HUIXTLA
ESCUINTLA
AKISHINO
AKISHINO2 USG
ESPECIALIDADES
Home
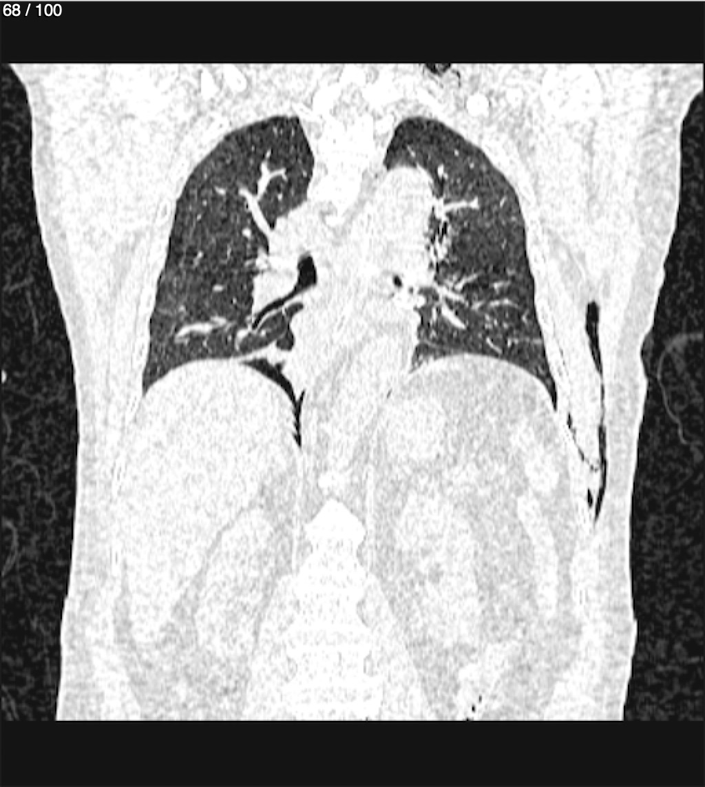
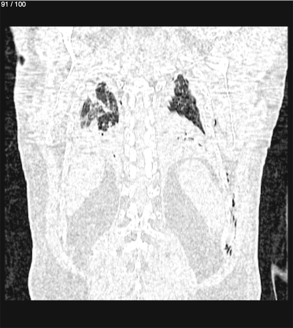
Juventino Mendez Gomez 77A - E+1 Tac Torax Simple
Previous Series
Next Series
Show as Sequence