HUIXTLA
ESCUINTLA
AKISHINO
AKISHINO2 USG
ESPECIALIDADES
Home
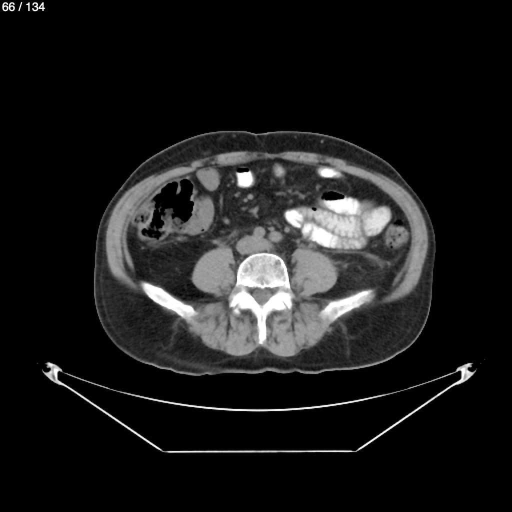
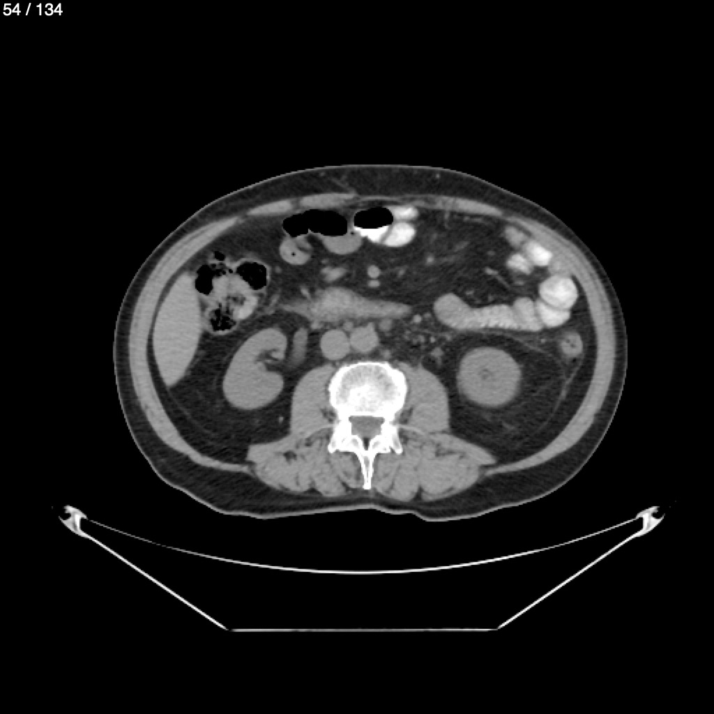
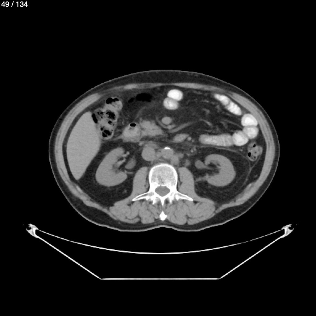
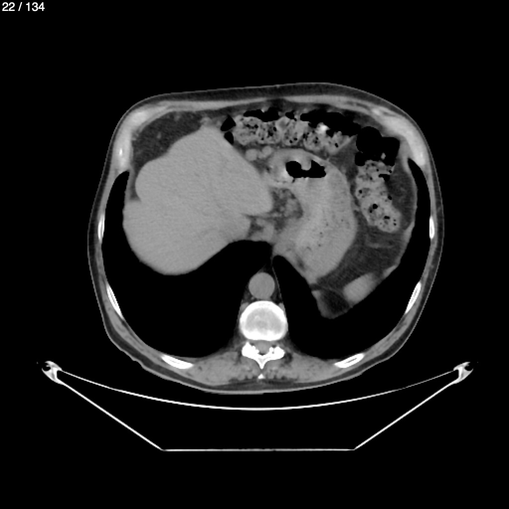
Abel Campuzano Sanchez 69A - E+1 T.C Abdomen Syc
Next Series
Show as Sequence