HUIXTLA
ESCUINTLA
AKISHINO
AKISHINO2 USG
ESPECIALIDADES
Home
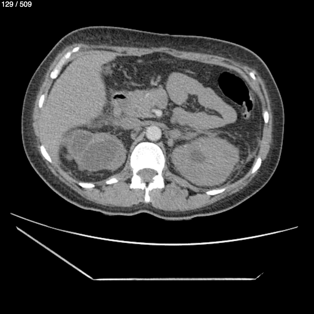
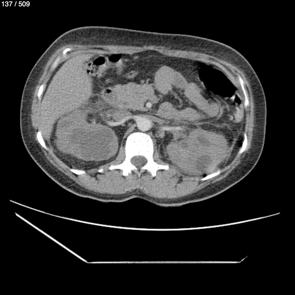
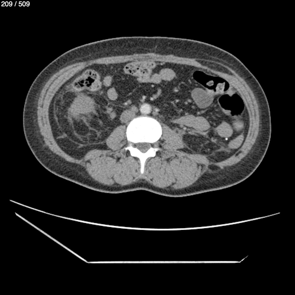
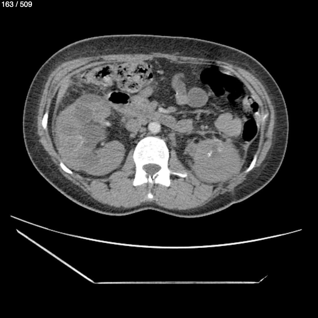
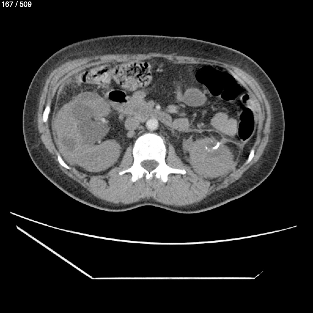
