HUIXTLA
ESCUINTLA
AKISHINO
AKISHINO2 USG
ESPECIALIDADES
Home
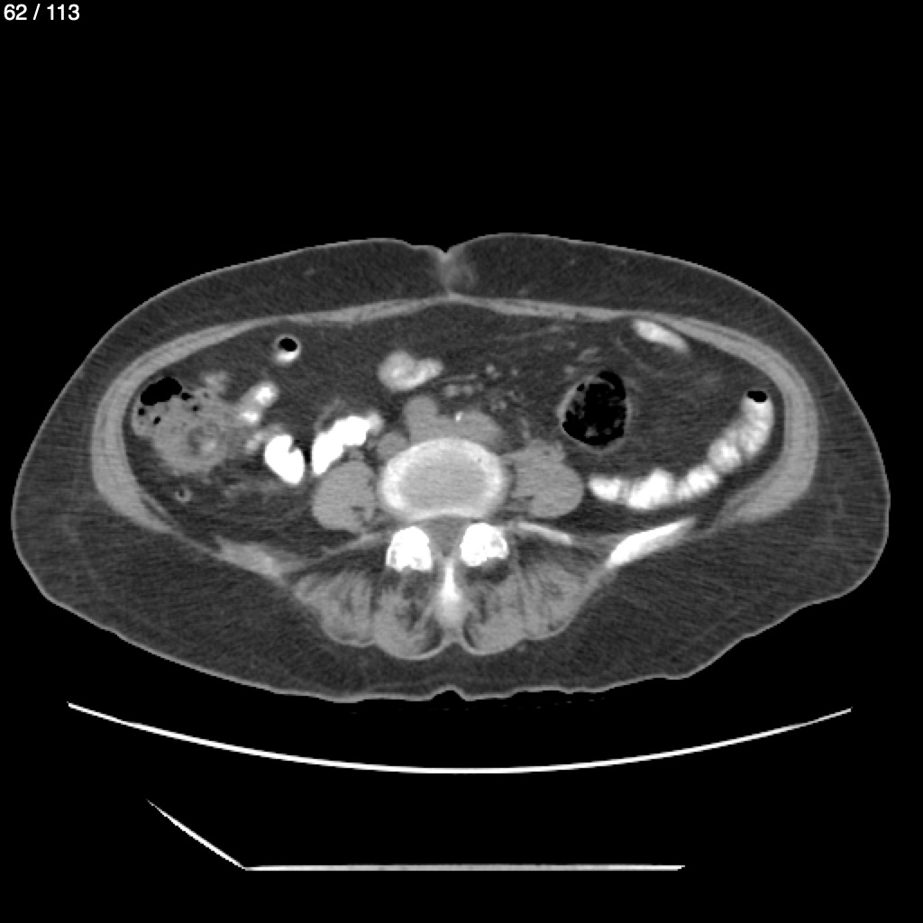
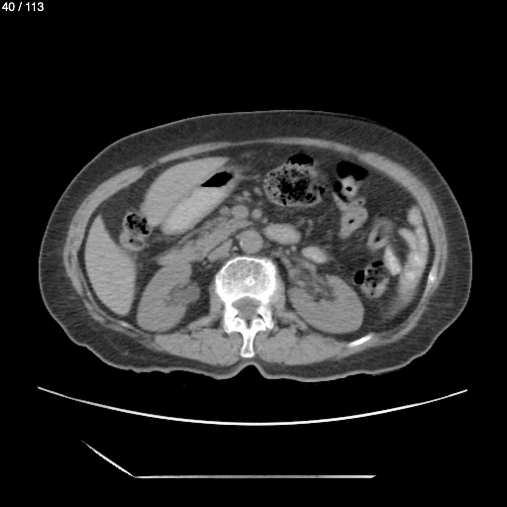
