HUIXTLA
ESCUINTLA
AKISHINO
AKISHINO2 USG
ESPECIALIDADES
Home
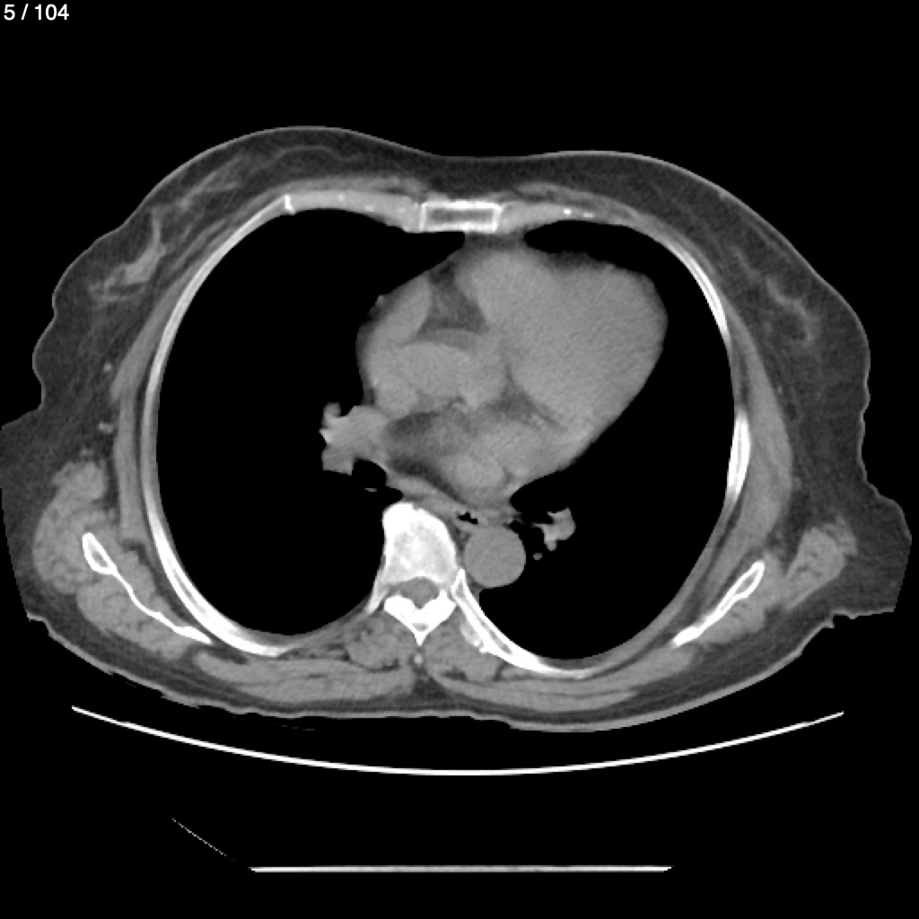
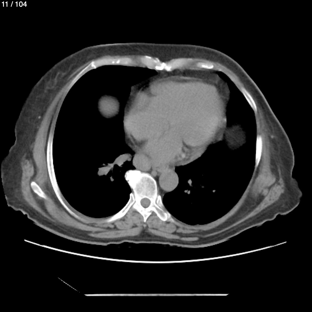
