HUIXTLA
ESCUINTLA
AKISHINO
AKISHINO2 USG
ESPECIALIDADES
Home
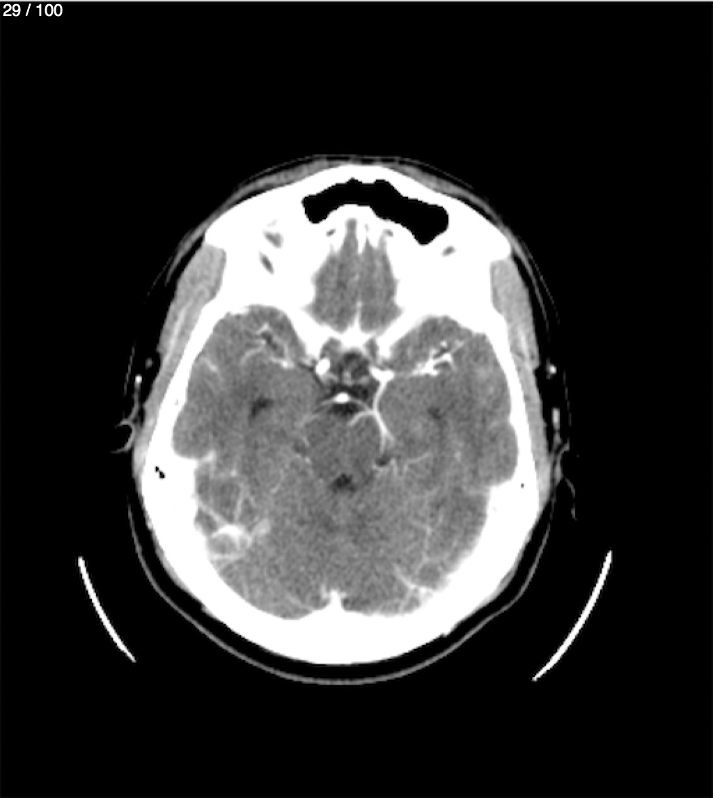
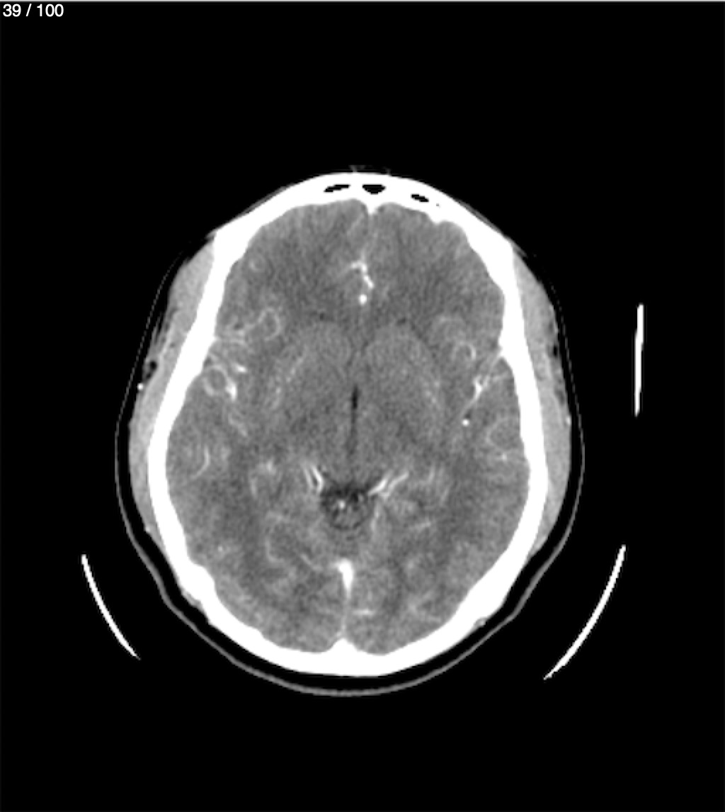
