HUIXTLA
ESCUINTLA
AKISHINO
AKISHINO2 USG
ESPECIALIDADES
Home
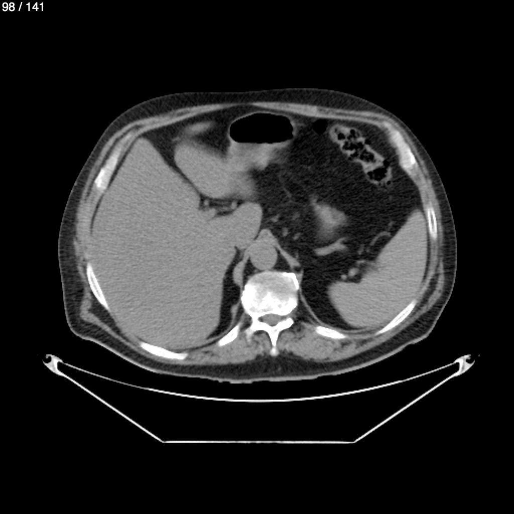
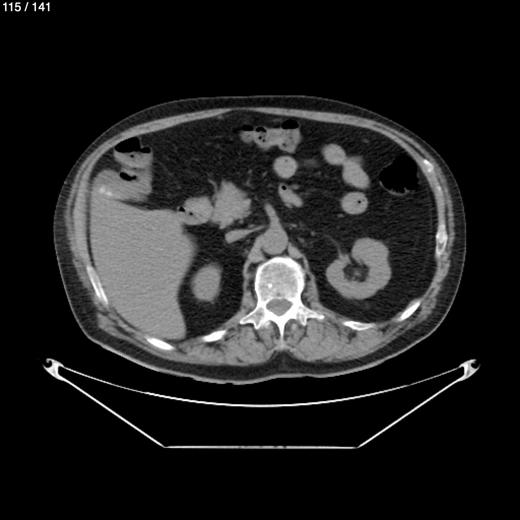