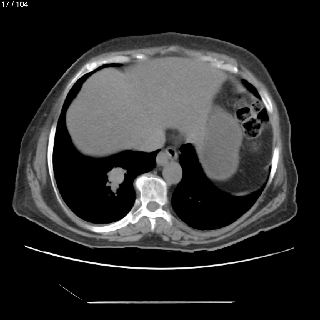
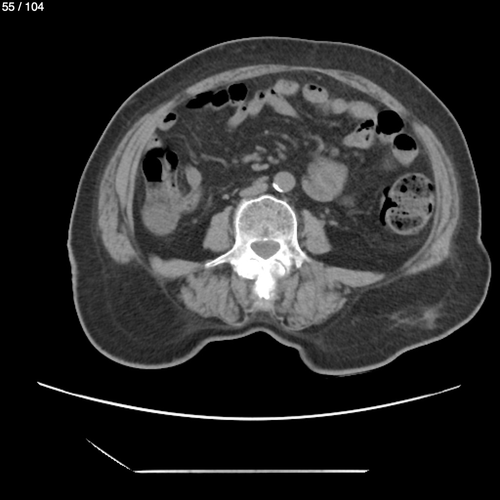
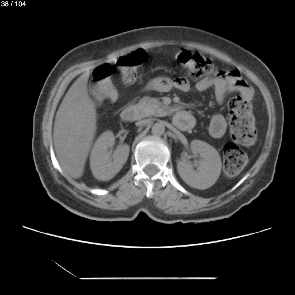