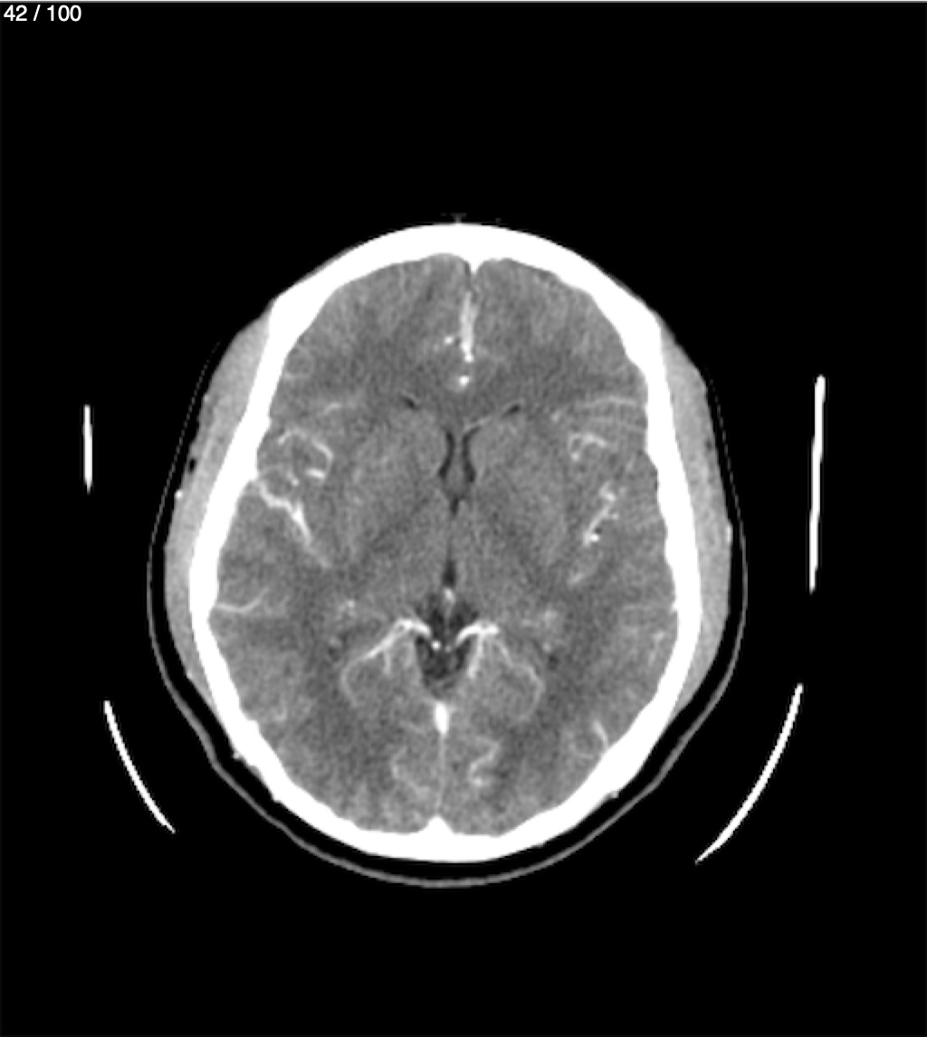
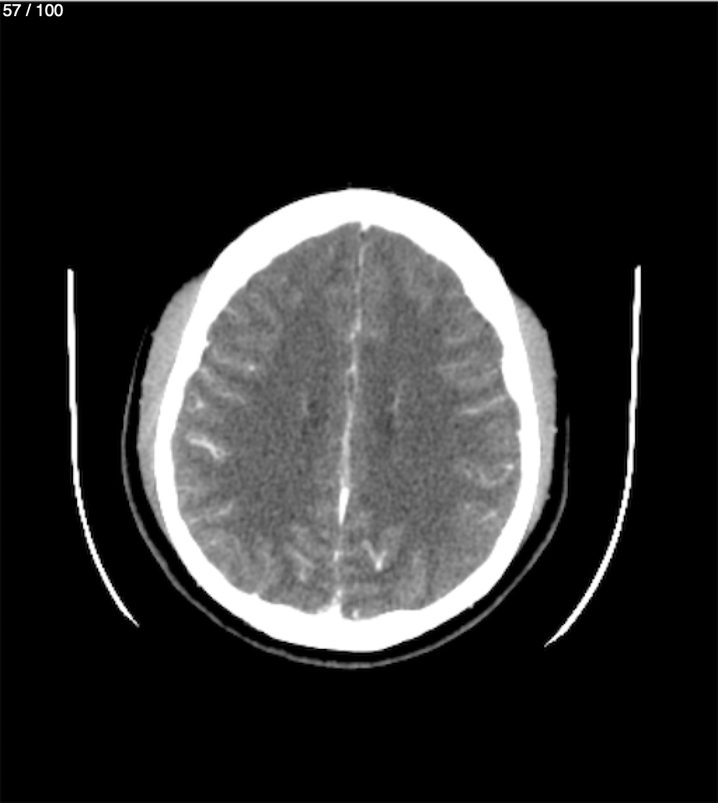
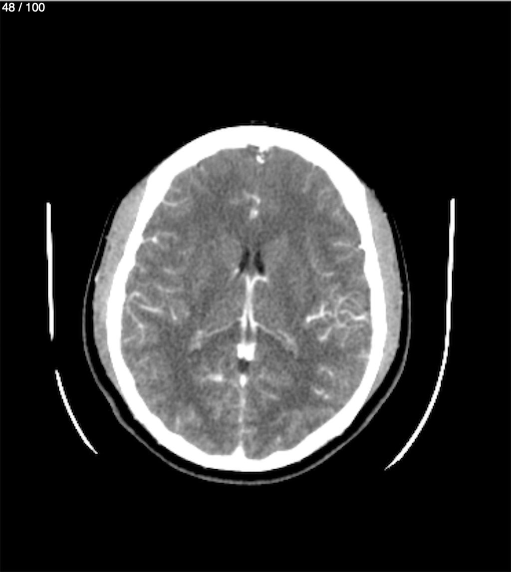