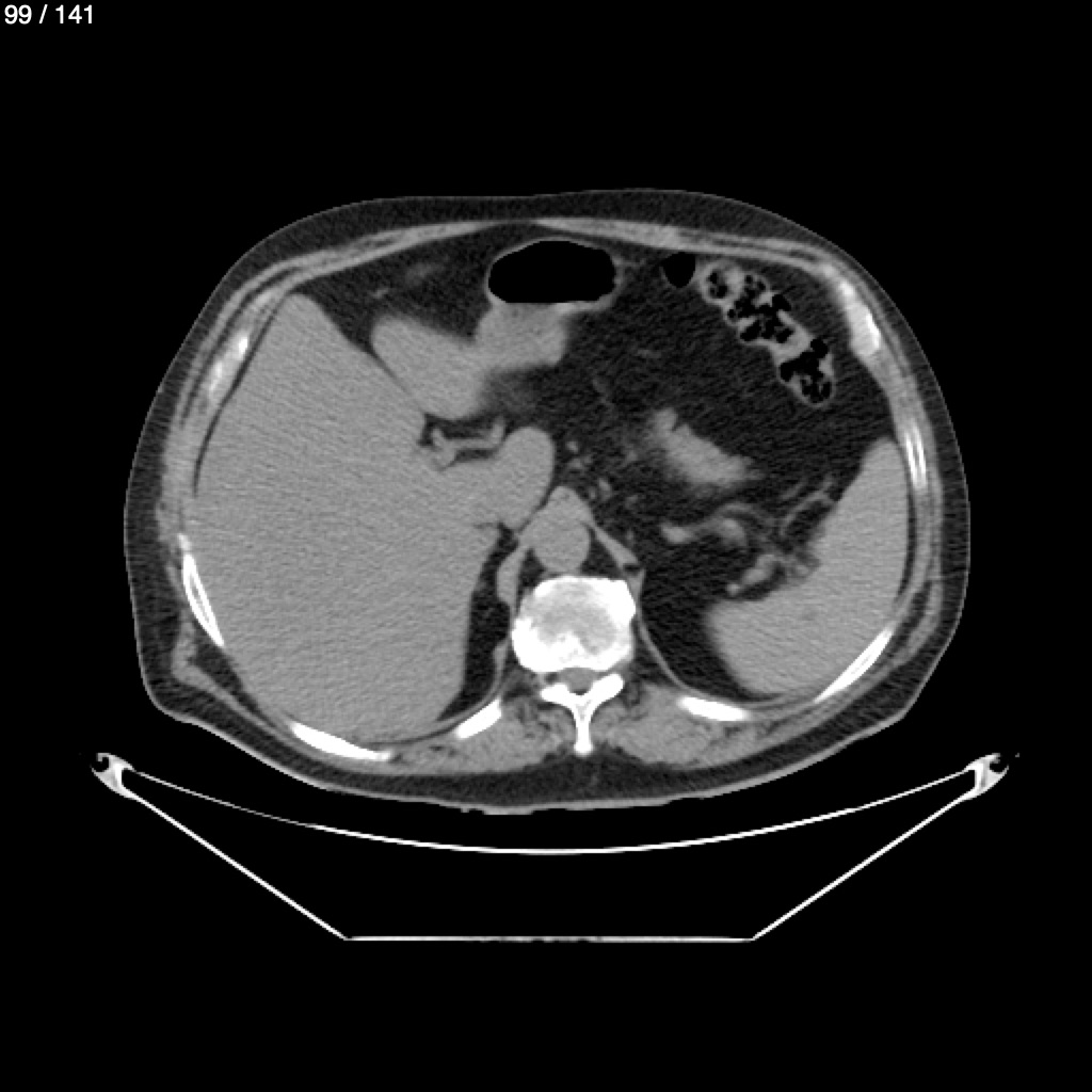
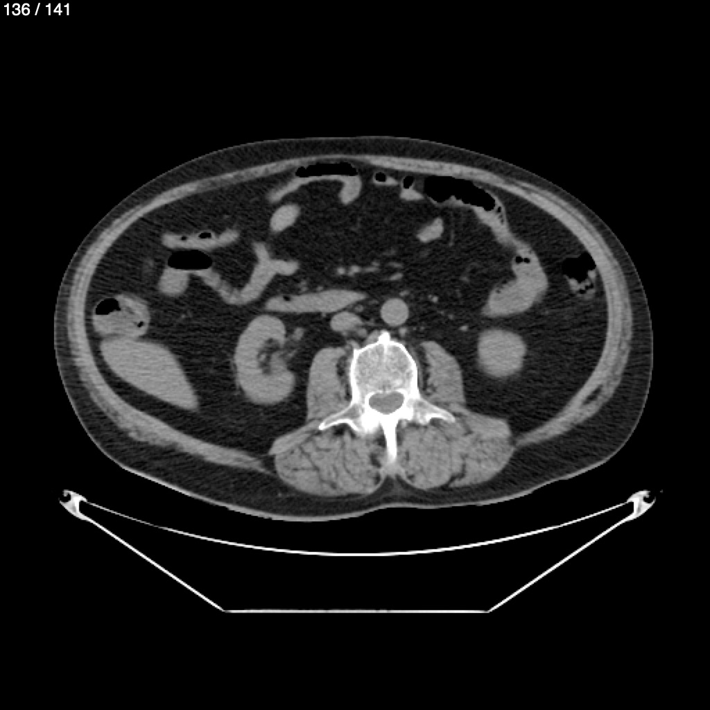
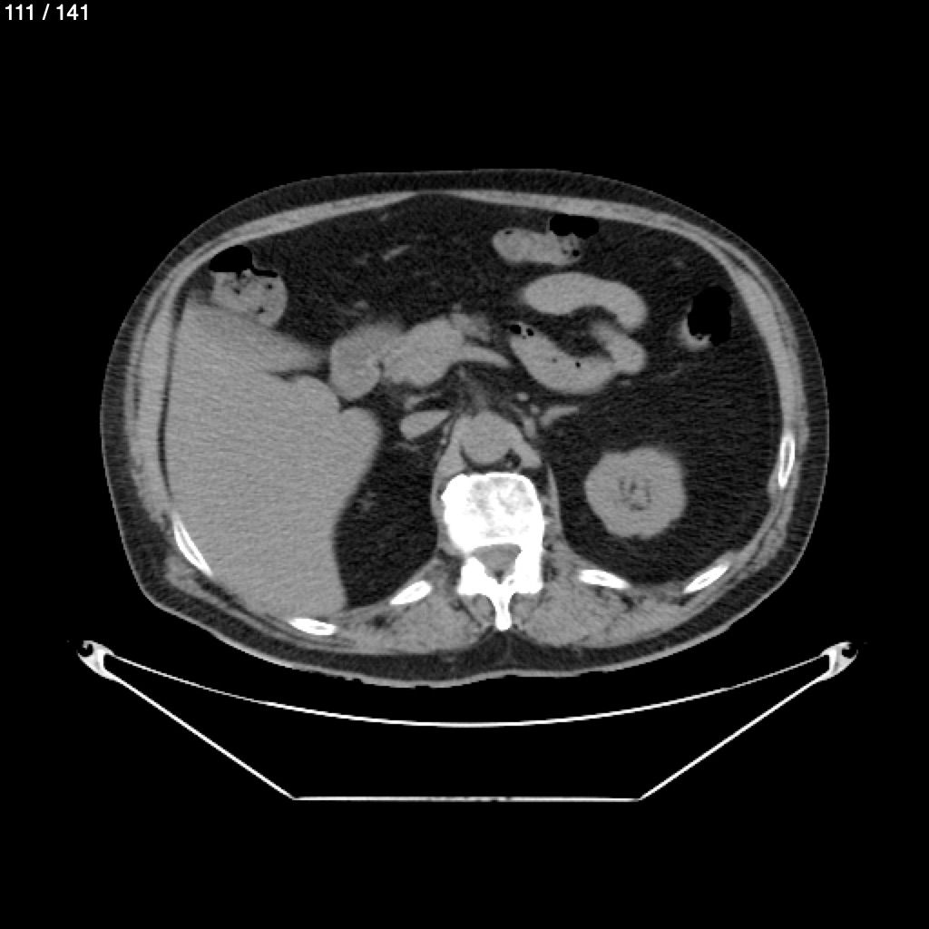
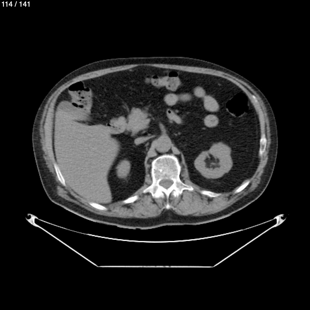