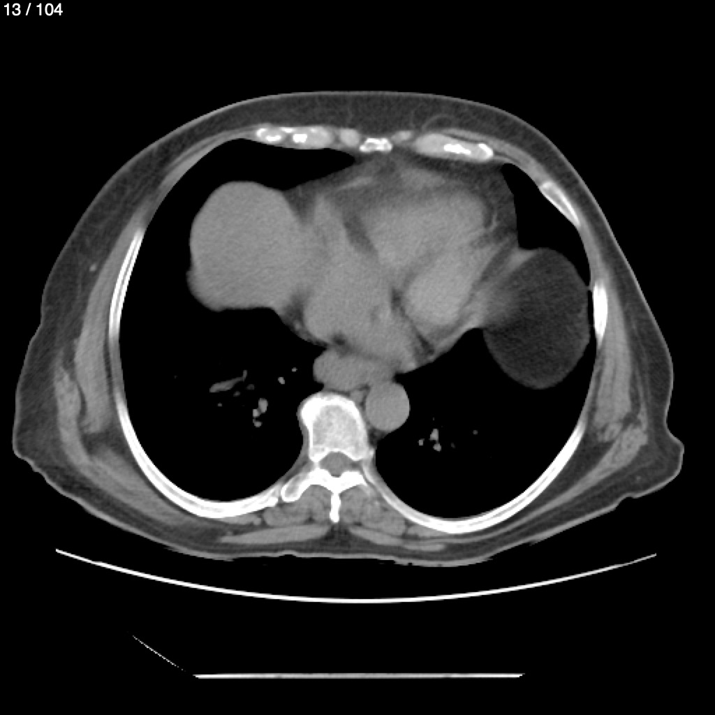
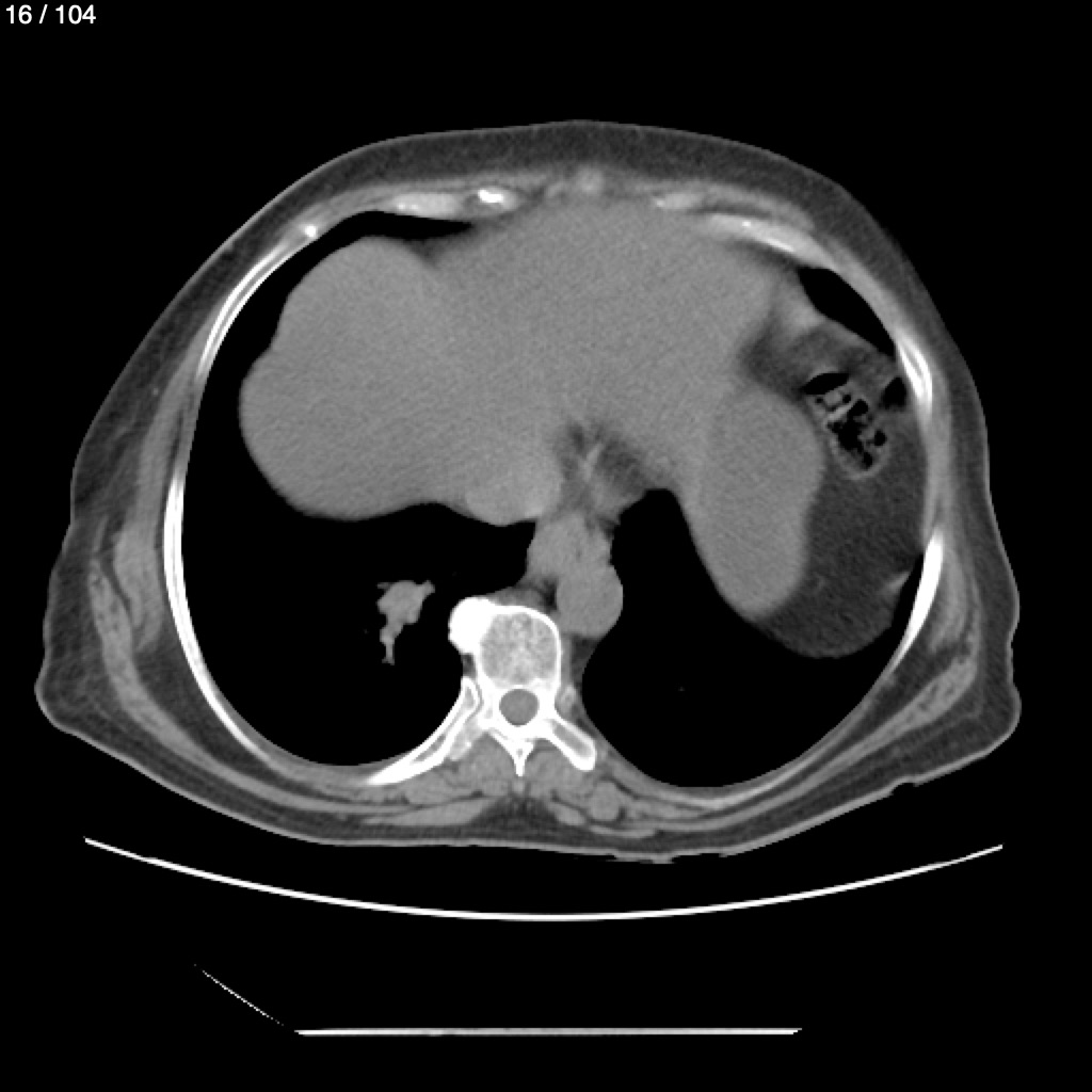
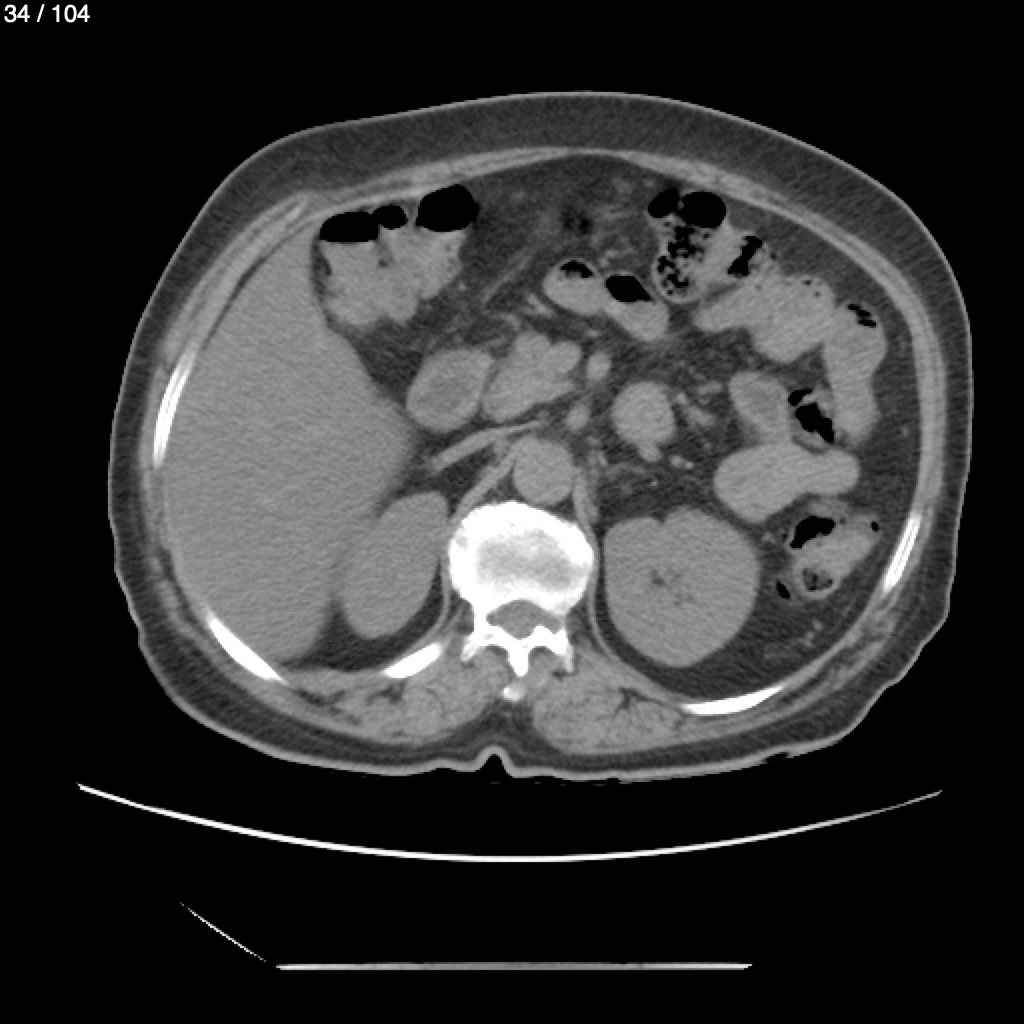
