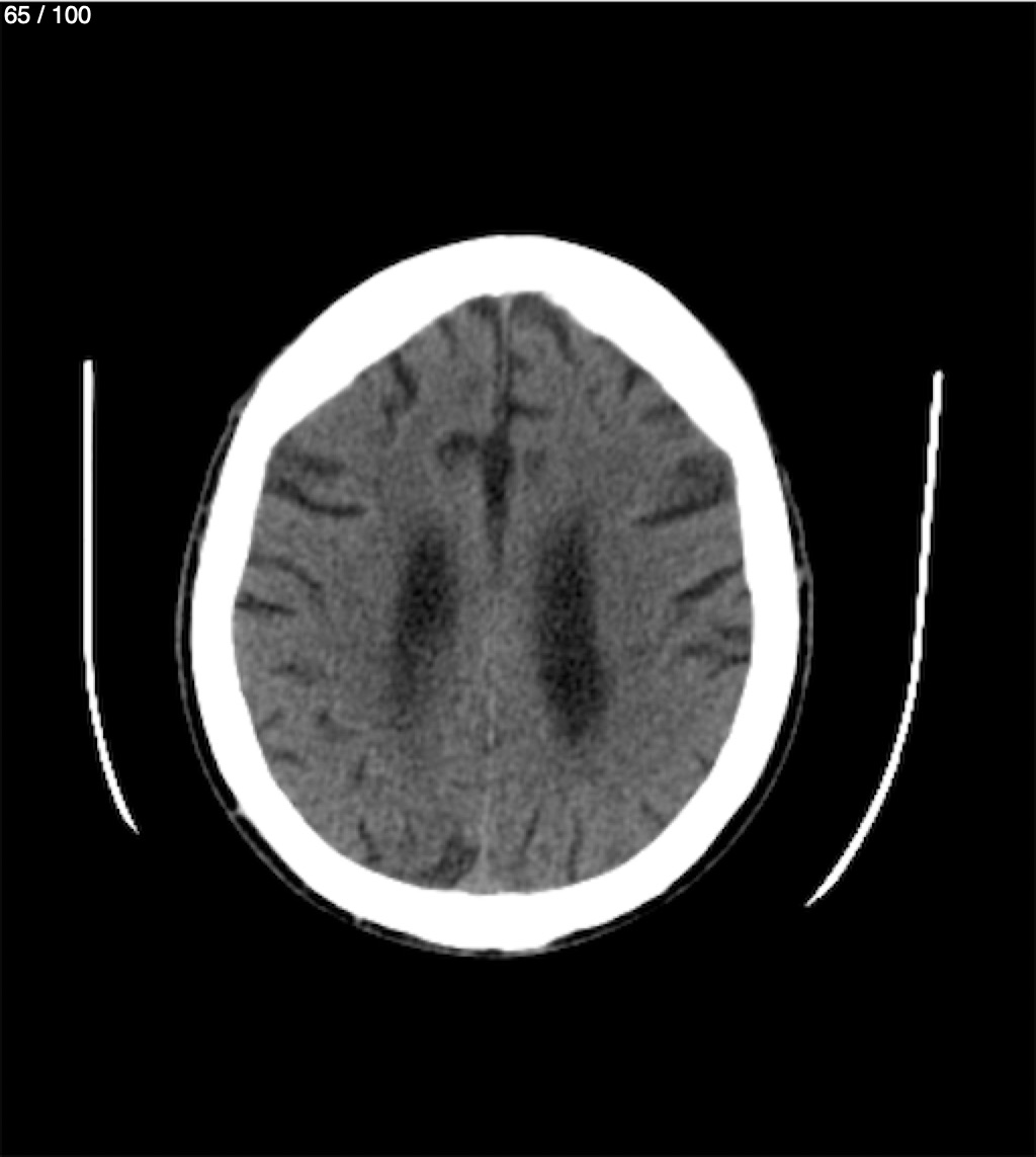
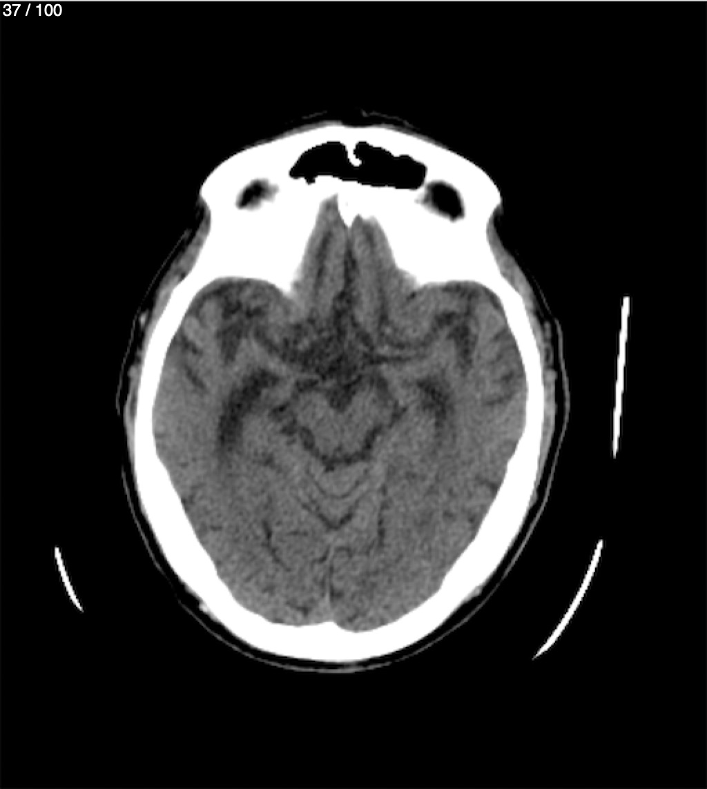
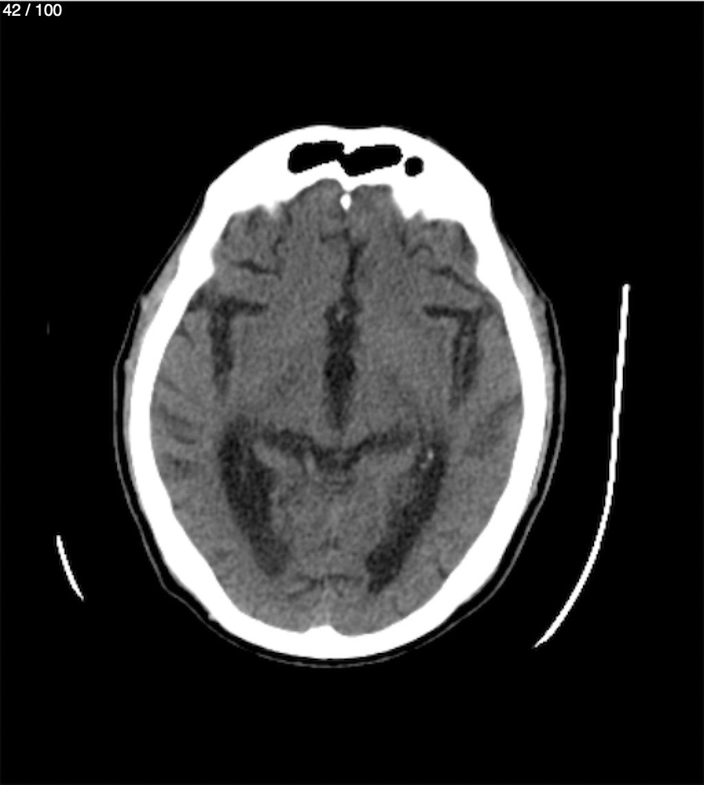
