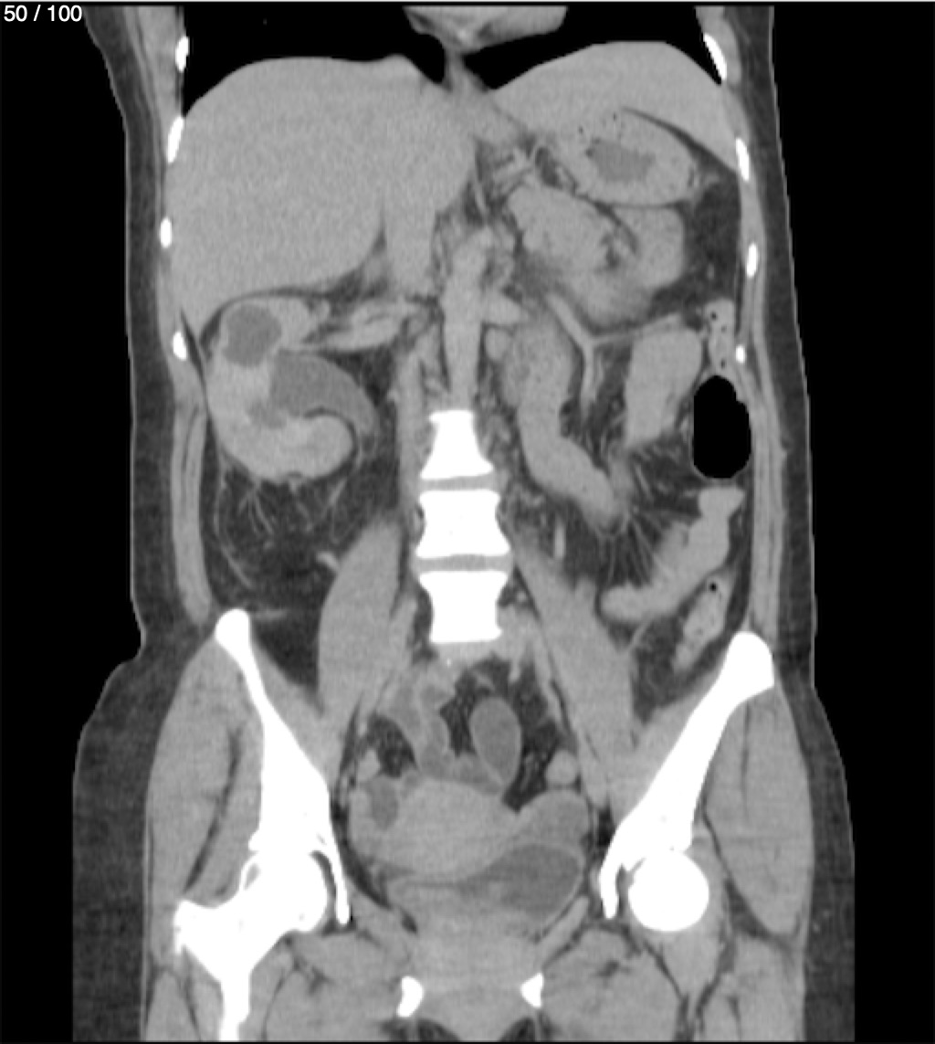
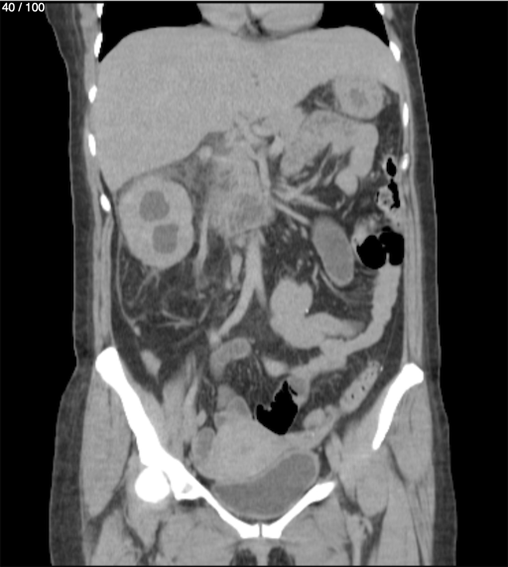
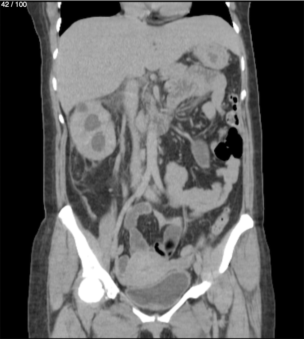