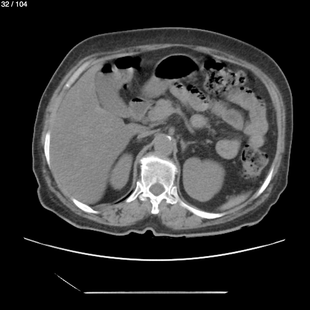
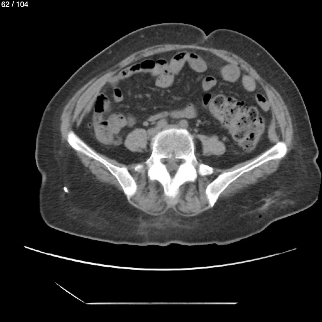
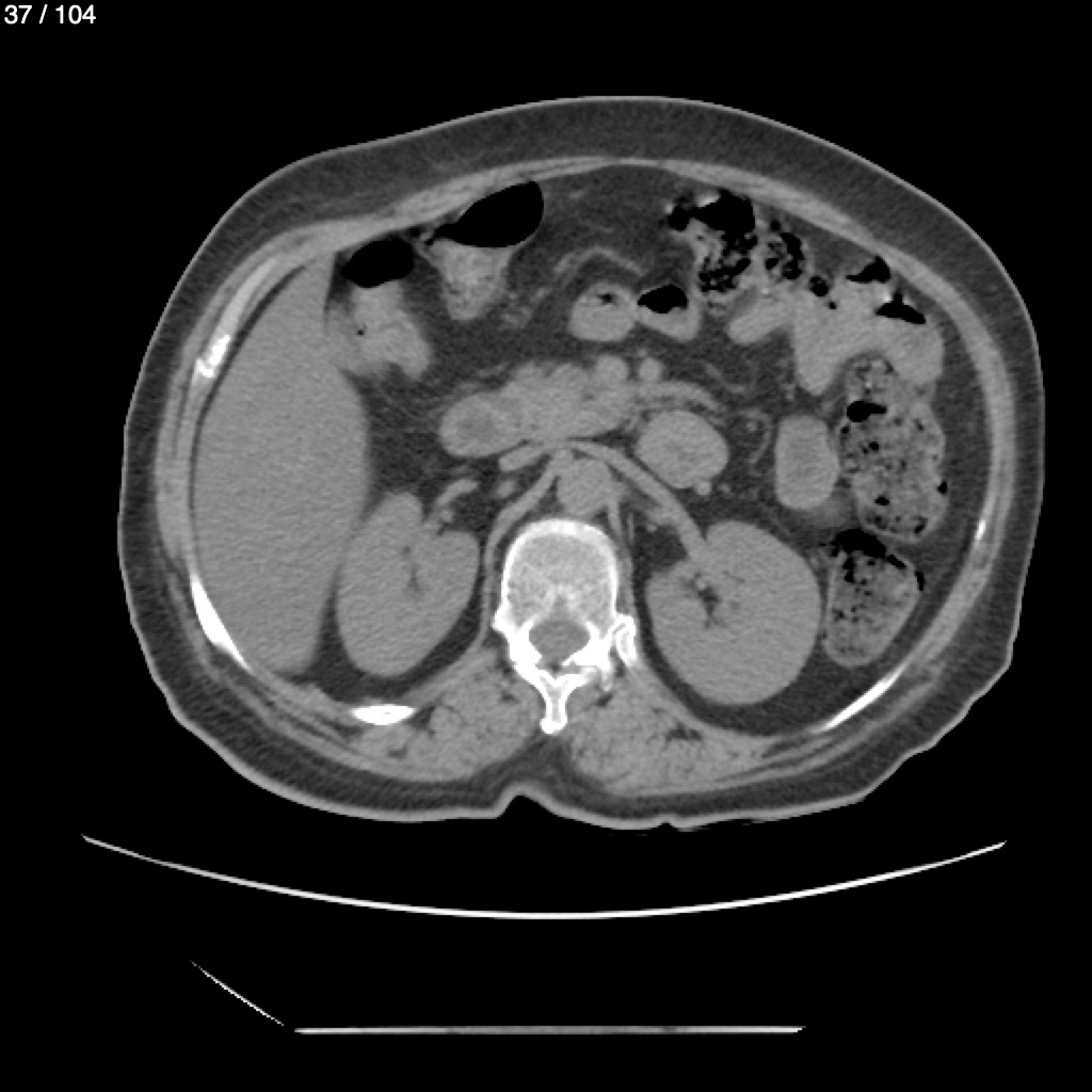
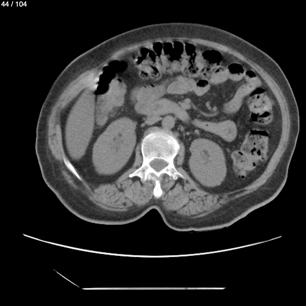