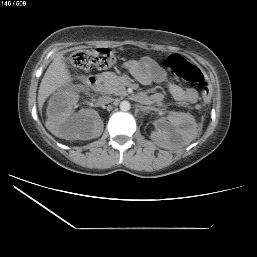
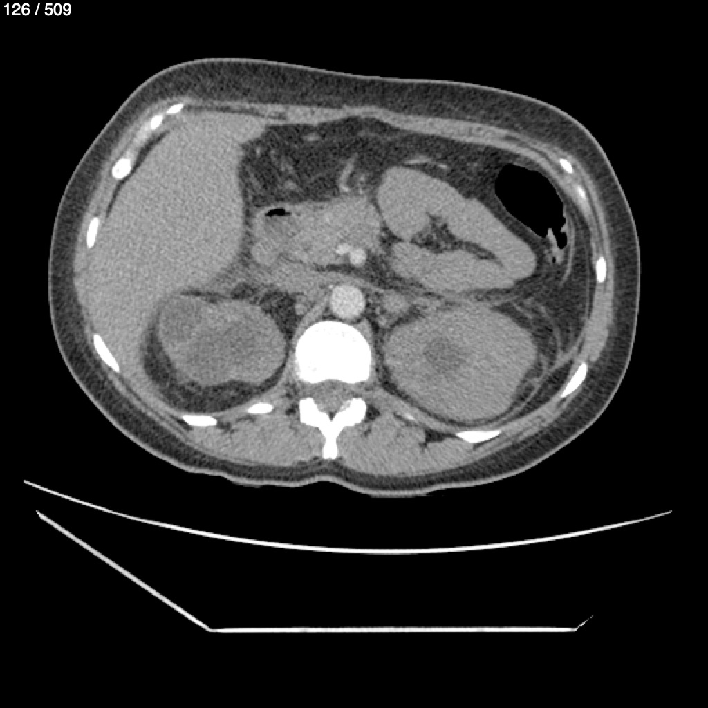
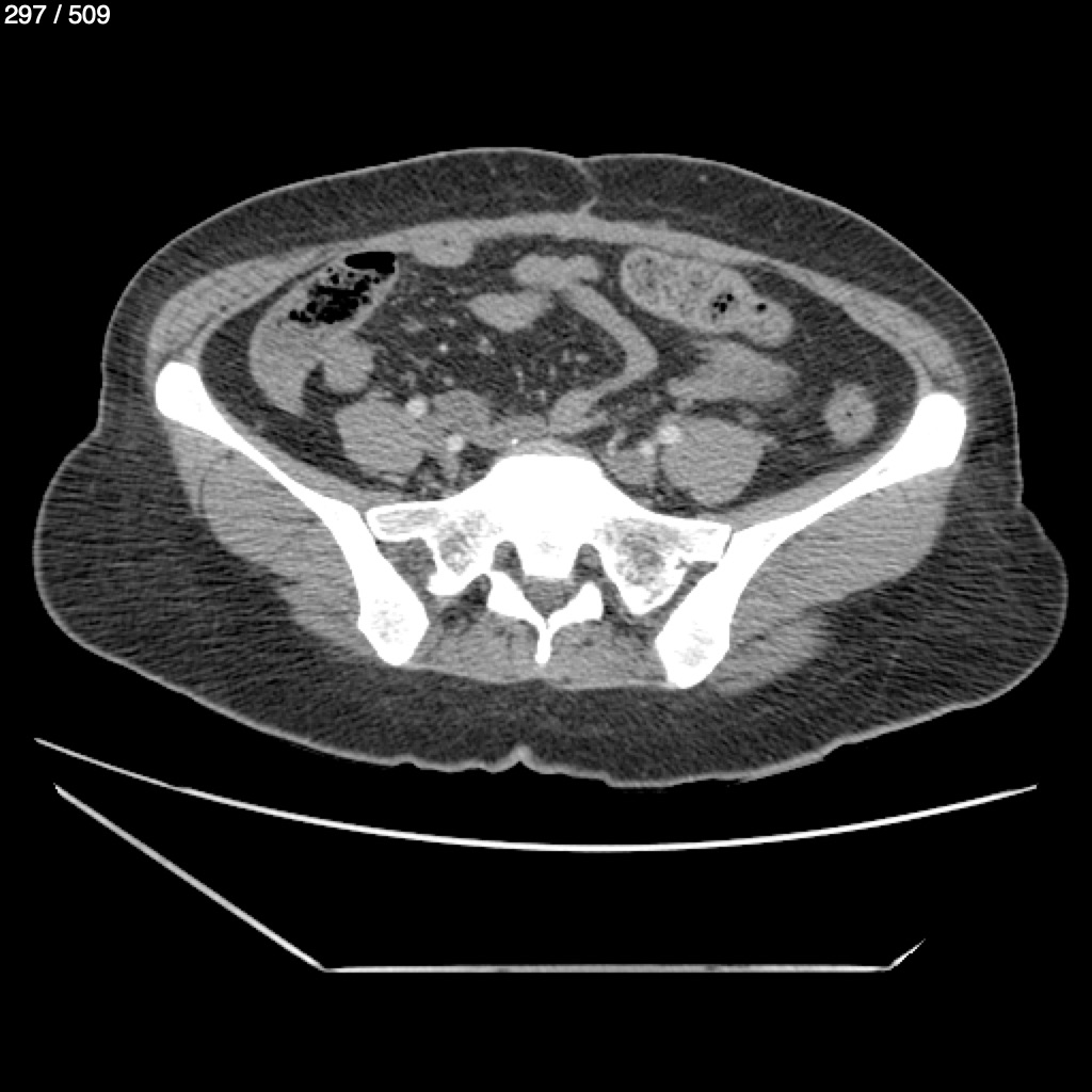
