HUIXTLA
ESCUINTLA
AKISHINO
AKISHINO2 USG
ESPECIALIDADES
Home
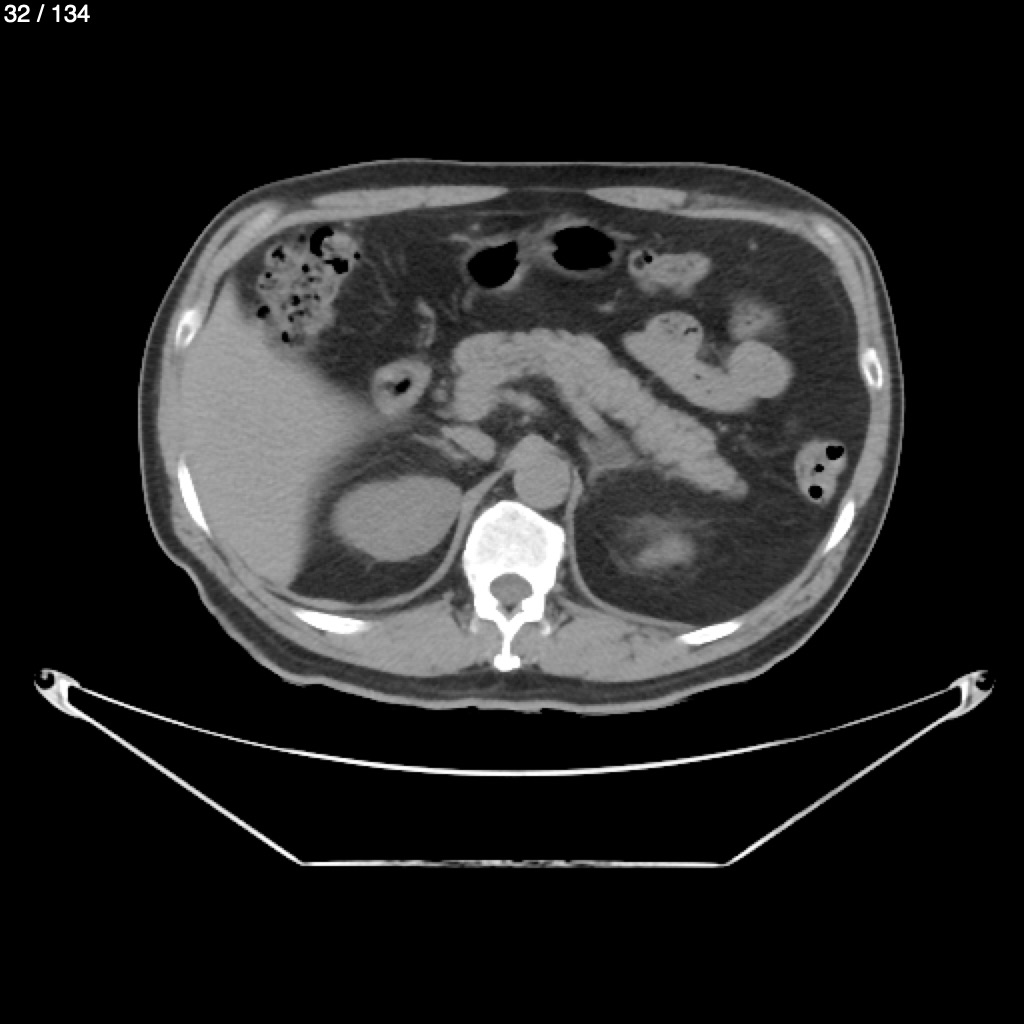
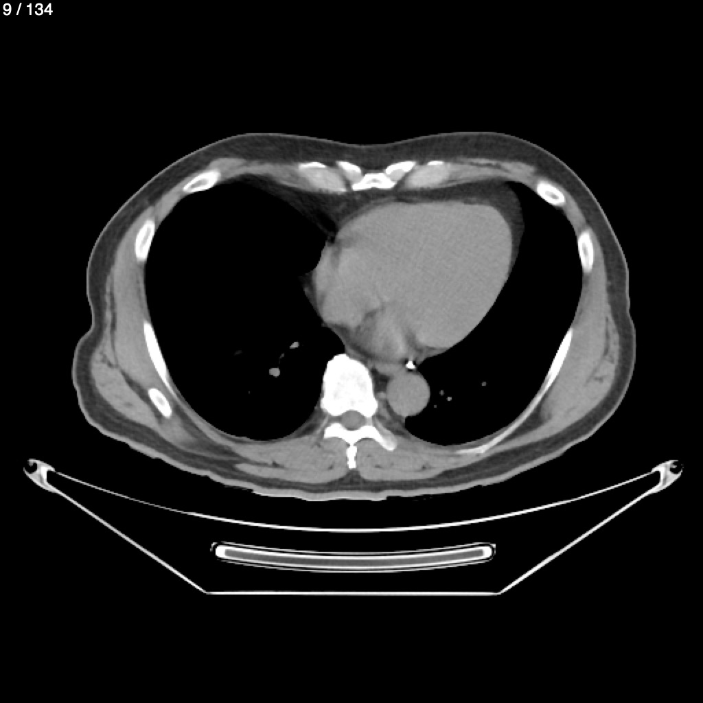