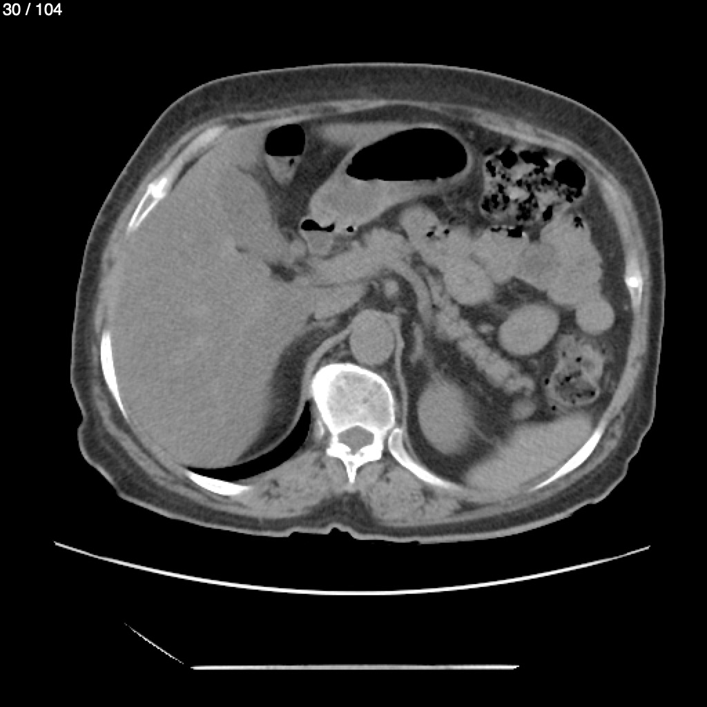
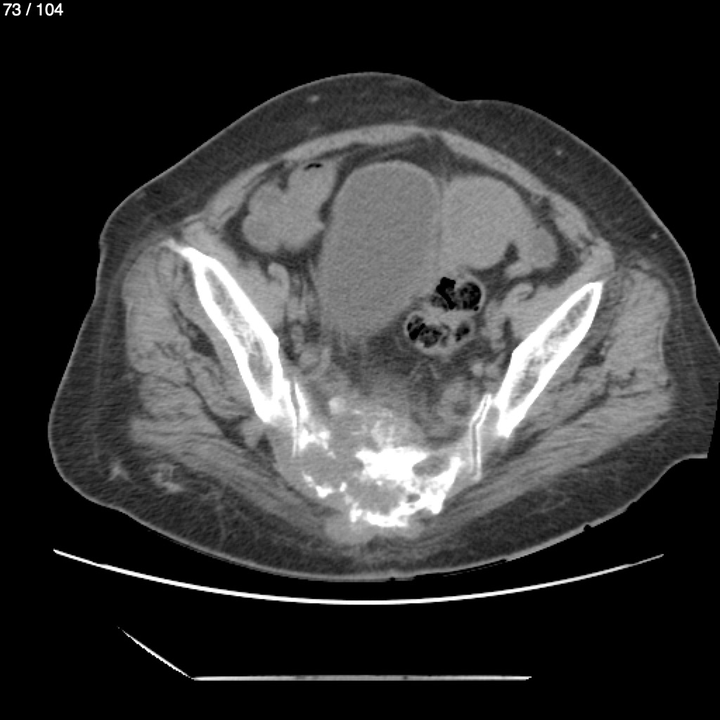
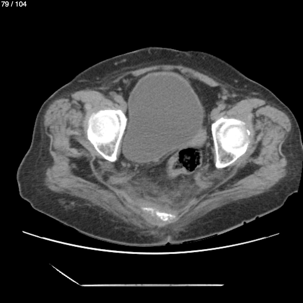
