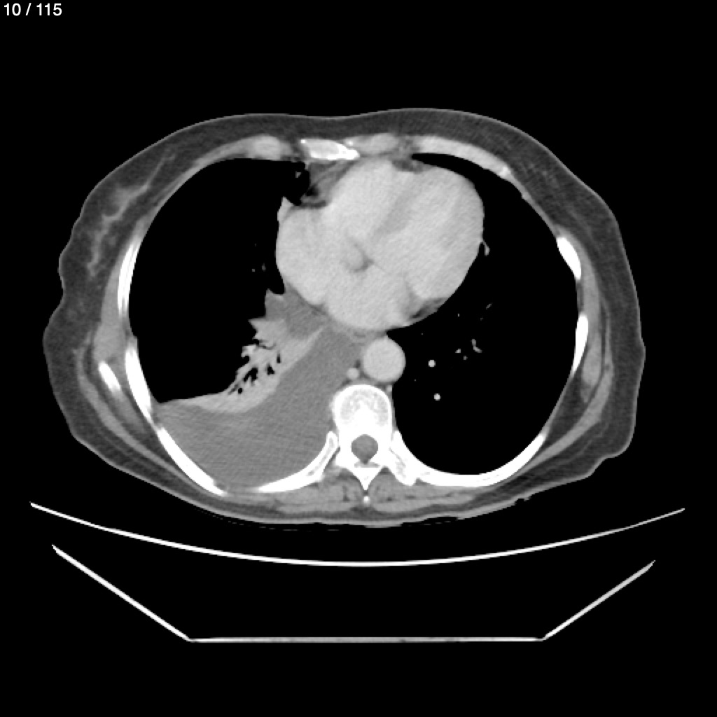
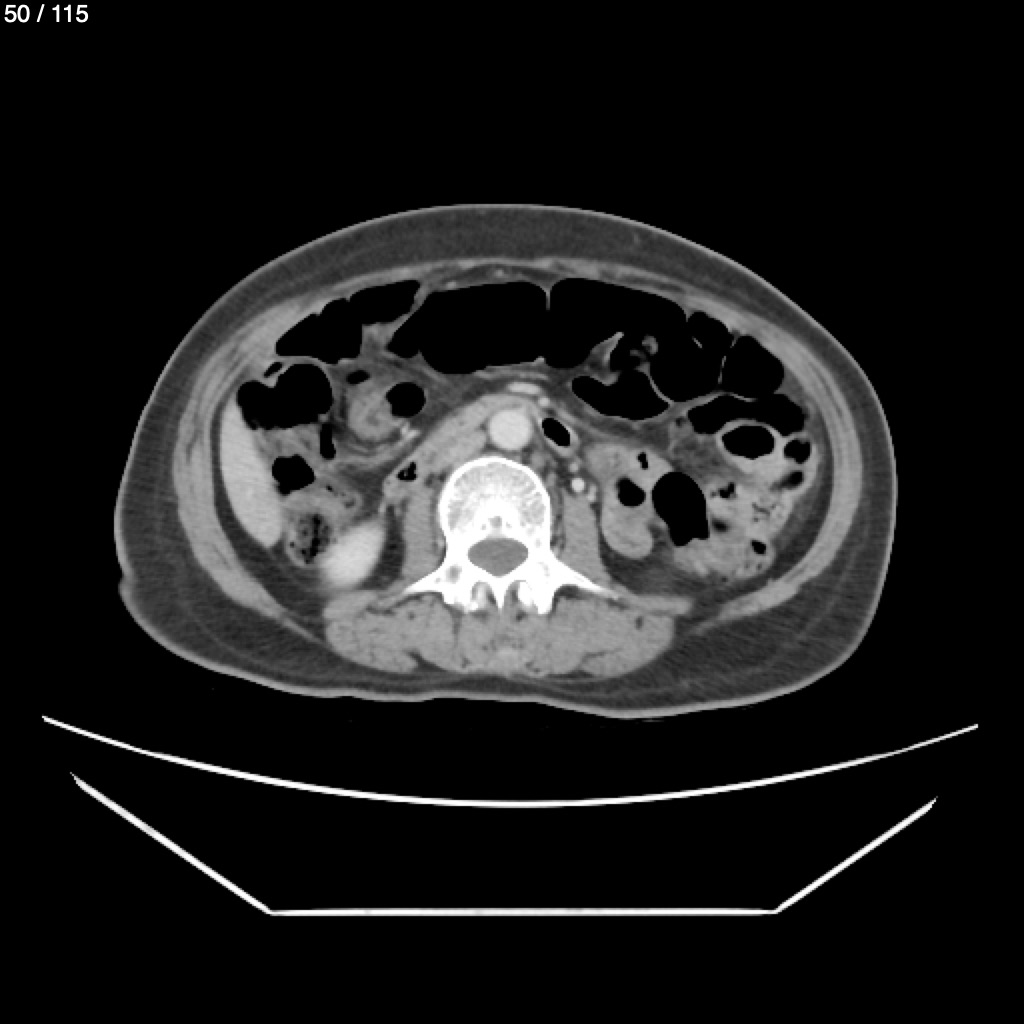
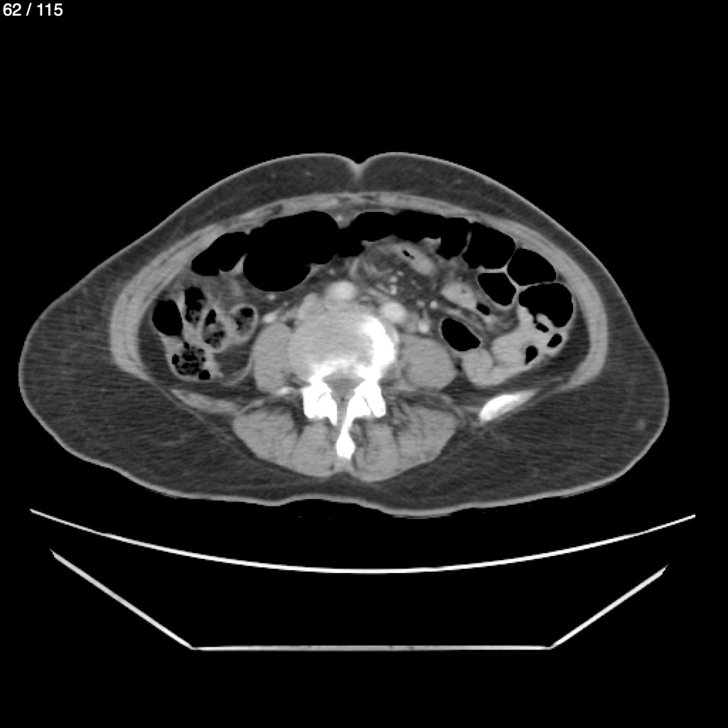
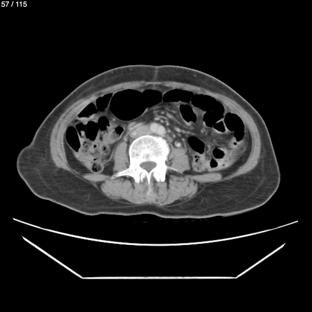
Home A​l​i​c​i​a​ ​C​o​n​c​e​p​c​i​o​n​ ​V​e​l​a​z​q​u​e​z​ ​V​.​ ​-​ ​T​.​C​ ​A​b​d​o​m​e​n​ ​S​y​c