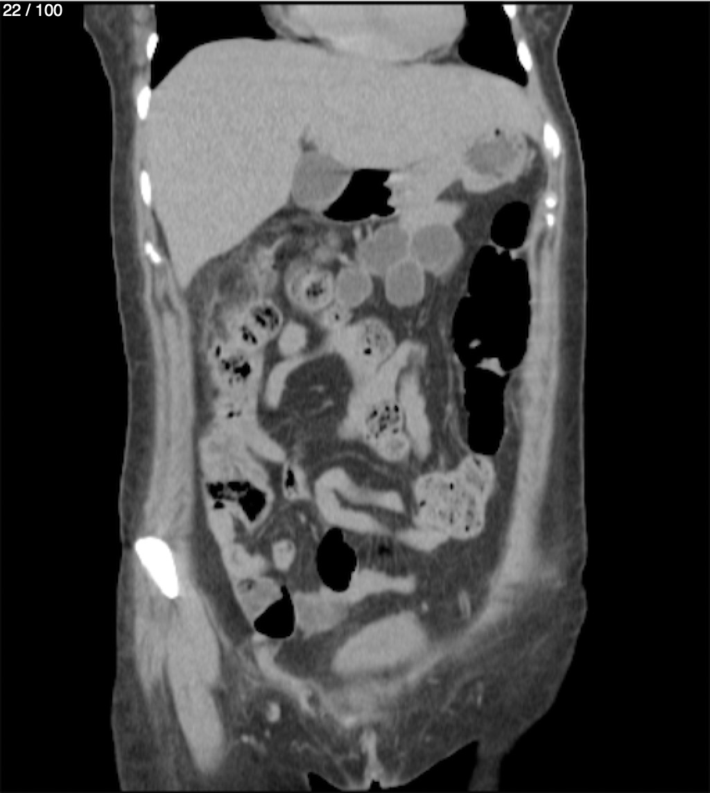
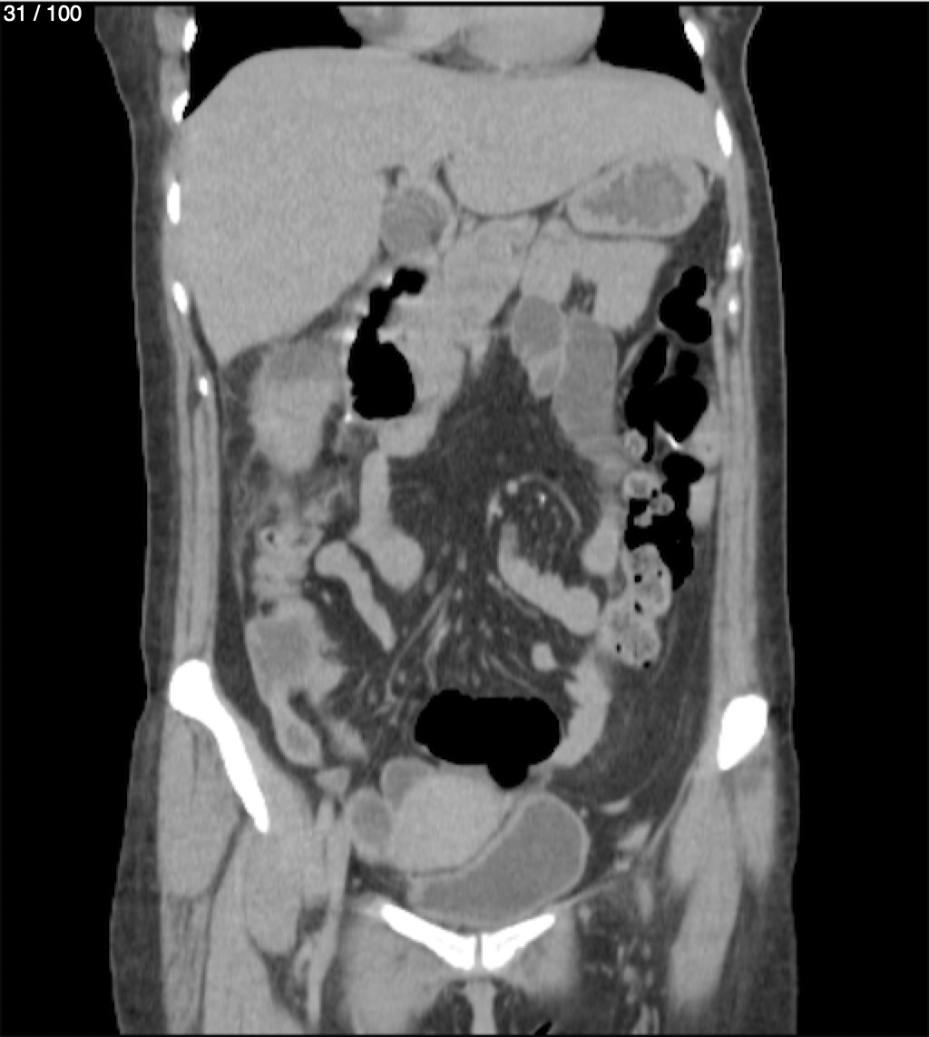
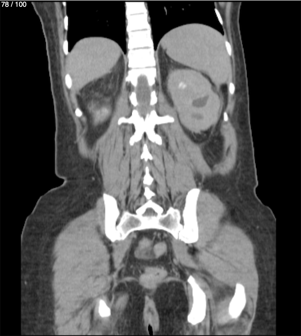
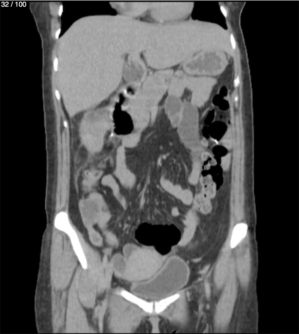