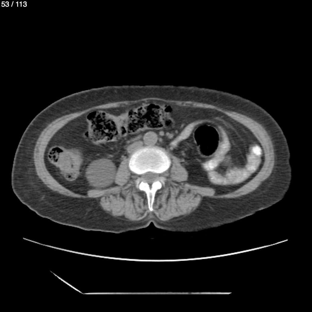
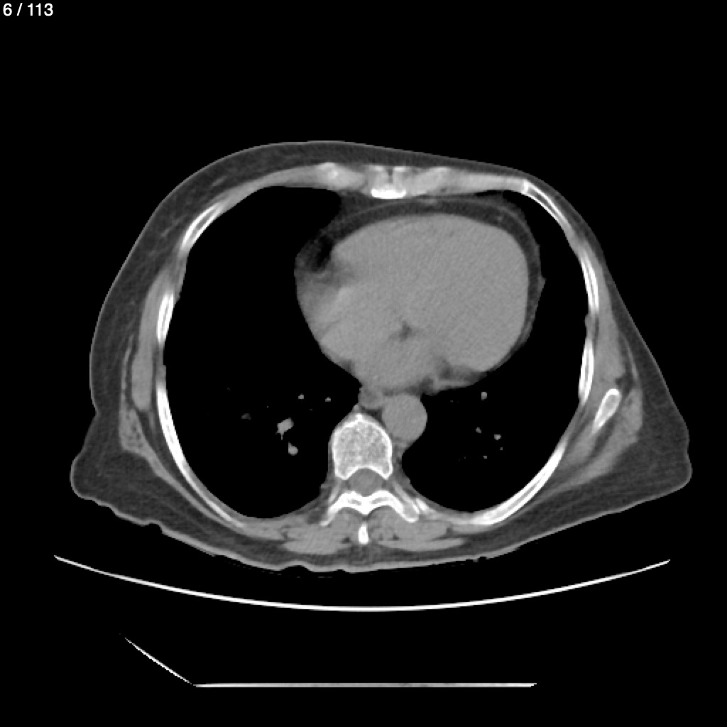
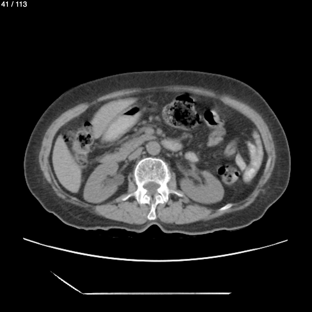
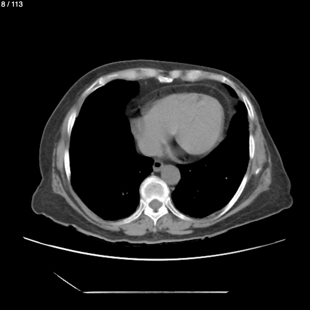
