HUIXTLA
ESCUINTLA
AKISHINO
AKISHINO2 USG
ESPECIALIDADES
Home
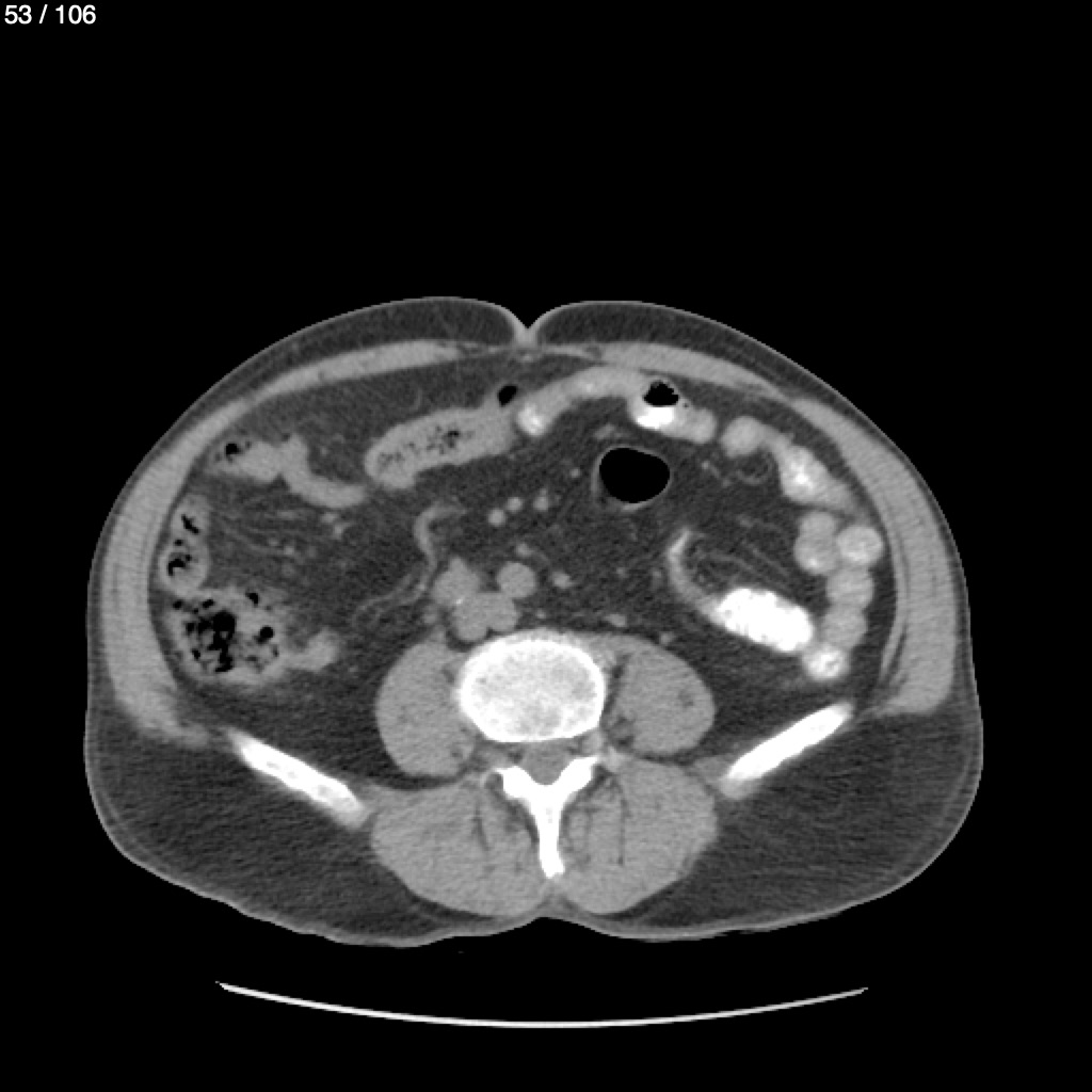
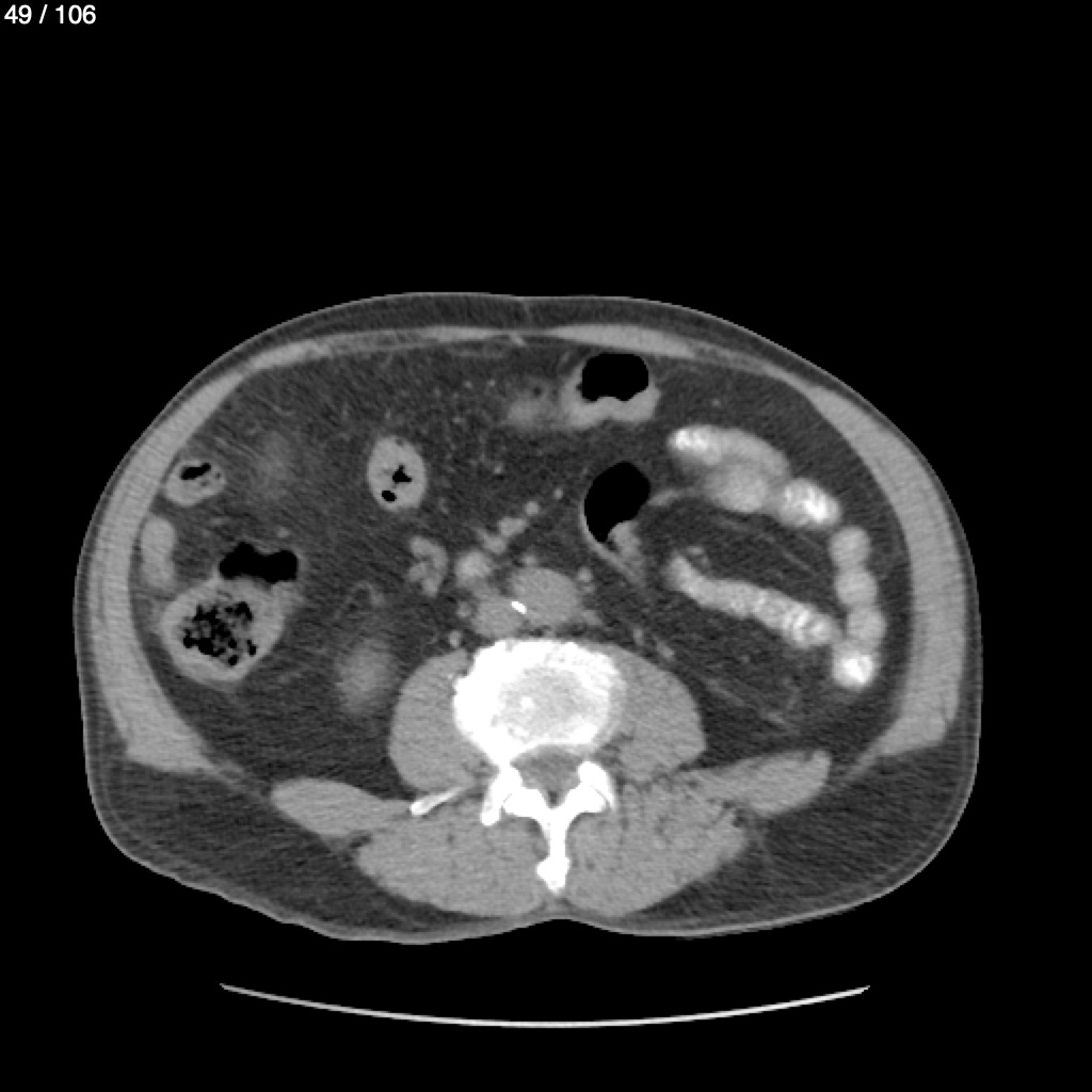