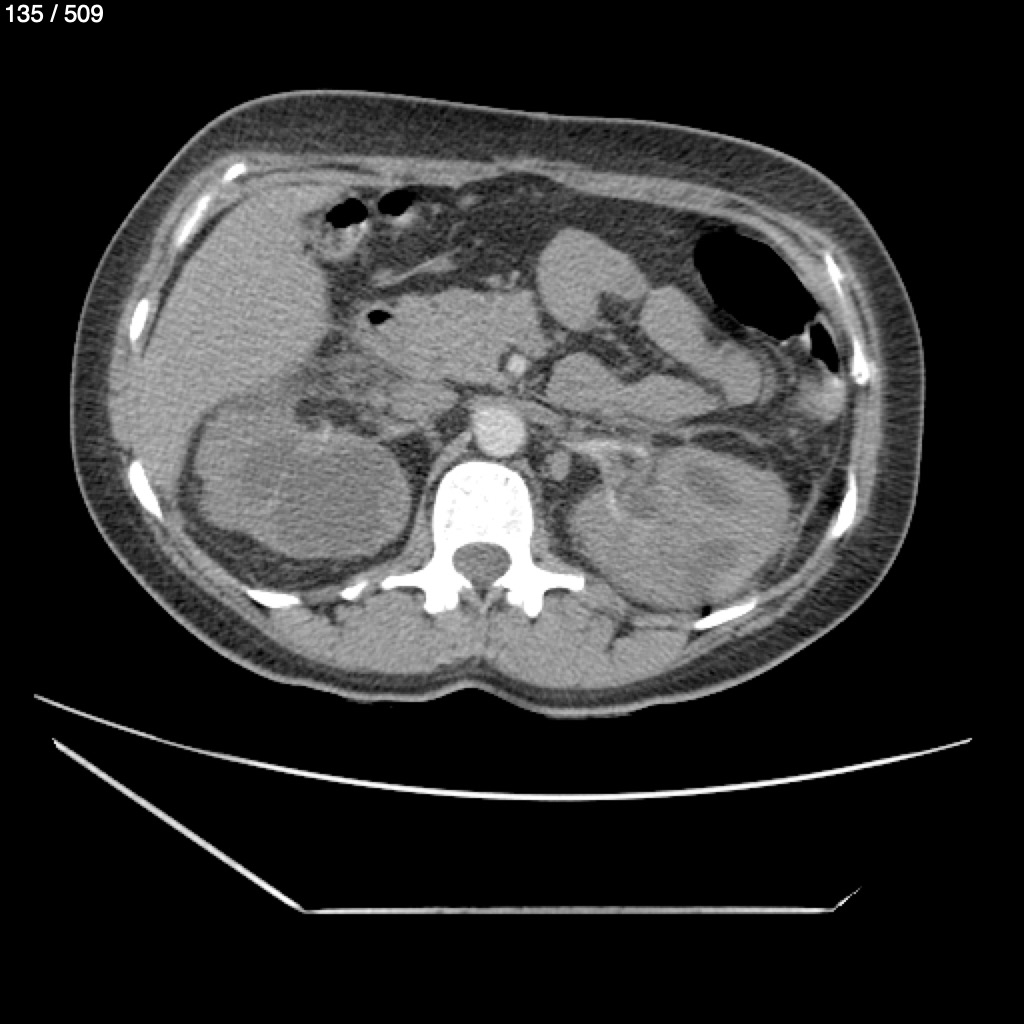
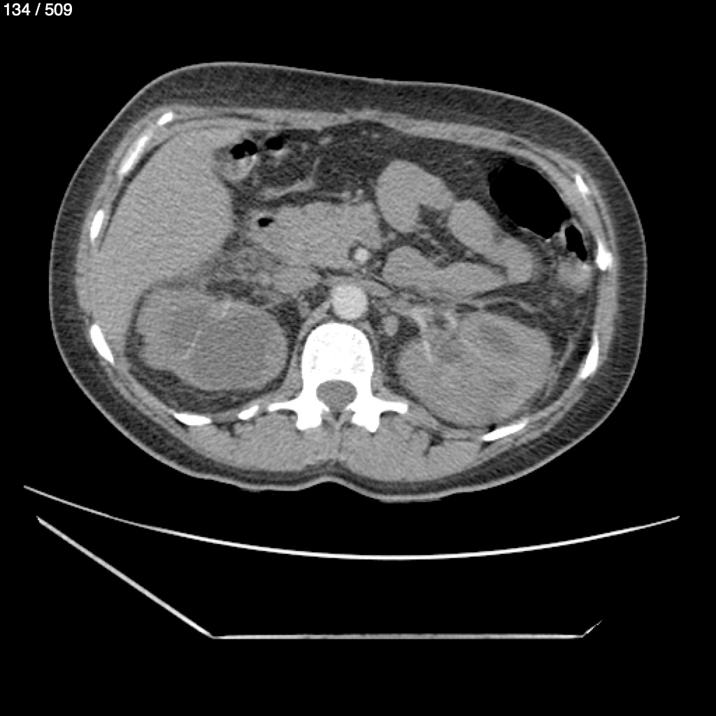
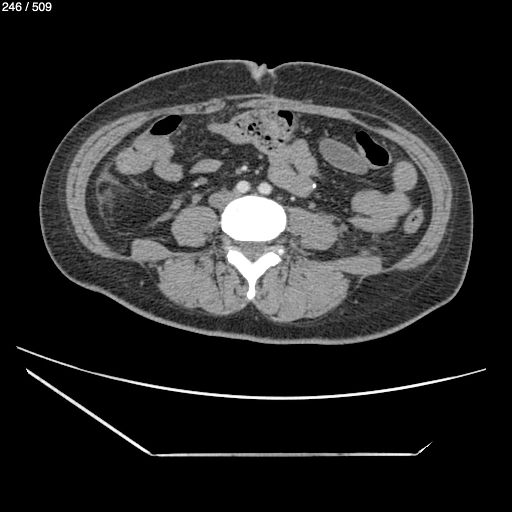
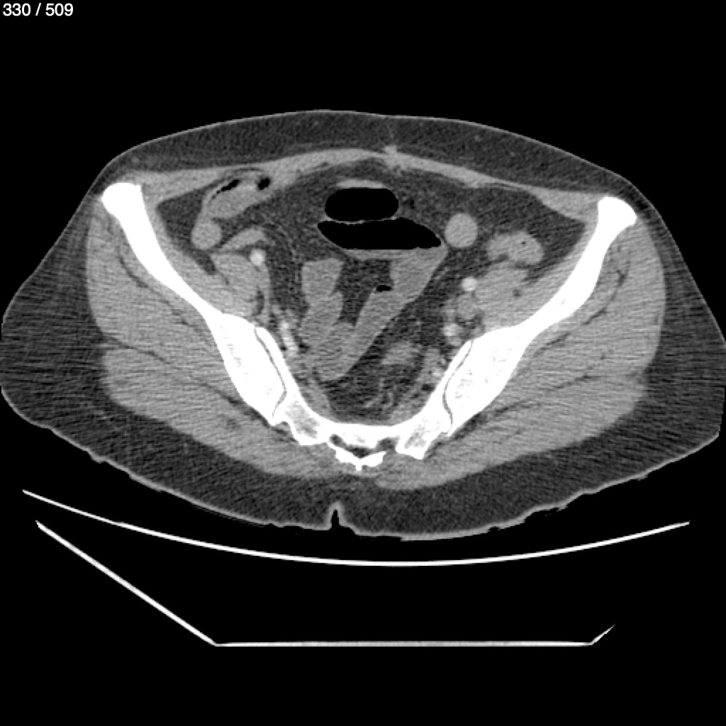
