HUIXTLA
ESCUINTLA
AKISHINO
AKISHINO2 USG
ESPECIALIDADES
Home
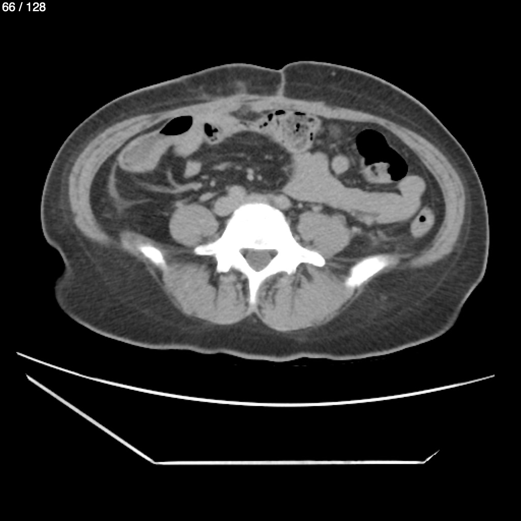
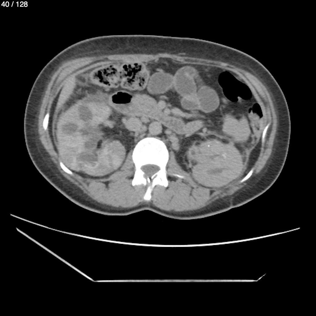