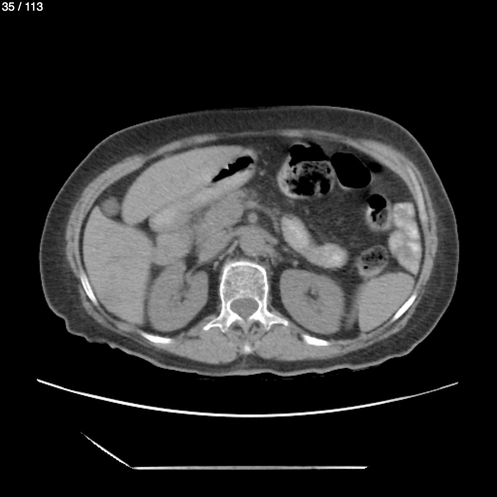
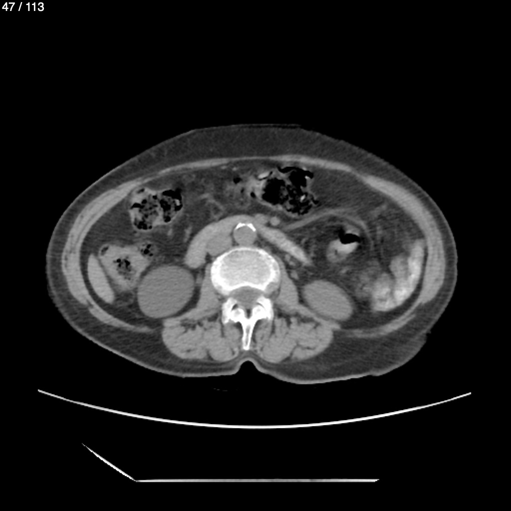
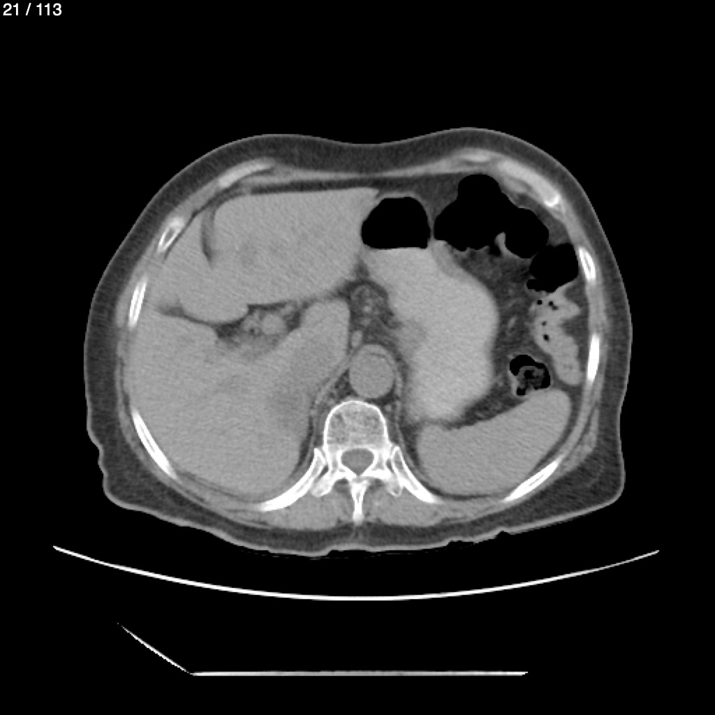
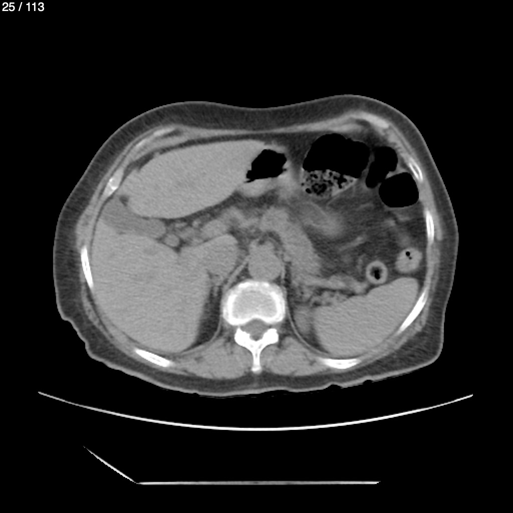