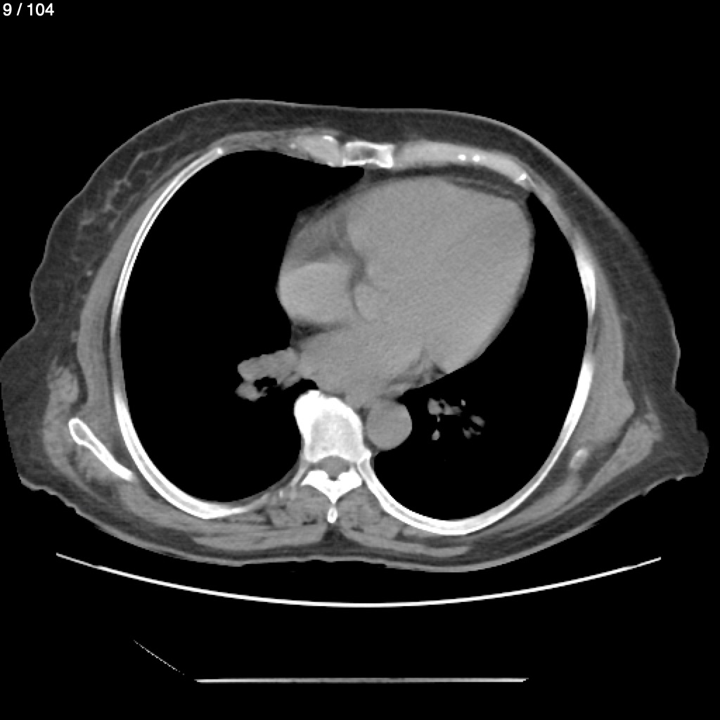
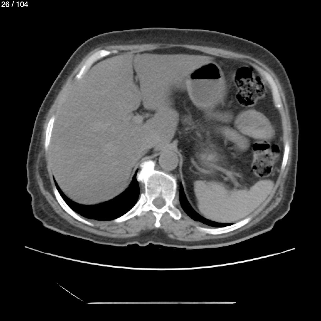
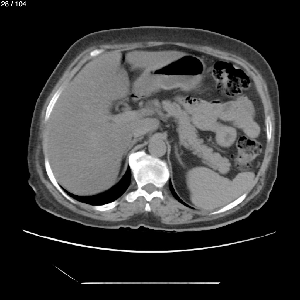