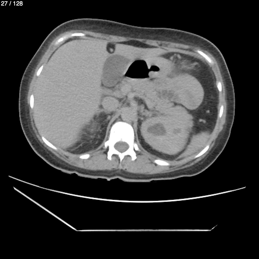
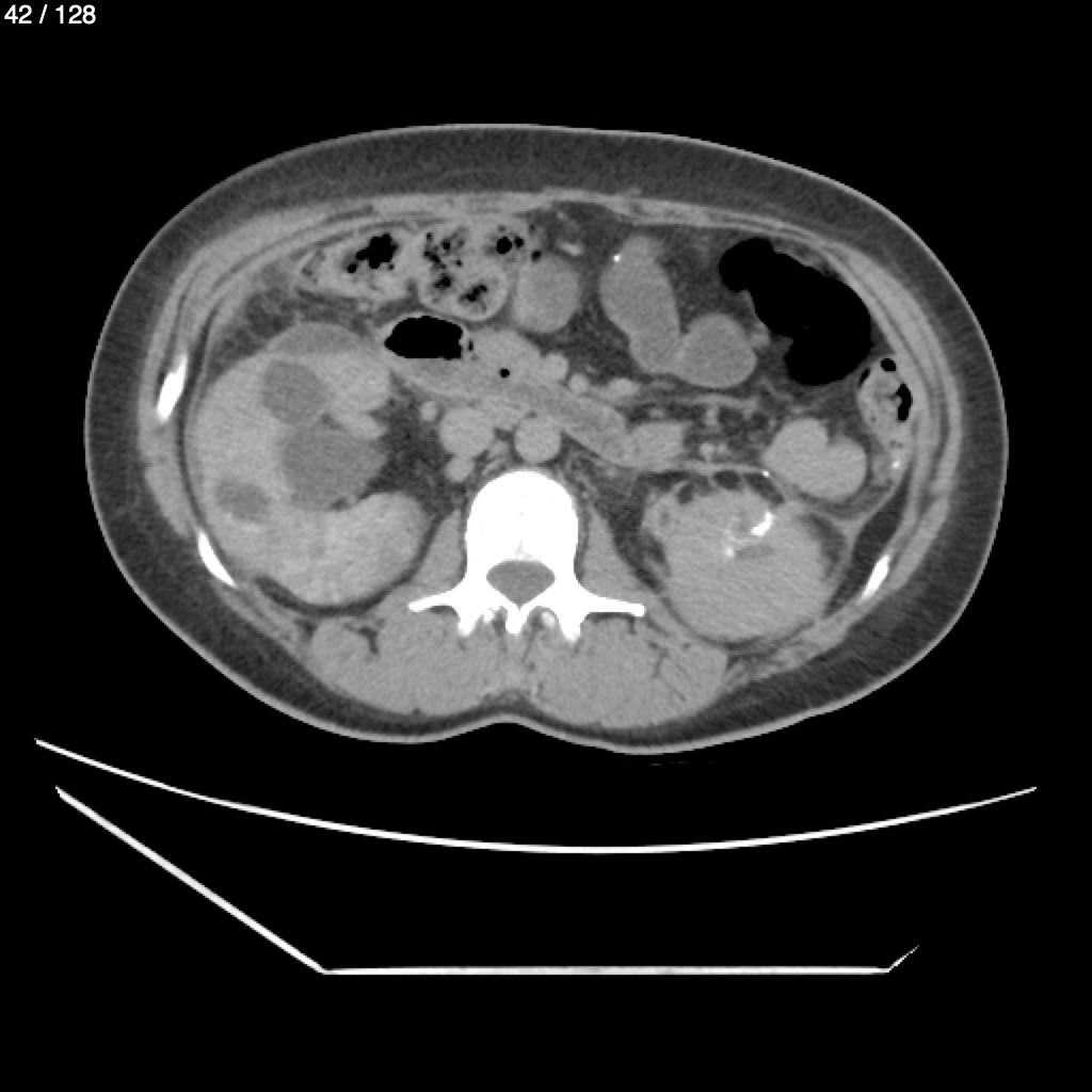
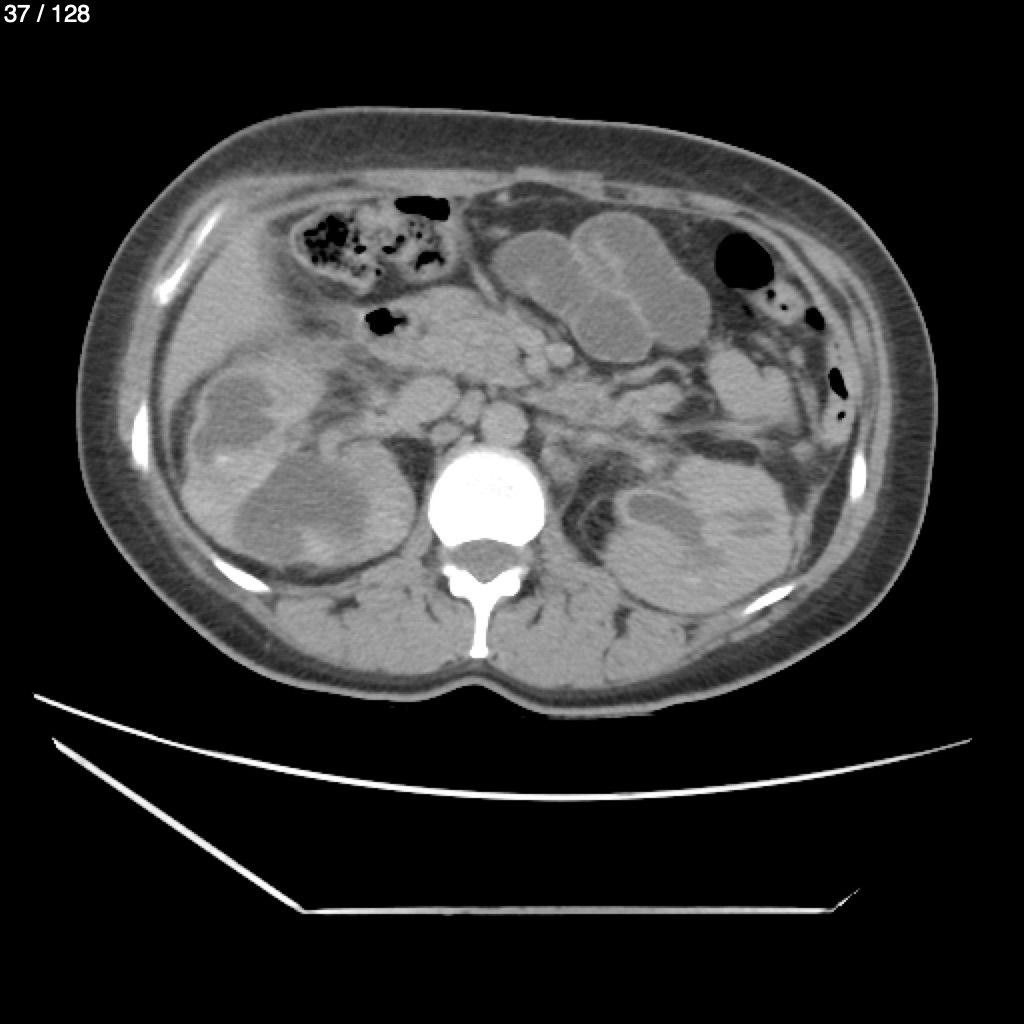
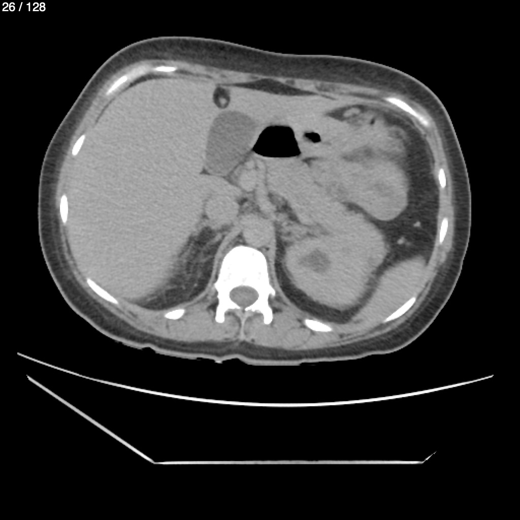