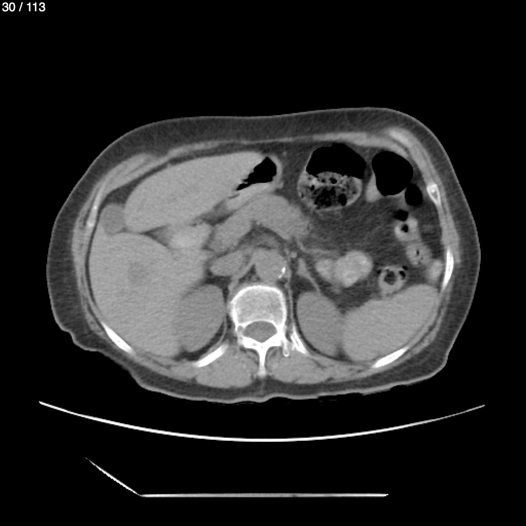
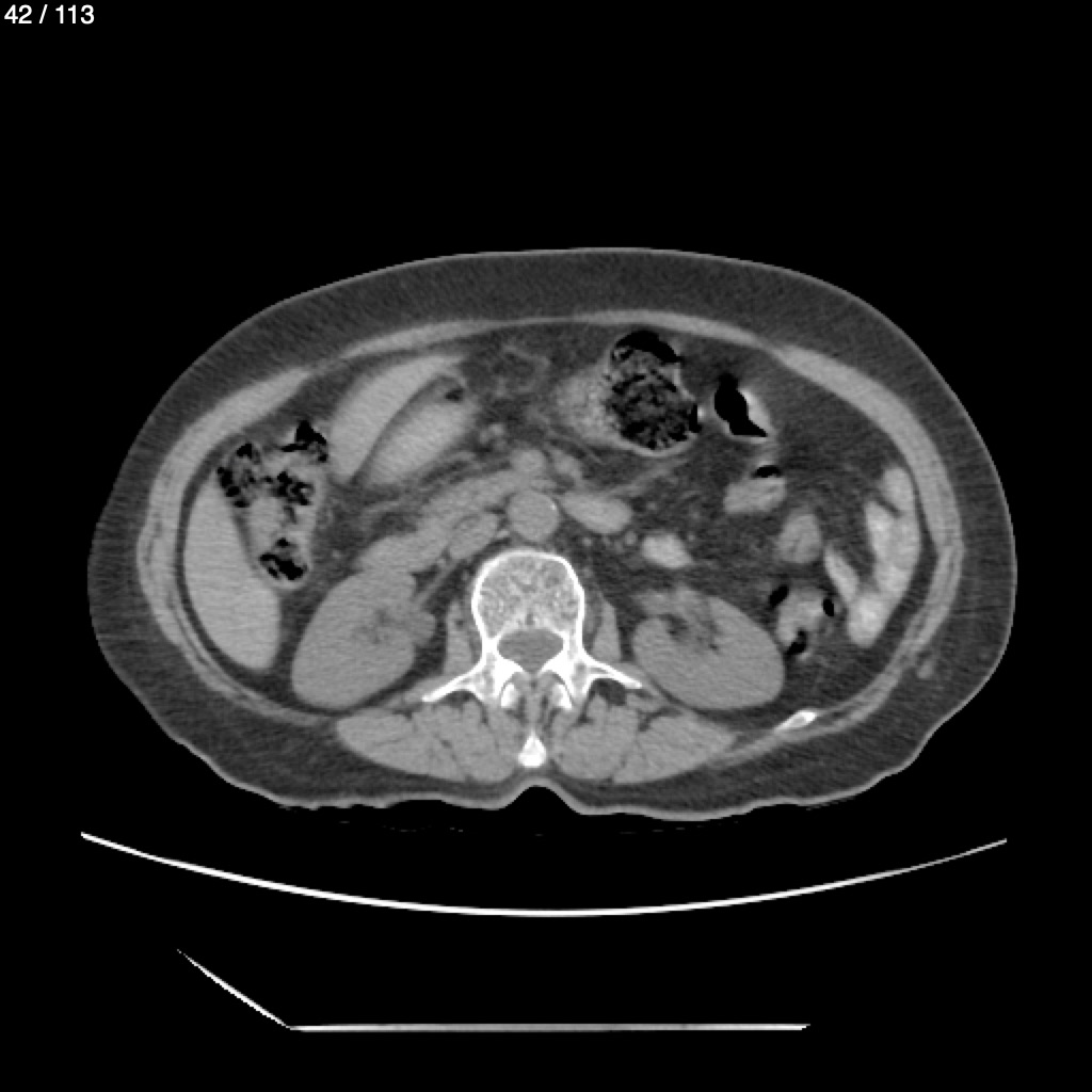
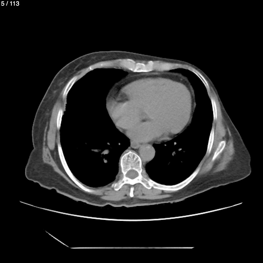
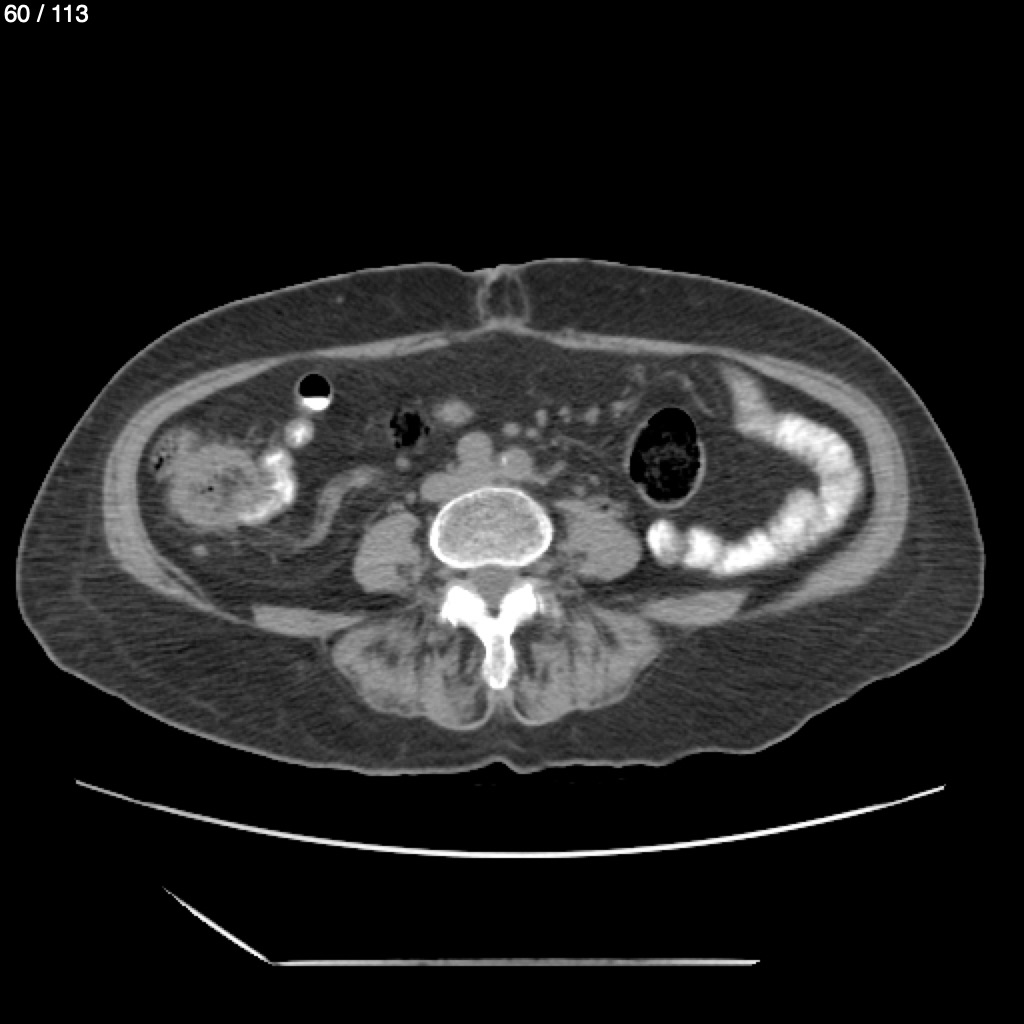