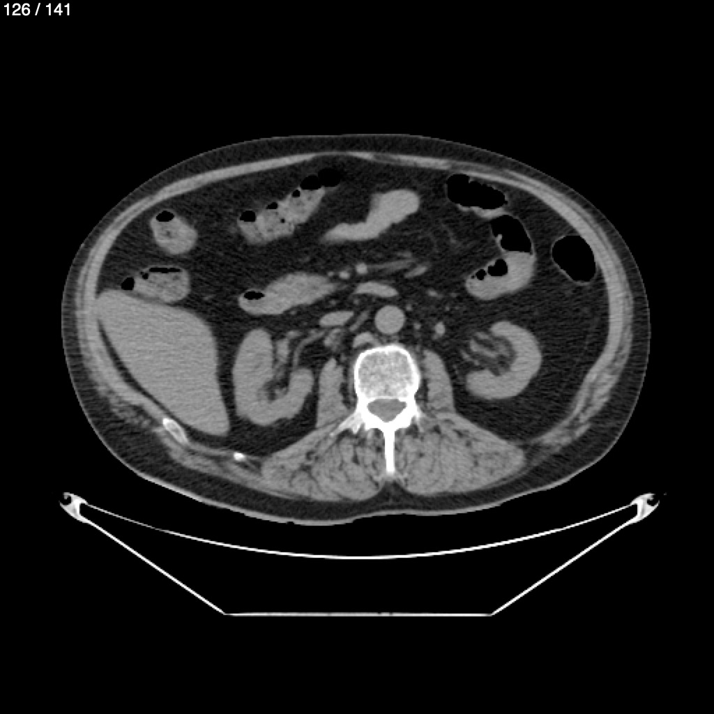
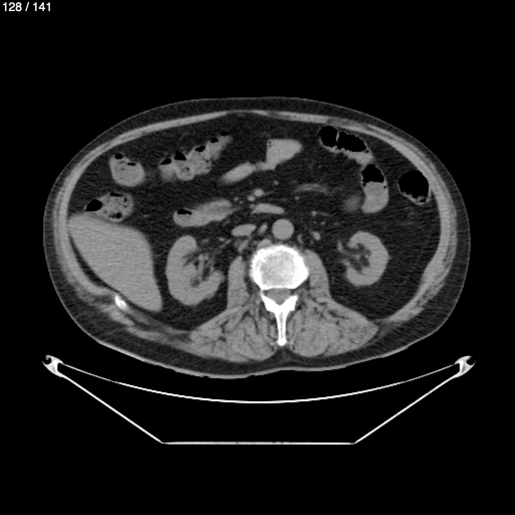
Jorge Alberto Sosa Rivera 52A - T.C Torax S
Next Series
Show as Sequence