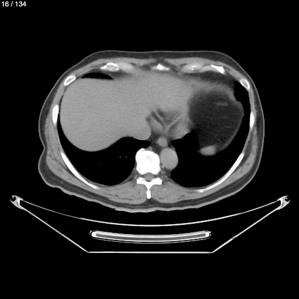
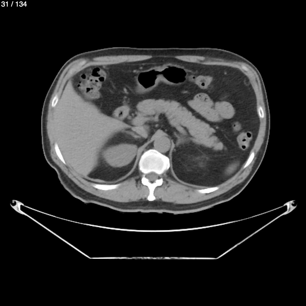
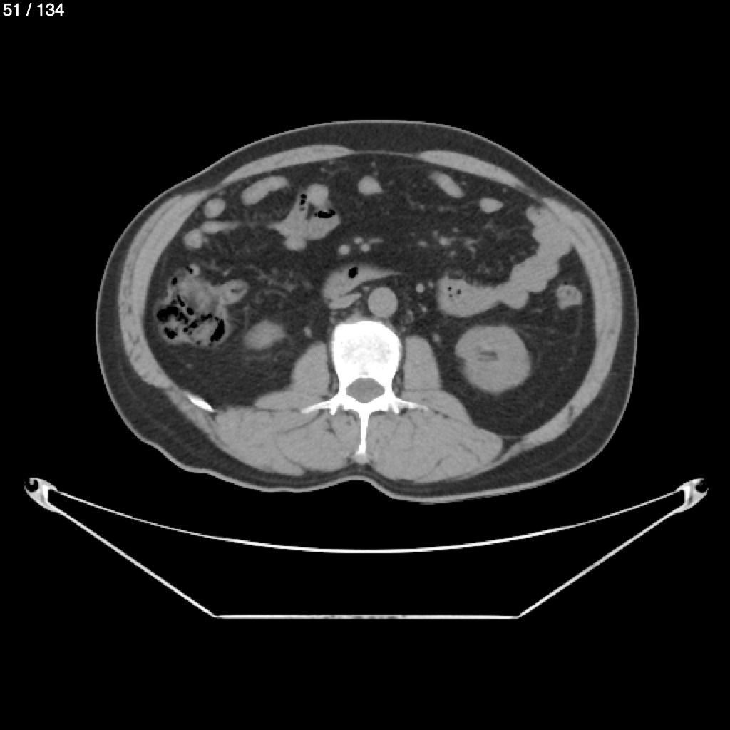
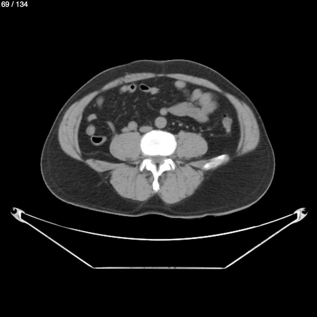