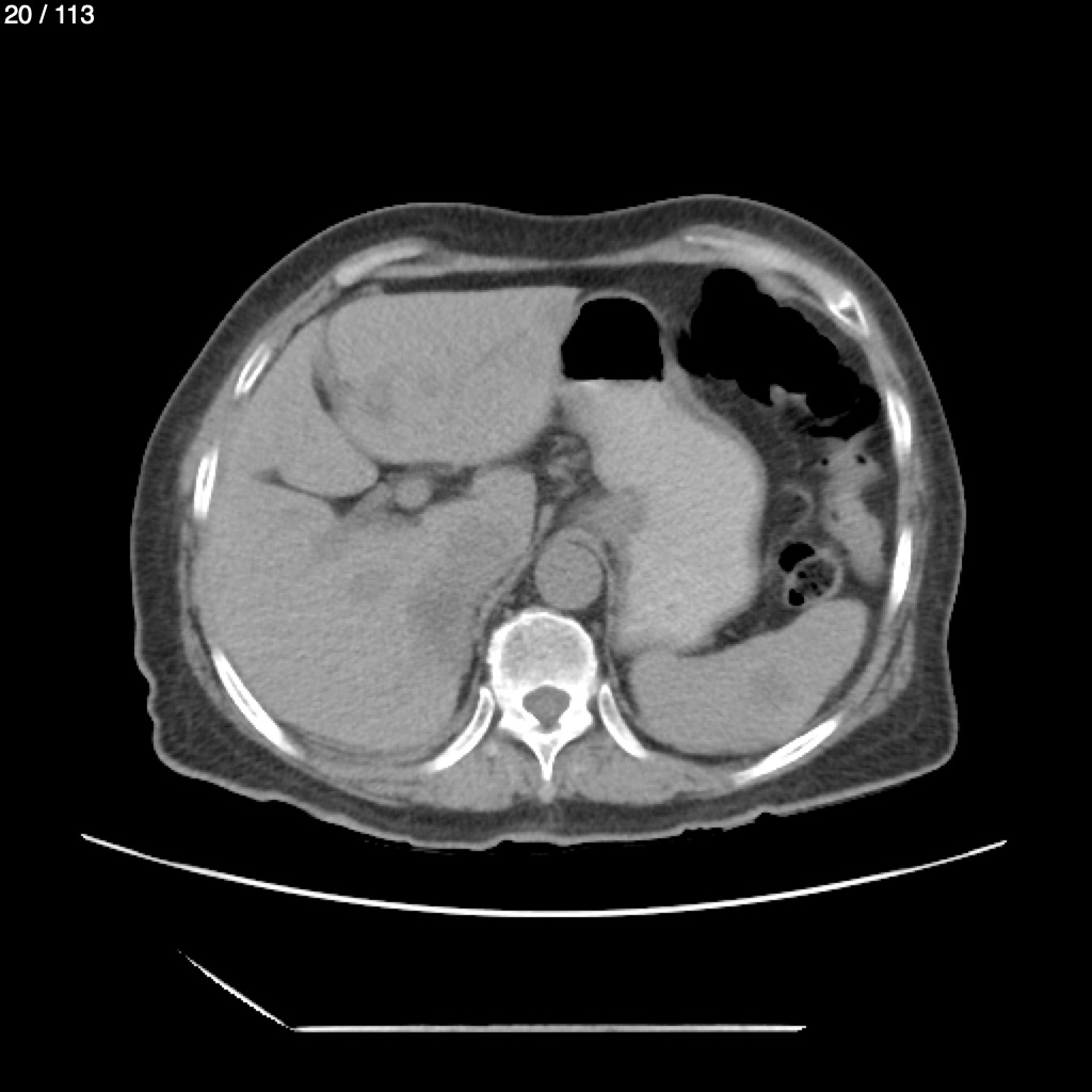
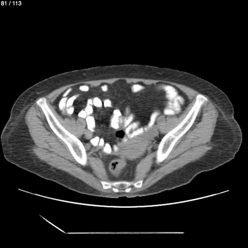
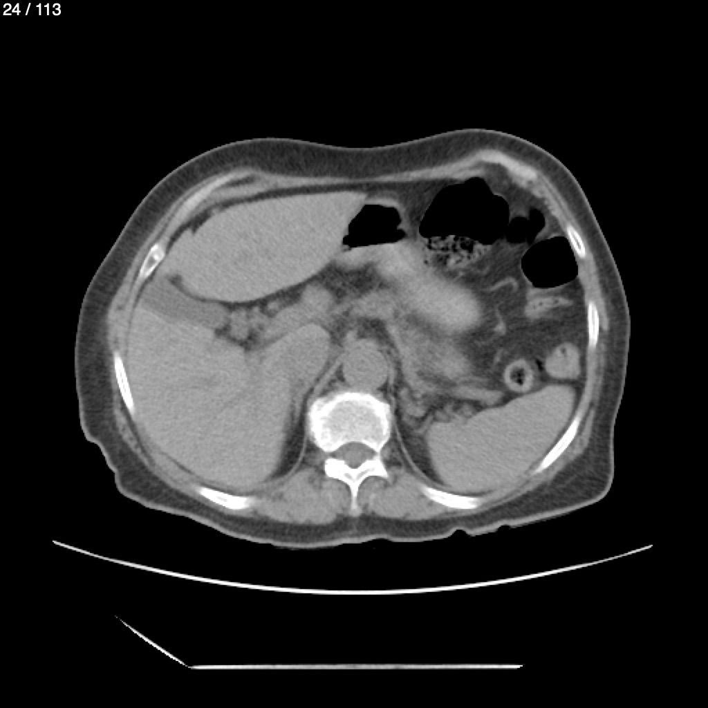
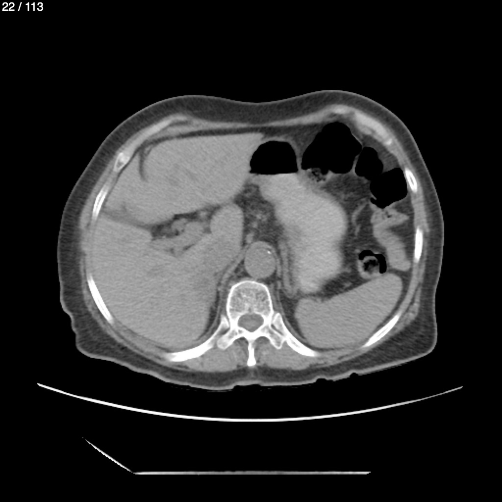
