HUIXTLA
ESCUINTLA
AKISHINO
AKISHINO2 USG
ESPECIALIDADES
Home
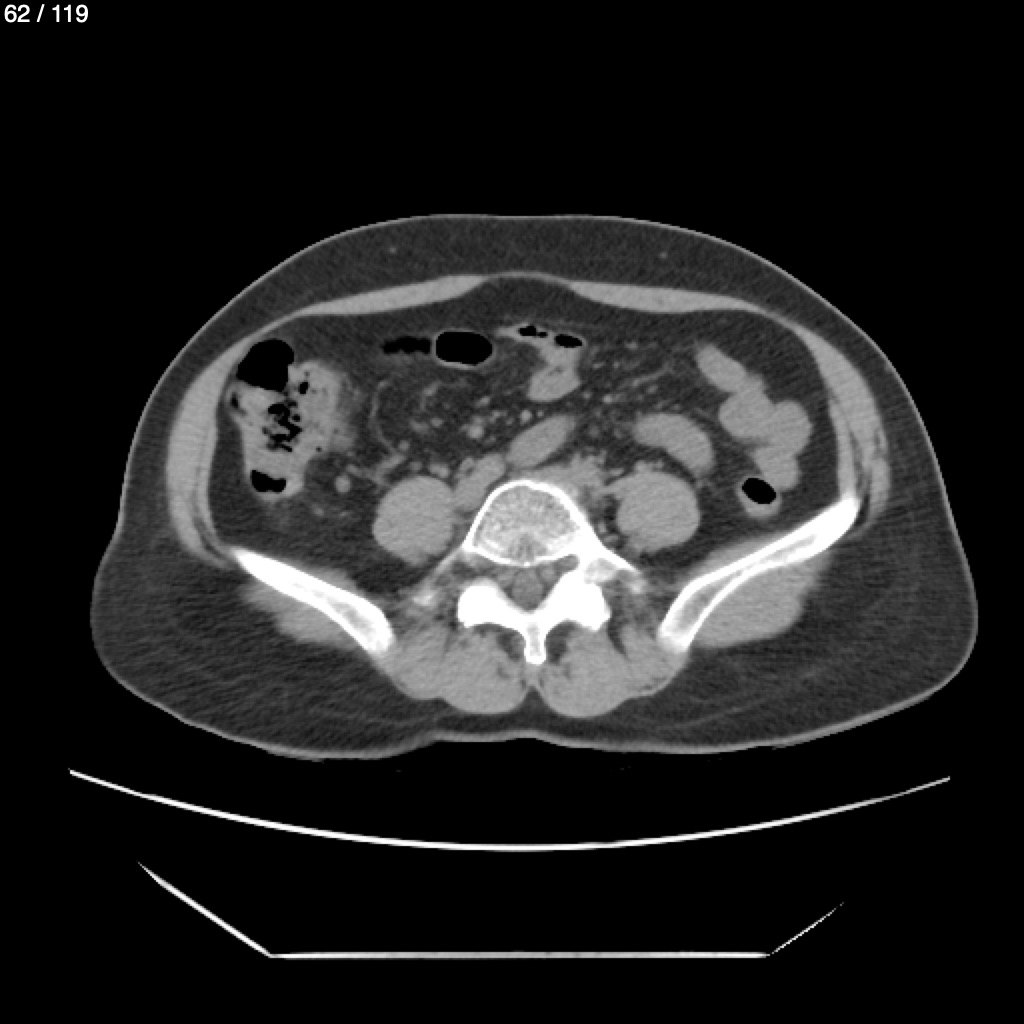
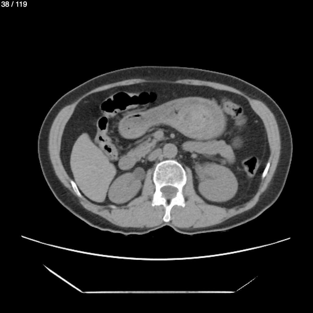
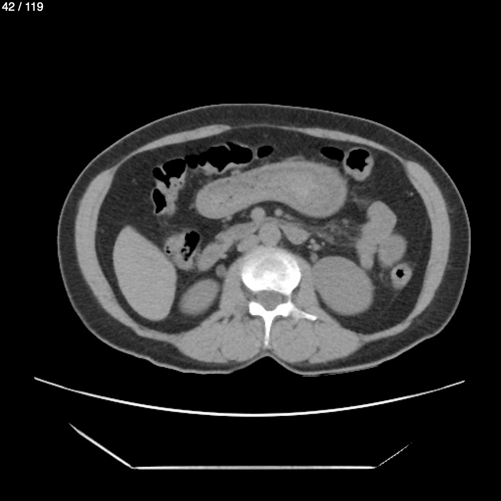
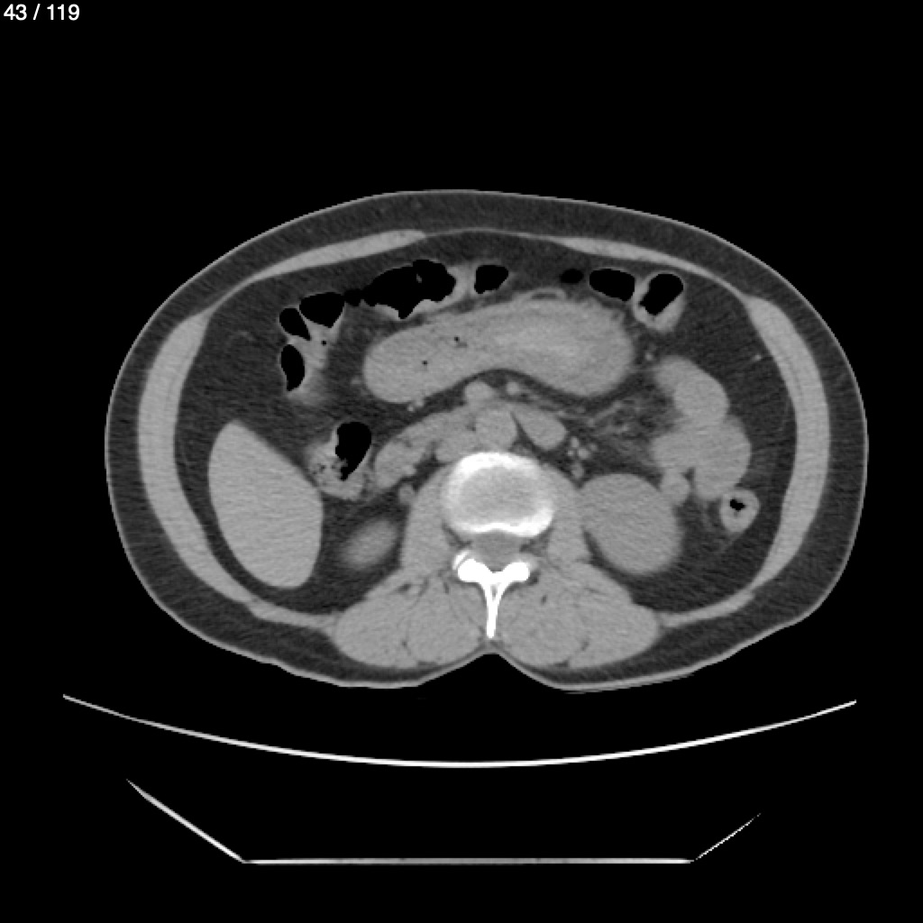