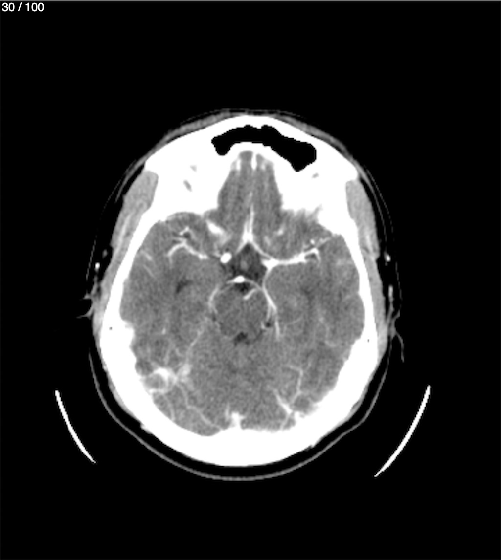
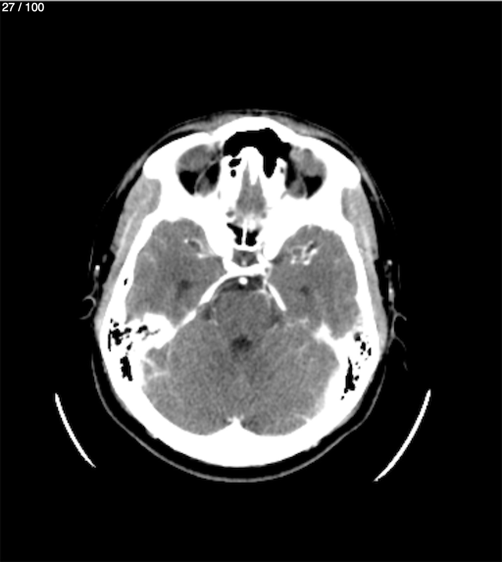
Jairo Rabanales Gallegos 24A - Tc. Craneo Syc
Previous Series
Show as Sequence