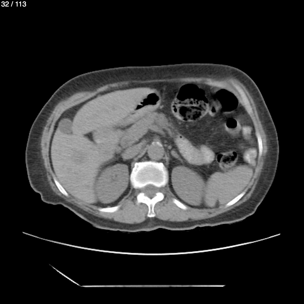
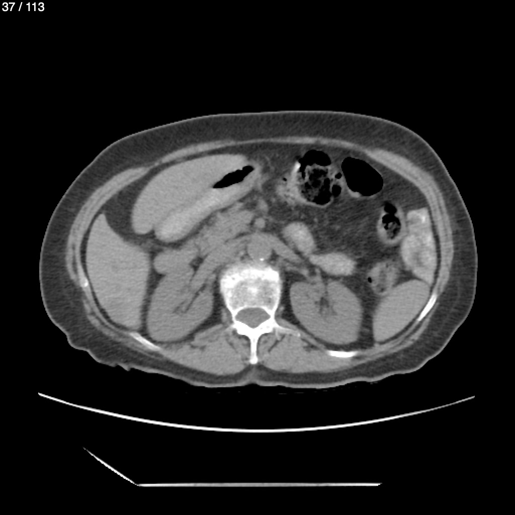
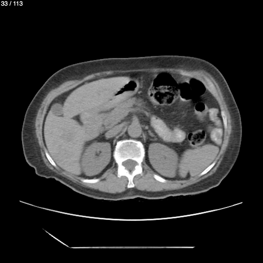
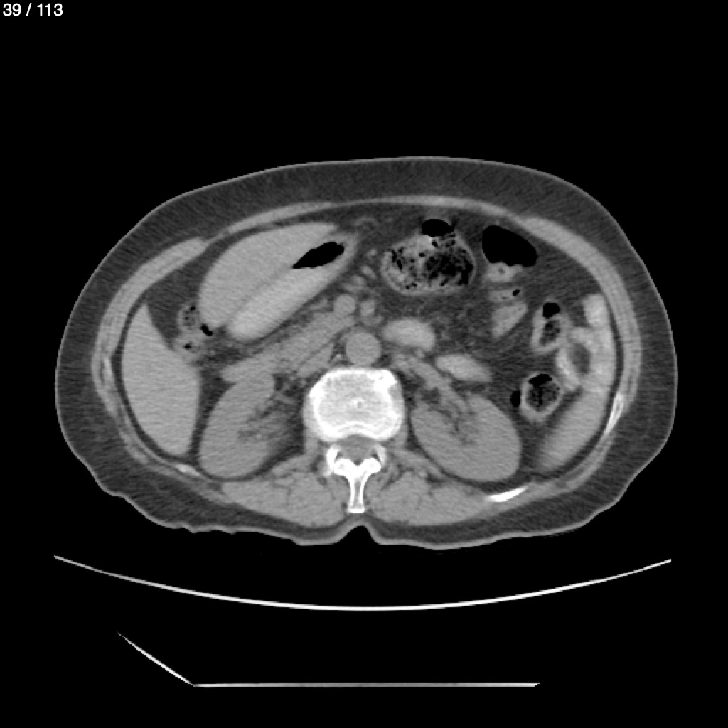