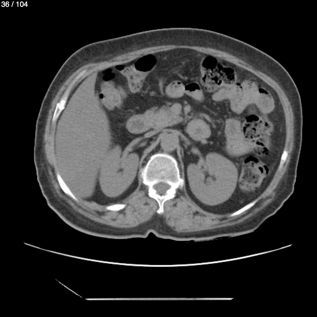
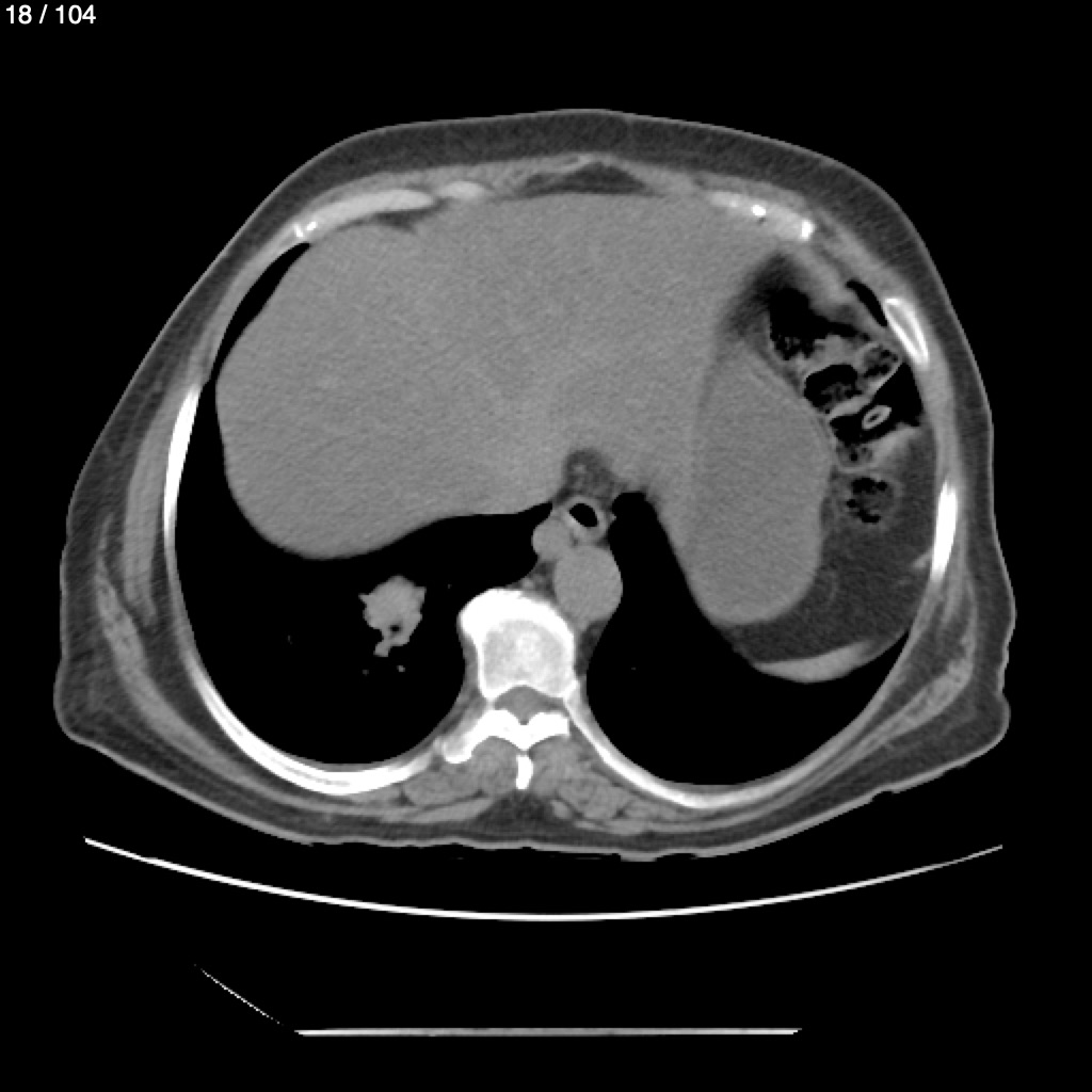
Ana Maria Reyna Valdez 61A - T.C Abdomen Syc
Next Series
Show as Sequence