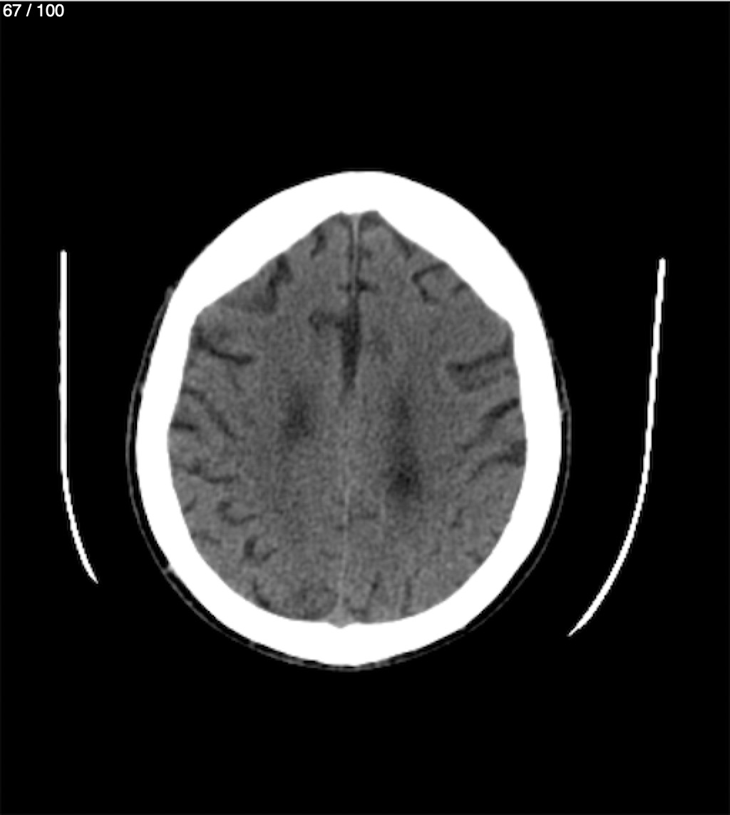
Agustin Gilses Rosas 68A - Tc. Craneo Syc
Previous Series
Show as Sequence