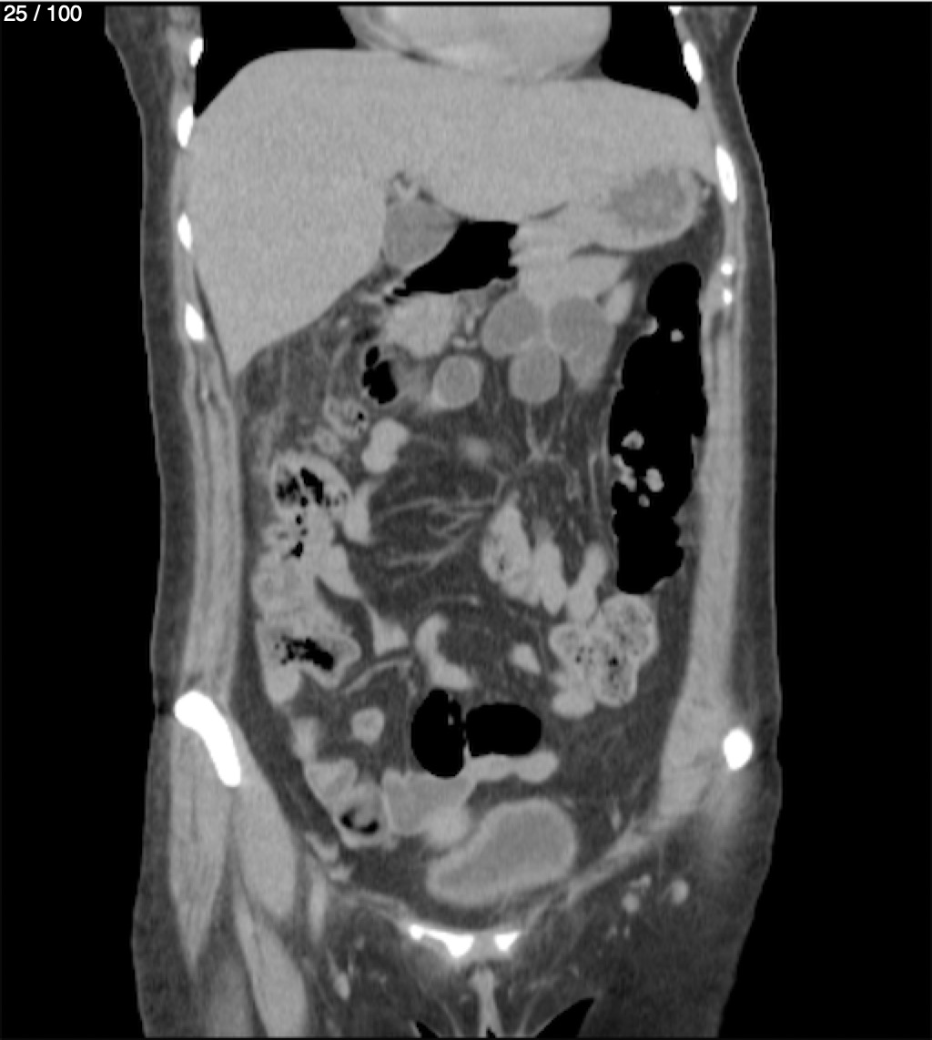
Home A​d​r​i​a​n​a​ ​C​i​g​a​r​r​o​a​ ​P​a​l​o​m​e​q​u​e​ ​4​8​ ​-​ ​U​r​o​t​a​c