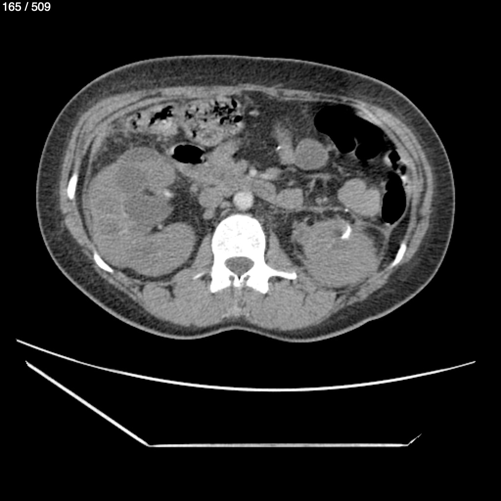
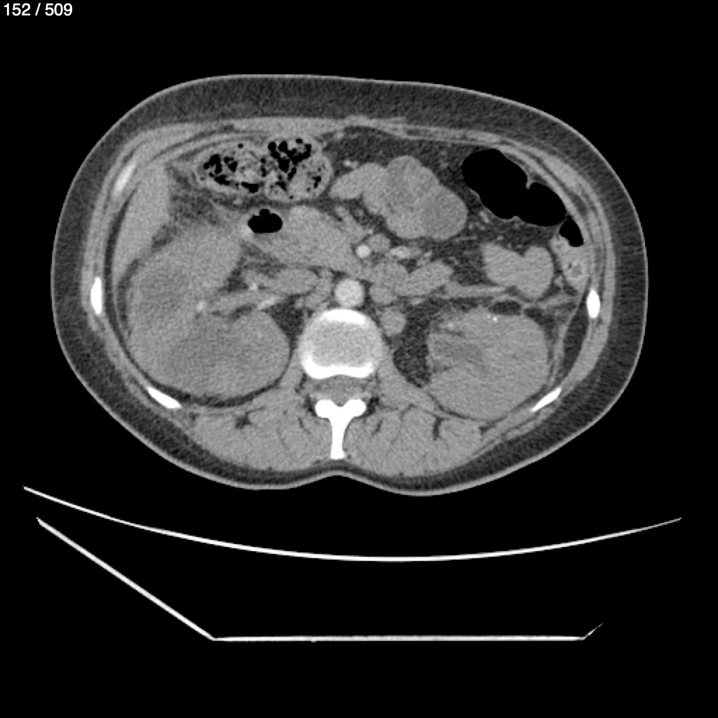
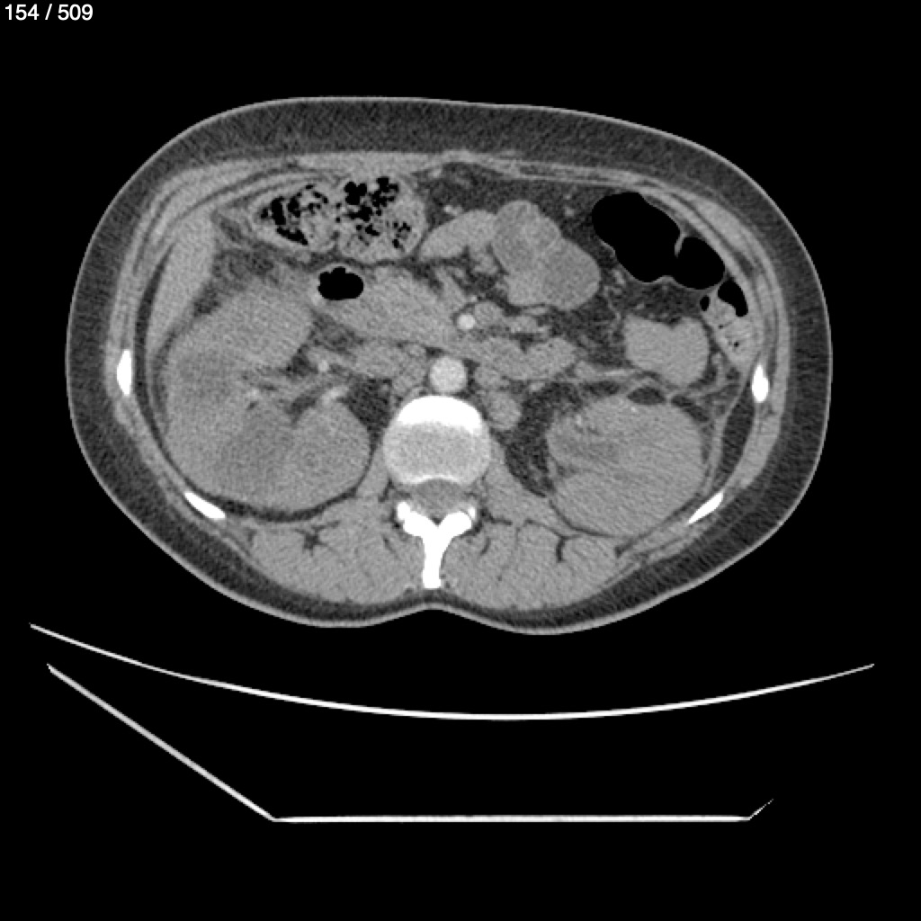