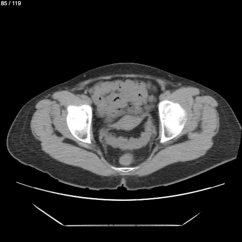
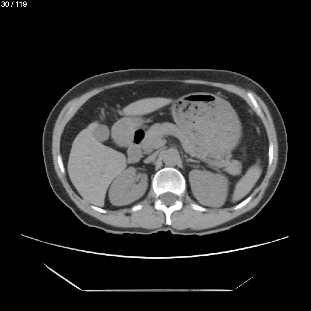
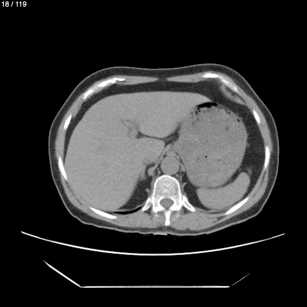
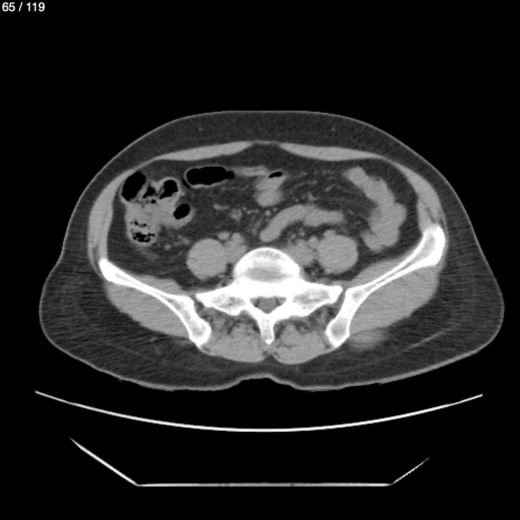
Juana De La Cruz Hernandez 65A - T.C Abdomen Simple
Next Series
Show as Sequence