HUIXTLA
ESCUINTLA
AKISHINO
AKISHINO2 USG
ESPECIALIDADES
Home
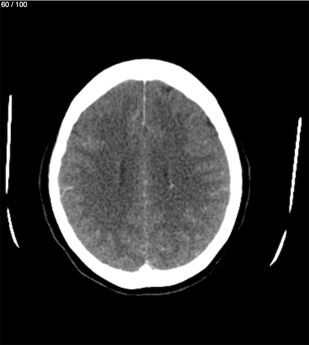
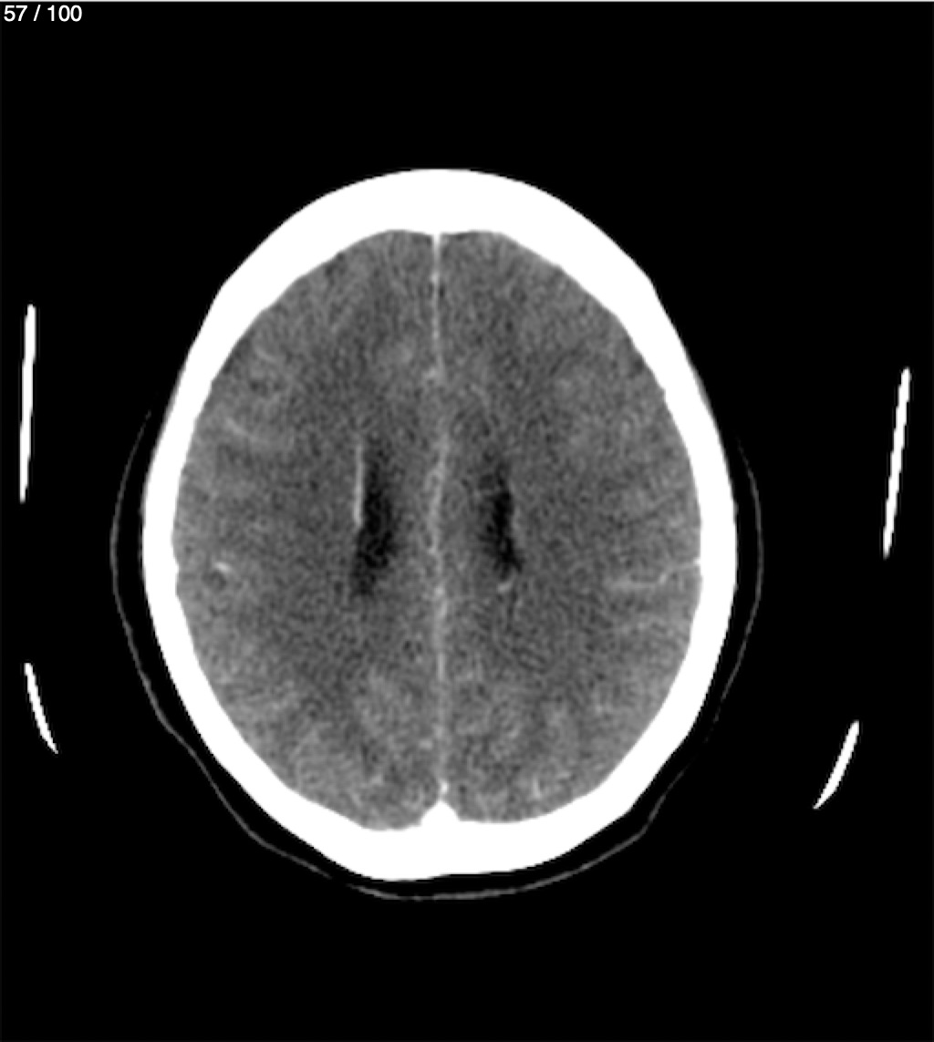
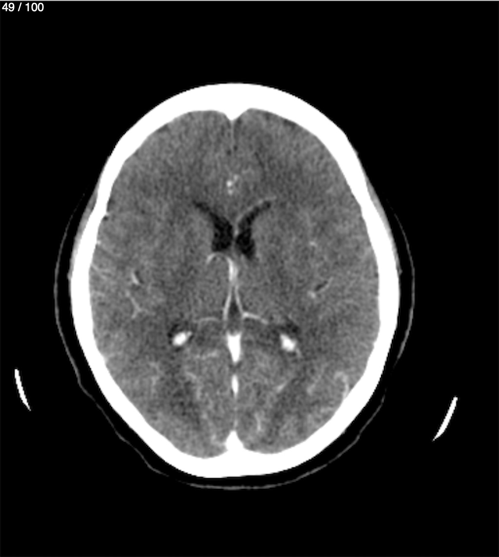
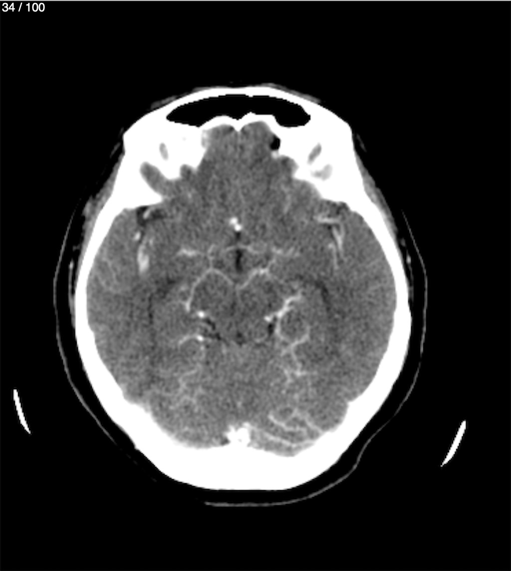
Rosalva Soto Perez 41A - Tc. Craneo Syc
Previous Series
Show as Sequence