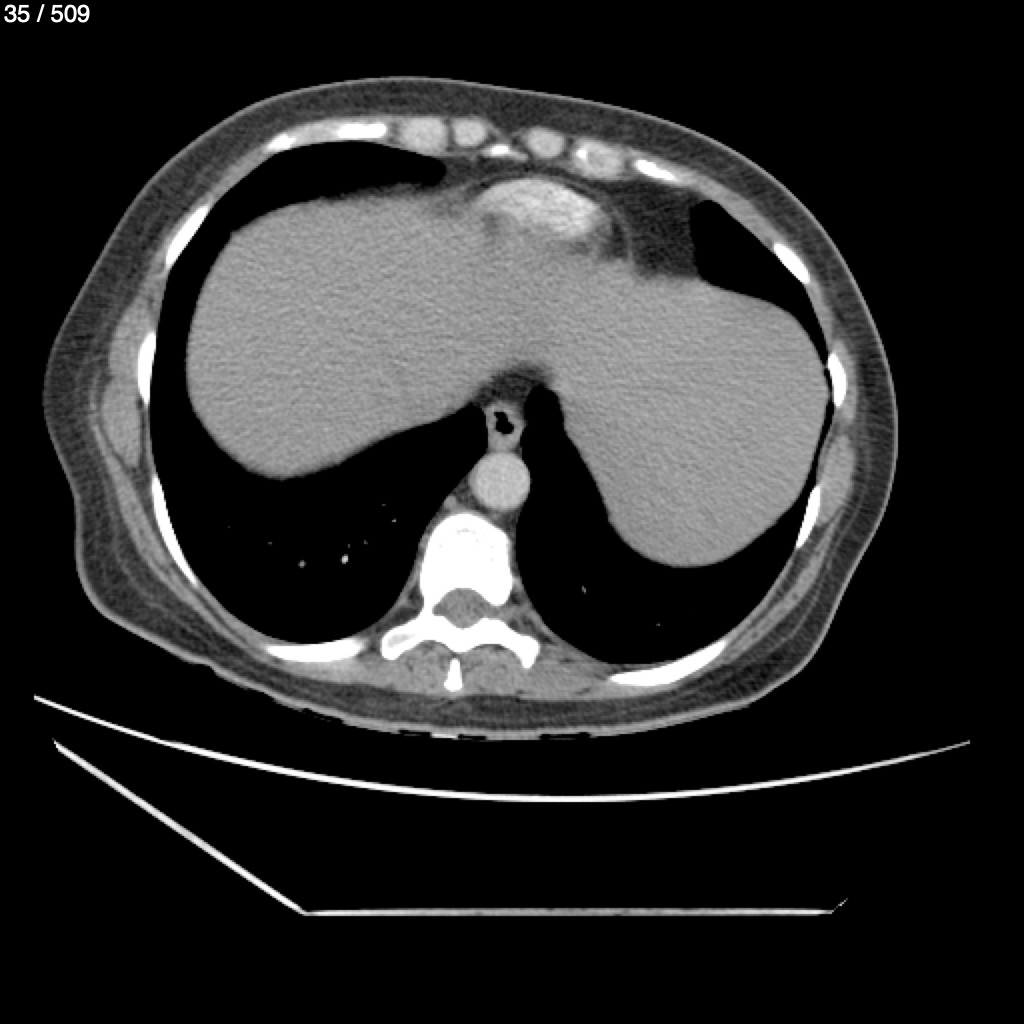
Adriana Cigarroa Palomeque 48 - Urotac
Previous Series
Next Series
Show as Sequence