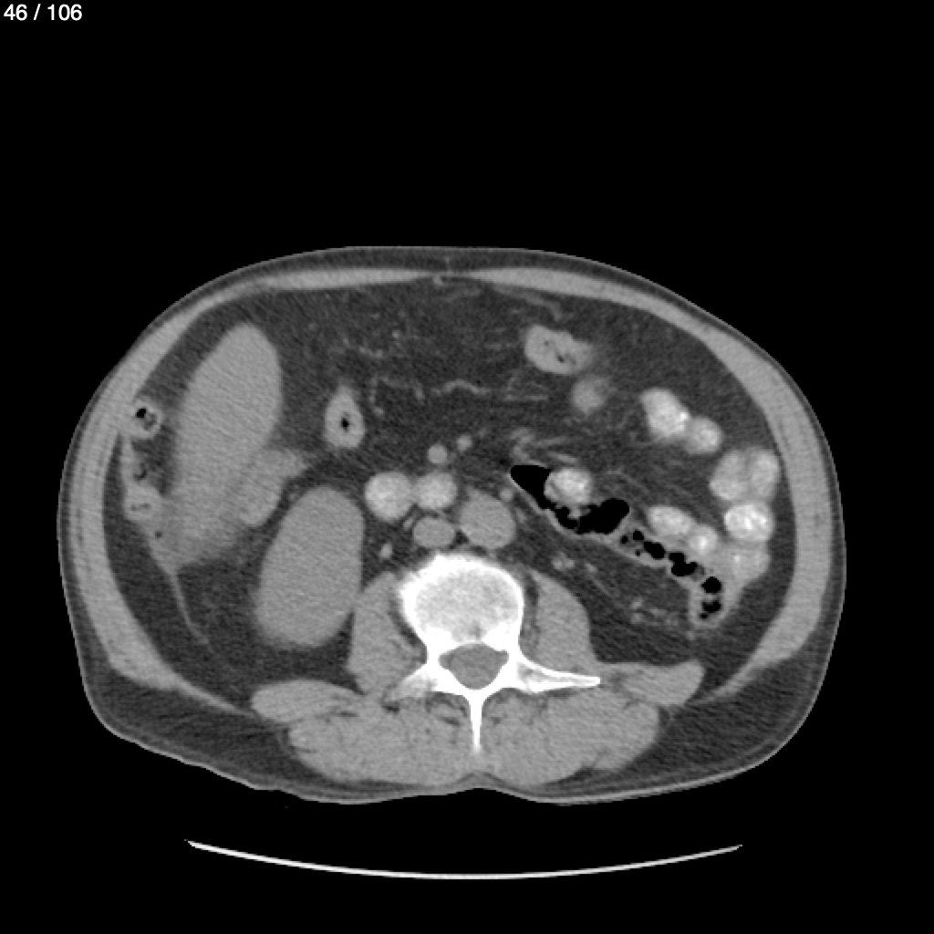
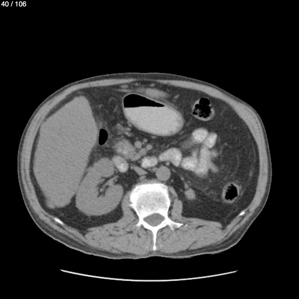
Abinael Perez Martinez 67A - T.C Abdomen Syc
Next Series
Show as Sequence