HUIXTLA
ESCUINTLA
AKISHINO
AKISHINO2 USG
ESPECIALIDADES
Home
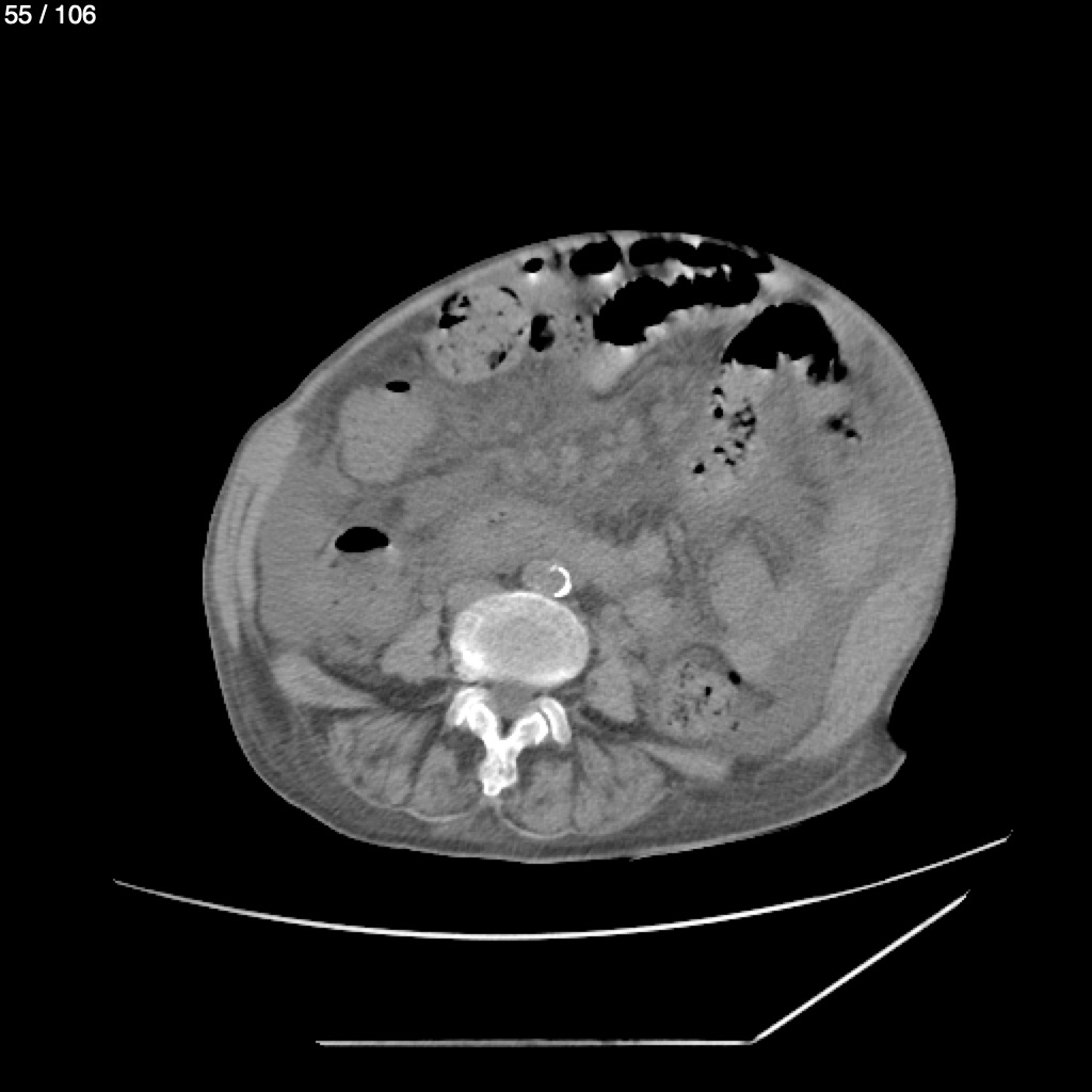
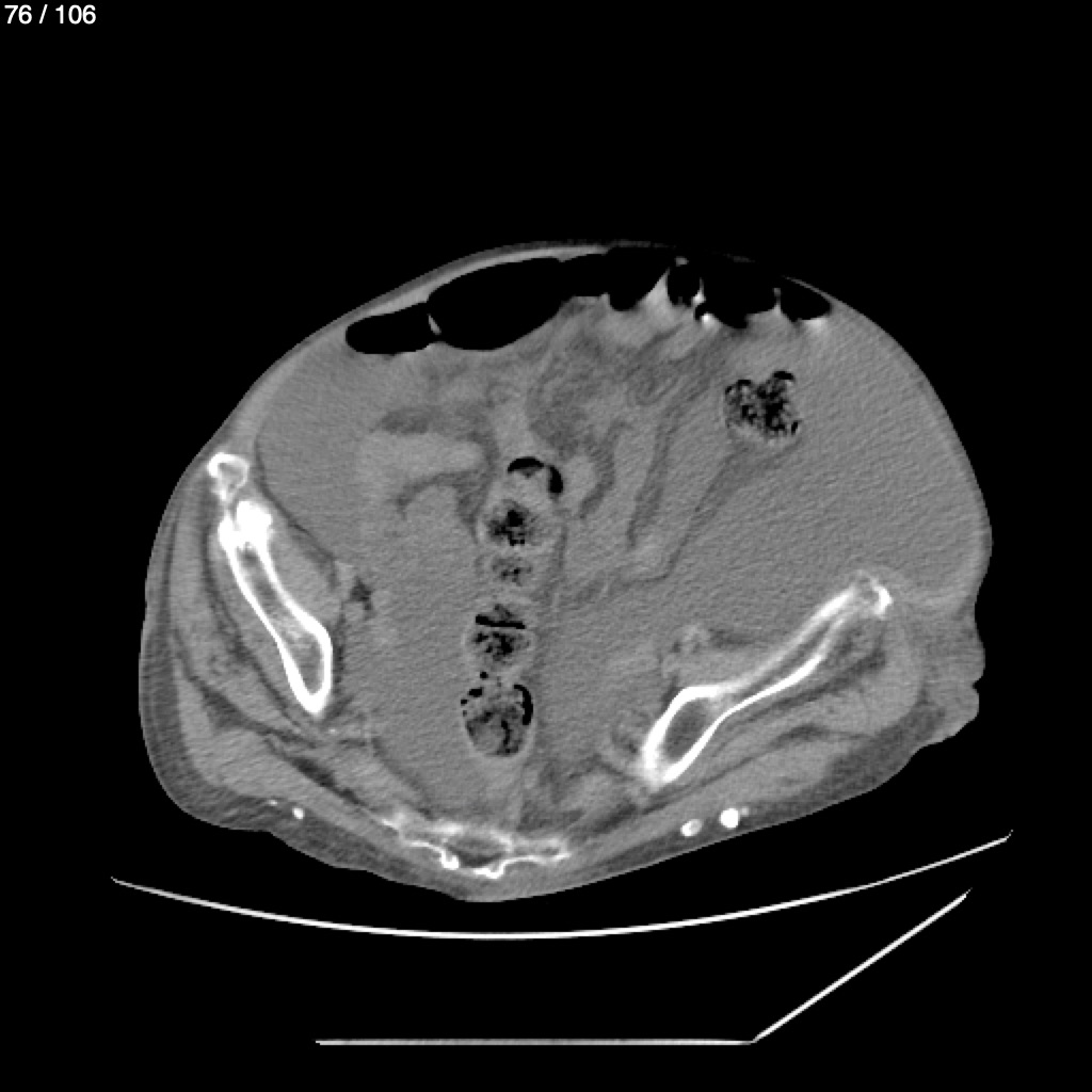
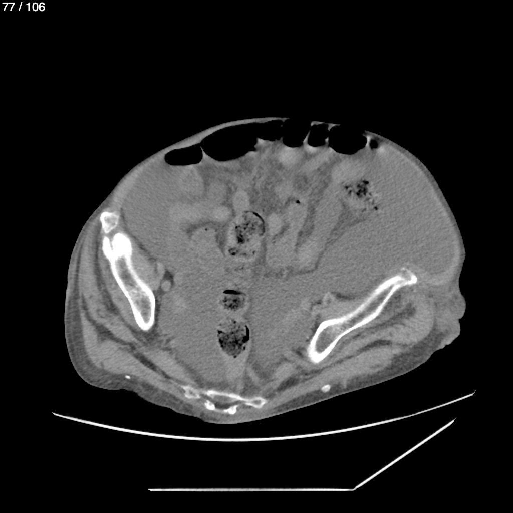
Amalia Gomez Ordonez 75A - T.C Abdomen Syc
Next Series
Show as Sequence