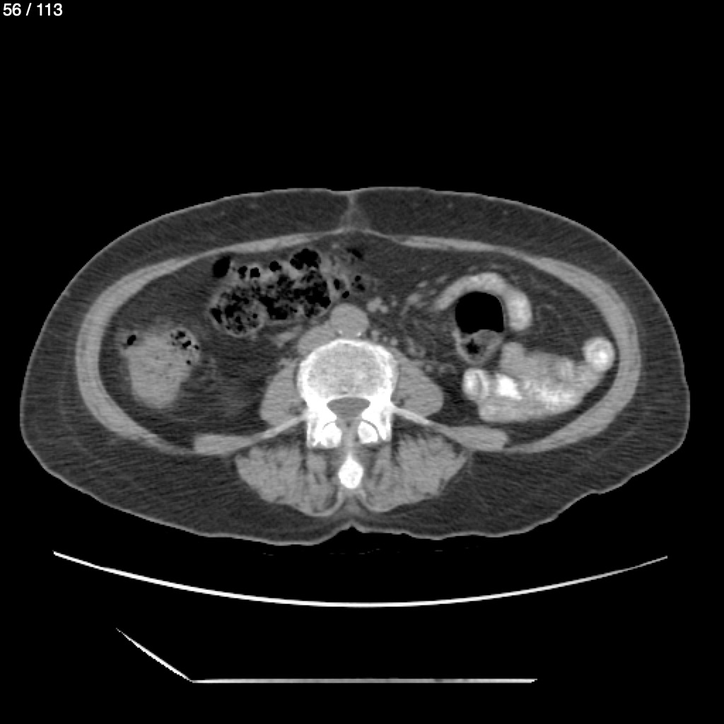
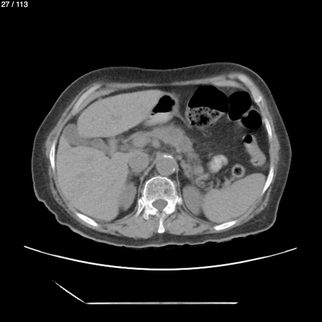
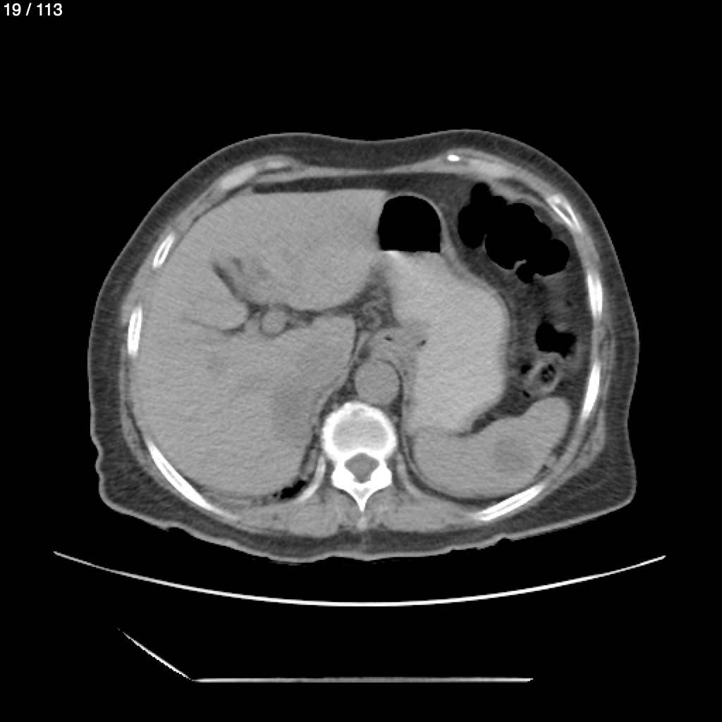
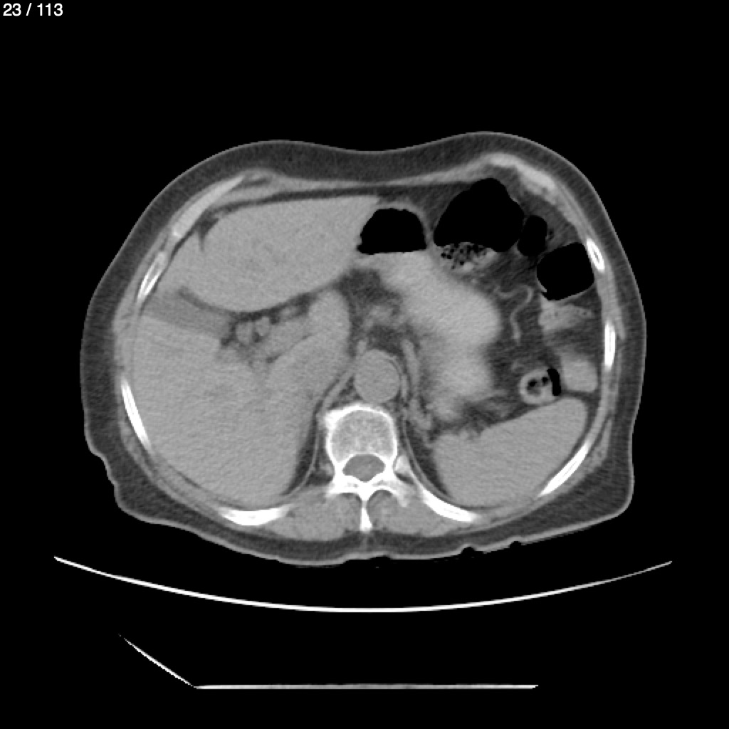