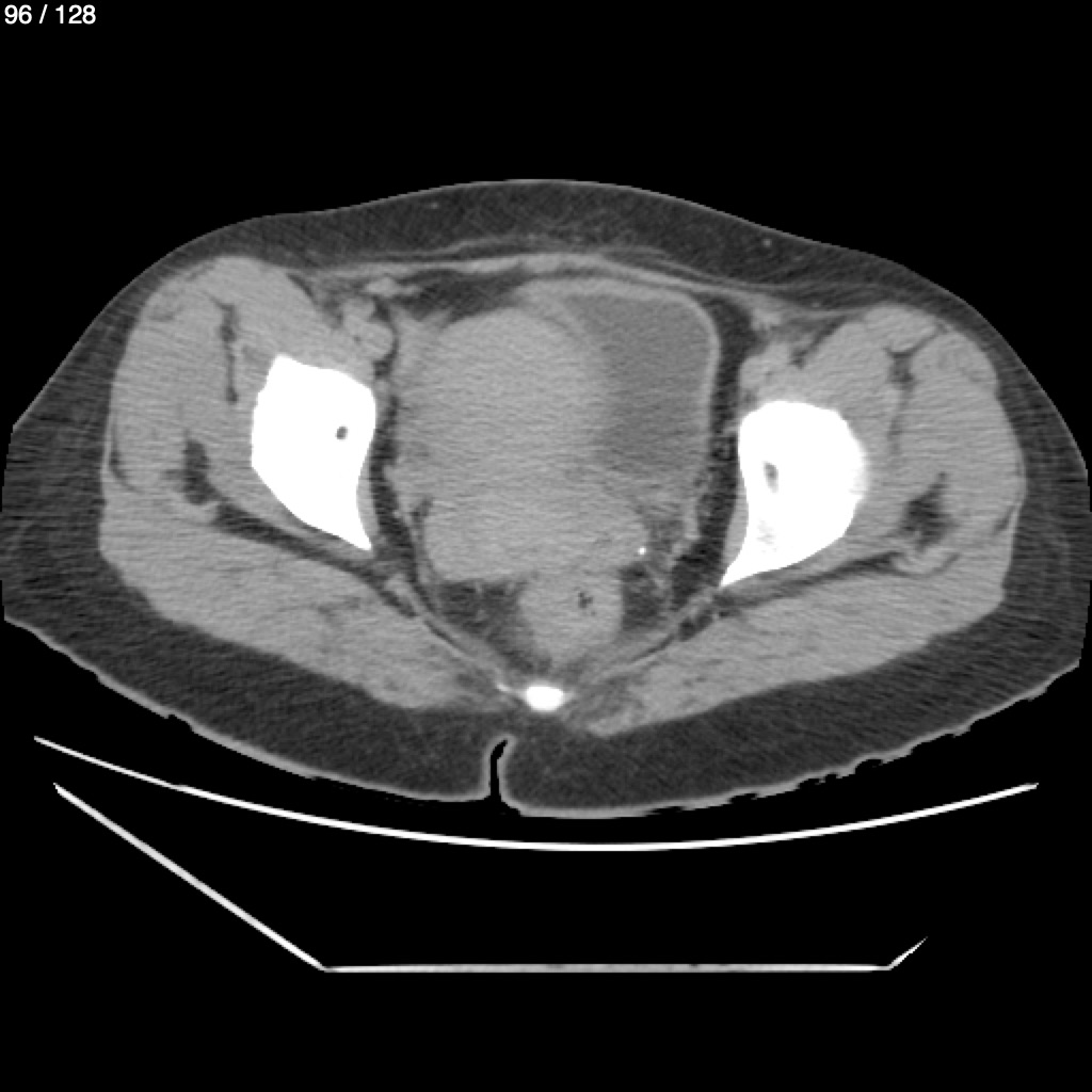
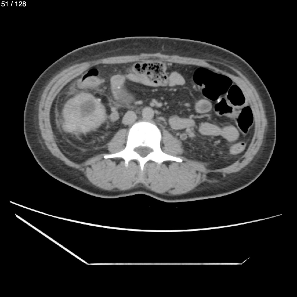
Adriana Cigarroa Palomeque 48 - Urotac
Previous Series
Next Series
Show as Sequence