HUIXTLA
ESCUINTLA
AKISHINO
AKISHINO2 USG
ESPECIALIDADES
Home
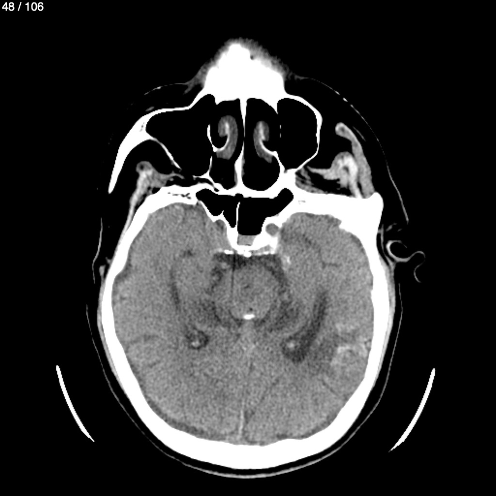
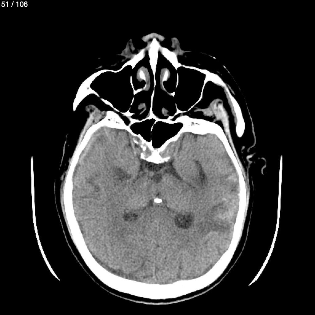
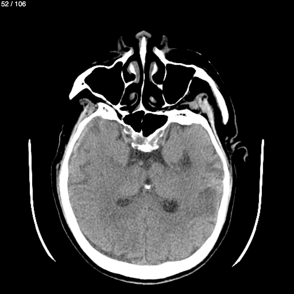
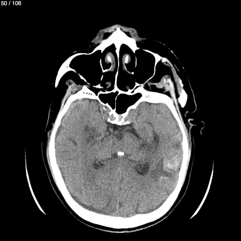
Adulfo Moreno Perez 67 - T.C Craneo
Next Series
Show as Sequence