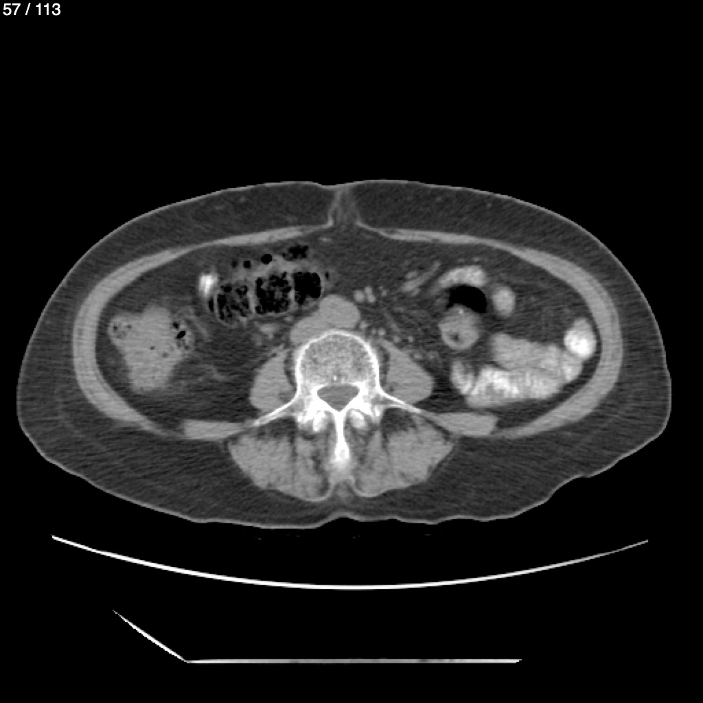
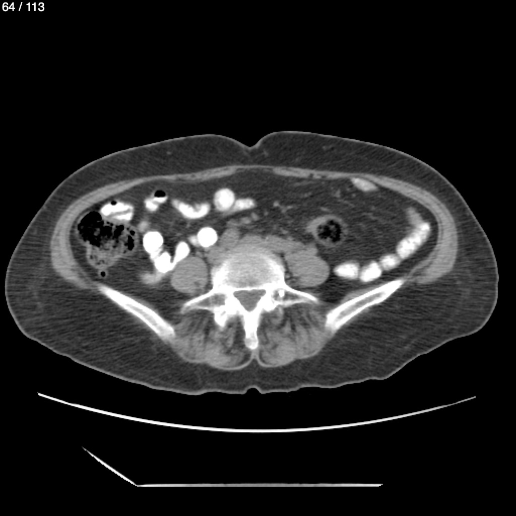
Adela Lopez Hernandez 74A - T.C Abdomen Syc
Next Series
Show as Sequence