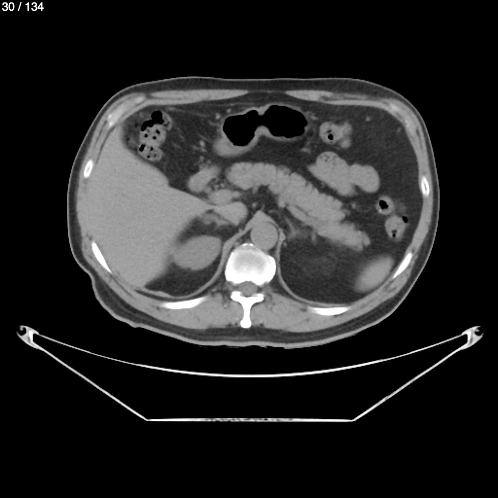
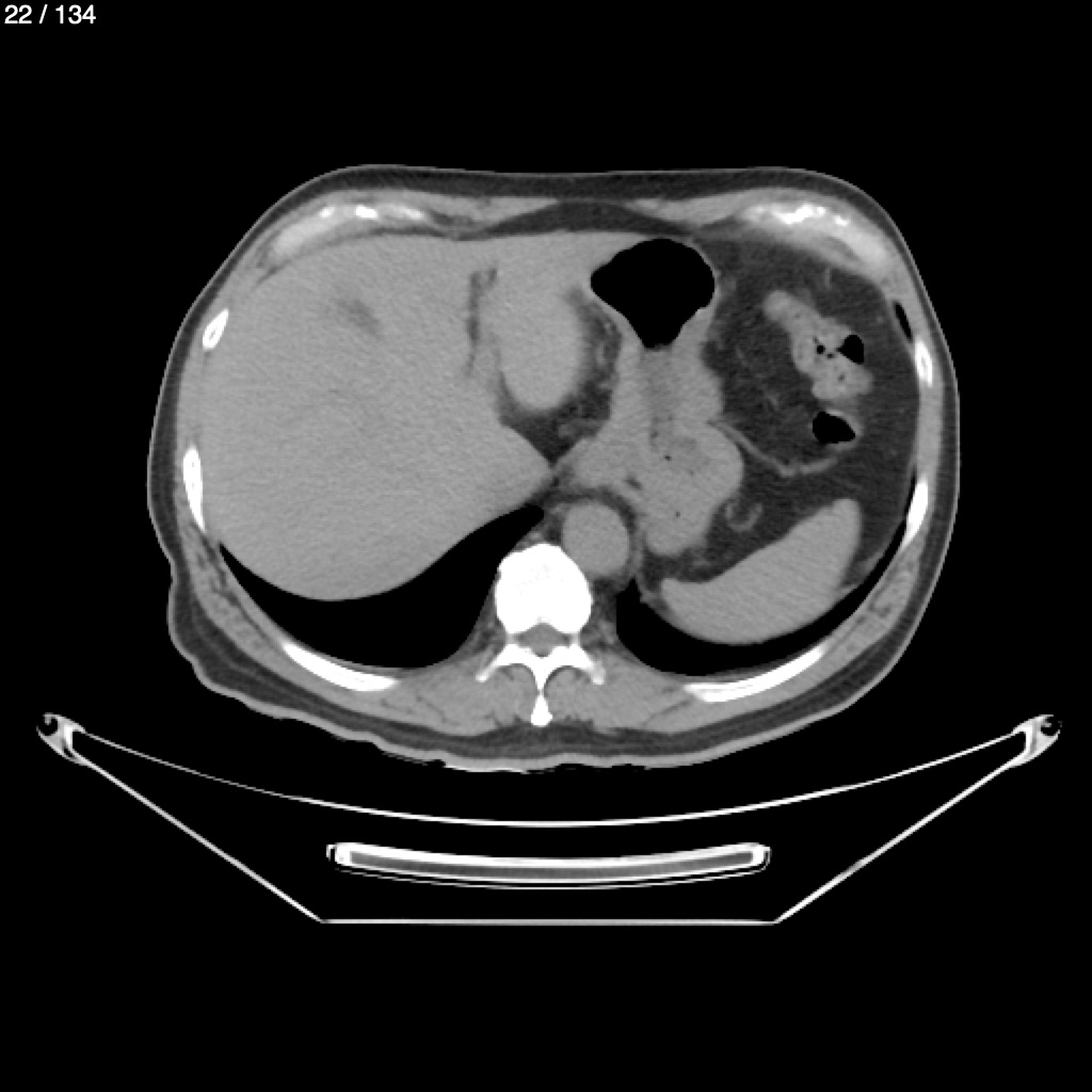
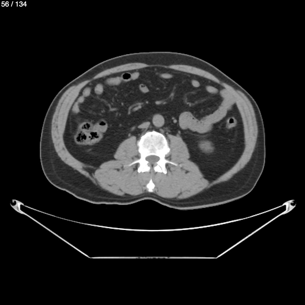
