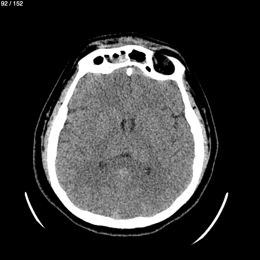
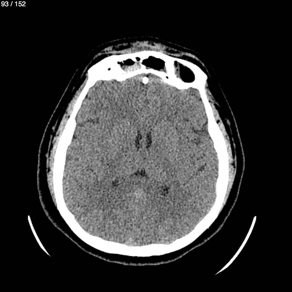
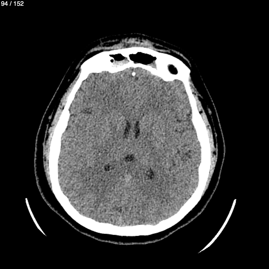
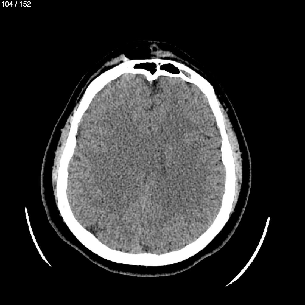
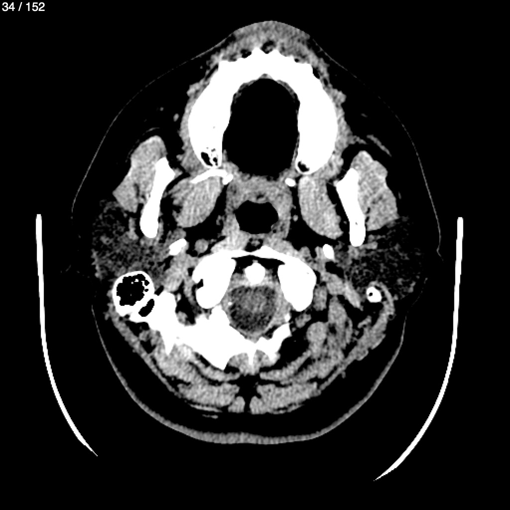
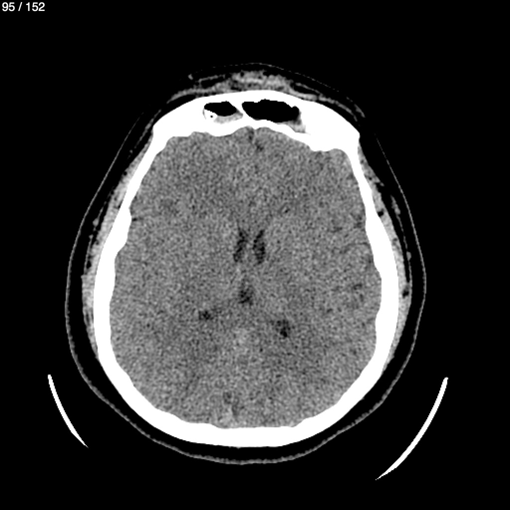
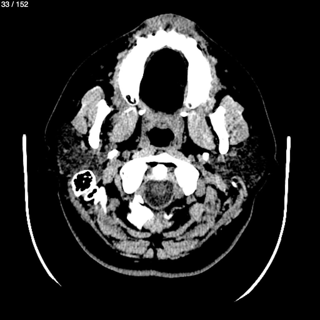
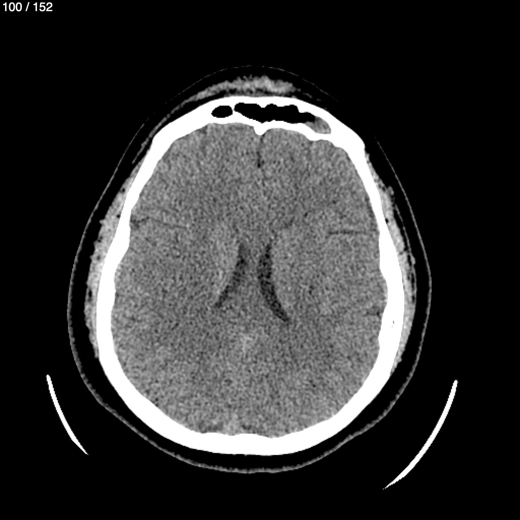
Home A​n​g​e​l​ ​D​e​ ​J​e​s​u​s​ ​T​o​r​r​e​s​ ​L​a​r​a​ ​1​6​ ​-​ ​T​.​C​ ​C​r​a​n​e​o