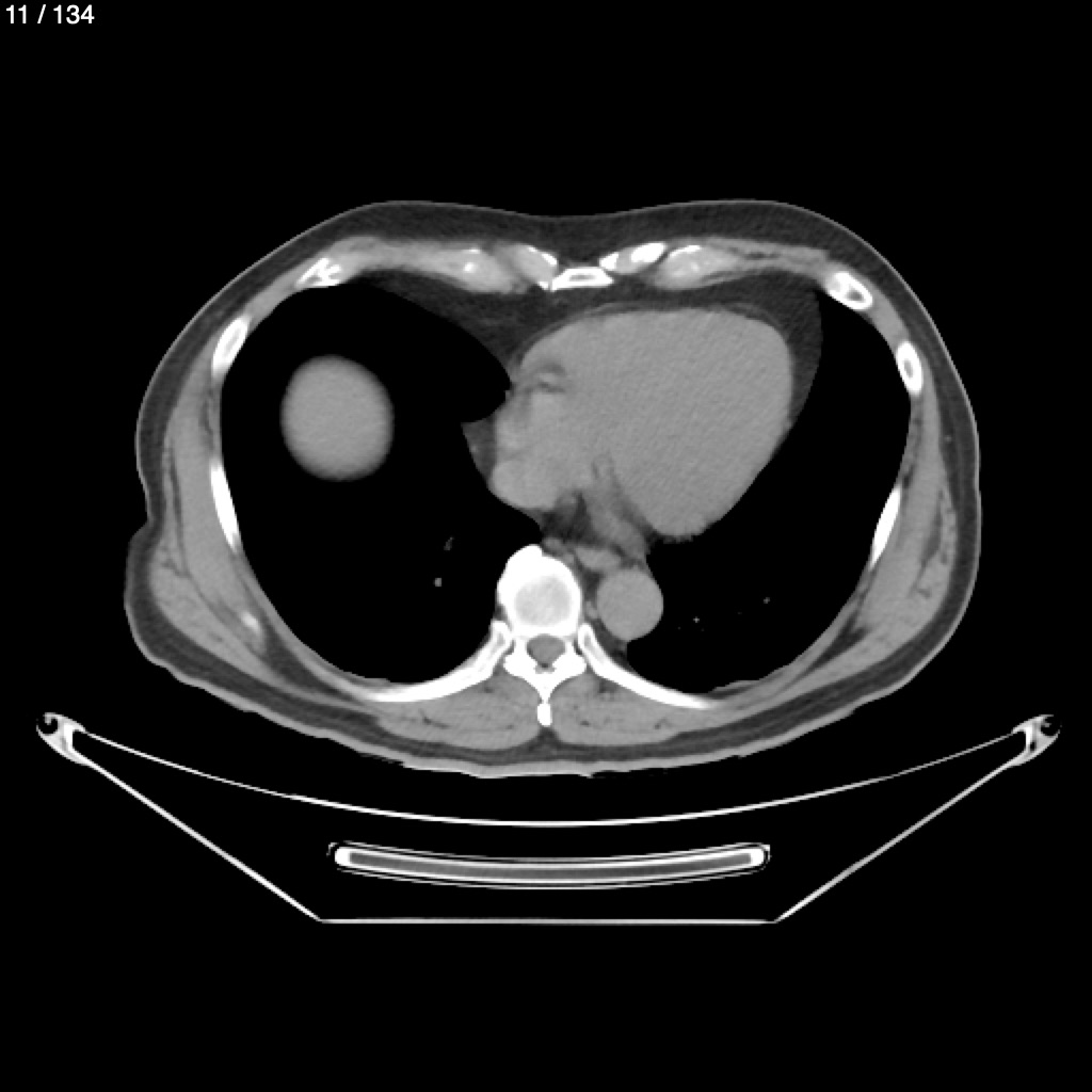
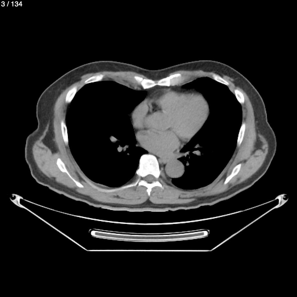
Rafael Gamboa Garcia 63A - T.C Abdomen S
Next Series
Show as Sequence